MUC1 Antibody (MUC1/7797R) - Azide and BSA Free

Images

 
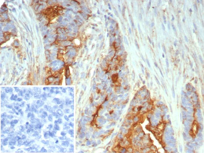
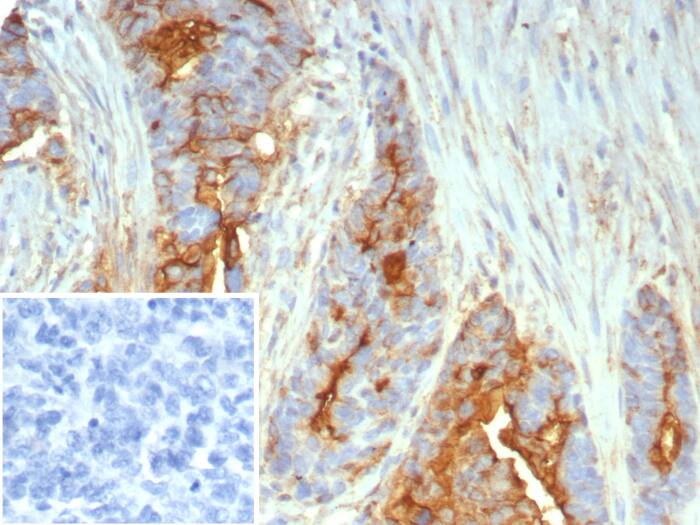
Formalin-fixed, paraffin-embedded human ovarian cancer stained with MUC1 antibody (MUC1/7797R) - Azide and BSA Free. Inset: PBS instead of primary antibody; secondary only negative control.

Product Details

Summary
Reactivity HuSpecies Glossary
Applications IHC
Clone
MUC1/7797R
Clonality
Monoclonal
Host
Rabbit
Conjugate
Unconjugated
Format
Azide and BSA Free
Concentration
1 mg/ml

Order Details

MUC1 Antibody (MUC1/7797R) - Azide and BSA Free Summary

Description
Antibody without azide - store at -20 to -80C.
Additional Information
Recombinant Monoclonal Antibody
Immunogen
Recombinant full-length human MUC1 protein
Localization
Cytoplasm. Cell surface.
Marker
Epithelial Marker
Specificity
In Western blotting, it recognizes proteins in MW range of 265-400kDa, identified as different glycoforms of EMA. This monoclonal antibody reacts with the DTRP epitope in the tandem repeats. In immunohistochemical assays, it superbly stains routine formalin/paraffin carcinoma tissues. Antibody to EMA is useful as a pan-epithelial marker for detecting early metastatic loci of carcinoma in bone marrow or liver.
Isotype
IgG Kappa
Clonality
Monoclonal
Host
Rabbit
Gene
MUC1
Purity
Protein A or G purified
Innovator's Reward
Test in a species/application not listed above to receive a full credit towards a future purchase.

Applications/Dilutions

Dilutions
  • Immunohistochemistry-Paraffin 1-2ug/ml
Application Notes
Immunohistochemistry-Paraffin: 1-2ug/ml for 30 minutes at RT. Staining of formalin-fixed tissues requires heating tissue sections in 10mM Tris with 1mM EDTA, pH 9.0, for 45 min at 95C followed by cooling at RT for 20 minutes. Optimal dilution for a specific application should be determined.

Packaging, Storage & Formulations

Storage
Store at -20 to -80C. Avoid freeze-thaw cycles.
Buffer
10mM PBS
Preservative
No Preservative
Concentration
1 mg/ml
Purity
Protein A or G purified

Alternate Names for MUC1 Antibody (MUC1/7797R) - Azide and BSA Free

  • Breast carcinoma-associated antigen DF3
  • Carcinoma-associated mucin
  • CD227 antigen
  • CD227
  • DF3 antigen
  • EMA
  • Episialin
  • H23 antigen
  • H23AG
  • KL-6
  • MAM6
  • MUC-1
  • MUC1/ZD
  • mucin 1, cell surface associated
  • mucin 1, transmembrane
  • Mucin-1
  • Peanut-reactive urinary mucin
  • PEM
  • PEMMUC-1/SEC
  • PEMT
  • Polymorphic epithelial mucin
  • PUMMUC-1/X
  • tumor associated epithelial mucin
  • Tumor-associated epithelial membrane antigen
  • Tumor-associated mucin

Background

Mucin 1 (MUC1), also known as episialin, EMA (epithelial membrane antigen), PEM (polymorphic epithelial mucin), and CA-15-3 antigen, is a membrane-bound type I transmembrane glycoprotein (1,2). MUC1 is typically expressed in the luminal or glandular epithelial cells of the gastrointestinal tract, breast, lungs, and more, and is often overexpressed in epithelial cancers, but also serves a protective role against infection and helps regulate inflammatory response (2,3). Human MUC1 is 1255 amino acids (aa) in length with a theoretical molecular weight of 122 kDa; however, depending on the amount of glycosylation can weigh between 250 - 500 kDa (2,4). Structurally, MUC1 consists of a N-terminal domain which contains a signal peptide, a variable number tandem repeat region (VNTR), and a SEA domain, as well a C-terminal domain which has the extracellular domain (ECD), transmembrane domain (TMD), and cytoplasmic tail (CT) (2,3). The VNTR is comprised of between 25 - 125 repeats of a 20 aa conserved sequence (3). MUC1 is heavily O-glycosylated in the VNTR and has moderate N-glycosylation sites following the VNTR and in the ECD (2). Glycosylation contributes to MUC1's functional properties (2). The MUC1 gene contains seven exons, giving rise to several MUC1 isoforms as a result of alternative splicing (2).

Overexpression of mucins, including MUC1, is a feature of many epithelial cancers (1,3,5,6). The presence of truncated glycan structures called tumor-associated carbohydrate antigens (TACAs) on MUC1 play a role in cancer progression and a loss of apical-basal polarity (5). Carbohydrate-binding partners called lectins are the primary binding partners of TACAs that give rise to the pro-tumor microenvironment and metastasis (5). Given this unique feature, TACAs are a potential target for cancer immunotherapies (5). There are a number of vaccines, drugs, and antibodies targeting MUC1 for treatment of a variety of cancers including breast, lung, and prostate (6). In addition to a role in cancer progression, MUC1, and specifically the CT portion, has been shown to have a positive, anti-inflammatory role in a variety of lung and airway infections (7).

References

1. Khodabakhsh, F., Merikhian, P., Eisavand, M. R., & Farahmand, L. (2021). Crosstalk between MUC1 and VEGF in angiogenesis and metastasis: a review highlighting roles of the MUC1 with an emphasis on metastatic and angiogenic signaling. Cancer cell international. https://doi.org/10.1186/s12935-021-01899-8

2. Nath, S., & Mukherjee, P. (2014). MUC1: a multifaceted oncoprotein with a key role in cancer progression. Trends in molecular medicine. https://doi.org/10.1016/j.molmed.2014.02.007

3. Dhar, P., & McAuley, J. (2019). The Role of the Cell Surface Mucin MUC1 as a Barrier to Infection and Regulator of Inflammation. Frontiers in cellular and infection microbiology. https://doi.org/10.3389/fcimb.2019.00117

4. Uniprot (P15941)

5. Beckwith, D. M., & Cudic, M. (2020). Tumor-associated O-glycans of MUC1: Carriers of the glyco-code and targets for cancer vaccine design. Seminars in immunology. https://doi.org/10.1016/j.smim.2020.101389

6. Almasmoum H. (2021). The Roles of Transmembrane Mucins Located on Chromosome 7q22.1 in Colorectal Cancer. Cancer management and research. https://doi.org/10.2147/CMAR.S299089

7. Ballester, B., Milara, J., & Cortijo, J. (2021). The role of mucin 1 in respiratory diseases. European respiratory review : an official journal of the European Respiratory Society. https://doi.org/10.1183/16000617.0149-2020

Limitations

This product is for research use only and is not approved for use in humans or in clinical diagnosis. Primary Antibodies are guaranteed for 1 year from date of receipt.

Customers Who Viewed This Item Also Viewed...

NB300-223
Species: Bv, Ca, Ch, Eq, Hu, Mu, Po, Rt
Applications: ICC/IF, IHC, IHC-Fr,  IHC-P, WB
NB120-11197
Species: Hu, Mu
Applications: Flow-IC, Flow, ICC/IF (-), IHC, IHC-Fr,  IHC-P, WB
NBP2-34594
Species: Hu, Pm
Applications: CyTOF-ready, Flow, ICC/IF, IHC,  IHC-P
AF4478
Species: Hu
Applications: IHC, WB
NBP3-41306
Species: Hu, Mu, Rt
Applications: WB
NBP2-15196
Species: Bv(-), Ch, Fe, Hu, Ma, Pm, Mu, Po, Rb, Rt
Applications: DB, Flow-IC, Flow, ICC/IF, IHC, IHC-Fr,  IHC-P, WB
NBP2-47940
Species: Hu
Applications: CyTOF-ready, Flow, ICC/IF, IF, IHC,  IHC-P, Simple Western, WB
H00004585-M07
Species: Hu, Mu
Applications: ELISA, IHC,  IHC-P, WB
NB200-103
Species: Hu, Mu, Rt, Xp(-), Ye
Applications: CyTOF-ready, ELISA, Flow-IC, Flow, ICC/IF, IHC, IHC-Fr,  IHC-P, IP, WB
1129-ER
Species: Hu
Applications: BA
AF3844
Species: Hu, Mu
Applications: IHC
NBP2-67309
Species: Hu, Rt
Applications: Flow, ICC/IF, IHC,  IHC-P, IP, WB
NB300-141
Species: Bv, Ch, Eq, Gp, Hu, Mu, Po, Rb, Rt
Applications: ICC/IF, IHC, IHC-Fr,  IHC-P, Simple Western, WB
NBP2-44374
Species: Hu
Applications: Flow, ICC/IF, IF, IHC,  IHC-P, IP, WB
AF4117
Species: Rt
Applications: IHC, WB
AF1920
Species: Hu, Mu, Rt
Applications: Simple Western, WB
AF231
Species: Hu
Applications: CyTOF-ready, Dual ISH-IHC, ELISA(Cap), ELISA(Det), ELISA(Sta), Flow, ICC, IHC, IP, Simple Western, WB
NB110-58870
Species: Hu, Mu, Rt
Applications: ICC/IF, IHC, KD, Simple Western, WB

Publications for MUC1 Antibody (NBP3-24215) (0)

There are no publications for MUC1 Antibody (NBP3-24215).
By submitting your publication information earn gift cards and discounts for future purchases.

Reviews for MUC1 Antibody (NBP3-24215) (0)

There are no reviews for MUC1 Antibody (NBP3-24215). By submitting a review you will receive an Amazon e-Gift Card or Novus Product Discount.
  • Review with no image -- $10/€7/£6/$10 CAD/¥70 Yuan/¥1110 Yen
  • Review with an image -- $25/€18/£15/$25 CAD/¥150 Yuan/¥2500 Yen

Product General Protocols

Find general support by application which include: protocols, troubleshooting, illustrated assays, videos and webinars.

FAQs for MUC1 Antibody (NBP3-24215). (Showing 1 - 1 of 1 FAQ).

  1. I would like to perform a sandwich assay for the determination of MUC1 protein. May you suggest me some antibodies that can be used together? In particular, if possible, I should need antibodies product in mouse or rabbit.
    • Unfortunately we are not aware of a pair of antibodies that have been used in sandwich ELISA in particular. If you are interested in trying two you may find our Innovators Reward Program to be helpful.

Secondary Antibodies

 

Isotype Controls

Additional MUC1 Products

Research Areas for MUC1 Antibody (NBP3-24215)

Find related products by research area.

Blogs on MUC1.

Harnessing Natural Killer Cell Activity for Anti-Tumor Immunotherapy
By Victoria Osinski, PhDWhat’s “Natural” About Natural Killer (NK) Cells?For immunologists, the term cytotoxicity often conjures up images of an army of antigen specific CD8+ T cells deploying to ...  Read full blog post.

Taking Biomarker Discovery From 2D to 3D: Increased Biological Activity of EVs Isolated From 3D Prostate Cancer Cultures
Jamshed Arslan, Pharm D, PhD Tissues within the human body are made of a three-dimensional (3D) arrangement of cells working together to perform vital functions. The commonly used 2D monolayer cultures have limited ...  Read full blog post.

Customers Who Bought This Also Bought

Contact Information

Product PDFs

Calculators

Concentration Calculator

The concentration calculator allows you to quickly calculate the volume, mass or concentration of your vial. Simply enter your mass, volume, or concentration values for your reagent and the calculator will determine the rest.

=
÷

Review this Product

Be the first to review our MUC1 Antibody (MUC1/7797R) - Azide and BSA Free and receive a gift card or discount.

Bioinformatics

Gene Symbol MUC1