MBP [p Thr98] Antibody (98P/12) - BSA Free

Images

 
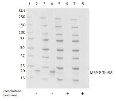
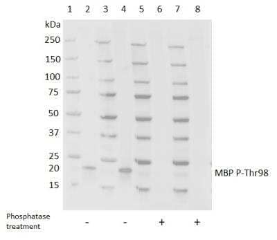
Western Blot: MBP [p Thr98] Antibody (98P/12) [NB100-64789] - 30 ug of human brain tissue lysate was run under reducing conditions on SDS PAGE and transferred to a PVDF membrane. Bio-Rad Precision Plus molecular weight ...read more

Product Details

Summary
Product Discontinued
View other related MBP Primary Antibodies

Order Details


    • Catalog Number
      NB100-64789
    • Availability
      Product Discontinued

    Can't find what you are looking for? Use our Antibody Concierge Service & we will help you locate your antibody!

    Or feel free to contact us for alternative products.

MBP [p Thr98] Antibody (98P/12) - BSA Free Summary

Immunogen
Synthetic peptide from human myelin basic protein sequence, phosphorylated on threonine 98
Modification
p Thr98
Marker
Oligodendrocyte Marker, Myelin Marker
Specificity
Recognizes myelin basic protein that is phosphorylated on threonine 98.
Isotype
IgG2a
Clonality
Monoclonal
Host
Mouse
Gene
MBP
Purity
Protein A or G purified
Innovator's Reward
Test in a species/application not listed above to receive a full credit towards a future purchase.

Applications/Dilutions

Dilutions
  • ELISA 1:100-1:2000
  • Immunohistochemistry 1:10-1:500
  • Immunohistochemistry-Frozen 1:10-1:500
  • Western Blot 1:100-1:2000
Application Notes
For the detection of phosphoproteins, threonine phosphatase inhibitors such as 10mM Sodium Fluoride should be added to the sample buffer. Milk or other casein-based blocking solutions are not recommended as casein is a phosphoprotein and its use can result in high background.
Publications
Read Publication using
NB100-64789 in the following applications:

  • WB
    1 publication

Reactivity Notes

Reacts with Human.

Packaging, Storage & Formulations

Storage
Store at 4C short term. Aliquot and store at -20C long term. Avoid freeze-thaw cycles.
Buffer
PBS (pH 7.4)
Preservative
0.09% Sodium Azide
Concentration
1.0 mg/ml
Purity
Protein A or G purified

Alternate Names for MBP [p Thr98] Antibody (98P/12) - BSA Free

  • Hmbpr
  • MBP
  • MGC99675
  • mld
  • Myelin A1 protein
  • myelin basic protein
  • Myelin membrane encephalitogenic protein
  • shi

Background

Epitope tagging offers an easy and universal strategy for the identification and purification of proteins derived by recombinant DNA technology. The insertion of a Maltose Binding Protein (MBP) tag creates a stable fusion product that does not interfere with the bioactivity of the protein or with the biodistribution of the MBP tagged product. Cleavage by factor Xa separates MBP from its partner protein.

Limitations

This product is for research use only and is not approved for use in humans or in clinical diagnosis. Primary Antibodies are guaranteed for 1 year from date of receipt.

Customers Who Viewed This Item Also Viewed...

NB300-141
Species: Bv, Ch, Eq, Gp, Hu, Mu, Po, Rb, Rt
Applications: ICC/IF, IHC, IHC-Fr,  IHC-P, Simple Western, WB
AF2439
Species: Mu
Applications: IHC, WB
NBP1-87781
Species: Hu, Mu
Applications: IHC,  IHC-P, WB
538-MG
Species: Rt
Applications: BA
MAB6734
Species: Hu
Applications: IHC
NBP3-32740
Species: Hu, Mu, Rt
Applications: Flow, ICC/IF, IHC,  IHC-P, IP, WB
NBP2-93574
Species: Hu, Mu, Rt
Applications: ICC/IF, IHC,  IHC-P, WB
202-IL
Species: Hu
Applications: BA
7954-GM/CF
Species: Hu
Applications: BA
NBP2-42388
Species: Hu
Applications: ICC/IF, IHC,  IHC-P, KD, WB
485-MI
Species: Mu
Applications: BA
AF1230
Species: Hu, Mu, Rt
Applications: IHC, KO, WB
6507-IL/CF
Species: Hu
Applications: BA
DYC1825-2
Species: Hu, Mu, Rt
Applications: ELISA
NBP2-46617
Species: Hu, Mu, Rt
Applications: ICC/IF, IHC,  IHC-P, WB
DY417
Species: Mu
Applications: ELISA
NBP1-19371
Species: Ca, Hu, Mu, Po, Rb, Rt
Applications: Dual ISH-IHC, Flow, ICC/IF, IHC, IHC-Fr,  IHC-P, Simple Western, WB
NB120-6405
Species: Rt
Applications: B/N, CyTOF-ready, EM, ELISA, Flow-IC, Flow, ICC/IF, IHC, IHC-Fr,  IHC-P, IP
NBP2-13304
Species: Hu
Applications: ICC/IF, IHC,  IHC-P, WB

Publications for MBP Antibody (NB100-64789)(1)

We have publications tested in 1 confirmed species: Human.

We have publications tested in 1 application: WB.


Filter By Application
WB
(1)
All Applications
Filter By Species
Human
(1)
All Species

Reviews for MBP Antibody (NB100-64789) (0)

There are no reviews for MBP Antibody (NB100-64789). By submitting a review you will receive an Amazon e-Gift Card or Novus Product Discount.
  • Review with no image -- $10/€7/£6/$10 CAD/¥70 Yuan/¥1110 Yen
  • Review with an image -- $25/€18/£15/$25 CAD/¥150 Yuan/¥2500 Yen

Product General Protocols

Find general support by application which include: protocols, troubleshooting, illustrated assays, videos and webinars.

Video Protocols

WB Video Protocol

FAQs for MBP Antibody (NB100-64789) (0)

There are no specific FAQs related to this product. Read our general customer & technical service FAQs.

Contact Information

Product PDFs

Calculators

Concentration Calculator

The concentration calculator allows you to quickly calculate the volume, mass or concentration of your vial. Simply enter your mass, volume, or concentration values for your reagent and the calculator will determine the rest.

=
÷

Review this Product

Be the first to review our MBP [p Thr98] Antibody (98P/12) - BSA Free and receive a gift card or discount.

Bioinformatics

Gene Symbol MBP
Entrez
Uniprot