LRRC6 Antibody (OTI7E9)

Images

 
Western Blot: LRRC6 Antibody (7E9) [NBP2-45674] - Analysis of HEK293T cells were transiently transfected with the pCMV6-ENTRY control (Left lane) or pCMV6-ENTRY LRRC6 .
Immunohistochemistry: LRRC6 Antibody (7E9) [NBP2-45674] - Analysis of Carcinoma of Human pancreas tissue. (Heat-induced epitope retrieval by 1 mM EDTA in 10mM Tris, pH8.5, 120C for 3min)
Immunohistochemistry: LRRC6 Antibody (7E9) [NBP2-45674] - Analysis of Human liver tissue. (Heat-induced epitope retrieval by 1 mM EDTA in 10mM Tris, pH8.5, 120C for 3min)
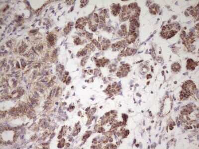
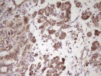
Immunohistochemistry: LRRC6 Antibody (7E9) [NBP2-45674] - Analysis of Carcinoma of Human liver tissue.(Heat-induced epitope retrieval by 1 mM EDTA in 10mM Tris, pH8.5, 120C for 3min)
Immunohistochemistry: LRRC6 Antibody (7E9) [NBP2-45674] - Analysis of Carcinoma of Human lung tissue (Heat-induced epitope retrieval by 1 mM EDTA in 10mM Tris, pH8.5, 120C for 3min)
Immunohistochemistry: LRRC6 Antibody (7E9) [NBP2-45674] - Analysis of Adenocarcinoma of Human ovary tissue. (Heat-induced epitope retrieval by 1 mM EDTA in 10mM Tris, pH8.5, 120C for 3min)
Immunohistochemistry: LRRC6 Antibody (7E9) [NBP2-45674] - Analysis of Human pancreas tissue. (Heat-induced epitope retrieval by 1 mM EDTA in 10mM Tris, pH8.5, 120C for 3min)

Product Details

Summary
Reactivity HuSpecies Glossary
Applications WB, IHC
Clone
OTI7E9
Clonality
Monoclonal
Host
Mouse
Conjugate
Unconjugated
Concentration
1 mg/ml

Order Details

LRRC6 Antibody (OTI7E9) Summary

Description
Novus Biologicals Mouse LRRC6 Antibody (OTI7E9) (NBP2-45674) is a monoclonal antibody validated for use in IHC and WB. All Novus Biologicals antibodies are covered by our 100% guarantee.
Immunogen
Full length human recombinant protein of human LRRC6 (NP_036604) produced in HEK293T cell.
Isotype
IgG1
Clonality
Monoclonal
Host
Mouse
Gene
DNAAF11
Purity
Immunogen affinity purified
Innovator's Reward
Test in a species/application not listed above to receive a full credit towards a future purchase.

Applications/Dilutions

Dilutions
  • Immunohistochemistry 1:150
  • Immunohistochemistry-Paraffin
  • Western Blot
Theoretical MW
54.1 kDa.
Disclaimer note: The observed molecular weight of the protein may vary from the listed predicted molecular weight due to post translational modifications, post translation cleavages, relative charges, and other experimental factors.

Packaging, Storage & Formulations

Storage
Store at -20C. Avoid freeze-thaw cycles.
Buffer
PBS (pH 7.3), 1.0% BSA and 50% Glycerol
Preservative
0.02% Sodium Azide
Concentration
1 mg/ml
Purity
Immunogen affinity purified

Alternate Names for LRRC6 Antibody (OTI7E9)

  • leucine rich repeat containing 6
  • Leucine-rich testis-specific protein
  • LRTPleucine-rich repeat-containing protein 6
  • Testis-specific leucine-rich repeat protein
  • TSLRPtestis specific leucine rich repeat protein

Background

LRRC6 may be involved in spermatocytogenesis or prophase of meiosis

Limitations

This product is for research use only and is not approved for use in humans or in clinical diagnosis. Primary Antibodies are guaranteed for 1 year from date of receipt.

Customers Who Viewed This Item Also Viewed...

AF1356
Species: Hu, Mu
Applications: CyTOF-ready, Dual ISH-IHC, Flow, IHC, Simple Western, WB
NBP1-87822
Species: Hu, Mu, Rt
Applications: ICC/IF, IHC,  IHC-P, KD, WB
AF942
Species: Mu
Applications: CyTOF-ready, ICC, IHC, ICFlow, WB
NBP2-69049
Species: Hu
Applications: IHC,  IHC-P
H00056000-M06
Species: Hu
Applications: ELISA, ICC/IF, IHC,  IHC-P, S-ELISA, WB
NB100-2737
Species: Hu
Applications: ICC/IF, IHC, IP, WB
H00005729-B01P
Species: Hu
Applications: Flow, ICC/IF, WB
NB100-1199
Species: Hu, Mu, Po, Rt
Applications: ICC/IF, IHC,  IHC-P, KD, PEP-ELISA, WB
NBP1-28872
Species: Hu
Applications: ELISA, ICC/IF, IHC, IHC-Fr,  IHC-P, WB
NBP1-90195
Species: Hu
Applications: IHC,  IHC-P, WB
NBP2-99913
Species: Hu
Applications: ELISA, ICC/IF, IHC,  IHC-P, IP, WB
7268-CT
Species: Hu
Applications: BA
NBP2-01936
Species: Ca, Hu, Pm, Mu, Pm, Rt
Applications: Flow, WB
NBP1-86636
Species: Hu, Rt
Applications: ICC/IF, IHC,  IHC-P, WB
NBP2-67702
Species: Hu, Mu, Rt
Applications: ICC/IF, IHC, IHC-Fr,  IHC-P, WB
AF467
Species: Hu, Mu
Applications: CyTOF-ready, Flow, ICC, IHC, Simple Western, WB
AF1106
Species: Hu
Applications: IP, WB
MAB2772
Species: Hu, Pm
Applications: Block, CyTOF-ready, ELISA(Cap), ELISA(Det), ELISA(Sta), Flow, ICC
H00003347-M01
Species: Hu
Applications: ELISA, ICC/IF, S-ELISA, WB
NBP2-13754
Species: Hu, Mu, Rt
Applications: ICC/IF, IHC,  IHC-P, WB

Publications for LRRC6 Antibody (NBP2-45674) (0)

There are no publications for LRRC6 Antibody (NBP2-45674).
By submitting your publication information earn gift cards and discounts for future purchases.

Reviews for LRRC6 Antibody (NBP2-45674) (0)

There are no reviews for LRRC6 Antibody (NBP2-45674). By submitting a review you will receive an Amazon e-Gift Card or Novus Product Discount.
  • Review with no image -- $10/€7/£6/$10 CAD/¥70 Yuan/¥1110 Yen
  • Review with an image -- $25/€18/£15/$25 CAD/¥150 Yuan/¥2500 Yen

Product General Protocols

Find general support by application which include: protocols, troubleshooting, illustrated assays, videos and webinars.

Video Protocols

WB Video Protocol

FAQs for LRRC6 Antibody (NBP2-45674) (0)

There are no specific FAQs related to this product. Read our general customer & technical service FAQs.

Customers Who Bought This Also Bought

Contact Information

Product PDFs

Calculators

Concentration Calculator

The concentration calculator allows you to quickly calculate the volume, mass or concentration of your vial. Simply enter your mass, volume, or concentration values for your reagent and the calculator will determine the rest.

=
÷

Review this Product

Be the first to review our LRRC6 Antibody (OTI7E9) and receive a gift card or discount.

Bioinformatics

Gene Symbol DNAAF11