MSH6 Antibody (CL13844) - Azide and BSA Free

Images

 
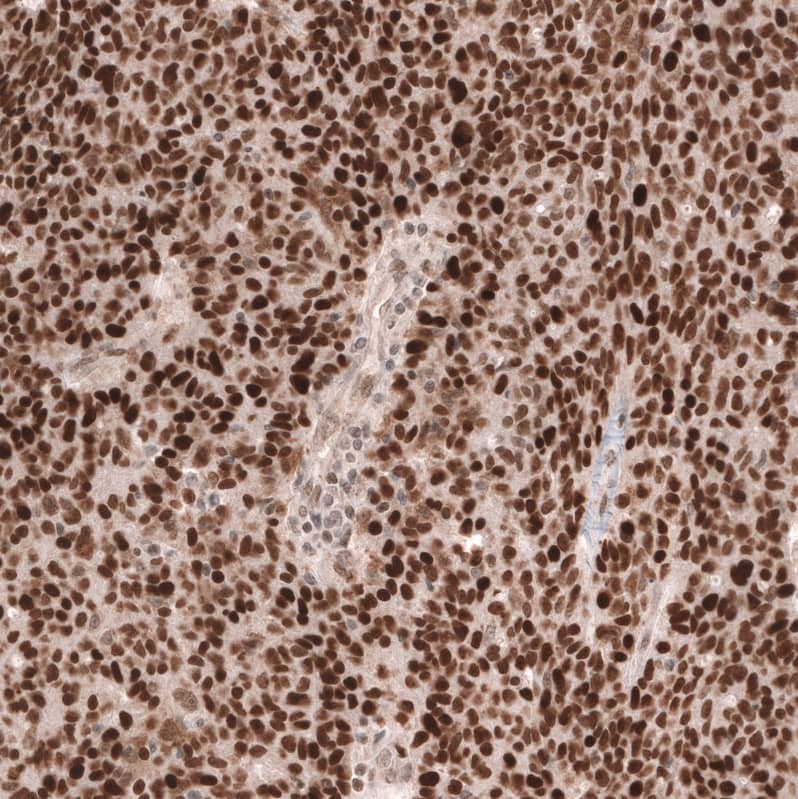
Staining of human breast cancer (ductal carcinoma) shows strong nuclear positivity in tumor cells.
Orthogonal Strategies: Analysis in human testis and skeletal muscle tissues using NBP3-43857 antibody. Corresponding MSH6 RNA-seq data are presented for the same tissues.
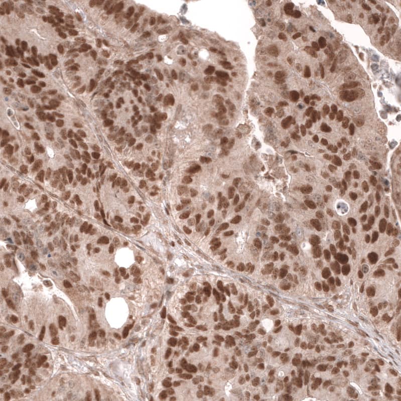
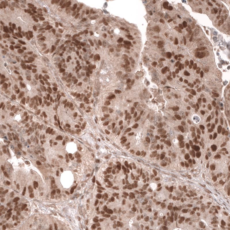
Staining of human colorectal cancer shows strong nuclear positivity in tumor cells.
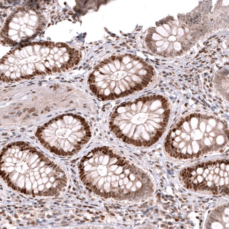
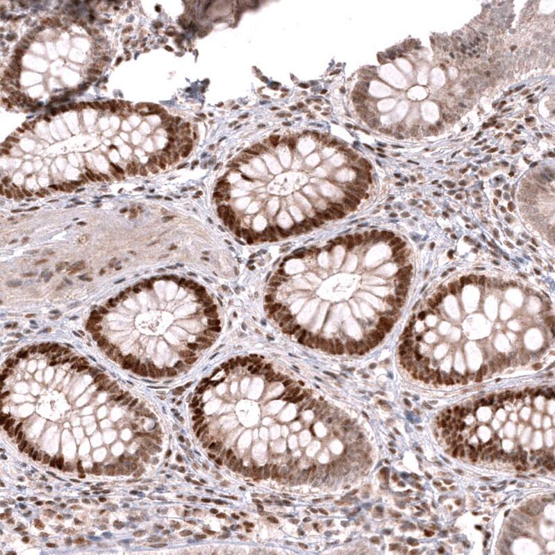
Staining of human colon shows strong nuclear positivity in glandular cells.
Staining of human skeletal muscle shows no positivity in myocytes as expected.
Staining of human lymph node shows strong nuclear positivity in germinal center cells.
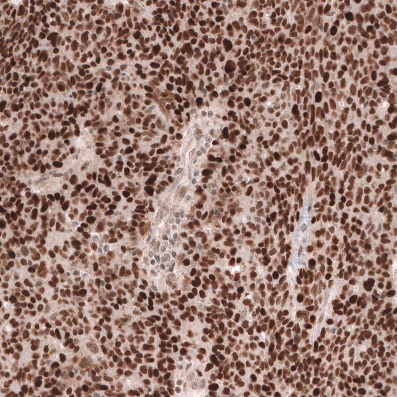
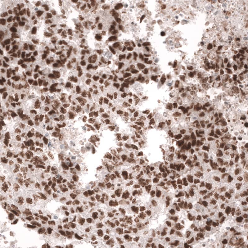
Staining of human ovarian cancer (high grade serous carcinoma) shows strong nuclear positivity in tumor cells.
Analysis in human cell line RH-30.
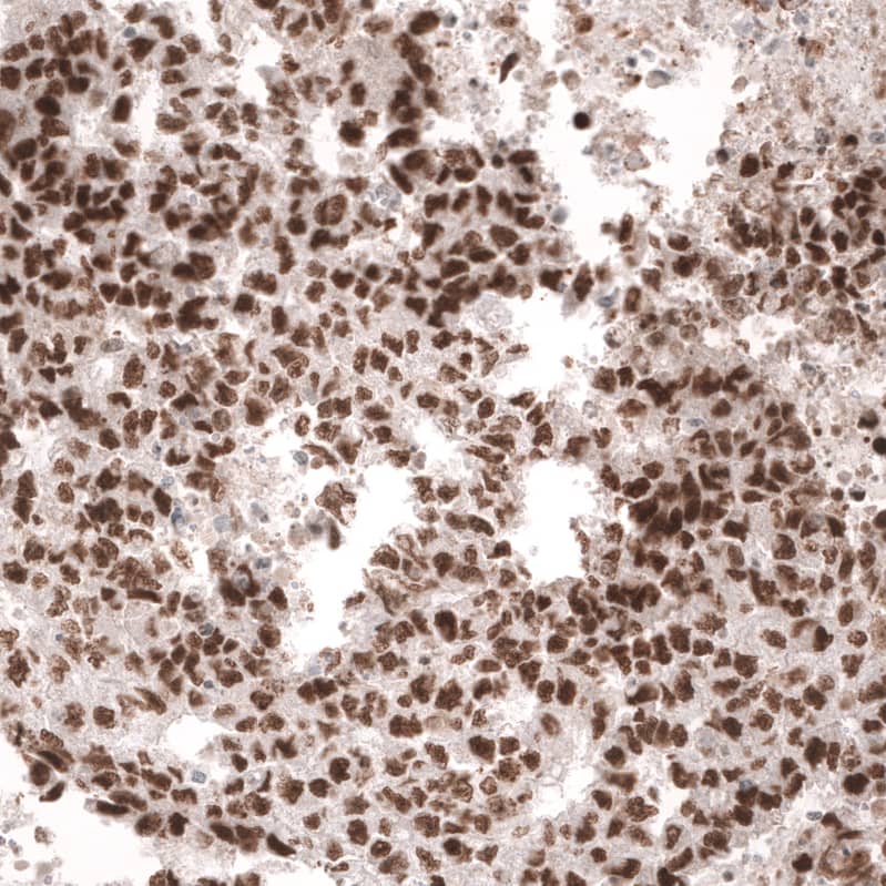
Staining of human testis cancer (embryonal carcinoma) shows strong nuclear positivity in tumor cells.
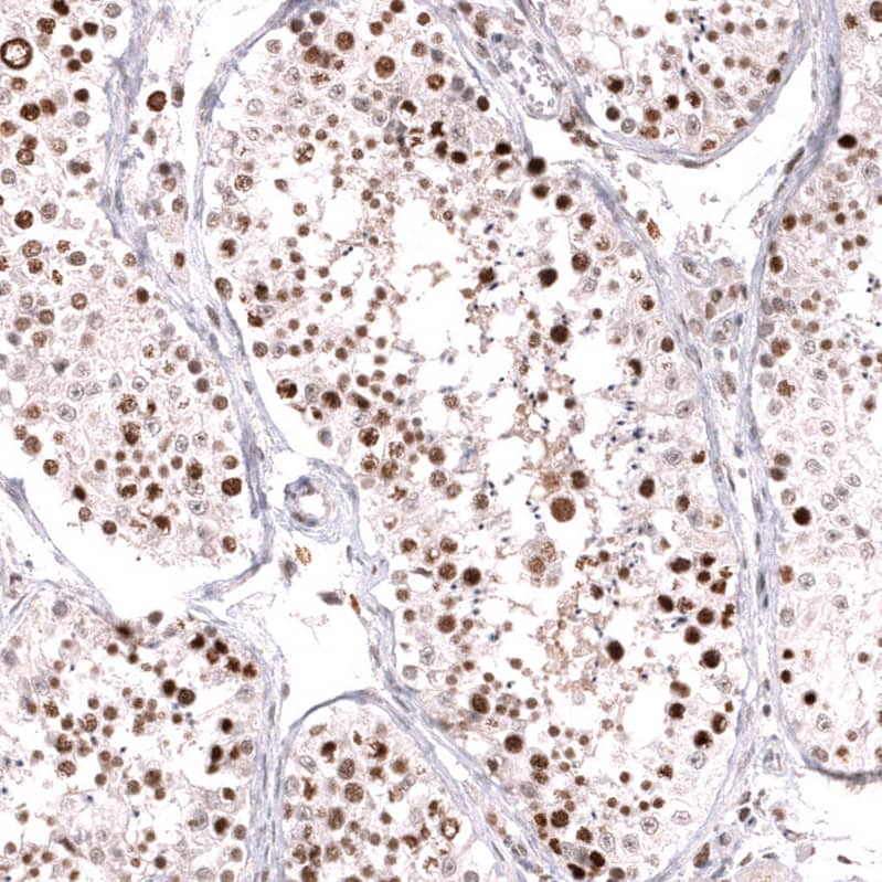
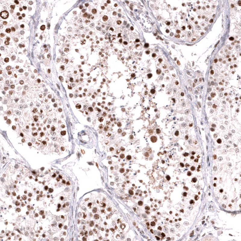
Staining of human testis shows strong nuclear positivity in cells in seminiferous ducts.

Product Details

Summary
Reactivity HuSpecies Glossary
Applications WB, IHC
Clone
CL13844
Clonality
Monoclonal
Host
Mouse
Conjugate
Unconjugated
Format
Azide and BSA Free
Concentration
LYOPH
Validated by:
       

Orthogonal Strategies

 

Order Details

MSH6 Antibody (CL13844) - Azide and BSA Free Summary

Description
Novus Biologicals Mouse MSH6 Antibody (CL13844) - Azide and BSA Free (NBP3-24582) is a monoclonal antibody validated for use in IHC and WB. All Novus Biologicals antibodies are covered by our 100% guarantee.
Immunogen
This antibody was generated using a synthetic peptide of P52701, with the exact immunogen sequence remaining proprietary.
Isotype
IgG2b
Clonality
Monoclonal
Host
Mouse
Gene
MSH6
Purity
Protein A purified
Innovator's Reward
Test in a species/application not listed above to receive a full credit towards a future purchase.

Applications/Dilutions

Dilutions
  • Immunohistochemistry-Paraffin 1:1000 - 1:2500
  • Western Blot 1 ug/ml
Application Notes
For IHC-Paraffin, we recommend using Heat-Induced Epitope Retrieval (HIER) with a pH level of 6. This optimized retrieval method ensures the best results for your experiments.

Packaging, Storage & Formulations

Storage
Store at 4C short term. Aliquot and store at -20C long term. Avoid freeze-thaw cycles.
Buffer
Lyophilized from a 0.2 um filtered solution in PBS with Trehalose
Preservative
No Preservative
Concentration
LYOPH
Purity
Protein A purified
Reconstitution Instructions
Centrifuge the vial of lyophilized antibody at 12,000 x g for 20 seconds. Reconstitute by adding sterile, distilled water to achieve a final antibody concentration of 1mg/ml.

Alternate Names for MSH6 Antibody (CL13844) - Azide and BSA Free

  • DNA mismatch repair protein Msh6
  • G/T mismatch-binding protein
  • GTBPHNPCC5
  • GTMBP
  • hMSH6
  • HSAP
  • mutS (E. coli) homolog 6
  • mutS homolog 6 (E. coli)
  • MutS-alpha 160 kDa subunit
  • p160
  • sperm-associated protein

Background

MSH6 is a mismatch-repair protein. It plays a role in tumor suppression. Genomic mutations in MSH6 predispose to the hereditary non-polyposis colorectal cancer (HNPCC) syndrome.

Limitations

This product is for research use only and is not approved for use in humans or in clinical diagnosis. Primary Antibodies are guaranteed for 1 year from date of receipt.

Customers Who Viewed This Item Also Viewed...

NBP3-07211
Species: Ca, Hu
Applications: Flow, ICC/IF, IHC,  IHC-P, Simple Western, WB
NBP2-67381
Species: Hu, Mu, Rt
Applications: Flow, ICC/IF, IHC,  IHC-P, IP, KO, WB
AF2535
Species: Mu
Applications: CyTOF-ready, Flow, IHC, WB
NBP3-24587
Species: Hu
Applications: ICC/IF, IHC,  IHC-P, WB
NBP2-46459
Species: Hu
Applications: ICC/IF, IHC,  IHC-P, WB
NB100-1756
Species: Hu, Mu
Applications: ICC/IF, IHC,  IHC-P, WB
NBP1-90256
Species: Hu
Applications: ChIP-EXO-SEQ, ICC/IF, IHC,  IHC-P, WB
NB200-310
Species: Hu, Pm, Mu, Rt
Applications: ChIP, IP, WB
NBP3-13739
Species: Hu
Applications: ELISA, Flow, ICC/IF, IP, PA
MAB2676
Species: Hu, Mu, Rt
Applications: ICC, WB
NB100-56603
Species: Ca, Hu, Mu, Pm, Rt
Applications: IHC,  IHC-P, WB
NB200-103
Species: Hu, Mu, Rt, Xp(-), Ye
Applications: CyTOF-ready, ELISA, Flow-IC, Flow, ICC/IF, IHC, IHC-Fr,  IHC-P, IP, WB
NBP1-28566
Species: Bv, Hu, Pm, Mu, Po, Rt
Applications: Func, IHC, IHC-Fr,  IHC-P, WB
NB100-616
Species: Hu, Mu, Md, Pm, Rt
Applications: ChIP, EM, Flow-IC, Flow, ICC/IF, IP, In vitro, KD, WB
NBP1-76729
Species: Hu
Applications: ELISA, ICC/IF, WB
NB500-487
Species: Bv, Hu, Mu, Rt
Applications: IHC,  IHC-P, IP, WB
NBP3-09392
Species: Hu, Mu
Applications: WB
NB100-81898
Species: Hu, Po
Applications: ICC/IF, IHC,  IHC-P, WB

Publications for MSH6 Antibody (NBP3-43857) (0)

There are no publications for MSH6 Antibody (NBP3-43857).
By submitting your publication information earn gift cards and discounts for future purchases.

Reviews for MSH6 Antibody (NBP3-43857) (0)

There are no reviews for MSH6 Antibody (NBP3-43857). By submitting a review you will receive an Amazon e-Gift Card or Novus Product Discount.
  • Review with no image -- $10/€7/£6/$10 CAD/¥70 Yuan/¥1110 Yen
  • Review with an image -- $25/€18/£15/$25 CAD/¥150 Yuan/¥2500 Yen

Product General Protocols

Find general support by application which include: protocols, troubleshooting, illustrated assays, videos and webinars.

Video Protocols

WB Video Protocol

FAQs for MSH6 Antibody (NBP3-43857). (Showing 1 - 1 of 1 FAQ).

  1. I am testing a mouse sample with human xenograft for GBM and I am looking for an MSH6 Antibody that will only detect the human cells.
    • Currently, we have no validation that any of our MSH6 antibodies will not cross react with mouse. All of our MSH6 Antibodies are raised against Human MSH6 so we have checked the % homology with mouse MSH6 which has come to be 85%. As 85% is very high, the chances of the antibody detecting the mouse tissue as well as the human tissue are high.

Secondary Antibodies

 

Isotype Controls

Additional MSH6 Products

Array NBP3-43857

Research Areas for MSH6 Antibody (NBP3-43857)

Find related products by research area.

Blogs on MSH6

There are no specific blogs for MSH6, but you can read our latest blog posts.

Customers Who Bought This Also Bought

Contact Information

Product PDFs

Calculators

Concentration Calculator

The concentration calculator allows you to quickly calculate the volume, mass or concentration of your vial. Simply enter your mass, volume, or concentration values for your reagent and the calculator will determine the rest.

=
÷

Review this Product

Be the first to review our MSH6 Antibody (CL13844) - Azide and BSA Free and receive a gift card or discount.

Bioinformatics

Gene Symbol MSH6