PCM1 Antibody (CL0206) - Azide and BSA Free

Images

 
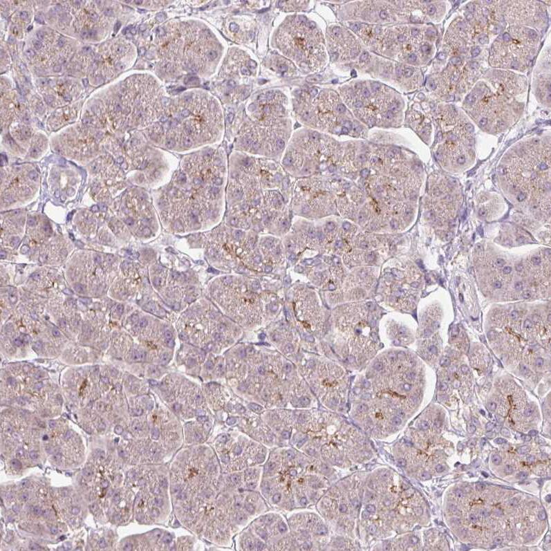
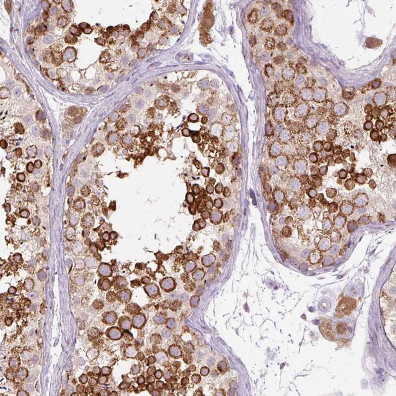
Orthogonal Strategies: Analysis in human testis and pancreas tissues using NBP3-44065 antibody. Corresponding PCM1 RNA-seq data are presented for the same tissues.
Lane 1: Marker [kDa]Lane 2: Human cell line U-251
Staining of human fallopian tube shows moderate to strong positivity in the apical cytoplasm of glandular cells.
Staining of human cerebral cortex shows weak cytoplasmic positivity in neurons.
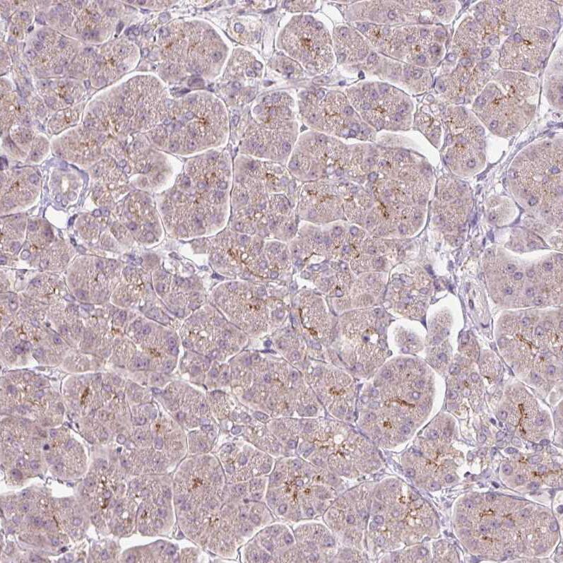
Staining of human pancreas shows very weak cytoplasmic positivity in exocrine glandular cells as expected.
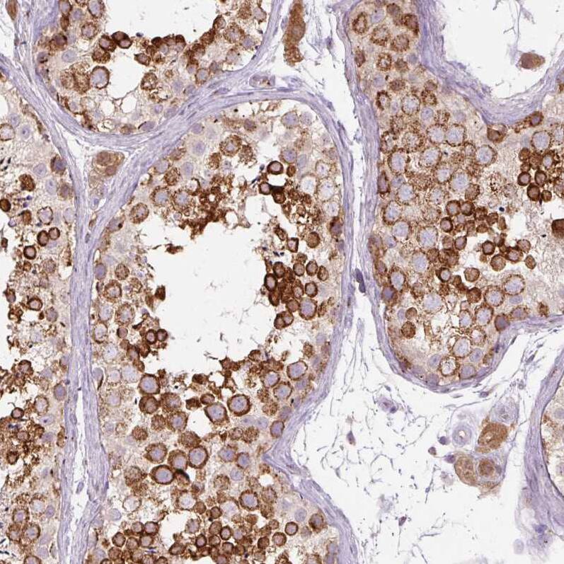
Staining of human testis shows moderate to strong cytoplasmic positivity in cells in seminiferous ducts.

Product Details

Summary
Reactivity HuSpecies Glossary
Applications WB, IHC
Clone
CL0206
Clonality
Monoclonal
Host
Mouse
Conjugate
Unconjugated
Format
Azide and BSA Free
Concentration
LYOPH
Validated by:
       

Orthogonal Strategies

 

Order Details

PCM1 Antibody (CL0206) - Azide and BSA Free Summary

Description
Novus Biologicals Mouse PCM1 Antibody (CL0206) - Azide and BSA Free (NBP2-52878) is a monoclonal antibody validated for use in IHC and WB. All Novus Biologicals antibodies are covered by our 100% guarantee.
Immunogen
This antibody was generated using a recombinant protein sequence of Q15154, with the exact immunogen sequence remaining proprietary.
Isotype
IgG1
Clonality
Monoclonal
Host
Mouse
Gene
PCM1
Purity
Protein A purified
Innovator's Reward
Test in a species/application not listed above to receive a full credit towards a future purchase.

Applications/Dilutions

Dilutions
  • Immunohistochemistry-Paraffin 1:200 - 1:500
  • Western Blot 1 ug/ml
Application Notes
For IHC-Paraffin, HIER pH 6 retrieval is recommended.

Packaging, Storage & Formulations

Storage
Store at 4C short term. Aliquot and store at -20C long term. Avoid freeze-thaw cycles.
Buffer
Lyophilized from a 0.2 um filtered solution in PBS with Trehalose
Preservative
No Preservative
Concentration
LYOPH
Purity
Protein A purified
Reconstitution Instructions
Centrifuge the vial of lyophilized antibody at 12,000 x g for 20 seconds. Reconstitute by adding sterile, distilled water to achieve a final antibody concentration of 1mg/ml.

Alternate Names for PCM1 Antibody (CL0206) - Azide and BSA Free

  • hPCM-1
  • pericentriolar material 1 protein
  • pericentriolar material 1
  • PTC4PCM-1

Background

DNA methylation, or the addition of methyl groups to cytosine bases in the dinucleotide CpG, is imperative to proper development and regulates gene expression. The methylation pattern involves the enzymatic processes of methylation and demethylation. The demethylation enzyme was recently found to be a mammalian protein, which exhibits demethylase activity associated to a methyl-CpG-binding domain (MBD). The enzyme is able to revert methylated cytosine bases to cytosines within the particular dinucleotide sequence mdCpdG by catalyzing the cleaving of the methyl group as methanol. MeCP2 and MBD1 (PCM1) are first found to repress transcription by binding specifically to methylated DNA. MBD2 and MBD4 (also known as MED1) were later found to colocalize with foci of heavily methylated satellite DNA and believed to mediate the biological functions of the methylation signal. Surprisingly, MBD3 does not bind methylated DNA both in vivo and in vitro. MBD1, MBD2, MBD3, and MBD4 are found to be expressed in somatic tissues, but the expression of MBD1 and MBD2 is reduced or absent in embryonic stem cells, which are known to be deficient in MeCP1 activity. MBD4 have homology to bacterial base excision repair DNA N-glycosylases/lyases. In some microsatellite unstable tumors MBD4 is mutated at an exonic polynucleotide tract.

Limitations

This product is for research use only and is not approved for use in humans or in clinical diagnosis. Primary Antibodies are guaranteed for 1 year from date of receipt.

Customers Who Viewed This Item Also Viewed...

NBP2-59451
Species: Hu
Applications: ELISA, Flow, ICC/IF, MiAr, Simple Western, WB
NB100-61071
Species: Hu
Applications: ICC/IF, IHC,  IHC-P, IP, WB
NBP1-86248
Species: Hu
Applications: IHC,  IHC-P, WB
NBP1-88795
Species: Hu
Applications: IHC,  IHC-P, WB
NBP2-13657
Species: Hu
Applications: ICC/IF, IHC,  IHC-P
NB110-40773
Species: Hu, Mu, Rt
Applications: ICC/IF, IHC, IHC-Fr,  IHC-P
NBP3-42932
Species: Ca, Hu
Applications: ELISA, ICC/IF, WB
NBP3-15642
Species: Hu, Mu, Rt
Applications: ICC/IF, IHC,  IHC-P, WB
NBP1-33736
Species: Hu, Mu, Rt
Applications: ICC/IF, IHC,  IHC-P, IP, WB
NB100-116
Species: Hu, Mu, Pm, Rt
Applications: ChIP, ELISA, GS, IB, ICC/IF, IHC, IHC-Fr,  IHC-P, IP, KD, PLA, Simple Western, WB
NB110-74569
Species: Hu, Mu, Rt
Applications: Flow, ICC/IF, IHC, IHC-Fr,  IHC-P, IP, WB
AF5414
Species: Hu
Applications: Simple Western, WB
NBP3-15345
Species: Hu, Mu, Rt
Applications: ChIP, CHIP-SEQ, ELISA, ICC/IF, IHC,  IHC-P, IP, WB
NB100-86991
Species: Hu, Mu
Applications: ICC/IF, IP, WB
NB500-207
Species: Hu
Applications: ICC/IF, IP, WB
H00008518-M03
Species: Hu, Mu
Applications: ELISA, ICC/IF, IHC,  IHC-P, WB
AF2335
Species: Mu
Applications: CyTOF-ready, Flow, ICC, IHC, IP, WB
NB100-68205
Species: Hu, Mu
Applications: IHC,  IHC-P, IP, WB
NBP1-30463
Species: Hu, Mu, Rt, Ze
Applications: ICC/IF, IP, WB
NBP3-44065
Species: Hu
Applications: WB, IHC

Publications for PCM1 Antibody (NBP3-44065) (0)

There are no publications for PCM1 Antibody (NBP3-44065).
By submitting your publication information earn gift cards and discounts for future purchases.

Reviews for PCM1 Antibody (NBP3-44065) (0)

There are no reviews for PCM1 Antibody (NBP3-44065). By submitting a review you will receive an Amazon e-Gift Card or Novus Product Discount.
  • Review with no image -- $10/€7/£6/$10 CAD/¥70 Yuan/¥1110 Yen
  • Review with an image -- $25/€18/£15/$25 CAD/¥150 Yuan/¥2500 Yen

Product General Protocols

Find general support by application which include: protocols, troubleshooting, illustrated assays, videos and webinars.

Video Protocols

WB Video Protocol

FAQs for PCM1 Antibody (NBP3-44065) (0)

There are no specific FAQs related to this product. Read our general customer & technical service FAQs.

Secondary Antibodies

 

Isotype Controls

Additional PCM1 Products

Array NBP3-44065

Research Areas for PCM1 Antibody (NBP3-44065)

Find related products by research area.

Blogs on PCM1

There are no specific blogs for PCM1, but you can read our latest blog posts.

Customers Who Bought This Also Bought

Contact Information

Product PDFs

Calculators

Concentration Calculator

The concentration calculator allows you to quickly calculate the volume, mass or concentration of your vial. Simply enter your mass, volume, or concentration values for your reagent and the calculator will determine the rest.

=
÷

Review this Product

Be the first to review our PCM1 Antibody (CL0206) - Azide and BSA Free and receive a gift card or discount.

Bioinformatics

Gene Symbol PCM1