Parvalbumin Antibody (CL15070) - Azide and BSA Free

Images

 
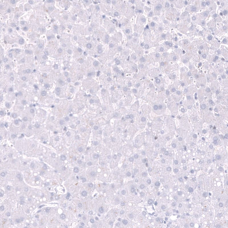
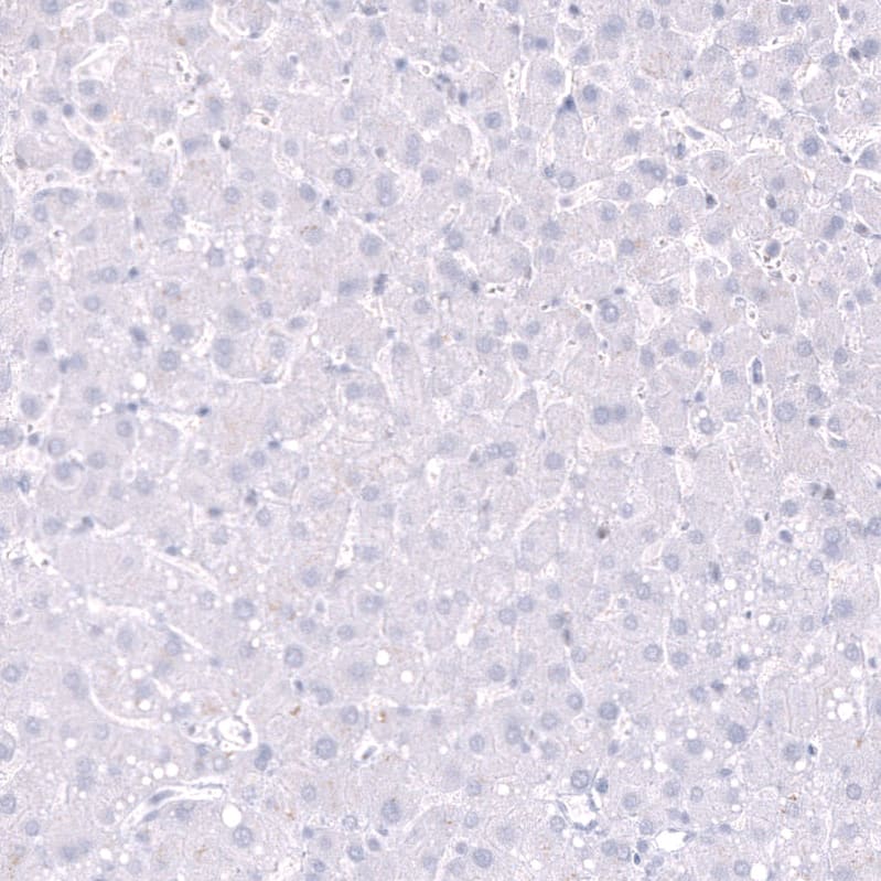
Orthogonal Strategies: Analysis in human kidney and liver tissues using NBP3-44164 antibody. Corresponding Parvalbumin RNA-seq data are presented for the same tissues.
Staining of human cerebellum shows strong cytoplasmic positivity in Purkinje cells.
Staining of human kidney shows strong cytoplasmic positivity in cells in tubules.
Staining of human liver shows no positivity in hepatocytes as expected.
Staining of rat hippocampus shows strong cytoplasmic positivity in a subset of neurons.
Analysis in human cerebellum tissue.
Staining of mouse cerebral cortex shows strong cytoplasmic positivity in neurons.
Staining of rat cerebellum shows strong cytoplasmic positivity in Purkinje cells.

Product Details

Summary
Reactivity Hu, Mu, RtSpecies Glossary
Applications WB, IHC
Clone
CL15070
Clonality
Monoclonal
Host
Mouse
Conjugate
Unconjugated
Format
Azide and BSA Free
Concentration
LYOPH
Validated by:
       

Orthogonal Strategies

 

Order Details

Parvalbumin Antibody (CL15070) - Azide and BSA Free Summary

Description
Novus Biologicals Mouse Parvalbumin Antibody (CL15070) - Azide and BSA Free (NBP3-43649) is a monoclonal antibody validated for use in IHC and WB. All Novus Biologicals antibodies are covered by our 100% guarantee.
Immunogen
This antibody was generated using a recombinant protein sequence of P20472, with the exact immunogen sequence remaining proprietary.
Isotype
IgG1
Clonality
Monoclonal
Host
Mouse
Gene
PVALB
Purity
Protein A purified
Innovator's Reward
Test in a species/application not listed above to receive a full credit towards a future purchase.

Applications/Dilutions

Dilutions
  • Immunohistochemistry-Paraffin 1:2500-1:5000
  • Western Blot 1 ug/ml
Application Notes
For IHC-Paraffin, HIER pH 6 retrieval is recommended.

Packaging, Storage & Formulations

Storage
Store at 4C short term. Aliquot and store at -20C long term. Avoid freeze-thaw cycles.
Buffer
Lyophilized from a 0.2 um filtered solution in PBS with Trehalose
Preservative
No Preservative
Concentration
LYOPH
Purity
Protein A purified
Reconstitution Instructions
Centrifuge the vial of lyophilized antibody at 12,000 x g for 20 seconds. Reconstitute by adding sterile, distilled water to achieve a final antibody concentration of 1mg/ml.

Alternate Names for Parvalbumin Antibody (CL15070) - Azide and BSA Free

  • D22S749
  • MGC116759
  • parvalbumin alpha
  • parvalbumin
  • PV

Background

Parvalbumin is encoded by this gene is a high affinity calcium ion-binding protein that is structurally and functionally similar to calmodulin and troponin C. The encoded protein is thought to be involved in muscle relaxation.

Limitations

This product is for research use only and is not approved for use in humans or in clinical diagnosis. Primary Antibodies are guaranteed for 1 year from date of receipt.

Customers Who Viewed This Item Also Viewed...

NBP2-50028
Species: Bv, Hu, Mu, Rt
Applications: ICC/IF, IHC-FrFl, IHC,  IHC-P, WB
NBP1-88220
Species: Hu, Mu, Rt
Applications: ICC/IF, IHC,  IHC-P, KD, WB
NBP2-37447
Species: Hu
Applications: CyTOF-ready, ELISA, Flow, ICC/IF, IHC,  IHC-P
AF2086
Species: Hu, Mu, Rt
Applications: IHC, Simple Western, WB
NB110-41404
Species: Bv, Hu, Mu, Rt
Applications: ICC/IF, IHC, WB
NBP1-88191
Species: Hu, Mu
Applications: IHC,  IHC-P, WB
NBP1-30052
Species: Ch, Gp, Hu, Mu, Pm, Rt
Applications: ICC/IF, IHC-FrFl, IHC-WhMt, IHC, IHC-Fr,  IHC-P, WB
NBP1-46535
Species: Hu, Mu, Rb, Rt, Xp
Applications: ICC/IF, IHC-FrFl, IHC, IHC-Fr,  IHC-P, WB
NB120-2860
Species: Ba, Bv, Ch, Hu, Mu, Rt
Applications: ELISA, Flow, ICC/IF, IHC,  IHC-P, WB
NBP2-15669
Species: Mu, Rt, Ze
Applications: IHC-WhMt, IHC, WB
NBP2-14871
Species: Mu, Rt
Applications: ICC/IF, WB
NB300-109
Species: Ch, Dr, Hu, I, Ma, Mu, Rt
Applications: Dual ISH-IHC, ICC/IF, IHC-FrFl, IHC-WhMt, IHC, IHC-Fr,  IHC-P, KO, Simple Western, WB
NBP2-62664
Species: Hu
Applications: IHC,  IHC-P
AF2185
Species: Hu, Mu, Rt
Applications: IP, WB
NB300-141
Species: Bv, Ch, Eq, Gp, Hu, Mu, Po, Rb, Rt
Applications: ICC/IF, IHC, IHC-Fr,  IHC-P, Simple Western, WB
DBD00
Species: Hu
Applications: ELISA
NB100-1519
Species: Hu, Mu, Rt
Applications: Flow, ICC/IF, IHC-FrFl, PEP-ELISA, WB
NBP3-44164
Species: Hu, Mu, Rt
Applications: WB, IHC

Publications for Parvalbumin Antibody (NBP3-44164) (0)

There are no publications for Parvalbumin Antibody (NBP3-44164).
By submitting your publication information earn gift cards and discounts for future purchases.

Reviews for Parvalbumin Antibody (NBP3-44164) (0)

There are no reviews for Parvalbumin Antibody (NBP3-44164). By submitting a review you will receive an Amazon e-Gift Card or Novus Product Discount.
  • Review with no image -- $10/€7/£6/$10 CAD/¥70 Yuan/¥1110 Yen
  • Review with an image -- $25/€18/£15/$25 CAD/¥150 Yuan/¥2500 Yen

Product General Protocols

Find general support by application which include: protocols, troubleshooting, illustrated assays, videos and webinars.

Video Protocols

WB Video Protocol

FAQs for Parvalbumin Antibody (NBP3-44164). (Showing 1 - 1 of 1 FAQ).

  1. I am doing research on Neuroscience and I would like to use some antibodies, especially in Western Blots, but I could do other assays: - alpha7 nicotinic cholinergic receptor; - parvalbumin; - calbindin D28K; The preferred reactivity is anti-human and anti-mouse. Do you have these antibodies? Are they in stock? And what about the prizes: How much are they? How much are the shipping costs? Could you make me any offer?
    • We currently have three alpha7 nicotinic cholingergic receptor antibodies available for purchase. Please see this list for our Parvalbumin antibodies. None are currently validated in mouse. I would like to introduce you to our Innovators Reward Program. We have an excelent calbinin D28K antibody that has been validated for use in human and mouse and WB. The pricing and availability of our products depends on your country.

Secondary Antibodies

 

Isotype Controls

Additional Parvalbumin Products

Research Areas for Parvalbumin Antibody (NBP3-44164)

Find related products by research area.

Blogs on Parvalbumin.

Successful Transplantation of Friedreich Ataxia Induced Pluripotent Stem Cell (iPSC)-Derived Sensory Neurons in Dorsal Root Ganglia of Adult Rodents
Jamshed Arslan, Pharm D, PhD The dorsal root ganglia (DRG) are a collection of cell bodies of sensory nerves carrying sensory information – including nociception, mechanoreception and proprioception – from periphera...  Read full blog post.

Customers Who Bought This Also Bought

Contact Information

Product PDFs

Calculators

Concentration Calculator

The concentration calculator allows you to quickly calculate the volume, mass or concentration of your vial. Simply enter your mass, volume, or concentration values for your reagent and the calculator will determine the rest.

=
÷

Review this Product

Be the first to review our Parvalbumin Antibody (CL15070) - Azide and BSA Free and receive a gift card or discount.

Bioinformatics

Gene Symbol PVALB