MAGIX Antibody - BSA Free

Images

 
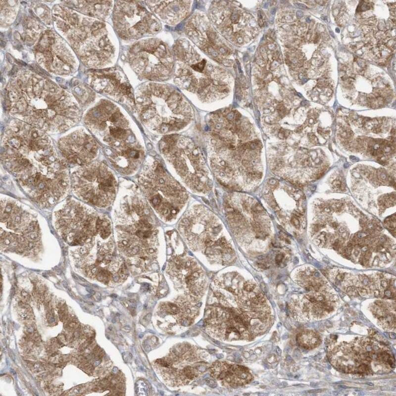
Immunohistochemistry-Paraffin: MAGIX Antibody [NBP1-93951] - Staining of human pancreas shows strong cytoplasmic positivity in exocrine glandular cells.
Staining of human stomach shows moderate cytoplasmic positivity in glandular cells.

Product Details

Summary
Reactivity HuSpecies Glossary
Applications IHC
Clonality
Polyclonal
Host
Rabbit
Conjugate
Unconjugated
Format
BSA Free

Order Details

View Available Formulations
Catalog# & Formulation Size Price

MAGIX Antibody - BSA Free Summary

Description
Novus Biologicals Rabbit MAGIX Antibody - BSA Free (NBP1-93951) is a polyclonal antibody validated for use in IHC. All Novus Biologicals antibodies are covered by our 100% guarantee.
Immunogen
This antibody was developed against Recombinant Protein corresponding to amino acids: QGLTHAQAVERIRAGGPQLHLVIRRPLETHPGKPRGVGEPRKGVDRSPDPGGPEVTGSRSSSTSLVQHPPSRTTLKKTRGSPEPSPEA
Isotype
IgG
Clonality
Polyclonal
Host
Rabbit
Gene
MAGIX
Purity
Affinity purified
Innovator's Reward
Test in a species/application not listed above to receive a full credit towards a future purchase.

Applications/Dilutions

Dilutions
  • Immunohistochemistry 1:50 - 1:200
  • Immunohistochemistry-Paraffin 1:50 - 1:200
Application Notes
For IHC-Paraffin, HIER pH 6 retrieval is recommended. Immunocytochemistry/Immunofluorescence Fixation Permeabilization: Use PFA/Triton X-100.
Control Peptide
MAGIX Protein (NBP1-93951PEP)

Packaging, Storage & Formulations

Storage
Store at 4C short term. Aliquot and store at -20C long term. Avoid freeze-thaw cycles.
Buffer
PBS (pH 7.2) and 40% Glycerol
Preservative
0.02% Sodium Azide
Purity
Affinity purified

Alternate Names for MAGIX Antibody - BSA Free

  • FLJ21687
  • MAGI family member, X-linked
  • X chromosome

Limitations

This product is for research use only and is not approved for use in humans or in clinical diagnosis. Primary Antibodies are guaranteed for 1 year from date of receipt.

Customers Who Viewed This Item Also Viewed...

NBP1-91941
Species: Hu
Applications: IHC,  IHC-P, WB
NBP2-45794
Species: Hu, Mu, Rt
Applications: WB
NB400-104
Species: ChHa, SyHa, Ha, Hu, Mu, Md, Po, Pm, Rb, Rt
Applications: B/N, Flow-IC, Flow, ICC/IF, IHC, IHC-Fr,  IHC-P, IP, KD, KO, PLA, Simple Western, WB
NB400-149
Species: Bv, Hu, Mu, Rt(-)
Applications: ICC/IF, IHC,  IHC-P, Simple Western, WB
NBP1-84290
Species: Hu
Applications: ICC/IF, IHC,  IHC-P, WB
NBP1-87850
Species: Hu
Applications:  IHC-P
DVE00
Species: Hu
Applications: ELISA
NBP2-14871
Species: Mu, Rt
Applications: ICC/IF, WB
NBP2-17210
Species: Hu
Applications: ICC/IF, IP, WB
AF1356
Species: Hu, Mu
Applications: CyTOF-ready, Dual ISH-IHC, Flow, IHC, Simple Western, WB
NB120-2860
Species: Ba, Bv, Ch, Hu, Mu, Rt
Applications: ELISA, Flow, ICC/IF, IHC,  IHC-P, WB
NBP1-88985
Species: Hu, Mu
Applications: ICC/IF, IHC,  IHC-P, WB
NBP2-15669
Species: Mu, Rt, Ze
Applications: IHC-WhMt, IHC, WB
NBP2-25160
Species: Bv, Ca, Eq, Hu, Mu, Po, Rt
Applications: ICC/IF, IHC, WB
NBP3-43009
Species: Hu
Applications: ELISA, IHC, WB
NBP2-49671
Species: Hu
Applications: ICC/IF, IHC,  IHC-P
AF644
Species: Mu
Applications: CyTOF-ready, Dual ISH-IHC, Flow, IHC, Neut, WB
AF2918
Species: Hu
Applications: CyTOF-ready, Flow, ICC, WB
NBP2-76939
Species: Hu, Mu, Rt
Applications: Flow, ICC/IF, IHC,  IHC-P, WB
NBP1-93951
Species: Hu
Applications: IHC

Publications for MAGIX Antibody (NBP1-93951) (0)

There are no publications for MAGIX Antibody (NBP1-93951).
By submitting your publication information earn gift cards and discounts for future purchases.

Reviews for MAGIX Antibody (NBP1-93951) (0)

There are no reviews for MAGIX Antibody (NBP1-93951). By submitting a review you will receive an Amazon e-Gift Card or Novus Product Discount.
  • Review with no image -- $10/€7/£6/$10 CAD/¥70 Yuan/¥1110 Yen
  • Review with an image -- $25/€18/£15/$25 CAD/¥150 Yuan/¥2500 Yen

Product General Protocols

Find general support by application which include: protocols, troubleshooting, illustrated assays, videos and webinars.

FAQs for MAGIX Antibody (NBP1-93951) (0)

There are no specific FAQs related to this product. Read our general customer & technical service FAQs.

Customers Who Bought This Also Bought

Contact Information

Product PDFs

Calculators

Concentration Calculator

The concentration calculator allows you to quickly calculate the volume, mass or concentration of your vial. Simply enter your mass, volume, or concentration values for your reagent and the calculator will determine the rest.

=
÷

Review this Product

Be the first to review our MAGIX Antibody - BSA Free and receive a gift card or discount.

Bioinformatics

Gene Symbol MAGIX