p53 Antibody (M26-A)

Images

 
Immunohistochemistry-Paraffin: p53 Antibody (M26-A) [NBP1-78987] - Ovarian high grade serous carcinoma with diffuse strong nuclear p53 expression. Formalin fixed, paraffin embedded human tissue (4 um section) stained ...read more
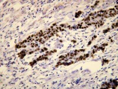
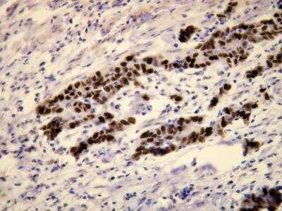
Immunohistochemistry-Paraffin: p53 Antibody (M26-A) [NBP1-78987] - Formalin-fixed and paraffin-embedded human colon carcinoma tissue (4 um) stained with anti-p53 antibody shows positive nuclear immunostaining of tumor ...read more

Product Details

Summary
Product Discontinued
View other related p53 Primary Antibodies

Order Details


    • Catalog Number
      NBP1-78987
    • Availability
      Product Discontinued

    Can't find what you are looking for? Use our Antibody Concierge Service & we will help you locate your antibody!

    Or feel free to contact us for alternative products.

p53 Antibody (M26-A) Summary

Additional Information
Recombinant Monoclonal Antibody.
Immunogen
Peptide derived from N-terminal sequence of human p53. Antibody recognizes the epitope between Ser46 - Pro67.
Epitope
Ser46 - Pro67
Isotype
IgG
Clonality
Monoclonal
Host
Rabbit
Gene
TP53
Purity
Immunogen affinity purified
Innovator's Reward
Test in a species/application not listed above to receive a full credit towards a future purchase.

Applications/Dilutions

Dilutions
  • Immunohistochemistry 1:10-1:500
  • Immunohistochemistry-Paraffin 1:100-1:500

Packaging, Storage & Formulations

Storage
Store at 4C. Do not freeze.
Buffer
20mM Tris-HCl (pH 8.0) and 20mg/ml BSA
Preservative
0.05% Sodium Azide
Purity
Immunogen affinity purified

Notes

This antibody is immunoaffinity purified with immunogenic peptide as a ligand.

Alternate Names for p53 Antibody (M26-A)

  • Antigen NY-CO-13
  • BCC7
  • FLJ92943
  • LFS1
  • LFS1TRP53
  • p53 tumor suppressor
  • p53
  • P53cellular tumor antigen p53
  • Phosphoprotein p53
  • TP53
  • transformation-related protein 53
  • TRP53
  • tumor protein p53
  • Tumor suppressor p53

Background

p53 is a stress-regulated transcription factor that was first identified as an SV40 large T antigen-binding protein. It plays a major role in the cellular response to DNA damage and other genomic aberrations. The activation of p53 can lead to either cell cycle arrest and DNA repair, or apoptosis. p53 is phosphorylated at multiple sites in vivo and by several different protein kinases in vitro. Mutation of p53 is the most common genetic change so far identified in a number of major carcinomas. This antibody can be used for the specific detection of human p53 that is synthesized in the presence of p53 from other species.

Limitations

This product is for research use only and is not approved for use in humans or in clinical diagnosis. Primary Antibodies are guaranteed for 1 year from date of receipt.

Customers Who Viewed This Item Also Viewed...

NBP2-29463
Species: Pm, Hu, Pm, Mu
Applications: Flow, ICC/IF, IHC,  IHC-P, WB
NB200-106
Species: Mu, Rt
Applications: ELISA, ICC/IF, IHC, IHC-Fr,  IHC-P, WB
NBP2-46085
Species: Hu
Applications: IHC,  IHC-P, WB
H00027065-M01
Species: Hu, Rt
Applications: ELISA, ICC/IF, S-ELISA, WB
NB100-56098
Species: Ca, Hu, Mu, Rt
Applications: IHC,  IHC-P, IP, WB
NB100-2736
Species: Hu, Mu, Rt
Applications: IHC, IHC-Fr,  IHC-P, IP, WB
AF820
Species: Hu, Mu
Applications: ICC, IHC, KO, Simple Western, WB
AF6897
Species: Hu, Mu
Applications: IHC, Simple Western, WB
NB500-106
Species: Ch, Dr, Fi, Hu, Mar, Mu, Po, Pm, Rb, Rt, Ye, Ze
Applications: ChIP, ChIP, ELISA, Flow, ICC/IF, IHC-FrFl, IHC, IHC-Fr,  IHC-P, IP, Simple Western, WB
MAB6495
Species: Hu
Applications: ICC, Simple Western, WB
NB600-302
Species: Bv, Dr, Hu, Mu
Applications: ChIP, ELISA, Flow-IC, Flow, IB, ICC/IF, IHC, IHC-Fr,  IHC-P, IP, PLA, S-ELISA, Simple Western, WB
AF231
Species: Hu
Applications: CyTOF-ready, Dual ISH-IHC, ELISA(Cap), ELISA(Det), ELISA(Sta), Flow, ICC, IHC, IP, Simple Western, WB
1129-ER
Species: Hu
Applications: BA
NBP2-32840
Species: Hu, Pm, Mu, Rt
Applications: Flow, ICC/IF, IHC,  IHC-P, WB
AF800
Species: Hu, Mu
Applications: IP, Simple Western, WB
NBP2-42864
Species: Hu, Mu, Rt
Applications: ICC/IF, IHC,  IHC-P, IP, WB
NBP2-68858
Species: Hu
Applications: IHC,  IHC-P

Publications for p53 Antibody (NBP1-78987) (0)

There are no publications for p53 Antibody (NBP1-78987).
By submitting your publication information earn gift cards and discounts for future purchases.

Reviews for p53 Antibody (NBP1-78987) (0)

There are no reviews for p53 Antibody (NBP1-78987). By submitting a review you will receive an Amazon e-Gift Card or Novus Product Discount.
  • Review with no image -- $10/€7/£6/$10 CAD/¥70 Yuan/¥1110 Yen
  • Review with an image -- $25/€18/£15/$25 CAD/¥150 Yuan/¥2500 Yen

Product General Protocols

View specific protocols for p53 Antibody (NBP1-78987): Find general support by application which include: protocols, troubleshooting, illustrated assays, videos and webinars.

FAQs for p53 Antibody (NBP1-78987) (0)

There are no specific FAQs related to this product. Read our general customer & technical service FAQs.

Secondary Antibodies

 

Isotype Controls

Additional p53 Products

Research Areas for p53 Antibody (NBP1-78987)

Find related products by research area.

Blogs on p53. Showing 1-10 of 19 blog posts - Show all blog posts.

Developmental regulator Daam2 promotes glial cell tumors by degrading Von Hippel-Lindau protein
By Jamshed Arslan Pharm.D. Glioblastoma is an aggressive type of cancer that forms from the star-shaped glial cells of the central nervous system, called astrocytes. Intriguingly, several genes linked to glioblasto...  Read full blog post.

Autophagy independent roles of the core ATG proteins
By Christina Towers, PhD. Autophagy and ATG ProteinsAutophagy is a nutrient recycling process that cells use to fuel metabolism, particularly in response to nutrient deprivation.  It is critical for removal of dam...  Read full blog post.

Killing two birds with one stone: Treating inflammation and cancer by inhibiting prolyl-4-hydroxylase-1
By Jamshed Arslan Pharm.D. The cell’s oxygen-sensing machinery comprises prolyl-4-hydroxylases (P4Hs 1-3, PHDs 1-3, or EGLN 1-3) and their canonical target hypoxia-inducible factors (HIFs). When oxygen levels ...  Read full blog post.

Pathway Highlight: Which caspase substrates contribute to the morphological features associated with apoptosis?
Apoptosis, or programmed cell death, is controlled by a caspase signal cascade that activates downstream signals to induce the morphological changes used to differentiate apoptosis from other forms of cell death.  Novus Biologicals offers a variet...  Read full blog post.

The role of p53 in UV radiation DNA damage and subsequent tumorogenesis
p53, the protein product of the tp53 gene, is one of the most widely studied tumor suppressor proteins in cancer research.  p53 is unique in that it demonstrates both tumor suppressive and tumor progressive properties depending on whether it is fu...  Read full blog post.

MAPK8/JNK1 - A multifunctional kinase and drug target for cancer therapeutics
The c-Jun N-terminal kinase (JNK) family is a group of regulatory kinases with important functions in cell morphogenesis, inflammation, differentiation, and cell death (1). Aberrant activation of JNK family proteins in cancers has led to interest i...  Read full blog post.

p53 - Investigating an important tumor suppressor
p53 is a tumor suppressor that has a central role in regulating cell cycle arrest, DNA repair, and apoptosis. p53 is widely studied for its role in cancer and is mutated or altered in more than half of all cancers (1). This widespread role in tumor...  Read full blog post.

ATM - detecting and responding to DNA damage
Ataxia telangiectasia mutated (ATM) is essential for the maintenance of genomic stability. ATM is a 370 kDa serine-threonine kinase that is constitutively expressed in various tissues. Although primarily nuclear, ATM is also found at lower levels ...  Read full blog post.

NOXA - a BH3-only protein balancing cell death decisions
Noxa is a BH3-only protein involved in regulating cell death decisions. Noxa is a primary p53-response gene and is upregulated in response to p53 overexpression or DNA damage. Noxa can also be induced by alternative mechanisms including through a ...  Read full blog post.

p73: An Important Tumor Suppressor Cousin of p53
p73 has been identified as a long-lost cousin of the p53 tumor suppressor protein. It has high homology with both p53 and with p63, a gene implicated in the maintenance of epithelial stem cells. The presence of significant homology between the DNA-bin...  Read full blog post.

Showing 1-10 of 19 blog posts - Show all blog posts.

Contact Information

Product PDFs

Calculators

Concentration Calculator

The concentration calculator allows you to quickly calculate the volume, mass or concentration of your vial. Simply enter your mass, volume, or concentration values for your reagent and the calculator will determine the rest.

=
÷

Review this Product

Be the first to review our p53 Antibody (M26-A) and receive a gift card or discount.

Bioinformatics

Gene Symbol TP53