MSH6 Antibody (rMSH6/8337) - Azide and BSA Free

Images

 
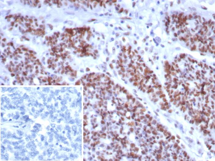
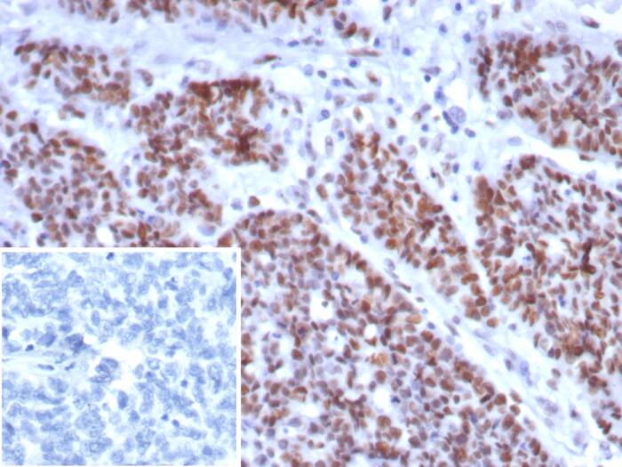
Formalin-fixed, paraffin-embedded human small intestine stained with MSH6 antibody (rMSH6/8337) - Azide and BSA Free. Inset: PBS instead of primary antibody; secondary only negative control.

Product Details

Summary
Reactivity HuSpecies Glossary
Applications IHC
Clone
rMSH6/8337
Clonality
Monoclonal
Host
Mouse
Conjugate
Unconjugated
Format
Azide and BSA Free
Concentration
1 mg/ml

Order Details

MSH6 Antibody (rMSH6/8337) - Azide and BSA Free Summary

Description
Antibody without azide - store at -20 to -80C.
Additional Information
Recombinant Monoclonal Antibody
Immunogen
Recombinant fragment of human MSH6 protein (around aa 1-200) (exact sequence is proprietary)
Localization
Nucleus.
Isotype
IgG1 Kappa
Clonality
Monoclonal
Host
Mouse
Gene
MSH6
Purity
Protein A or G purified
Innovator's Reward
Test in a species/application not listed above to receive a full credit towards a future purchase.

Applications/Dilutions

Dilutions
  • Immunohistochemistry-Paraffin 1-2ug/ml
Application Notes
Immunohistochemistry-Paraffin: 1-2ug/ml for 30 minutes at RT. Staining of formalin-fixed tissues requires heating tissue sections in 10mM Tris with 1mM EDTA, pH 9.0, for 45 min at 95C followed by cooling at RT for 20 minutes. Optimal dilution for a specific application should be determined.

Packaging, Storage & Formulations

Storage
Store at -20 to -80C. Avoid freeze-thaw cycles.
Buffer
10mM PBS
Preservative
No Preservative
Concentration
1 mg/ml
Purity
Protein A or G purified

Alternate Names for MSH6 Antibody (rMSH6/8337) - Azide and BSA Free

  • DNA mismatch repair protein Msh6
  • G/T mismatch-binding protein
  • GTBPHNPCC5
  • GTMBP
  • hMSH6
  • HSAP
  • mutS (E. coli) homolog 6
  • mutS homolog 6 (E. coli)
  • MutS-alpha 160 kDa subunit
  • p160
  • sperm-associated protein

Background

MSH6 is a mismatch-repair protein. It plays a role in tumor suppression. Genomic mutations in MSH6 predispose to the hereditary non-polyposis colorectal cancer (HNPCC) syndrome.

Limitations

This product is for research use only and is not approved for use in humans or in clinical diagnosis. Primary Antibodies are guaranteed for 1 year from date of receipt.

Customers Who Viewed This Item Also Viewed...

NBP3-07211
Species: Ca, Hu
Applications: Flow, ICC/IF, IHC,  IHC-P, Simple Western, WB
NBP2-67381
Species: Hu, Mu, Rt
Applications: Flow, ICC/IF, IHC,  IHC-P, IP, KO, WB
AF2535
Species: Mu
Applications: CyTOF-ready, Flow, IHC, WB
NBP3-24587
Species: Hu
Applications: ICC/IF, IHC,  IHC-P, WB
NBP2-46459
Species: Hu
Applications: ICC/IF, IHC,  IHC-P, WB
NB100-1756
Species: Hu, Mu
Applications: ICC/IF, IHC,  IHC-P, WB
NBP1-90256
Species: Hu
Applications: ChIP-EXO-SEQ, ICC/IF, IHC,  IHC-P, WB
NB200-310
Species: Hu, Pm, Mu, Rt
Applications: ChIP, IP, WB
NBP3-13739
Species: Hu
Applications: ELISA, Flow, ICC/IF, IP, PA
MAB2676
Species: Hu, Mu, Rt
Applications: ICC, WB
NB100-56603
Species: Ca, Hu, Mu, Pm, Rt
Applications: IHC,  IHC-P, WB
NB200-103
Species: Hu, Mu, Rt, Xp(-), Ye
Applications: CyTOF-ready, ELISA, Flow-IC, Flow, ICC/IF, IHC, IHC-Fr,  IHC-P, IP, WB
NBP1-28566
Species: Bv, Hu, Pm, Mu, Po, Rt
Applications: Func, IHC, IHC-Fr,  IHC-P, WB
NB100-616
Species: Hu, Mu, Md, Pm, Rt
Applications: ChIP, EM, Flow-IC, Flow, ICC/IF, IP, In vitro, KD, WB
NBP1-76729
Species: Hu
Applications: ELISA, ICC/IF, WB
NB500-487
Species: Bv, Hu, Mu, Rt
Applications: IHC,  IHC-P, IP, WB
NBP3-09392
Species: Hu, Mu
Applications: WB
NB100-81898
Species: Hu, Po
Applications: ICC/IF, IHC,  IHC-P, WB

Publications for MSH6 Antibody (NBP3-24161) (0)

There are no publications for MSH6 Antibody (NBP3-24161).
By submitting your publication information earn gift cards and discounts for future purchases.

Reviews for MSH6 Antibody (NBP3-24161) (0)

There are no reviews for MSH6 Antibody (NBP3-24161). By submitting a review you will receive an Amazon e-Gift Card or Novus Product Discount.
  • Review with no image -- $10/€7/£6/$10 CAD/¥70 Yuan/¥1110 Yen
  • Review with an image -- $25/€18/£15/$25 CAD/¥150 Yuan/¥2500 Yen

Product General Protocols

Find general support by application which include: protocols, troubleshooting, illustrated assays, videos and webinars.

FAQs for MSH6 Antibody (NBP3-24161). (Showing 1 - 1 of 1 FAQ).

  1. I am testing a mouse sample with human xenograft for GBM and I am looking for an MSH6 Antibody that will only detect the human cells.
    • Currently, we have no validation that any of our MSH6 antibodies will not cross react with mouse. All of our MSH6 Antibodies are raised against Human MSH6 so we have checked the % homology with mouse MSH6 which has come to be 85%. As 85% is very high, the chances of the antibody detecting the mouse tissue as well as the human tissue are high.

Secondary Antibodies

 

Isotype Controls

Additional MSH6 Products

Array NBP3-24161

Research Areas for MSH6 Antibody (NBP3-24161)

Find related products by research area.

Blogs on MSH6

There are no specific blogs for MSH6, but you can read our latest blog posts.

Customers Who Bought This Also Bought

Contact Information

Product PDFs

Calculators

Concentration Calculator

The concentration calculator allows you to quickly calculate the volume, mass or concentration of your vial. Simply enter your mass, volume, or concentration values for your reagent and the calculator will determine the rest.

=
÷

Review this Product

Be the first to review our MSH6 Antibody (rMSH6/8337) - Azide and BSA Free and receive a gift card or discount.

Bioinformatics

Gene Symbol MSH6