Nucleolin Antibody (NCL/7338) - Azide and BSA Free

Images

 
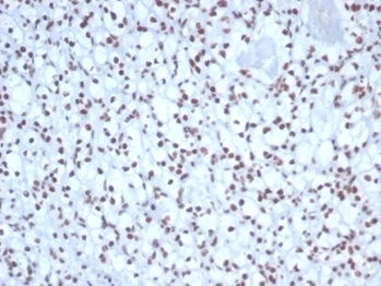
Formalin-fixed, paraffin-embedded human kidney stained with Nucleolin antibody (NCL/7338). HIER: Tris/EDTA, pH9.0, 45min. Secondary: HRP-polymer, 30min. DAB, 5min.
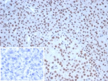
Formalin-fixed, paraffin-embedded human pancreas stained with Nucleolin antibody (NCL/7338). HIER: Tris/EDTA, pH9.0, 45min. Secondary: HRP-polymer, 30min. DAB, 5min.

Product Details

Summary
Reactivity HuSpecies Glossary
Applications IHC
Clone
NCL/7338
Clonality
Monoclonal
Host
Mouse
Conjugate
Unconjugated
Format
Azide and BSA Free
Concentration
1 mg/ml

Order Details

Nucleolin Antibody (NCL/7338) - Azide and BSA Free Summary

Description
1.0 mg/ml of antibody purified from Bioreactor Concentrate by Protein A/G. Prepared in 10mM PBS WITHOUT BSA & azide. Also available at 200 ug/ml WITH BSA & azide (NBP3-13980).

Antibody with azide - store at 2 to 8C. Antibody without azide - store at -20 to -80 C.
Immunogen
Recombinant full-length human Nucleolin protein (Uniprot: P19338)
Localization
Nucleoli
Marker
Marker of Human Cells
Specificity
Recognizes a protein of ~76kDa, which is identified as Nucleolin (NCL). It is the major nucleolar phosphoprotein of growing eukaryotic cells. NCL is located mainly in dense fibrillar regions of the nucleolus. It is found associated with intranucleolar chromatin and pre-ribosomal particles. Human NCL gene consists of 14 exons with 13 introns and spans approximately 11kb. It induces chromatin decondensation by binding to histone H1. It is thought to play a role in pre-rRNA transcription and ribosome assembly. This monoclonal antibody can be used to stain the nucleoli in cell or tissue preparations and can be used as a marker of the nucleoli in subcellular fractions. It produces a speckled pattern in the nuclei of cells of normal and malignant cells and may be used to stain the nucleoli of cells in fixed or frozen tissue sections. It can be used with paraformaldehyde fixed frozen tissue or cell preparations and formalin fixed, paraffin-embedded tissue sections.
Isotype
IgG2b Kappa
Clonality
Monoclonal
Host
Mouse
Gene
NCL
Purity
Protein A or G purified
Innovator's Reward
Test in a species/application not listed above to receive a full credit towards a future purchase.

Applications/Dilutions

Dilutions
  • Immunohistochemistry-Paraffin 1-2 ug/ml
Application Notes
Immunohistochemistry (Formalin-fixed): 1-2ug/ml for 30 minutes at RT. Staining of formalin-fixed tissues requires heating tissue sections in 10mM Tris with 1mM EDTA, pH 9.0, for 45 min at 95C followed by cooling at RT for 20 minutes
Theoretical MW
76 kDa.
Disclaimer note: The observed molecular weight of the protein may vary from the listed predicted molecular weight due to post translational modifications, post translation cleavages, relative charges, and other experimental factors.

Reactivity Notes

Does not react with Mouse, Feline, Bovine, Canine or Equine.

Packaging, Storage & Formulations

Storage
Store at -20 to -80C. Avoid freeze-thaw cycles.
Buffer
10mM PBS
Preservative
No Preservative
Concentration
1 mg/ml
Purity
Protein A or G purified

Alternate Names for Nucleolin Antibody (NCL/7338) - Azide and BSA Free

  • C23
  • FLJ45706
  • FLJ59041
  • nucleolin
  • Protein C23

Background

Nucleolin is an abundant, 106 kDa nucleolar phosphoprotein. It is the major protein in actively dividing cells, whereas the degraded forms are relatively abundant in non-dividing cells. Stability of the nucleolin protein is cell proliferation-dependent. It plays a role in rDNA transcription, organization, and rRNA processing. It may alter DNA organization in response to cell cycle controls. Nucleolin antibodies are commonly used as a mammalian nucleolus marker.

Limitations

This product is for research use only and is not approved for use in humans or in clinical diagnosis. Primary Antibodies are guaranteed for 1 year from date of receipt.

Customers Who Viewed This Item Also Viewed...

NB110-61646
Species: Hu, Mu
Applications: ICC/IF, IHC,  IHC-P, IP, WB
NBP2-45388
Species: Hu
Applications: IHC,  IHC-P, WB
NB300-269
Species: Bv, Ce, Ch, Dr, Eq, Hu, Mu, Pl, Po, Rt, Y, Ye
Applications: Flow, ICC/IF, IHC-WhMt, IHC, IHC-Fr,  IHC-P, KD, WB
NBP1-31758
Species: Hu, Mu
Applications: ICC/IF, IHC,  IHC-P, WB
NBP3-47582
Species: Hu, Mu, Rt
Applications: ELISA, ICC/IF, IHC, WB
NBP2-92342
Species: Hu
Applications: ELISA, IHC,  IHC-P, WB
NBP2-39066
Species: Hu
Applications: IHC,  IHC-P, WB
NBP1-94150
Species: Hu
Applications: IHC,  IHC-P, WB
NBP1-85729
Species: Hu, Mu, Rt
Applications: ICC/IF, IHC,  IHC-P, WB
NB200-103
Species: Hu, Mu, Rt, Xp(-), Ye
Applications: CyTOF-ready, ELISA, Flow-IC, Flow, ICC/IF, IHC, IHC-Fr,  IHC-P, IP, WB
NBP2-29463
Species: Pm, Hu, Pm, Mu
Applications: Flow, ICC/IF, IHC,  IHC-P, WB
AF1029
Species: Mu
Applications: ICC, IHC, IP, WB
NBP1-82545
Species: Hu, Mu
Applications: ICC/IF, IHC,  IHC-P, KD, WB
NBP3-38210
Species: Hu, Mu, Rt
Applications: ELISA, ICC/IF, IHC,  IHC-P, WB
NB600-302
Species: Bv, Dr, Hu, Mu
Applications: ChIP, ELISA, Flow-IC, Flow, IB, ICC/IF, IHC, IHC-Fr,  IHC-P, IP, PLA, S-ELISA, Simple Western, WB
NB100-56098
Species: Ca, Hu, Mu, Rt
Applications: IHC,  IHC-P, IP, WB
NBP2-33466
Species: Hu
Applications: ICC/IF, IHC,  IHC-P, WB
NBP3-14014
Species: Hu
Applications: IHC

Publications for Nucleolin Antibody (NBP3-14014) (0)

There are no publications for Nucleolin Antibody (NBP3-14014).
By submitting your publication information earn gift cards and discounts for future purchases.

Reviews for Nucleolin Antibody (NBP3-14014) (0)

There are no reviews for Nucleolin Antibody (NBP3-14014). By submitting a review you will receive an Amazon e-Gift Card or Novus Product Discount.
  • Review with no image -- $10/€7/£6/$10 CAD/¥70 Yuan/¥1110 Yen
  • Review with an image -- $25/€18/£15/$25 CAD/¥150 Yuan/¥2500 Yen

Product General Protocols

Find general support by application which include: protocols, troubleshooting, illustrated assays, videos and webinars.

FAQs for Nucleolin Antibody (NBP3-14014) (0)

There are no specific FAQs related to this product. Read our general customer & technical service FAQs.

Secondary Antibodies

 

Isotype Controls

Additional Nucleolin Products

Research Areas for Nucleolin Antibody (NBP3-14014)

Find related products by research area.

Blogs on Nucleolin.

Nucleolin: A Multifaceted Nucleolar Phosphoprotein
Nucleolin is a ubiquitous, nonhistone nucleolar phosphoprotein of exponentially growing eukaryotic cells and is present in abundance at the dense fibrillar and granular regions of nucleolus. Intact nucleolin is the major species and represents 5% of n...  Read full blog post.

Nucleolin Antibodies: Knowing When it's Time to Split
Nucleolin is an abundant, 106 kDa nucleolar phosphoprotein that is a major protein in actively dividing cells. The stability of nucleolin is heavily cell proliferation-dependent, as nucleolin antibody studies have shown that degraded forms are relativ...  Read full blog post.

Nucleolin: To the Nucleus and Beyond!
Nucleolin is a multifunctional phosphoprotein ubiquitously distributed in the nucleolus, nucleus and cytoplasm of the cell. Nucleolin has a bipartite nuclear localization signal sequence and is conserved across the species. Nucleolin levels are expres...  Read full blog post.

Customers Who Bought This Also Bought

Contact Information

Product PDFs

Calculators

Concentration Calculator

The concentration calculator allows you to quickly calculate the volume, mass or concentration of your vial. Simply enter your mass, volume, or concentration values for your reagent and the calculator will determine the rest.

=
÷

Review this Product

Be the first to review our Nucleolin Antibody (NCL/7338) - Azide and BSA Free and receive a gift card or discount.

Bioinformatics

Gene Symbol NCL