Myelin PLP Antibody (plpc1)

Images

 
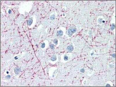
Immunohistochemistry-Paraffin: APLP-1 Antibody (plpc1) [NBP1-50309] - Analysis of anti-PLP1 antibody with human brain, cortex at concentration 10 ug/ml.
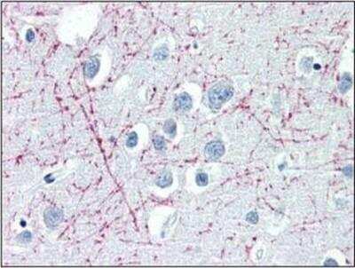
Immunohistochemistry-Paraffin: APLP-1 Antibody (plpc1) [NBP1-50309] - Analysis of anti-PLP1 antibody with human brain, cerebellum at concentration 10 ug/ml.

Product Details

Summary
Product Discontinued
View other related Myelin PLP Primary Antibodies

Order Details


    • Catalog Number
      NBP1-50309
    • Availability
      Product Discontinued

    Can't find what you are looking for? Use our Antibody Concierge Service & we will help you locate your antibody!

    Or feel free to contact us for alternative products.

Myelin PLP Antibody (plpc1) Summary

Immunogen
Synthetic peptide GRGTKF corresponding to C terminal region of myelin proteolipid protein.
Specificity
Recognizes myelin proteolipid protein (PLP) in many mammalian species. This Recognizes DM20. PLP encodes the major protein components of compact CNS myelin and mutations in the PLP gene can lead to severe dysmyelinating disease
Isotype
IgG2a
Clonality
Monoclonal
Host
Mouse
Gene
PLP1
Purity
Protein A purified
Innovator's Reward
Test in a species/application not listed above to receive a full credit towards a future purchase.

Applications/Dilutions

Dilutions
  • Flow Cytometry
  • Immunofluorescence
  • Immunohistochemistry
  • Immunohistochemistry-Frozen 1:10-1:500
  • Immunohistochemistry-Paraffin 10 ug/ml
  • Western Blot 1:100-1:2000

Reactivity Notes

Bovine, Human.

Packaging, Storage & Formulations

Storage
Store at 4C short term. Aliquot and store at -20C long term. Avoid freeze-thaw cycles.
Buffer
PBS, from tissue culture supernatant
Preservative
0.09% Sodium Azide
Concentration
1.0 mg/ml
Purity
Protein A purified

Alternate Names for Myelin PLP Antibody (plpc1)

  • DM-20
  • HLD1
  • Lipophilin
  • major myelin proteolipid protein
  • MMPL
  • Myelin PLP
  • myelin proteolipid protein
  • PLP
  • PLP/DM20
  • PLP1
  • PMD
  • proteolipid protein 1
  • spastic paraplegia 2, uncomplicated
  • SPG2

Background

This gene encodes a transmembrane proteolipid protein that is the predominant myelin protein present in the central nervous system. It may play a role in the compaction, stabilization, and maintenance of myelin sheaths, as well as in oligodendrocyte development and axonal survival. Mutations in this gene cause X-linked Pelizaeus-Merzbacher disease and spastic paraplegia type 2. Alternatively spliced transcript variants encoding distinct isoforms or having different 5' UTRs, have been identified for this gene.

Limitations

This product is for research use only and is not approved for use in humans or in clinical diagnosis. Primary Antibodies are guaranteed for 1 year from date of receipt.

Customers Who Viewed This Item Also Viewed...

NB600-717
Species: Bv
Applications: ELISA, ICC/IF, IHC, IHC-Fr,  IHC-P, RIA, RI, WB
AF2307
Species: Hu
Applications: ELISA(Cap), ELISA(Det), ELISA(Sta), WB
NBP3-04784
Species: Hu, Mu, Rt
Applications: ELISA, ICC/IF, IHC,  IHC-P, WB
538-MG
Species: Rt
Applications: BA
AF2439
Species: Mu
Applications: IHC, WB
NBP2-46617
Species: Hu, Mu, Rt
Applications: ICC/IF, IHC,  IHC-P, WB
NB300-141
Species: Bv, Ch, Eq, Gp, Hu, Mu, Po, Rb, Rt
Applications: ICC/IF, IHC, IHC-Fr,  IHC-P, Simple Western, WB
6507-IL/CF
Species: Hu
Applications: BA
485-MI
Species: Mu
Applications: BA
DY417
Species: Mu
Applications: ELISA
NBP1-33518
Species: Hu, Mu, Rt
Applications: ICC/IF, IHC,  IHC-P, IP, KD, KO, WB
202-IL
Species: Hu
Applications: BA
NBP1-19371
Species: Ca, Hu, Mu, Po, Rb, Rt
Applications: Dual ISH-IHC, Flow, ICC/IF, IHC, IHC-Fr,  IHC-P, Simple Western, WB
NBP2-32887
Species: Hu, Mu, Rt
Applications: Flow, ICC/IF, IHC,  IHC-P, WB
MAB1455
Species: Hu
Applications: CyTOF-ready, Dual ISH-IHC, ICC, IHC, ICFlow, Simple Western, WB
NB100-1607
Species: Hu, Mu, Rt
Applications: ICC/IF, IHC, IP, WB
NBP2-46376
Species: Hu
Applications: IHC,  IHC-P, WB

Publications for Myelin PLP Antibody (NBP1-50309) (0)

There are no publications for Myelin PLP Antibody (NBP1-50309).
By submitting your publication information earn gift cards and discounts for future purchases.

Reviews for Myelin PLP Antibody (NBP1-50309) (0)

There are no reviews for Myelin PLP Antibody (NBP1-50309). By submitting a review you will receive an Amazon e-Gift Card or Novus Product Discount.
  • Review with no image -- $10/€7/£6/$10 CAD/¥70 Yuan/¥1110 Yen
  • Review with an image -- $25/€18/£15/$25 CAD/¥150 Yuan/¥2500 Yen

Product General Protocols

Find general support by application which include: protocols, troubleshooting, illustrated assays, videos and webinars.

Video Protocols

WB Video Protocol

FAQs for Myelin PLP Antibody (NBP1-50309) (0)

There are no specific FAQs related to this product. Read our general customer & technical service FAQs.

Secondary Antibodies

 

Isotype Controls

Additional Myelin PLP Products

Research Areas for Myelin PLP Antibody (NBP1-50309)

Find related products by research area.

Blogs on Myelin PLP

There are no specific blogs for Myelin PLP, but you can read our latest blog posts.

Contact Information

Product PDFs

Calculators

Concentration Calculator

The concentration calculator allows you to quickly calculate the volume, mass or concentration of your vial. Simply enter your mass, volume, or concentration values for your reagent and the calculator will determine the rest.

=
÷

Review this Product

Be the first to review our Myelin PLP Antibody (plpc1) and receive a gift card or discount.

Bioinformatics

Gene Symbol PLP1