PAR4 Antibody

Images

 
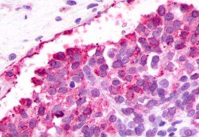
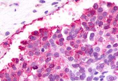
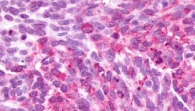
Immunohistochemistry-Paraffin: PAR4 Antibody [NLS1309] - Breast, Carcinoma
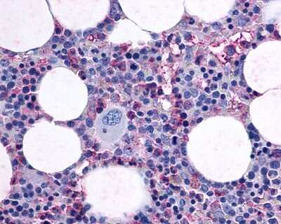
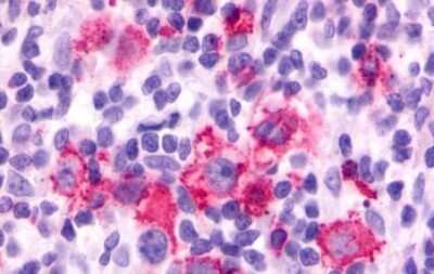
Immunohistochemistry-Paraffin: PAR4 Antibody [NLS1309] - Analysis of anti-F2RL3 / PAR4 antibody with human bone marrow at 5 ug/ml.
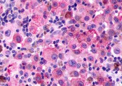
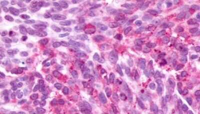
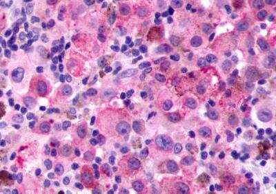
Immunohistochemistry-Paraffin: PAR4 Antibody [NLS1309] - Anti-F2RL3 / PAR4 antibody IHC of human Lymph Node, Hodgkins Lymphoma tissue after heat-induced antigen retrieval.
Immunohistochemistry-Paraffin: PAR4 Antibody [NLS1309] - Anti-F2RL3 / PAR4 antibody IHC of human Ovary, Carcinoma tissue after heat-induced antigen retrieval.
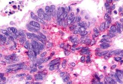
Immunohistochemistry-Paraffin: PAR4 Antibody [NLS1309] - Colon, Carcinoma
Immunohistochemistry-Paraffin: PAR4 Antibody [NLS1309] - Ovary, carcinoma
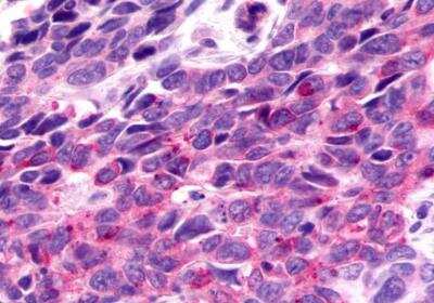
Immunohistochemistry-Paraffin: PAR4 Antibody [NLS1309] - Skin, Malignant Melanoma

Product Details

Summary
Product Discontinued
View other related PAR4 Primary Antibodies

Order Details


    • Catalog Number
      NLS1309
    • Availability
      Product Discontinued

    Can't find what you are looking for? Use our Antibody Concierge Service & we will help you locate your antibody!

    Or feel free to contact us for alternative products.

PAR4 Antibody Summary

Immunogen
Synthetic 17 amino acid peptide from 2nd cytoplasmic domain of human F2RL3 / PAR4.
Localization
Integral Memebrane Protein
Specificity
Human F2RL3 / PAR4. BLAST analysis of the peptide immunogen showed no homology with other human proteins.
Predicted Species
Primate (94%), Monkey (94%). Backed by our 100% Guarantee.
Isotype
IgG
Clonality
Polyclonal
Host
Rabbit
Gene
F2RL3
Purity
Immunogen affinity purified
Innovator's Reward
Test in a species/application not listed above to receive a full credit towards a future purchase.

Applications/Dilutions

Dilutions
  • Immunohistochemistry
  • Immunohistochemistry-Paraffin 5 - 10 ug/ml

Reactivity Notes

Predicted cross-reactivity based on sequence identity: Gibbon (100%), Gorilla (94%), Marmoset (94%), Bat (88%), Elephant (88%), Equine (88%), Mouse (82%), Bovine (82%), Porcine (82%).

Packaging, Storage & Formulations

Storage
Store at 4C short term. Aliquot and store at -20C long term. Avoid freeze-thaw cycles.
Buffer
PBS
Preservative
0.1% Sodium Azide
Concentration
1.0 mg/ml
Purity
Immunogen affinity purified

Alternate Names for PAR4 Antibody

  • proteinase-activated receptor 4
  • coagulation factor II (thrombin) receptor-like 3
  • F2RL3
  • PAR4
  • Protease-Activated Receptor 4
  • Thrombin Receptor-like 3

Background

Proteinase-Activated Receptor 4 (PAR4) is a member of the Proteinase-Activated Receptor subfamily. Along with other protease-activated receptors, PAR4 mediates the effects of the enzyme, thrombin which include activation of platelets, leukocytes, endothelial cells, and mesenchymal cells at sites of vascular injury. These cellular responses are triggered through proteolytic activation of the receptors by thrombin. It is believed that PAR3 functions as a cofactor for the cleavage and activation of PAR4. PAR4 expression has been documented in the periphery, primarily in blood platelets.

Limitations

This product is for research use only and is not approved for use in humans or in clinical diagnosis. Primary Antibodies are guaranteed for 1 year from date of receipt.

Customers Who Viewed This Item Also Viewed...

PP-H4417-00
Species: Hu
Applications: DirELISA, IP, WB
NBP1-71770
Species: Hu, Mu
Applications: ELISA, ICC/IF, IF, IHC, IHC-Fr,  IHC-P, WB
NBP1-81746
Species: Hu
Applications: ICC/IF, IHC,  IHC-P, WB
NLS261
Species: Hu
Applications: ICC, IHC,  IHC-P, WB (-)
NBP2-49382
Species: Hu
Applications: IHC,  IHC-P
NBP1-78028
Species: Hu
Applications: ELISA, ICC/IF, WB
NBP3-16555
Species: Hu, Mu, Rt
Applications: ELISA, IHC,  IHC-P, WB
H00055065-P01
Species: Hu
Applications: ELISA, AP, PA, WB
NBP1-88861
Species: Hu, Mu
Applications: ICC/IF, IHC,  IHC-P, IP, Simple Western, WB
AF1230
Species: Hu, Mu, Rt
Applications: IHC, KO, WB
AF887
Species: Hu, Mu, Rt
Applications: CyTOF-ready, IHC, ICFlow, Simple Western, WB
NBP2-14835
Species: Hu, Mu
Applications: ICC/IF, IHC,  IHC-P, WB
NBP2-22203
Species: Hu, Pm, Mu, Rt
Applications: ELISA, Flow, ICC/IF, IHC,  IHC-P, WB
NB100-56098
Species: Ca, Hu, Mu, Rt
Applications: IHC,  IHC-P, IP, WB
NB100-56583
Species: Hu, Rb, Rt
Applications: Flow, IHC,  IHC-P, KO, Simple Western, WB
NLS1309
Species: Hu, Pm, Pm
Applications: IHC

Publications for PAR4 Antibody (NLS1309) (0)

There are no publications for PAR4 Antibody (NLS1309).
By submitting your publication information earn gift cards and discounts for future purchases.

Reviews for PAR4 Antibody (NLS1309) (0)

There are no reviews for PAR4 Antibody (NLS1309). By submitting a review you will receive an Amazon e-Gift Card or Novus Product Discount.
  • Review with no image -- $10/€7/£6/$10 CAD/¥70 Yuan/¥1110 Yen
  • Review with an image -- $25/€18/£15/$25 CAD/¥150 Yuan/¥2500 Yen

Product General Protocols

View specific protocols for PAR4 Antibody (NLS1309): Find general support by application which include: protocols, troubleshooting, illustrated assays, videos and webinars.

FAQs for PAR4 Antibody (NLS1309) (0)

There are no specific FAQs related to this product. Read our general customer & technical service FAQs.

Secondary Antibodies

 

Isotype Controls

Additional PAR4 Products

Research Areas for PAR4 Antibody (NLS1309)

Find related products by research area.

Blogs on PAR4

There are no specific blogs for PAR4, but you can read our latest blog posts.

Contact Information

Product PDFs

Calculators

Concentration Calculator

The concentration calculator allows you to quickly calculate the volume, mass or concentration of your vial. Simply enter your mass, volume, or concentration values for your reagent and the calculator will determine the rest.

=
÷

Review this Product

Be the first to review our PAR4 Antibody and receive a gift card or discount.

Bioinformatics

Gene Symbol F2RL3
Entrez