MBP Antibody (BDI221)

Images

 
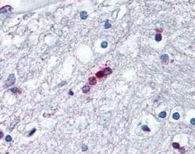
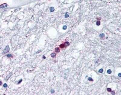
Immunohistochemistry-Paraffin: MBP Antibody (BDI221) [NBP1-40052] - Analysis of anti-Myelin Basic Protein antibody with human brain, oligodendrocytes at concentration 5 ug/ml.

Product Details

Summary
Product Discontinued
View other related MBP Primary Antibodies

Order Details


    • Catalog Number
      NBP1-40052
    • Availability
      Product Discontinued

    Can't find what you are looking for? Use our Antibody Concierge Service & we will help you locate your antibody!

    Or feel free to contact us for alternative products.

MBP Antibody (BDI221) Summary

Immunogen
Purified human MBP.
Marker
Oligodendrocyte Marker, Myelin Marker
Specificity
Recognizes residues 130-136 in human MBP (21.5kD and 18.5kD molecular forms).
Isotype
IgG2b
Clonality
Monoclonal
Host
Mouse
Gene
MBP
Purity
Protein G purified
Innovator's Reward
Test in a species/application not listed above to receive a full credit towards a future purchase.

Applications/Dilutions

Dilutions
  • ELISA 10 - 20 ug/ml
  • Immunohistochemistry
  • Immunohistochemistry-Frozen 1:10-1:500
  • Immunohistochemistry-Paraffin 5 ug/ml
  • Western Blot 1-2 ug/ml
Publications
Read Publication using
NBP1-40052 in the following applications:

Reactivity Notes

Mouse blocking reagent may be needed for IHC and ICC experiments to reduce high background signal. You can find these reagents under catalog numbers PK-2200-NB and MP-2400-NB. Please contact Technical Support if you have any Please note that this antibody is reactive to Mouse and derived from the same host, Mouse. Mouse-On-questions.

Packaging, Storage & Formulations

Storage
Store at 4C short term. Aliquot and store at -20C long term. Avoid freeze-thaw cycles.
Buffer
PBS (pH 7.4)
Preservative
No Preservative
Concentration
1 mg/ml
Purity
Protein G purified

Alternate Names for MBP Antibody (BDI221)

  • Hmbpr
  • MBP
  • MGC99675
  • mld
  • Myelin A1 protein
  • myelin basic protein
  • Myelin membrane encephalitogenic protein
  • shi

Background

Myelin Basic Protein (MBP) functions in the nervous system in myelination and is expressed in oligodendrocytes following differentiation. There are numerous isoforms generated by differential splicing events and post-translational modifications that have specialized functions. These functions include participation in signaling pathways prior to myelination, myelination or the re-myelination process following neural injury.

Limitations

This product is for research use only and is not approved for use in humans or in clinical diagnosis. Primary Antibodies are guaranteed for 1 year from date of receipt.

Customers Who Viewed This Item Also Viewed...

NB300-141
Species: Bv, Ch, Eq, Gp, Hu, Mu, Po, Rb, Rt
Applications: ICC/IF, IHC, IHC-Fr,  IHC-P, Simple Western, WB
H00004340-B01P
Species: Hu, Rt
Applications: WB
NBP1-87781
Species: Hu, Mu
Applications: IHC,  IHC-P, WB
538-MG
Species: Rt
Applications: BA
MAB6734
Species: Hu
Applications: IHC
AF5724
Species: Hu, Mu, Rt
Applications: ICC, WB
NBP2-93574
Species: Hu, Mu, Rt
Applications: ICC/IF, IHC,  IHC-P, WB
202-IL
Species: Hu
Applications: BA
7954-GM/CF
Species: Hu
Applications: BA
NBP2-42388
Species: Hu
Applications: ICC/IF, IHC,  IHC-P, KD, WB
485-MI
Species: Mu
Applications: BA
AF1230
Species: Hu, Mu, Rt
Applications: IHC, KO, WB
6507-IL/CF
Species: Hu
Applications: BA
NBP2-22203
Species: Hu, Pm, Mu, Rt
Applications: ELISA, Flow, ICC/IF, IHC,  IHC-P, WB
NBP2-46617
Species: Hu, Mu, Rt
Applications: ICC/IF, IHC,  IHC-P, WB
DY417
Species: Mu
Applications: ELISA
NBP1-19371
Species: Ca, Hu, Mu, Po, Rb, Rt
Applications: Dual ISH-IHC, Flow, ICC/IF, IHC, IHC-Fr,  IHC-P, Simple Western, WB
NB120-6405
Species: Rt
Applications: B/N, CyTOF-ready, EM, ELISA, Flow-IC, Flow, ICC/IF, IHC, IHC-Fr,  IHC-P, IP
NBP2-13304
Species: Hu
Applications: ICC/IF, IHC,  IHC-P, WB

Publications for MBP Antibody (NBP1-40052)(1)

We have publications tested in 1 confirmed species: Rhesus Macaque.

We have publications tested in 1 application: IHC-P.


Filter By Application
IHC-P
(1)
All Applications
Filter By Species
Rhesus Macaque
(1)
All Species

Reviews for MBP Antibody (NBP1-40052) (0)

There are no reviews for MBP Antibody (NBP1-40052). By submitting a review you will receive an Amazon e-Gift Card or Novus Product Discount.
  • Review with no image -- $10/€7/£6/$10 CAD/¥70 Yuan/¥1110 Yen
  • Review with an image -- $25/€18/£15/$25 CAD/¥150 Yuan/¥2500 Yen

Product General Protocols

Find general support by application which include: protocols, troubleshooting, illustrated assays, videos and webinars.

Video Protocols

WB Video Protocol

FAQs for MBP Antibody (NBP1-40052) (0)

There are no specific FAQs related to this product. Read our general customer & technical service FAQs.

Contact Information

Product PDFs

Calculators

Concentration Calculator

The concentration calculator allows you to quickly calculate the volume, mass or concentration of your vial. Simply enter your mass, volume, or concentration values for your reagent and the calculator will determine the rest.

=
÷

Review this Product

Be the first to review our MBP Antibody (BDI221) and receive a gift card or discount.

Bioinformatics

Gene Symbol MBP
Entrez
Uniprot