| Reactivity | HuSpecies Glossary |
| Applications | WB, Simple Western, ICC/IF, IHC, IHC-P, KD |
| Clonality | Polyclonal |
| Host | Rabbit |
| Conjugate | Unconjugated |
| Immunogen | This antibody was developed against Recombinant Protein corresponding to amino acids: KFTNTQITEHYSTCIKLSTENKITTKNAFGLHLIDFMSEILKQKDTEPTNFKVAAGTLDASTKIYAVRVDAVHADVYRVLGGLGKDAPSLEEVEGHVADGSATEMGTTKKAVKPKKKHLHRTIEQNINNLNVSEADRKCEI |
| Localization | Subcellular |
| Specificity | Specificity of human NCAPH antibody verified on a Protein Array containing target protein plus 383 other non-specific proteins. |
| Isotype | IgG |
| Clonality | Polyclonal |
| Host | Rabbit |
| Gene | NCAPH |
| Purity | Immunogen affinity purified |
| Innovator's Reward | Test in a species/application not listed above to receive a full credit towards a future purchase. |
| Dilutions |
|
||
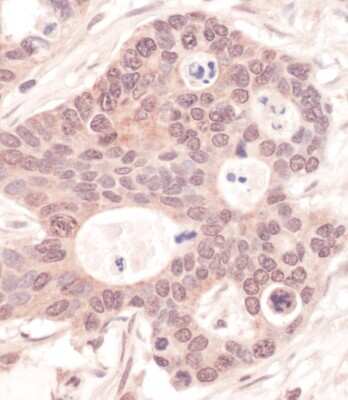
| Application Notes | For IHC-Paraffin, HIER pH 6 retrieval is recommended. ICC/IF Fixation Permeabilization: Use PFA/Triton X-100. In In Simple Western only 10 - 15 uL of the recommended dilution is used per data point. Separated by Size-Wes, Sally Sue/Peggy Sue. |
||
| Theoretical MW | 82 kDa. Disclaimer note: The observed molecular weight of the protein may vary from the listed predicted molecular weight due to post translational modifications, post translation cleavages, relative charges, and other experimental factors. |
||
| Control Peptide |
|
||
| Publications |
|
| Storage | Store at 4C short term. Aliquot and store at -20C long term. Avoid freeze-thaw cycles. |
| Buffer | PBS (pH 7.2) and 40% Glycerol |
| Preservative | 0.02% Sodium Azide |
| Purity | Immunogen affinity purified |
Secondary Antibodies |
Isotype Controls |
Diseases for NCAPH Antibody (NBP1-88345)Discover more about diseases related to NCAPH Antibody (NBP1-88345).
| Pathways for NCAPH Antibody (NBP1-88345)View related products by pathway.
|
PTMs for NCAPH Antibody (NBP1-88345)Learn more about PTMs related to NCAPH Antibody (NBP1-88345).
| Research Areas for NCAPH Antibody (NBP1-88345)Find related products by research area.
|

The concentration calculator allows you to quickly calculate the volume, mass or concentration of your vial. Simply enter your mass, volume, or concentration values for your reagent and the calculator will determine the rest.
| Gene Symbol | NCAPH |