mGluR2 Antibody

Images

 
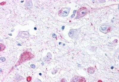
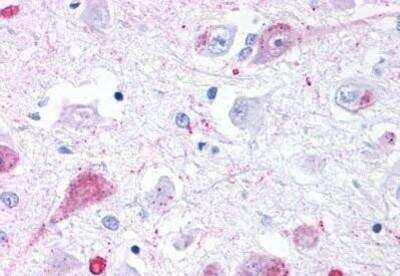
Immunohistochemistry-Paraffin: mGluR2 Antibody [NBP1-02404] - Staining of human brain, thalamus. Immunohistochemistry of formalin-fixed, paraffin-embedded tissue after heat-induced antigen retrieval. Antibody ...read more

Product Details

Summary
Product Discontinued
View other related mGluR2 Primary Antibodies

Order Details


    • Catalog Number
      NBP1-02404
    • Availability
      Product Discontinued

    Can't find what you are looking for? Use our Antibody Concierge Service & we will help you locate your antibody!

    Or feel free to contact us for alternative products.

mGluR2 Antibody Summary

Immunogen
Synthetic 19 amino acid peptide from N-terminal extracellular domain of human GRM2 / MGLUR2.
Specificity
Human GRM2 / MGLUR2. BLAST analysis of the peptide immunogen showed no homology with other human proteins, except GRM3 (53%).
Predicted Species
Mouse (95%), Rat (95%), Canine (95%), Bat (95%), Bovine (95%). Backed by our 100% Guarantee.
Isotype
IgG
Clonality
Polyclonal
Host
Rabbit
Gene
GRM2
Purity
Immunogen affinity purified
Innovator's Reward
Test in a species/application not listed above to receive a full credit towards a future purchase.

Applications/Dilutions

Dilutions
  • Immunohistochemistry 1:10 - 1:500
  • Immunohistochemistry-Paraffin 4 ug/ml

Reactivity Notes

Chimpanzee, Gorilla, Gibbon, Marmoset. Predicted cross-reactivity based on sequence identity: Elephant (95%), Panad (95%), Hamster (89%), Equine (89%), Platypus (89%), Porcine (84%).

Packaging, Storage & Formulations

Storage
Store at 4C short term. Aliquot and store at -20C long term. Avoid freeze-thaw cycles.
Buffer
PBS
Preservative
0.1% Sodium Azide
Concentration
1.0 mg/ml
Purity
Immunogen affinity purified

Alternate Names for mGluR2 Antibody

  • GLUR2
  • glutamate metabotropic receptor 2
  • glutamate receptor, metabotropic 2
  • GPRC1B
  • GPRC1Bmetabotropic glutamate receptor 2
  • GRM2
  • mGlu2
  • mGluR2
  • MGLUR2glutamate receptor homolog
  • mGluR7

Background

The Metabotropic Glutamate Receptor GRM2 binds L-glutamate and has been linked to the inhibition of the cyclic AMP signaling cascade. GRM2 is involved in mediating the suppression of neurotransmission and in synaptogenesis and synaptic stabilization. Glutamatergic neurotransmission plays a role in most aspects of normal brain function and can be perturbed in many neuropathologic conditions.

Limitations

This product is for research use only and is not approved for use in humans or in clinical diagnosis. Primary Antibodies are guaranteed for 1 year from date of receipt.

Customers Who Viewed This Item Also Viewed...

NBP2-22399
Species: Hu, Mu, Rt
Applications: ICC/IF, IHC, WB
NLS3208
Species: Bv, Eq, Hu, Pm, Po, Pm
Applications: ICC, IHC,  IHC-P, WB
NBP1-02312
Species: Hu
Applications: IHC,  IHC-P, PEP-ELISA, WB
NB300-118
Species: Hu, Mu, Rt
Applications: ICC/IF, IHC, IHC-Fr,  IHC-P, WB
NB300-126
Species: Mu, Rt
Applications: ICC/IF, IHC, IHC-Fr, WB
NBP3-17081
Species: Hu
Applications: IHC,  IHC-P
NB110-39033
Species: Ch, Hu, Mu, Rt
Applications: ICC/IF, IHC, IHC-Fr,  IHC-P, WB
NBP1-88790
Species: Hu, Mu, Rt
Applications: ICC/IF, IHC,  IHC-P, WB
NBP1-88191
Species: Hu, Mu
Applications: IHC,  IHC-P, WB
NB300-105
Species: Hu, Mu, Rb, Rt
Applications: IHC,  IHC-P, IP, KO, WB
NBP2-16684
Species: Hu, Mu, Rt
Applications: EM, IHC,  IHC-P, WB
NB100-41403
Species: Hu, Mu, Rt
Applications: IHC,  IHC-P, PEP-ELISA, WB
NLS4713
Species: Hu, Pm, Mu, Po, Pm, Rb
Applications: IHC,  IHC-P, WB
NB300-106
Species: Hu, Mu, Rt
Applications: Flow, ICC/IF, IHC, IHC-Fr, IP, WB
NBP3-16867
Species: Hu, Mu, Rt
Applications: ELISA, IHC,  IHC-P, WB
NBP1-76849
Species: Hu, Mu
Applications: ELISA, ICC/IF, IHC,  IHC-P, WB
NBP2-41211
Species: Hu, Mu, Rt
Applications: ELISA, ICC/IF, IHC,  IHC-P, WB
AF2185
Species: Hu, Mu, Rt
Applications: IP, WB
NBP2-75510
Species: Hu, Mu, Rt
Applications: ICC/IF, IHC,  IHC-P, IP, WB
NBP1-02404
Species: Hu, Pm, Pm, Rb, Mu, Rt, Bt, Bv, Ca
Applications: IHC

Publications for mGluR2 Antibody (NBP1-02404) (0)

There are no publications for mGluR2 Antibody (NBP1-02404).
By submitting your publication information earn gift cards and discounts for future purchases.

Reviews for mGluR2 Antibody (NBP1-02404) (0)

There are no reviews for mGluR2 Antibody (NBP1-02404). By submitting a review you will receive an Amazon e-Gift Card or Novus Product Discount.
  • Review with no image -- $10/€7/£6/$10 CAD/¥70 Yuan/¥1110 Yen
  • Review with an image -- $25/€18/£15/$25 CAD/¥150 Yuan/¥2500 Yen

Product General Protocols

Find general support by application which include: protocols, troubleshooting, illustrated assays, videos and webinars.

FAQs for mGluR2 Antibody (NBP1-02404) (0)

There are no specific FAQs related to this product. Read our general customer & technical service FAQs.

Contact Information

Product PDFs

Calculators

Concentration Calculator

The concentration calculator allows you to quickly calculate the volume, mass or concentration of your vial. Simply enter your mass, volume, or concentration values for your reagent and the calculator will determine the rest.

=
÷

Review this Product

Be the first to review our mGluR2 Antibody and receive a gift card or discount.

Bioinformatics

Gene Symbol GRM2
Uniprot