MSH6 Antibody (3E1)

Images

 
Western Blot: MSH6 Antibody (3E1) [NBP2-37537] - Western blot analysis using MSH6 mouse mAb against HEK293 (1), HCT116 (2), A549 (3), A431 (4), MCF-7 (5) and HepG2 (6) cell lysate.
Immunocytochemistry/ Immunofluorescence: MSH6 Antibody (3E1) [NBP2-37537] - Immunofluorescence analysis of Hela cells using MSH6 mouse mAb (green). Blue: DRAQ5 fluorescent DNA dye. Red: Actin filaments have been labeled ...read more
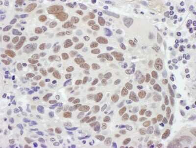
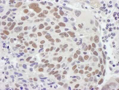
Immunohistochemistry-Paraffin: MSH6 Antibody (3E1) [NBP2-37537] - Analysis of colon cancer tissues using MSH6 mouse mAb with DAB staining.
Flow Cytometry: MSH6 Antibody (3E1) [NBP2-37537] - Flow cytometric analysis of MCF-7 cells using MSH6 mouse mAb (green) and negative control (red).
Western Blot: MSH6 Antibody (3E1) [NBP2-37537] - Western blot analysis using MSH6 mAb against human MSH6 (AA: 217-395) recombinant protein. (Expected MW is 45.5 kDa)
Immunohistochemistry-Paraffin: MSH6 Antibody (3E1) [NBP2-37537] - Analysis of rectum cancer tissues using MSH6 mouse mAb with DAB staining.
ELISA: MSH6 Antibody (3E1) [NBP2-37537] - Red: Control Antigen (100ng); Purple: Antigen (10ng); Green: Antigen (50ng); Blue: Antigen (100ng);

Product Details

Summary
Reactivity HuSpecies Glossary
Applications WB, ELISA, Flow, ICC/IF, IHC, IHC-P
Clone
3E1
Clonality
Monoclonal
Host
Mouse
Conjugate
Unconjugated

Order Details

MSH6 Antibody (3E1) Summary

Immunogen
Purified recombinant fragment of human MSH6 expressed in E. Coli.
Isotype
IgG2a
Clonality
Monoclonal
Host
Mouse
Gene
MSH6
Purity
Unpurified
Innovator's Reward
Test in a species/application not listed above to receive a full credit towards a future purchase.

Applications/Dilutions

Dilutions
  • Western Blot 1:500 - 1:2000
  • ELISA 1:10000
  • Flow Cytometry 1:200 - 1:400
  • Immunocytochemistry/Immunofluorescence 1:200 - 1:1000
  • Immunohistochemistry 1:200 - 1:1000
  • Immunohistochemistry-Paraffin
Theoretical MW
160 kDa.
Disclaimer note: The observed molecular weight of the protein may vary from the listed predicted molecular weight due to post translational modifications, post translation cleavages, relative charges, and other experimental factors.
Control
MSH6 Knockout HeLa Cell Lysate

Packaging, Storage & Formulations

Storage
Store at 4C short term. Aliquot and store at -20C long term. Avoid freeze-thaw cycles.
Buffer
Ascites
Preservative
0.03% Sodium Azide
Purity
Unpurified

Alternate Names for MSH6 Antibody (3E1)

  • DNA mismatch repair protein Msh6
  • G/T mismatch-binding protein
  • GTBPHNPCC5
  • GTMBP
  • hMSH6
  • HSAP
  • mutS (E. coli) homolog 6
  • mutS homolog 6 (E. coli)
  • MutS-alpha 160 kDa subunit
  • p160
  • sperm-associated protein

Limitations

This product is for research use only and is not approved for use in humans or in clinical diagnosis. Primary Antibodies are guaranteed for 1 year from date of receipt.

Customers Who Viewed This Item Also Viewed...

NB100-621
Species: Hu, Mu
Applications: WB, IHC, IHC-P, IP
NBP2-67381
Species: Hu, Mu, Rt
Applications: WB, Flow, ICC/IF, IHC, IHC-P, IP
AF2535
Species: Mu
Applications: WB, Flow, IHC, CyTOF-ready
NBP2-19417
Species: Hu
Applications: WB, ICC/IF, IHC, IHC-P
NB100-56554
Species: Hu, Mu
Applications: WB, Flow, IHC, IHC-P, CyTOF-ready
NB100-1756
Species: Hu, Mu
Applications: WB, ICC/IF, IHC, IHC-P
NB100-314
Species: Hu
Applications: WB, IP
NB200-310
Species: Hu, Mu, Rt, Mk
Applications: WB, ChIP, IP
NBP2-58368
Species: Hu
Applications: ICC/IF
NB100-381
Species: Hu
Applications: WB, ChIP, IP
NB100-56603
Species: Hu, Mu, Pm
Applications: WB, IHC, IHC-P
NB200-103
Species: Hu, Mu, Rt, Ye, Xp(-)
Applications: WB, ELISA, Flow, ICC/IF, IHC, IHC-Fr, IHC-P, IP, CyTOF-ready, Flow-IC
NBP1-28566
Species: Hu, Mu, Rt, Bv, Mk
Applications: WB, ELISA, Flow, ICC/IF, IHC, IHC-Fr, IP
NB100-616
Species: Hu, Mu, Rt, Md, Pm
Applications: WB, ChIP, EM, ICC/IF, IP, In vitro, Flow-IC
NBP1-76729
Species: Hu
Applications: WB, ELISA, ICC/IF, IP
NB500-487
Species: Hu, Mu, Rt, Bv
Applications: WB, IHC, IHC-P, IP
NB100-81898
Species: Hu, Po
Applications: WB, ICC/IF, IHC, IHC-P
NBP2-37537
Species: Hu
Applications: WB, ELISA, Flow, ICC/IF, IHC, IHC-P

Publications for MSH6 Antibody (NBP2-37537) (0)

There are no publications for MSH6 Antibody (NBP2-37537).
By submitting your publication information earn gift cards and discounts for future purchases.

Reviews for MSH6 Antibody (NBP2-37537) (0)

There are no reviews for MSH6 Antibody (NBP2-37537). By submitting a review you will receive an Amazon e-Gift Card or Novus Product Discount.
  • Review with no image -- $10/€7/£6/$10 CAD/¥70 Yuan/¥1110 Yen
  • Review with an image -- $25/€18/£15/$25 CAD/¥150 Yuan/¥2500 Yen

Product General Protocols

Find general support by application which include: protocols, troubleshooting, illustrated assays, videos and webinars.

Video Protocols

WB Video Protocol
ICC/IF Video Protocol

FAQs for MSH6 Antibody (NBP2-37537). (Showing 1 - 1 of 1 FAQ).

  1. I am testing a mouse sample with human xenograft for GBM and I am looking for an MSH6 Antibody that will only detect the human cells.
    • Currently, we have no validation that any of our MSH6 antibodies will not cross react with mouse. All of our MSH6 Antibodies are raised against Human MSH6 so we have checked the % homology with mouse MSH6 which has come to be 85%. As 85% is very high, the chances of the antibody detecting the mouse tissue as well as the human tissue are high.

Control Lysate(s)

Secondary Antibodies

 

Isotype Controls

Other Available Formats

Additional MSH6 Products

Bioinformatics Tool for MSH6 Antibody (NBP2-37537)

Discover related pathways, diseases and genes to MSH6 Antibody (NBP2-37537). Need help? Read the Bioinformatics Tool Guide for instructions on using this tool.
Visit Tool

Diseases for MSH6 Antibody (NBP2-37537)

Discover more about diseases related to MSH6 Antibody (NBP2-37537).
 

Pathways for MSH6 Antibody (NBP2-37537)

View related products by pathway.

PTMs for MSH6 Antibody (NBP2-37537)

Learn more about PTMs related to MSH6 Antibody (NBP2-37537).
 

Research Areas for MSH6 Antibody (NBP2-37537)

Find related products by research area.

Blogs on MSH6

There are no specific blogs for MSH6, but you can read our latest blog posts.

Customers Who Bought This Also Bought

Contact Information

Product PDFs

Calculators

Concentration Calculator

The concentration calculator allows you to quickly calculate the volume, mass or concentration of your vial. Simply enter your mass, volume, or concentration values for your reagent and the calculator will determine the rest.

=
÷

Review this Product

Be the first to review our MSH6 Antibody (3E1) and receive a gift card or discount.

Bioinformatics

Gene Symbol MSH6