P-Selectin/CD62P Antibody (JM10-95) Summary
| Additional Information |
Recombinant Monoclonal Antibody. |
| Immunogen |
Synthetic peptide within human P-Selectin/CD62P aa 796-830/830. (SwissProt: P16109 Human) |
| Localization |
Cell membrane. |
| Isotype |
IgG |
| Clonality |
Monoclonal |
| Host |
Rabbit |
| Gene |
SELP |
| Purity |
Protein A purified |
| Innovator's Reward |
Test in a species/application not listed above to receive a full credit towards a future purchase. |
Applications/Dilutions
| Dilutions |
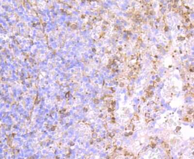
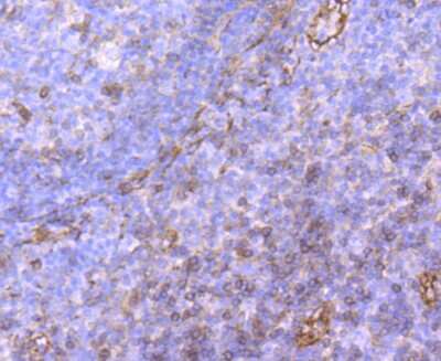
- Immunohistochemistry
- Immunohistochemistry-Paraffin 1:50-1:200
- Western Blot 1:1000-1:2000
|
Packaging, Storage & Formulations
| Storage |
Store at 4C short term. Aliquot and store at -20C long term. Avoid freeze-thaw cycles. |
| Buffer |
TBS (pH7.4), 0.05% BSA, 40% Glycerol |
| Preservative |
0.05% Sodium Azide |
| Concentration |
1 mg/ml |
| Purity |
Protein A purified |
Alternate Names for P-Selectin/CD62P Antibody (JM10-95)
Background
CD62P is a member of the small selectin family of cellular adhesion molecules, which also includes CD62E and CD62L. Its structure, similar to the other members of the selectin family, consists of an N terminal lectin like domain of C type, followed by an epidermal growth factor like motif, a series of short consensus repeats, a transmembrane domain, and a cytoplasmic tail. The CD62P antigen is a 140 kDa glycoprotein, located in the alpha granules and the dense granules of platelets and endothelial cells. Activation of these cells results in rapid mobilization of CD62P from the storage granules to the cell surface. Activated platelets have a stable CD62P expression, while the endothelial cells lose CD62P expression within 1 h of activation, because of endocytosis of the molecule. CD62P is also expressed on megakaryocytes, but resting platelets and endothelial cells show no surface staining of CD62P.
Limitations
This product is for research use only and is not approved for use in humans or in clinical diagnosis. Primary Antibodies are
guaranteed for 1 year from date of receipt.
Customers Who Viewed This Item Also Viewed...
Species: Hu
Applications: ELISA(Cap), ELISA(Det), ELISA(Sta), Flow, ICC, IHC, IP, WB
Species: Mu
Applications: AdBlk, IHC, WB
Species: Hu
Applications: BA
Species: Hu
Applications: CyTOF-ready, ELISA(Cap), ELISA(Det), ELISA(Sta), Flow
Species: Ca, Fe, Hu, Mu
Applications: Dual ISH-IHC, ICC/IF, IHC, IHC-Fr, IHC-P
Species: Hu
Applications: BA
Species: Hu
Applications: ELISA
Species: Hu
Applications: CyTOF-ready, ELISA, Flow, ICC/IF, IHC, IHC-P, PA, WB
Species: Hu, Mu
Applications: Flow-IC, Flow, ICC/IF, IHC, IHC-Fr, IHC-P, IP, WB
Species: Ca, Hu
Applications: B/N, DB, EM, ELISA, Flow-IC, Flow, Func, ICC/IF, IHC-WhMt, IP, In vitro, WB
Species: Mu
Applications: ELISA
Species: Hu
Applications: CyTOF-ready, Flow, WB
Species: Hu
Applications: AdBlk, CyTOF-ready, Flow, ICC
Species: Hu, Mu
Applications: CyTOF-ready, ELISA, Flow-CS, Flow, ICC/IF, IHC, IHC-Fr, IHC-P, WB
Species: Hu
Applications: ELISA
Species: Bv, Ce, ChHa, Hu, Pm, Mu, Rt, RM
Applications: Dual ISH-IHC, Flow-CS, Flow, ICC/IF, IHC, IHC-Fr, IHC-P, ISH, Simple Western, Single-Cell Western, WB
Species: Hu
Applications: ICC/IF
Species: Hu, Mu, Rt
Applications: CyTOF-ready, Flow, ICC, IHC, Simple Western, WB
Species: Hu
Applications: ELISA
Species: Hu
Applications: WB, IHC
Publications for P-Selectin/CD62P Antibody (NBP2-67080) (0)
There are no publications for P-Selectin/CD62P Antibody (NBP2-67080).
By submitting your publication information earn gift cards and discounts for future purchases.
Reviews for P-Selectin/CD62P Antibody (NBP2-67080) (0)
There are no reviews for P-Selectin/CD62P Antibody (NBP2-67080).
By submitting a review you will receive an Amazon e-Gift Card or Novus Product Discount.
- Review with no image -- $10/€7/£6/$10 CAD/¥70 Yuan/¥1110 Yen
- Review with an image -- $25/€18/£15/$25 CAD/¥150 Yuan/¥2500 Yen
Product General Protocols
Find general support by application which include: protocols, troubleshooting, illustrated assays, videos and webinars.
Video Protocols
FAQs for P-Selectin/CD62P Antibody (NBP2-67080) (0)
Secondary Antibodies
| |
Isotype Controls
|
Additional P-Selectin/CD62P Products
Blogs on P-Selectin/CD62P