MCMBP Antibody - BSA Free

Images

 
Western Blot: MCMBP Antibody [NBP1-90746] - Lane 1: NIH-3T3 cell lysate (Mouse embryonic fibroblast cells). Lane 2: NBT-II cell lysate (Rat Wistar bladder tumor cells).
Immunocytochemistry/ Immunofluorescence: MCMBP Antibody [NBP1-90746] - Staining of human cell line A-431 shows localization to nucleoplasm, plasma membrane & cytosol. Antibody staining is shown in green.
Immunohistochemistry-Paraffin: MCMBP Antibody [NBP1-90746] - Staining of human tonsil shows moderate nuclear positivity in germinal center cells.
Western Blot: MCMBP Antibody [NBP1-90746] - Lane 1: Marker [kDa] 250, 130, 95, 72, 55, 36, 28, 17, 10. Lane 2: Human cell line RT-4. Lane 3: Human cell line U-251MG sp. Lane 4: Human plasma (IgG/HSA depleted). Lane ...read more
Immunohistochemistry-Paraffin: MCMBP Antibody [NBP1-90746] - Staining of human liver shows no positivity in hepatocytes as expected.
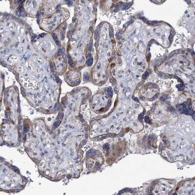
Immunohistochemistry-Paraffin: MCMBP Antibody [NBP1-90746] - Staining of human placenta shows moderate nuclear positivity in trophoblastic cells.
Immunohistochemistry-Paraffin: MCMBP Antibody [NBP1-90746] - Staining of human testis shows strong nuclear positivity in cells in seminiferous ducts.
Lane 1: NIH-3T3 cell lysate (Mouse embryonic fibroblast cells)Lane 2: NBT-II cell lysate (Rat Wistar bladder tumour cells)

Product Details

Summary
Reactivity Hu, Mu, RtSpecies Glossary
Applications WB, ICC/IF, IHC
Clonality
Polyclonal
Host
Rabbit
Conjugate
Unconjugated
Format
BSA Free

Order Details

View Available Formulations
Catalog# & Formulation Size Price

MCMBP Antibody - BSA Free Summary

Description
Novus Biologicals Rabbit MCMBP Antibody - BSA Free (NBP1-90746) is a polyclonal antibody validated for use in IHC, WB and ICC/IF. Anti-MCMBP Antibody: Cited in 1 publication. All Novus Biologicals antibodies are covered by our 100% guarantee.
Immunogen
This antibody was developed against Recombinant Protein corresponding to amino acids: SPRNTTLERQTFYCVPVPGESTWVKEAYVNANQARVSPSTSYTPSRHKRSYEDDDDMDLQPNKQKDQHAGARQAGSVGGLQWCGEPKRLETEASTGQ
Isotype
IgG
Clonality
Polyclonal
Host
Rabbit
Gene
MCMBP
Purity
Immunogen affinity purified
Innovator's Reward
Test in a species/application not listed above to receive a full credit towards a future purchase.

Applications/Dilutions

Dilutions
  • Immunocytochemistry/ Immunofluorescence 0.25-2 ug/ml
  • Immunohistochemistry 1:50 - 1:200
  • Immunohistochemistry-Paraffin 1:50 - 1:200
  • Western Blot 0.04-0.4 ug/ml
Application Notes
For IHC-Paraffin, HIER pH 6 retrieval is recommended. ICC/IF, Fixation Permeabilization: Use PFA/Triton X-100.
Control Peptide
MCMBP Protein (NBP1-90746PEP)
Publications
Read Publication using
NBP1-90746 in the following applications:

Packaging, Storage & Formulations

Storage
Store at 4C short term. Aliquot and store at -20C long term. Avoid freeze-thaw cycles.
Buffer
PBS (pH 7.2) and 40% Glycerol
Preservative
0.02% Sodium Azide
Purity
Immunogen affinity purified

Alternate Names for MCMBP Antibody - BSA Free

  • C10orf119
  • FLJ13081
  • MCM-binding protein
  • MCM-BP
  • minichromosome maintenance complex binding protein
  • mini-chromosome maintenance complex-binding protein
  • minichromosome maintenance complex-binding protein

Limitations

This product is for research use only and is not approved for use in humans or in clinical diagnosis. Primary Antibodies are guaranteed for 1 year from date of receipt.

Customers Who Viewed This Item Also Viewed...

H00004176-M01
Species: Hu
Applications: ELISA, ICC/IF, IHC,  IHC-P, PLA, WB
NBP2-19804
Species: Hu, Mu
Applications: ICC/IF, IHC,  IHC-P, WB
NB100-288
Species: Hu, Mu
Applications: IHC,  IHC-P, IP, WB
NBP1-33105
Species: Hu, Mu
Applications: ChIP, ICC/IF, IHC,  IHC-P, IP, WB
NBP1-82642
Species: Hu, Mu, Rt
Applications: CHIP-SEQ, ICC/IF, IHC,  IHC-P, KD, WB
NBP2-19952
Species: Hu
Applications: ICC/IF, KD, WB
NB100-464
Species: Hu, Mu
Applications: IHC,  IHC-P, IP, WB
NBP3-15386
Species: Hu, Mu, Rt
Applications: ICC/IF, IHC,  IHC-P, IP, WB
DVE00
Species: Hu
Applications: ELISA
H00010926-M01
Species: Hu
Applications: ELISA, ICC/IF, IHC,  IHC-P, S-ELISA, WB
H00063922-M01
Species: Hu
Applications: ELISA, ICC/IF, S-ELISA, WB
NBP2-15837
Species: Hu, Mu, Rt
Applications: ICC/IF, IHC,  IHC-P, WB
NBP2-56122
Species: Hu
Applications: ICC/IF
NB100-687
Species: Hu, Mu, Rt
Applications: Flow, ICC/IF, IHC,  IHC-P, Simple Western, WB
H00084172-M10
Species: Hu
Applications: ELISA, ICC/IF, S-ELISA, WB
NB100-79778
Species: Hu, Mu
Applications: ICC/IF, IHC,  IHC-P, IP, WB
H00005457-Q01
Species: Hu
Applications: ELISA, AP, PA, WB
MAB414
Species: Mu
Applications: ELISA(Cap), ELISA(Det), ELISA(Sta), Neut, WB

Publications for MCMBP Antibody (NBP1-90746)(1)

We have publications tested in 1 confirmed species: Drosophila melanogaster.

We have publications tested in 1 application: ICC/IF.


Filter By Application
ICC/IF
(1)
All Applications
Filter By Species
Drosophila melanogaster
(1)
All Species
Showing Publication 1 - 1 of 1.
Publication using NBP1-90746 Applications Species
Ochs, F, Karemore, G Et al. Stabilization of chromatin topology safeguards genome integrity. Nature 2019-10-01 [PMID: 31645724] (ICC/IF, Drosophila melanogaster) ICC/IF Drosophila melanogaster

Reviews for MCMBP Antibody (NBP1-90746) (0)

There are no reviews for MCMBP Antibody (NBP1-90746). By submitting a review you will receive an Amazon e-Gift Card or Novus Product Discount.
  • Review with no image -- $10/€7/£6/$10 CAD/¥70 Yuan/¥1110 Yen
  • Review with an image -- $25/€18/£15/$25 CAD/¥150 Yuan/¥2500 Yen

Product General Protocols

Find general support by application which include: protocols, troubleshooting, illustrated assays, videos and webinars.

Video Protocols

WB Video Protocol
ICC/IF Video Protocol

FAQs for MCMBP Antibody (NBP1-90746) (0)

There are no specific FAQs related to this product. Read our general customer & technical service FAQs.

Secondary Antibodies

 

Isotype Controls

Additional MCMBP Products

Array NBP1-90746

Research Areas for MCMBP Antibody (NBP1-90746)

Find related products by research area.

Blogs on MCMBP

There are no specific blogs for MCMBP, but you can read our latest blog posts.

Customers Who Bought This Also Bought

Contact Information

Product PDFs

Calculators

Concentration Calculator

The concentration calculator allows you to quickly calculate the volume, mass or concentration of your vial. Simply enter your mass, volume, or concentration values for your reagent and the calculator will determine the rest.

=
÷

Review this Product

Be the first to review our MCMBP Antibody - BSA Free and receive a gift card or discount.

Bioinformatics

Gene Symbol MCMBP