MS4A4E Antibody - BSA Free

Images

 
Immunohistochemistry-Paraffin: MS4A4E Antibody [NBP1-90895] - Staining of human tonsil shows strong cytoplasmic positivity in non-germinal center cells and germinal center cells.
Staining of human endometrium shows weak membranous-cytoplasmic positivity in glandular cells.
Staining of human tonsil shows strong membranous-cytoplasmic positivity in non-germinal center cells and germinal center cells.
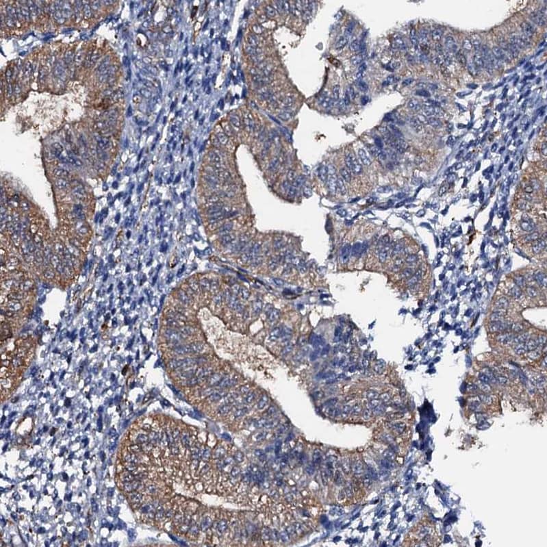
Staining of human small intestine shows strong membranous-cytoplasmic positivity in glandular cells.
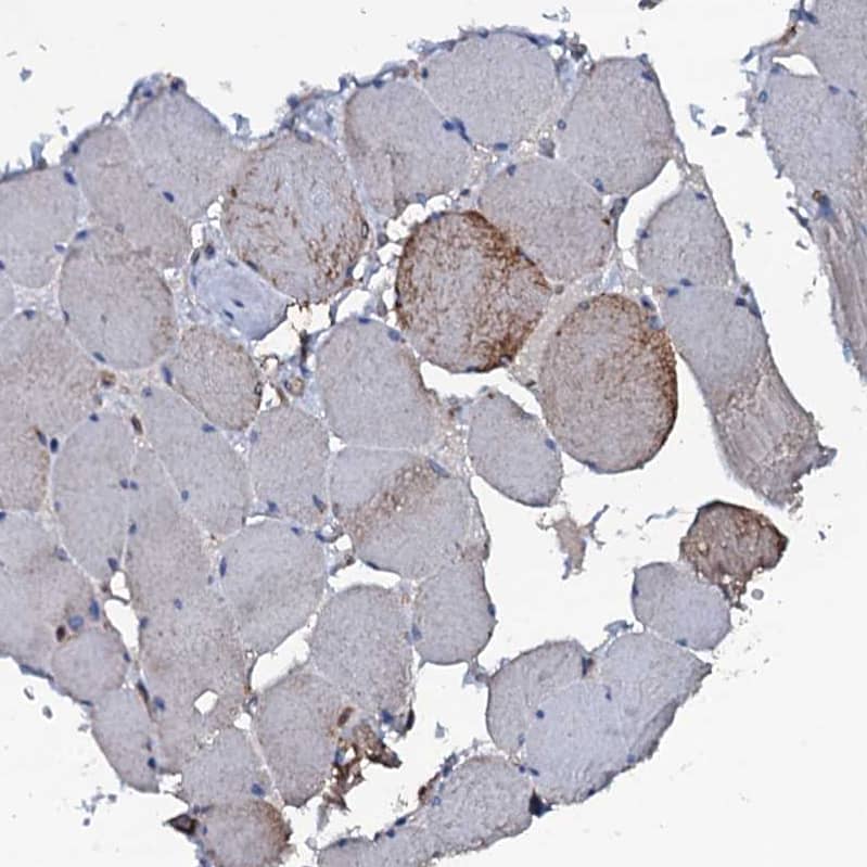
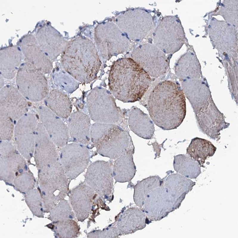
Staining of human skeletal muscle shows weak membranous-cytoplasmic positivity in myocytes.

Product Details

Summary
Reactivity HuSpecies Glossary
Applications IHC
Clonality
Polyclonal
Host
Rabbit
Conjugate
Unconjugated
Format
BSA Free

Order Details

View Available Formulations
Catalog# & Formulation Size Price

MS4A4E Antibody - BSA Free Summary

Description
Novus Biologicals Rabbit MS4A4E Antibody - BSA Free (NBP1-90895) is a polyclonal antibody validated for use in IHC. All Novus Biologicals antibodies are covered by our 100% guarantee.
Immunogen
This antibody was developed against Recombinant Protein corresponding to amino acids: LQQELEQQKVWNYLKNLSWRIMGSYLCFGERSELKPL
Isotype
IgG
Clonality
Polyclonal
Host
Rabbit
Gene
MS4A4E
Purity
Immunogen affinity purified
Innovator's Reward
Test in a species/application not listed above to receive a full credit towards a future purchase.

Applications/Dilutions

Dilutions
  • Immunohistochemistry 1:20 - 1:50
  • Immunohistochemistry-Paraffin 1:20 - 1:50
Application Notes
For IHC-Paraffin, HIER pH 6 retrieval is recommended.
Control Peptide
MS4A4E Protein (NBP1-90895PEP)

Packaging, Storage & Formulations

Storage
Store at 4C short term. Aliquot and store at -20C long term. Avoid freeze-thaw cycles.
Buffer
PBS (pH 7.2) and 40% Glycerol
Preservative
0.02% Sodium Azide
Purity
Immunogen affinity purified

Alternate Names for MS4A4E Antibody - BSA Free

  • membrane-spanning 4-domains, subfamily A, member 4E

Limitations

This product is for research use only and is not approved for use in humans or in clinical diagnosis. Primary Antibodies are guaranteed for 1 year from date of receipt.

Customers Who Viewed This Item Also Viewed...

NBP2-22377
Species: Hu
Applications: IHC,  IHC-P, WB
NBP2-82106
Species: Hu, Rt
Applications: ELISA, ICC/IF, IHC,  IHC-P, WB
AF638
Species: Hu
Applications: CyTOF-ready, Flow, ICC, WB
MAB6247
Species: Hu
Applications: CyTOF-ready, Flow
NBP1-89102
Species: Hu
Applications: ICC/IF, IHC,  IHC-P, WB
DPLG70
Species: Hu
Applications: ELISA
NBP1-90625
Species: Hu, Mu, Rt
Applications: ICC/IF, IHC,  IHC-P, WB
MAB7797
Species: Hu
Applications: CyTOF-ready, Flow
AF2747
Species: Mu
Applications: ELISA(Cap), ELISA(Det), ELISA(Sta), IHC, IP, WB
NBP1-86658
Species: Hu, Mu, Rt
Applications: IHC,  IHC-P, Simple Western, WB
NBP2-29460
Species: Pm, Pm-Cm, Hu, Pm, RM
Applications: Flow, ICC/IF, IHC,  IHC-P, ISH
NB400-163
Species: Mu
Applications: Flow, IHC,  IHC-P, WB
7268-CT
Species: Hu
Applications: BA
NBP3-32603
Species: Mu, Rt
Applications: IHC,  IHC-P, WB
NBP2-13075
Species: Ba, Hu, Pm, Mu, Rt
Applications: DB, ELISA, IB, ICC/IF, IHC-FrFl, IHC, IHC-Fr,  IHC-P, IP, WB
NBP2-45455
Species: Hu
Applications: IHC,  IHC-P, WB
NB110-60531
Species: Hu, Mu, Rt(-)
Applications: CyTOF-ready, ELISA, Flow-IC, Flow, ICC/IF, IHC,  IHC-P, IP, WB
MAB5699
Species: Hu
Applications: IHC
NB100-74510
Species: Hu, Mu, Pm, Rt
Applications: ELISA, ICC/IF, IHC,  IHC-P, IP, WB
NBP2-22124
Species: Hu, Mu, Pm
Applications: ELISA, Flow, ICC/IF, IHC,  IHC-P, WB

Publications for MS4A4E Antibody (NBP1-90895) (0)

There are no publications for MS4A4E Antibody (NBP1-90895).
By submitting your publication information earn gift cards and discounts for future purchases.

Reviews for MS4A4E Antibody (NBP1-90895) (0)

There are no reviews for MS4A4E Antibody (NBP1-90895). By submitting a review you will receive an Amazon e-Gift Card or Novus Product Discount.
  • Review with no image -- $10/€7/£6/$10 CAD/¥70 Yuan/¥1110 Yen
  • Review with an image -- $25/€18/£15/$25 CAD/¥150 Yuan/¥2500 Yen

Product General Protocols

Find general support by application which include: protocols, troubleshooting, illustrated assays, videos and webinars.

FAQs for MS4A4E Antibody (NBP1-90895) (0)

There are no specific FAQs related to this product. Read our general customer & technical service FAQs.

Customers Who Bought This Also Bought

Contact Information

Product PDFs

Calculators

Concentration Calculator

The concentration calculator allows you to quickly calculate the volume, mass or concentration of your vial. Simply enter your mass, volume, or concentration values for your reagent and the calculator will determine the rest.

=
÷

Review this Product

Be the first to review our MS4A4E Antibody - BSA Free and receive a gift card or discount.

Bioinformatics

Gene Symbol MS4A4E