NT5C2 Antibody

Images

 
Western Blot: NT5C2 Antibody [NBP1-85526] - Analysis in human cell line CAPAN-2.
Immunohistochemistry-Paraffin: NT5C2 Antibody [NBP1-85526] - Staining of human endometrium shows weak to moderate cytoplasmic positivity in glandular cells.
Western Blot: NT5C2 Antibody [NBP1-85526] - Analysis in control (vector only transfected HEK293T lysate) and NT5C2 over-expression lysate (Co-expressed with a C-terminal myc-DDK tag (3.1 kDa) in mammalian HEK293T cells).
Western Blot: NT5C2 Antibody [NBP1-85526] - Analysis in human cell line A-431 and human cell line HeLa.
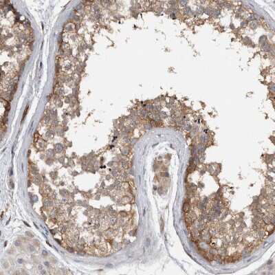
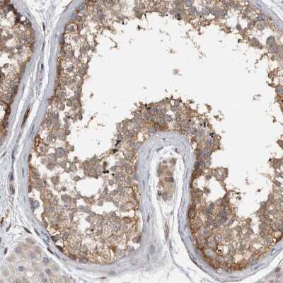
Immunohistochemistry-Paraffin: NT5C2 Antibody [NBP1-85526] - Staining of human testis shows cytoplasmic positivity in seminiferus duct cells.
Immunohistochemistry-Paraffin: NT5C2 Antibody [NBP1-85526] - Staining of human testis shows weak to moderate cytoplasmic positivity in cells in tubules.
Immunohistochemistry-Paraffin: NT5C2 Antibody [NBP1-85526] - Staining of human liver shows weak to moderate cytoplasmic positivity in hepatocytes.
Immunohistochemistry-Paraffin: NT5C2 Antibody [NBP1-85526] - Staining of human skeletal muscle shows weak to moderate cytoplasmic positivity in myocytes.

Product Details

Summary
Product Discontinued
View other related NT5C2 Primary Antibodies

Order Details


    • Catalog Number
      NBP1-85526
    • Availability
      Product Discontinued

    Can't find what you are looking for? Use our Antibody Concierge Service & we will help you locate your antibody!

    Or feel free to contact us for alternative products.

NT5C2 Antibody Summary

Immunogen
This antibody was developed against Recombinant Protein corresponding to amino acids: KHLDSSSNERPDISSIQRRIKKVTHDMDMCYGMMGSLFRSGSRQTLFASQVMRYADLYAASFINLLYYPFSYLFRAAHVLMPHESTVEHTHVDINEMESPLATRNRTSVDFKDTDYKRHQLTRSISEIKPPNLFPLA
Predicted Species
Mouse (100%), Rat (100%). Backed by our 100% Guarantee.
Isotype
IgG
Clonality
Polyclonal
Host
Rabbit
Gene
NT5C2
Purity
Immunogen affinity purified
Innovator's Reward
Test in a species/application not listed above to receive a full credit towards a future purchase.

Applications/Dilutions

Dilutions
  • Immunohistochemistry 1:20 - 1:50
  • Immunohistochemistry-Paraffin 1:20 - 1:50
  • Western Blot 0.04-0.4 ug/ml
Application Notes
For IHC-Paraffin, HIER pH 6 retrieval is recommended.

Packaging, Storage & Formulations

Storage
Store at 4C short term. Aliquot and store at -20C long term. Avoid freeze-thaw cycles.
Buffer
PBS (pH 7.2) and 40% Glycerol
Preservative
0.02% Sodium Azide
Purity
Immunogen affinity purified

Alternate Names for NT5C2 Antibody

  • 5'-nucleotidase (purine), cytosolic type B
  • 5'-nucleotidase, cytosolic II
  • cN-II
  • Cytosolic 5'-nucleotidase II
  • EC 3.1.3
  • EC 3.1.3.5
  • GMP
  • NT5BIMP-specific 5'-NT
  • NT5CP
  • PNT5cytosolic purine 5'-nucleotidase
  • purine 5' nucleotidase

Background

Purine 5-prime-nucleotidase (EC 3.1.3.5) preferentially hydrolyzes inosine 5-prime-monophosphate (IMP) and other purine nucleotides, and is allosterically activated by various compounds, including ATP. The enzyme is exclusively located in the cytoplasmic matrix of cells and may have a critical role in the maintenance of a constant composition of intracellular purine/pyrimidine nucleotides in cooperation with other nucleotidases.[supplied by OMIM]

Limitations

This product is for research use only and is not approved for use in humans or in clinical diagnosis. Primary Antibodies are guaranteed for 1 year from date of receipt.

Customers Who Viewed This Item Also Viewed...

NBP2-48480
Species: Hu
Applications: Flow-CS, Flow, IHC, IHC-Fr,  IHC-P
NBP2-43639
Species: Hu, Mu, Rt
Applications: ICC/IF, IHC,  IHC-P, IP, WB
NBP1-84838
Species: Hu
Applications: IHC,  IHC-P
NBP1-91705
Species: Hu, Mu, Rt
Applications: ICC/IF, IHC,  IHC-P, WB
NBP1-83107
Species: Hu
Applications: ICC/IF, IHC,  IHC-P, WB
NBP2-39019
Species: Hu
Applications: ICC/IF, IHC,  IHC-P, WB
NBP1-85525
Species: Hu
Applications: IHC,  IHC-P, WB
NBP1-31661
Species: Hu, Mu, Rt, Ze
Applications: ICC/IF, IHC,  IHC-P, Simple Western, WB
NBP3-25643
Species: Ca, Fe, Hu, Mu, Rt
Applications: ICC/IF, IHC,  IHC-P, WB
NBP2-21792
Species: Hu
Applications: CyTOF-ready, Flow, ICC/IF, IHC,  IHC-P, IP, WB
NBP3-03338
Species: Hu, Mu, Rt
Applications: ICC/IF, IHC,  IHC-P, WB
NBP1-26612
Species: Hu
Applications: IP (-), WB
MAB7330
Species: Hu
Applications: CyTOF-ready, ICFlow
MAB7446
Species: Hu
Applications: CyTOF-ready, Flow
NBP2-46198
Species: Hu
Applications: IHC,  IHC-P, WB
NBP1-84563
Species: Hu
Applications: ICC/IF, IHC,  IHC-P, KD, Simple Western, WB
NBP2-01151
Species: Hu
Applications: Flow, IHC,  IHC-P, WB
NBP1-85526
Species: Hu, Mu, Rt
Applications: WB, IHC

Publications for NT5C2 Antibody (NBP1-85526) (0)

There are no publications for NT5C2 Antibody (NBP1-85526).
By submitting your publication information earn gift cards and discounts for future purchases.

Reviews for NT5C2 Antibody (NBP1-85526) (0)

There are no reviews for NT5C2 Antibody (NBP1-85526). By submitting a review you will receive an Amazon e-Gift Card or Novus Product Discount.
  • Review with no image -- $10/€7/£6/$10 CAD/¥70 Yuan/¥1110 Yen
  • Review with an image -- $25/€18/£15/$25 CAD/¥150 Yuan/¥2500 Yen

Product General Protocols

Find general support by application which include: protocols, troubleshooting, illustrated assays, videos and webinars.

Video Protocols

WB Video Protocol

FAQs for NT5C2 Antibody (NBP1-85526) (0)

There are no specific FAQs related to this product. Read our general customer & technical service FAQs.

Contact Information

Product PDFs

Calculators

Concentration Calculator

The concentration calculator allows you to quickly calculate the volume, mass or concentration of your vial. Simply enter your mass, volume, or concentration values for your reagent and the calculator will determine the rest.

=
÷

Review this Product

Be the first to review our NT5C2 Antibody and receive a gift card or discount.

Bioinformatics

Gene Symbol NT5C2