Melan-A/MART-1 Antibody (rMLANA/788) - Azide and BSA Free

Images

 
Western Blot: Melan-A/MART-1 Antibody (rMLANA/788) - Azide and BSA Free [NBP2-54444] - Western Blot Analysis of COLO38 cell lysate using Melan-A/MART-1 Mouse Recombinant Monoclonal Antibody (rMLANA/788).
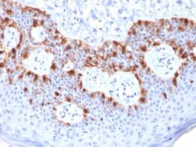
Immunohistochemistry-Paraffin: Melan-A/MART-1 Antibody (rMLANA/788) - Azide and BSA Free [NBP2-54444] - Formalin-fixed, paraffin-embedded human Melanoma stained with Melan-A Recombinant Mouse Monoclonal Antibody ...read more

Product Details

Summary
Reactivity Hu, Mu, Rt, CaSpecies Glossary
Applications WB, IHC, CyTOF-ready
Clone
rMLANA/788
Clonality
Monoclonal
Host
Mouse
Conjugate
Unconjugated
Format
Azide and BSA Free
Concentration
1 mg/ml

Order Details

Melan-A/MART-1 Antibody (rMLANA/788) - Azide and BSA Free Summary

Description
1.0 mg/ml of antibody purified from Bioreactor Concentrate by Protein A/G. Prepared in 10mM PBS WITHOUT BSA & azide. Also available at 200 ug/ml WITH BSA & azide (NBP2-53293).

Antibody with azide - store at 2 to 8C. Antibody without azide - store at -20 to -80C.
Immunogen
Recombinant full-length Melan-A/MART-1 protein (Uniprot: Q16655)
Localization
Cytoplasmic
Marker
Melanoma Marker
Specificity
This antibody recognizes a protein doublet of 20-22kDa, identified as MART-1 (Melanoma Antigen Recognized by T cells 1) or Melan-A. MART-1 is a newly identified melanocyte differentiation antigen recognized by autologous cytotoxic T lymphocytes. Seven other melanoma associated antigens recognized by autologous cytotoxic T cells include MAGE-1, MAGE-3, tyrosinase, gp100, gp75, BAGE-1, and GAGE-1. Subcellular fractionation shows that MART-1 is present in melanosomes and endoplasmic reticulum. This monoclonal antibody labels melanomas and other tumors showing melanocytic differentiation. It is also a useful positive-marker for angiomyolipomas. It does not stain tumor cells of epithelial, lymphoid, glial, or mesenchymal origin.
Isotype
IgG1 Kappa
Clonality
Monoclonal
Host
Mouse
Gene
MLANA
Purity
Protein A or G purified
Innovator's Reward
Test in a species/application not listed above to receive a full credit towards a future purchase.

Applications/Dilutions

Dilutions
  • CyTOF-ready
  • Immunohistochemistry
  • Immunohistochemistry-Paraffin 0.5 - 1.0 ug/ml
  • Western Blot 0.5 - 1.0 ug/ml
Application Notes
Immunohistochemistry (Formalin-fixed): 1-2ug/ml for 30 minutes at RT. Staining of formalin-fixed tissues requires heating tissue sections in 10mM Tris with 1mM EDTA, pH 9.0, for 45 min at 95C followed by cooling at RT for 20 minutes.
Optimal dilution for a specific application should be determined.

Packaging, Storage & Formulations

Storage
Store at -20 to -80C. Avoid freeze-thaw cycles.
Buffer
10 mM PBS
Preservative
No Preservative
Concentration
1 mg/ml
Purity
Protein A or G purified

Alternate Names for Melan-A/MART-1 Antibody (rMLANA/788) - Azide and BSA Free

  • Antigen LB39-AA
  • Antigen SK29-AA
  • Mart 1 Melan A
  • MART-1
  • MART1MART-1
  • MelanA
  • Melan-A
  • melanoma antigen recognized by T-cells 1
  • MLANA
  • Protein Melan-A

Background

MART-1 (Melanoma Antigen Recognized by T cells 1) or Melan-A1 is a newly identified melanocyte differentiation antigen recognized by autologous cytotoxic T lymphocytes. Seven other melanoma associated antigens recognized by autologous cytotoxic T cells include MAGE-1, MAGE-3, tyrosinase, gp100, gp75, BAGE-1, and GAGE-1. Subcellular fractionation shows that MART-1 is present in melanosomes and endoplasmic reticulum.

Limitations

This product is for research use only and is not approved for use in humans or in clinical diagnosis. Primary Antibodies are guaranteed for 1 year from date of receipt.

Customers Who Viewed This Item Also Viewed...

NBP2-67232
Species: Hu, Mu
Applications: ICC/IF, IHC,  IHC-P, WB
NBP2-44520
Species: Ca(-), Hu, Rt(-)
Applications: Flow-IC, Flow, ICC/IF, IF, IHC,  IHC-P, MI, WB
NBP1-49045
Species: Mu, Rt
Applications: Cell Depl, CyTOF-ready, Flow, ICC/IF, IHC, IHC-Fr,  IHC-P, IP, InhibTFunc
202-IL
Species: Hu
Applications: BA
485-MI
Species: Mu
Applications: BA
NBP1-72042
Species: Hu, Mu, Rt
Applications: ICC/IF, IHC,  IHC-P, PEP-ELISA, WB
NBP1-87102
Species: Hu, Mu, Rt
Applications: ICC/IF, IHC,  IHC-P, WB
NBP1-87103
Species: Hu, Mu
Applications: IHC,  IHC-P, WB
NB100-64775
Species: Hu
Applications: CyTOF-ready, ELISA, Flow, Func, IHC, IHC-Fr, IHC-P (-), IP
AF5769
Species: Hu
Applications: IHC, WB
7268-CT
Species: Hu
Applications: BA
NBP3-20167
Species: Hu
Applications: ELISA, Flow, ICC/IF, IHC, IP, WB
NB300-223
Species: Bv, Ca, Ch, Eq, Hu, Mu, Po, Rt
Applications: ICC/IF, IHC, IHC-Fr,  IHC-P, WB
NBP1-88370
Species: Hu, Mu
Applications: ICC/IF, IHC,  IHC-P, WB
NBP1-47714
Species: Hu
Applications: Flow, ICC/IF, IHC,  IHC-P, WB
NBP1-86893
Species: Hu
Applications: ICC/IF, IHC,  IHC-P, WB
NB100-524
Species: Hu, Mu
Applications: Flow-IC, Flow, ICC/IF, IHC, IHC-Fr,  IHC-P, IP, WB
NBP2-79843
Species: Hu
Applications: CyTOF-ready, ELISA, Flow, ICC/IF, IHC,  IHC-P, PA, WB
NBP1-19371
Species: Ca, Hu, Mu, Po, Rb, Rt
Applications: Dual ISH-IHC, Flow, ICC/IF, IHC, IHC-Fr,  IHC-P, Simple Western, WB
AF3844
Species: Hu, Mu
Applications: IHC

Publications for Melan-A/MART-1 Antibody (NBP2-54444) (0)

There are no publications for Melan-A/MART-1 Antibody (NBP2-54444).
By submitting your publication information earn gift cards and discounts for future purchases.

Reviews for Melan-A/MART-1 Antibody (NBP2-54444) (0)

There are no reviews for Melan-A/MART-1 Antibody (NBP2-54444). By submitting a review you will receive an Amazon e-Gift Card or Novus Product Discount.
  • Review with no image -- $10/€7/£6/$10 CAD/¥70 Yuan/¥1110 Yen
  • Review with an image -- $25/€18/£15/$25 CAD/¥150 Yuan/¥2500 Yen

Product General Protocols

Find general support by application which include: protocols, troubleshooting, illustrated assays, videos and webinars.

Video Protocols

WB Video Protocol

FAQs for Melan-A/MART-1 Antibody (NBP2-54444) (0)

There are no specific FAQs related to this product. Read our general customer & technical service FAQs.

Secondary Antibodies

 

Isotype Controls

Additional Melan-A/MART-1 Products

Research Areas for Melan-A/MART-1 Antibody (NBP2-54444)

Find related products by research area.

Blogs on Melan-A/MART-1

There are no specific blogs for Melan-A/MART-1, but you can read our latest blog posts.

Customers Who Bought This Also Bought

Contact Information

Product PDFs

Calculators

Concentration Calculator

The concentration calculator allows you to quickly calculate the volume, mass or concentration of your vial. Simply enter your mass, volume, or concentration values for your reagent and the calculator will determine the rest.

=
÷

Review this Product

Be the first to review our Melan-A/MART-1 Antibody (rMLANA/788) - Azide and BSA Free and receive a gift card or discount.

Bioinformatics

Gene Symbol MLANA