PDGF R beta Antibody

Images

 
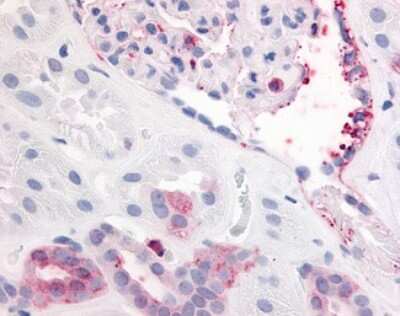
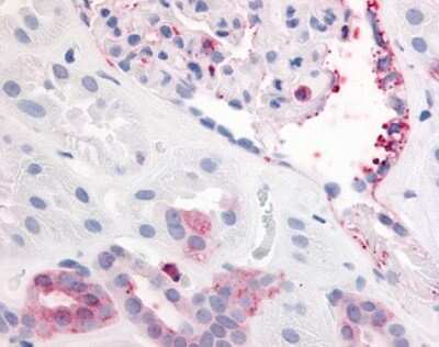
Immunohistochemistry-Paraffin: PDGF R beta Antibody [NB110-55535] - Human kidney, glomerulus and renal tubular epithelium in cortex tissue after heat-induced antigen retrieval.

Product Details

Summary
Product Discontinued
View other related PDGF R beta Primary Antibodies

Order Details


    • Catalog Number
      NB110-55535
    • Availability
      Product Discontinued

    Can't find what you are looking for? Use our Antibody Concierge Service & we will help you locate your antibody!

    Or feel free to contact us for alternative products.

PDGF R beta Antibody Summary

Immunogen
Synthetic 14 amino acid peptide from extracellular domain of human PDGF R beta.
Epitope
Extracellular Domain
Localization
Cell Membrane
Specificity
Human PDGFRB. BLAST analysis of the peptide immunogen showed no homology with other human proteins.
Predicted Species
Mouse (93%), Rat (93%), Equine (93%). Backed by our 100% Guarantee.
Isotype
IgG
Clonality
Polyclonal
Host
Rabbit
Gene
PDGFRB
Purity
Immunogen affinity purified
Innovator's Reward
Test in a species/application not listed above to receive a full credit towards a future purchase.

Applications/Dilutions

Dilutions
  • Immunohistochemistry
  • Immunohistochemistry-Paraffin 15 ug/ml
Control
PDGF R beta Overexpression Lysate
Reviewed Applications
Read 1 Review rated 4
using
NB110-55535 in the following applications:

Reactivity Notes

Predicted cross-reactivity based on sequence identity: Gorilla (100%), Gibbon (100%), Marmoset (100%), Canine (86%), Hamster (86%).

Packaging, Storage & Formulations

Storage
Store at 4C short term. Aliquot and store at -20C long term. Avoid freeze-thaw cycles.
Buffer
PBS
Preservative
0.1% Sodium Azide
Concentration
1 mg/ml
Purity
Immunogen affinity purified

Alternate Names for PDGF R beta Antibody

  • beta-type platelet-derived growth factor receptor
  • CD140 antigen-like family member B
  • CD140b antigen
  • CD140b
  • EC 2.7.10
  • EC 2.7.10.1
  • JTK12
  • PDGF R beta
  • PDGFR
  • PDGFR1
  • PDGFRB
  • PDGF-R-beta
  • platelet-derived growth factor receptor, beta polypeptide

Background

The PDGFR signaling pathway may play an important role in cell proliferation, cell migration, and angiogenesis. PDGFR signaling pathways have been implicated in the development and growth of solid tumors. Blockade of PDGFR receptors has been shown to inhibit angiogenesis, tumor vascular maturation and maintenance, and tumor cell proliferation, leading to tumor regression. PDGFR consists of two subunits; alpha and beta. These can combine to form homo or heterodimers.

Limitations

This product is for research use only and is not approved for use in humans or in clinical diagnosis. Primary Antibodies are guaranteed for 1 year from date of receipt.

Customers Who Viewed This Item Also Viewed...

AF1356
Species: Hu, Mu
Applications: CyTOF-ready, Dual ISH-IHC, Flow, IHC, Simple Western, WB
AF231
Species: Hu
Applications: CyTOF-ready, Dual ISH-IHC, ELISA(Cap), ELISA(Det), ELISA(Sta), Flow, ICC, IHC, IP, Simple Western, WB
AF1062
Species: Mu
Applications: Flow, IHC, Neut, WB
AF644
Species: Mu
Applications: CyTOF-ready, Dual ISH-IHC, Flow, IHC, Neut, WB
DVE00
Species: Hu
Applications: ELISA
AF887
Species: Hu, Mu, Rt
Applications: CyTOF-ready, IHC, ICFlow, Simple Western, WB
AF5414
Species: Hu
Applications: Simple Western, WB
DYC1825-2
Species: Hu, Mu, Rt
Applications: ELISA
AF1230
Species: Hu, Mu, Rt
Applications: IHC, KO, WB
AF2685
Species: Hu
Applications: IHC, Simple Western, WB
NB600-1287
Species: Ca, Hu, Mu, Rb, Rt
Applications: CyTOF-ready, Flow, ICC/IF, IHC,  IHC-P, IP, WB
NBP1-58279
Species: Hu
Applications: ICC/IF, IHC,  IHC-P, KD, WB
MAB812
Species: Hu
Applications: CyTOF-ready, Flow
221-AA
Species: Hu
Applications: BA
236-EG
Species: Hu
Applications: BA
NBP2-19804
Species: Hu, Mu
Applications: ICC/IF, IHC,  IHC-P, WB
NBP2-15071
Species: Hu, Mu, Rt
Applications: ICC/IF, IHC,  IHC-P, KO, WB

Publications for PDGF R beta Antibody (NB110-55535) (0)

There are no publications for PDGF R beta Antibody (NB110-55535).
By submitting your publication information earn gift cards and discounts for future purchases.

Review for PDGF R beta Antibody (NB110-55535) (1) 41

Average Rating: 4
(Based on 1 review)
We have 1 review tested in 1 species: Feline.

Reviews using NB110-55535:
Filter by Applications
ICC
(1)
All Applications
Filter by Species
Feline
(1)
All Species
Images Ratings Applications Species Date Details
Immunocytochemistry PDGF R beta NB110-55535
Enlarge
4
reviewed by:
Kazuya Oikawa
ICC Feline 05/28/2017
View

Summary

ApplicationImmunocytochemistry
Sample TestedOptic nerve
SpeciesFeline
Lot100844

Product General Protocols

Find general support by application which include: protocols, troubleshooting, illustrated assays, videos and webinars.

FAQs for PDGF R beta Antibody (NB110-55535) (0)

There are no specific FAQs related to this product. Read our general customer & technical service FAQs.

Control Lysate(s)

Secondary Antibodies

 

Isotype Controls

Additional PDGF R beta Products

Research Areas for PDGF R beta Antibody (NB110-55535)

Find related products by research area.

Blogs on PDGF R beta

There are no specific blogs for PDGF R beta, but you can read our latest blog posts.

Contact Information

Product PDFs

Calculators

Concentration Calculator

The concentration calculator allows you to quickly calculate the volume, mass or concentration of your vial. Simply enter your mass, volume, or concentration values for your reagent and the calculator will determine the rest.

=
÷

Recent Reviews

4
5
0
4
1
3
0
2
0
1
0

Kazuya Oikawa
05/28/2017
Application: ICC
Species: Feline

Bioinformatics

Gene Symbol PDGFRB
Entrez