NECAB1 Antibody (NECAB1/7680) - Azide and BSA Free

Images

 
Formalin-fixed, paraffin-embedded human brain stained with NECAB1 antibody (NECAB1/7680). Inset: PBS instead of primary antibody; secondary only negative control.
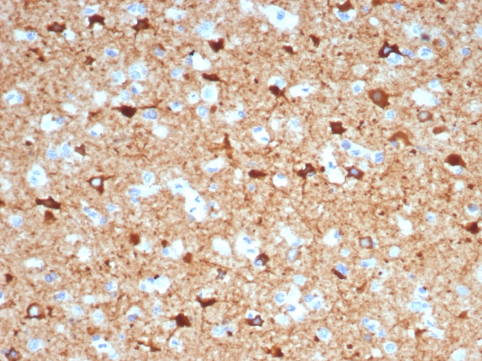
Formalin-fixed, paraffin-embedded human brain stained with NECAB1 antibody (NECAB1/7680). HIER: Tris/EDTA, pH9.0, 45min. Secondary: HRP-polymer, 30min. DAB, 5min.
Western Blot Analysis of Human Brain tissue lysate using NECAB1 Antibody (NECAB1/7680) - Azide and BSA Free.

Product Details

Summary
Reactivity HuSpecies Glossary
Applications IHC
Clone
NECAB1/7680
Clonality
Monoclonal
Host
Mouse
Conjugate
Unconjugated
Format
Azide and BSA Free
Concentration
1 mg/ml

Order Details

NECAB1 Antibody (NECAB1/7680) - Azide and BSA Free Summary

Description
Positive Controls: Human cerebral cortex.

Antibody with azide - store at 2 to 8C. Antibody without azide - store at -20 to -80C. Non-hazardous. No MSDS required.
Immunogen
Recombinant human NECAB1 protein
Localization
Cytoplasm.
Isotype
IgG
Clonality
Monoclonal
Host
Mouse
Gene
NECAB1
Purity
Protein A or G purified
Innovator's Reward
Test in a species/application not listed above to receive a full credit towards a future purchase.

Applications/Dilutions

Dilutions
  • Immunohistochemistry-Paraffin 1-2 ug/ml
Application Notes
Immunohistochemistry (Formalin-fixed): 1-2ug/ml for 30 minutes. at RT. Staining of formalin-fixed tissues requires heating tissue sections in 10mM Tris with 1mM EDTA, pH 9.0, for 45 min at 95C followed by cooling at RT for 20 minutes.

Optimal dilution for a specific application should be determined.

Packaging, Storage & Formulations

Storage
Store at -20 to -70C. Avoid freeze-thaw cycles.
Buffer
10mM PBS
Preservative
No Preservative
Concentration
1 mg/ml
Purity
Protein A or G purified

Alternate Names for NECAB1 Antibody (NECAB1/7680) - Azide and BSA Free

  • EF hand calcium binding protein 1
  • EFCBP1
  • EF-hand calcium binding protein 1
  • EF-hand calcium-binding protein 1
  • neuronal calcium binding protein
  • Neuronal calcium-binding protein 1
  • N-terminal EF-hand calcium binding protein 1
  • N-terminal EF-hand calcium-binding protein 1
  • STIP-1
  • synaptotagmin interacting protein 1

Background

The NECAB1 gene codes for a N-terminal EF-hand calcium-binding protein 1 that in isoform 1 is 351 amino acids long and 40 kDA and in isoform 2 is 100 amino acids long at 11 kDA. NECAB1 has been linked to diseases such as seizures, schizophrenia, alzheimer's disease, motor neuron disease, neuronitis, and neurodegenerative disease.

Limitations

This product is for research use only and is not approved for use in humans or in clinical diagnosis. Primary Antibodies are guaranteed for 1 year from date of receipt.

Customers Who Viewed This Item Also Viewed...

NBP2-50028
Species: Bv, Hu, Mu, Rt
Applications: ICC/IF, IHC-FrFl, IHC,  IHC-P, WB
H00030818-M01
Species: Hu
Applications: ELISA, ICC/IF, IP, S-ELISA, WB
NBP1-84002
Species: Hu, Mu
Applications: ICC/IF, IHC,  IHC-P, WB
NBP2-68925
Species: Hu
Applications: IHC,  IHC-P, WB
H00010963-M01
Species: Hu, Mu
Applications: ELISA, ICC/IF, IHC,  IHC-P, IP, S-ELISA, WB
AF2185
Species: Hu, Mu, Rt
Applications: IP, WB
NBP1-88220
Species: Hu, Mu, Rt
Applications: ICC/IF, IHC,  IHC-P, KD, WB
NBP1-88191
Species: Hu, Mu
Applications: IHC,  IHC-P, WB
NB120-11427
Species: Fe, Hu, Mu, Rt
Applications: ELISA, ICC/IF, IHC-FrFl, IHC, IHC-Fr,  IHC-P, IP, WB
NBP2-14871
Species: Mu, Rt
Applications: ICC/IF, WB
NB120-2860
Species: Ba, Bv, Ch, Hu, Mu, Rt
Applications: ELISA, Flow, ICC/IF, IHC,  IHC-P, WB
NBP2-15669
Species: Mu, Rt, Ze
Applications: IHC-WhMt, IHC, WB
NBP1-06274
Species: Ce, Ch, Dr, Hu, Mu, Rt, Sh, Ze
Applications: Flow, ICC/IF, IHC-FrFl, IHC,  IHC-P, Simple Western, WB
NB100-74510
Species: Hu, Mu, Pm, Rt
Applications: ELISA, ICC/IF, IHC,  IHC-P, IP, WB
H00003208-B01P
Species: Hu
Applications: ICC/IF, WB
NLS418
Species: Hu
Applications: IHC,  IHC-P
NBP1-40364
Species: Hu
Applications: IHC,  IHC-P, IP, WB
NBP1-39474
Species: Ca, Gp, Hu, Mu, Po, Rb, Rt, Sh
Applications: CyTOF-ready, Flow-IC, Flow, ICC/IF, IHC, IHC-Fr,  IHC-P, WB
NBP1-88219
Species: Hu, Mu
Applications: IHC,  IHC-P, WB
NBP3-20836
Species: Hu
Applications: IHC

Publications for NECAB1 Antibody (NBP3-20836) (0)

There are no publications for NECAB1 Antibody (NBP3-20836).
By submitting your publication information earn gift cards and discounts for future purchases.

Reviews for NECAB1 Antibody (NBP3-20836) (0)

There are no reviews for NECAB1 Antibody (NBP3-20836). By submitting a review you will receive an Amazon e-Gift Card or Novus Product Discount.
  • Review with no image -- $10/€7/£6/$10 CAD/¥70 Yuan/¥1110 Yen
  • Review with an image -- $25/€18/£15/$25 CAD/¥150 Yuan/¥2500 Yen

Product General Protocols

Find general support by application which include: protocols, troubleshooting, illustrated assays, videos and webinars.

FAQs for NECAB1 Antibody (NBP3-20836) (0)

There are no specific FAQs related to this product. Read our general customer & technical service FAQs.

Customers Who Bought This Also Bought

Contact Information

Product PDFs

Calculators

Concentration Calculator

The concentration calculator allows you to quickly calculate the volume, mass or concentration of your vial. Simply enter your mass, volume, or concentration values for your reagent and the calculator will determine the rest.

=
÷

Review this Product

Be the first to review our NECAB1 Antibody (NECAB1/7680) - Azide and BSA Free and receive a gift card or discount.

Bioinformatics

Gene Symbol NECAB1