Noxa Antibody (JA30-03) Summary
| Additional Information |
Recombinant Monoclonal Antibody. |
| Immunogen |
Synthetic peptide within Human Noxa aa 5-54 / 54. (SwissProt: Q13794 Human) |
| Localization |
Mitochondrion. |
| Isotype |
IgG |
| Clonality |
Monoclonal |
| Host |
Rabbit |
| Gene |
PMAIP1 |
| Purity |
Protein A purified |
| Innovator's Reward |
Test in a species/application not listed above to receive a full credit towards a future purchase. |
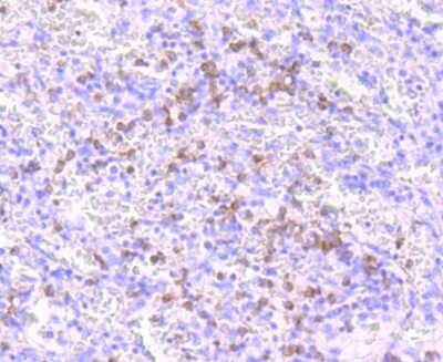
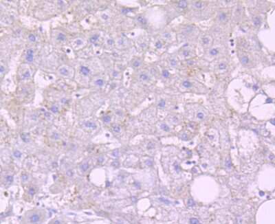
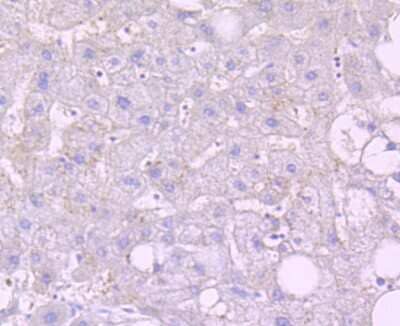
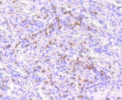
Applications/Dilutions
| Dilutions |
- Flow Cytometry 1:50
- Immunohistochemistry
- Immunohistochemistry-Paraffin 1:50-1:200
- Western Blot 1:500
|
| Theoretical MW |
6 kDa. Disclaimer note: The observed molecular weight of the protein may vary from the listed predicted molecular weight due to post translational modifications, post translation cleavages, relative charges, and other experimental factors. |
Packaging, Storage & Formulations
| Storage |
Store at 4C short term. Aliquot and store at -20C long term. Avoid freeze-thaw cycles. |
| Buffer |
TBS (pH7.4), 0.05% BSA, 40% Glycerol |
| Preservative |
0.05% Sodium Azide |
| Concentration |
1 mg/ml |
| Purity |
Protein A purified |
Alternate Names for Noxa Antibody (JA30-03)
Background
Noxa, phorbol-12-myristate-13-acetate-induced protein 1, PMA-induced protein 1, PMAIP1 (Human 6 kDa and Mouse 11.6 kDa) is a Bcl2 homology 3 (BH3) domain containing protein which plays a role in the regulation of apoptosis, specifically a pro-apoptotic role. Human Noxa contains only one BH3 domain, while the mouse and rat proteins contain two BH3 domains. The human protein is encoded by Exon 1 and 3, with Exon 2 present only in two splice variants. Human Noxa splice variants lack a BH3 domain, have no known function, and are rapidly targeted for degradation (1).
Noxa mediated apoptosis may follow its transcriptional activation by p53 as part of the DNA damage response. However, Noxa expression may be induced by HIF-1 alpha under hypoxia, promoting apoptosis independently of p53 (1). Inhibition of the anti-apoptotic Bcl2 family member Myeloid cell leukemia-1 (Mcl-1) by Noxa, leads to the activation of pro-apoptotic Bcl2 homologous antagonist killer (Bak) and Bcl2 associated X (Bax) proteins, and apoptosis through the intrinsic mitochondrial pathway (2). Other BH3 only proteins such as Bim, Puma, Bad and Bid act via the same mechanism, targeting Mcl-1 and inducing Bak/Bax mediated mitochondrial outer membrane permeabilization (MOMP), cytochrome c release and caspase 9 activation (3). Overexpression of antiapoptotic Bcl2 family members is common in various types of cancer including prostate cancer. A recent study identified antiapoptotic Bcl2 proteins involved in the development of resistance towards the androgen receptor antagonist enzalutamide, which is used for the treatment of metastatic castration-resistant prostate cancer (mCRPC) (3).
References
1.Ploner, C., Kofler, R., & Villunger, A. (2008). Noxa: At the tip of the balance between life and death. Oncogene. https://doi.org/10.1038/onc.2009.46
2.Xiang, W., Yang, C. Y., & Bai, L. (2018). MCL-1 inhibition in cancer treatment. OncoTargets and Therapy. https://doi.org/10.2147/OTT.S146228
3.Pilling, A. B., & Hwang, C. (2019). Targeting prosurvival BCL2 signaling through Akt blockade sensitizes castration-resistant prostate cancer cells to enzalutamide. Prostate. https://doi.org/10.1002/pros.23843
Limitations
This product is for research use only and is not approved for use in humans or in clinical diagnosis. Primary Antibodies are
guaranteed for 1 year from date of receipt.
Customers Who Viewed This Item Also Viewed...
Species: Hu, Mu, Rt, Xp(-), Ye
Applications: CyTOF-ready, ELISA, Flow-IC, Flow, ICC/IF, IHC, IHC-Fr, IHC-P, IP, WB
Species: Hu, Rt
Applications: ELISA, ICC/IF, IHC, IHC-P, WB
Species: Hu, Mu, Rt
Applications: ELISA, ICC/IF, IHC, IHC-P, Simple Western, WB
Species: Ca, Hu, Mu, Rt
Applications: IHC, IHC-P, IP, WB
Species: Hu
Applications: IHC, IHC-P, IP, WB
Species: Hu, Mu
Applications: ICC, IHC, KO, Simple Western, WB
Species: Hu, Mu
Applications: IP, Simple Western, WB
Species: Hu
Applications: ICC, IHC, WB
Species: Pm, Hu, Pm, Mu
Applications: Flow, ICC/IF, IHC, IHC-P, WB
Species: Mu
Applications: ELISA
Species: Hu, Mu
Applications: IP, Simple Western, WB
Species: Hu, Mu
Applications: ICC, IHC
Species: Hu
Applications: BA
Species: Dr, Hu, Mu, Rb, Rt
Applications: Flow-CS, Flow-IC, Flow, IB, ICC/IF, IHC, IHC-P, Simple Western, WB
Species: Hu
Applications: ELISA
Species: Hu
Applications: IHC, IHC-P, WB
Species: Hu, Rt
Applications: ELISA, ICC/IF, S-ELISA, WB
Species: Ca, Ma, Hu, Mu, Rt
Applications: Flow-IC, ICC/IF, IHC, IHC-Fr, IHC-P, IP, WB
Publications for Noxa Antibody (NBP2-66989) (0)
There are no publications for Noxa Antibody (NBP2-66989).
By submitting your publication information earn gift cards and discounts for future purchases.
Reviews for Noxa Antibody (NBP2-66989) (0)
There are no reviews for Noxa Antibody (NBP2-66989).
By submitting a review you will receive an Amazon e-Gift Card or Novus Product Discount.
- Review with no image -- $10/€7/£6/$10 CAD/¥70 Yuan/¥1110 Yen
- Review with an image -- $25/€18/£15/$25 CAD/¥150 Yuan/¥2500 Yen
Product General Protocols
Find general support by application which include: protocols, troubleshooting, illustrated assays, videos and webinars.
Video Protocols
FAQs for Noxa Antibody (NBP2-66989) (0)