NXF3 Antibody (3A9) - Azide and BSA Free

Images

 
Immunocytochemistry/ Immunofluorescence: NXF3 Antibody (3A9) [H00056000-M06] - Analysis of monoclonal antibody to NXF3 on HeLa cell. Antibody concentration 10 ug/ml
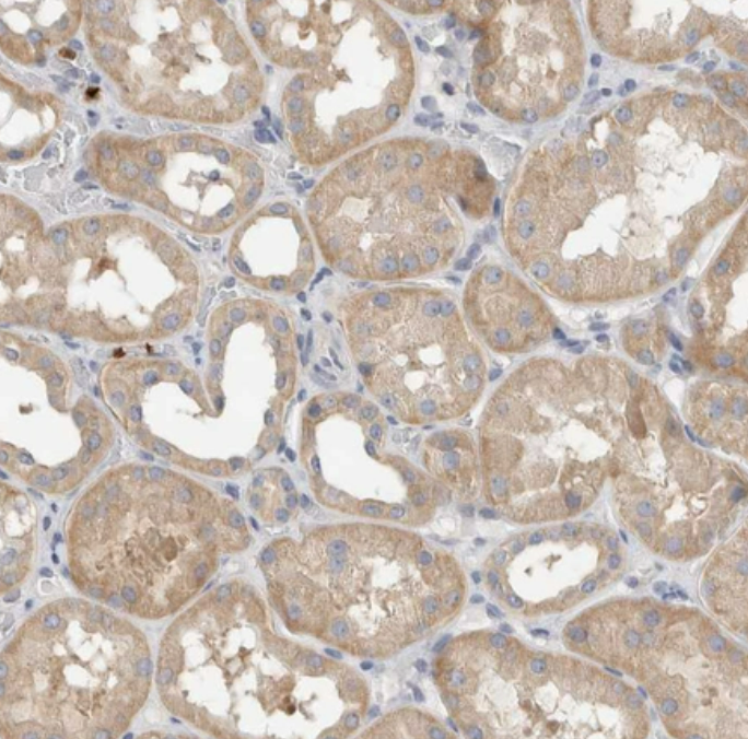
Immunohistochemistry-Paraffin: NXF3 Antibody (3A9) [H00056000-M06] - Analysis of monoclonal antibody to NXF3 on formalin-fixed paraffin-embedded human kidney. Antibody concentration 5 ug/ml
Sandwich ELISA: NXF3 Antibody (3A9) [H00056000-M06] - Detection limit for recombinant GST tagged NXF3 is 0.3 ng/ml as a capture antibody.

Product Details

Summary
Reactivity HuSpecies Glossary
Applications WB, ELISA, ICC/IF, IHC
Clone
3A9
Clonality
Monoclonal
Host
Mouse
Conjugate
Unconjugated
Format
Azide and BSA Free

Order Details

NXF3 Antibody (3A9) - Azide and BSA Free Summary

Description
Novus Biologicals Mouse NXF3 Antibody (3A9) - Azide and BSA Free (H00056000-M06) is a monoclonal antibody validated for use in IHC, WB, ELISA and ICC/IF. All Novus Biologicals antibodies are covered by our 100% guarantee.
Immunogen
NXF3 (AAH31616, 1 a.a. ~ 531 a.a) full-length recombinant protein with GST tag. MW of the GST tag alone is 26 KDa. MSLPSGHTTGHTDQVVQRRARCWDIYQRRFSSRSEPVNPGMHSSSHQQQDGDAAMHGAHMDSPVRYTPYTISPYNRKGSFRKQDQTHVNMEREQKPPERRMEGNMPDGTLGSWFKITVPFGIKYNEKWLLNLIQNECSVPFVPVEFHYENMHASFFVENASIAYALKNVSGKIWDEDNEKISIFVNPAGIPHFVHRELKSEKVEQIKLAMNQQCDVSQEALDIQRLPFYPDMVNRDTKMASNPRKCMAASLDVHEENIPTVMSAGEMDKWKGIEPGEKCADRSPVCTTFSDTSSNINSILELFPKLLCLDGQQSPRATLCGTEAHKRLPTCKGSFFGSEMLKNLVLQFLQQYYLIYDSGDRQGLLSAYHDEACFSLSIPFNPEDSAPSSFCKFFKDSRNIKILKDPYLRGELLKHTKLDIVDSLSALPKTQHDLSSFLVDMWYQTEWMLCFSVNGVFKEVEGQSQGSVLAFTRTFIATPGSSSSLCIVNDKLFVRDTSHQGTQSALFTLVPTAFSSSMPAFSQEQQKMLPS
Specificity
NXF3 - nuclear RNA export factor 3 (3A9)
Isotype
IgG2a Kappa
Clonality
Monoclonal
Host
Mouse
Gene
NXF3
Purity
IgG purified
Innovator's Reward
Test in a species/application not listed above to receive a full credit towards a future purchase.

Applications/Dilutions

Dilutions
  • ELISA
  • Immunocytochemistry/ Immunofluorescence
  • Immunohistochemistry
  • Immunohistochemistry-Paraffin
  • Sandwich ELISA
  • Western Blot 1:500
Application Notes
Antibody Reactive Against Recombinant Protein with GST tag on ELISA and Western Blot. GST tag alone is used as a negative control.

Packaging, Storage & Formulations

Storage
Aliquot and store at -20C or -80C. Avoid freeze-thaw cycles.
Buffer
In 1x PBS, pH 7.4
Preservative
No Preservative
Purity
IgG purified

Notes

This product is produced by and distributed for Abnova, a company based in Taiwan.

Alternate Names for NXF3 Antibody (3A9) - Azide and BSA Free

  • nuclear RNA export factor 3
  • TAPL3
  • TAPL-3
  • TAP-like protein 3

Background

This gene is one member of a family of nuclear RNA export factor genes. Common domain features of this family are a noncanonical RNP-type RNA-binding domain (RBD), 4 leucine-rich repeats (LRRs), a nuclear transport factor 2 (NTF2)-like domain that allows heterodimerization with NTF2-related export protein-1 (NXT1), and a ubiquitin-associated domain that mediates interactions with nucleoporins. The LRRs and NTF2-like domains are required for export activity. Alternative splicing seems to be a common mechanism in this gene family. The encoded protein of this gene has shortened LRR and ubiquitin-associated domains and its RDB is unable to bind RNA. It is located in the nucleoplasm but is not associated with either the nuclear envelope or the nucleolus. [provided by RefSeq]

Limitations

This product is for research use only and is not approved for use in humans or in clinical diagnosis. Primary Antibodies are guaranteed for 1 year from date of receipt.

Customers Who Viewed This Item Also Viewed...

NBP1-31649
Species: Hu
Applications: ICC/IF, IHC,  IHC-P, WB
NBP2-47252
Species: Mu, Rt, Sh
Applications: ELISA, ICC/IF, IHC, IHC-Fr,  IHC-P, WB
NBP1-85809
Species: Hu
Applications: IHC,  IHC-P
H00029107-M08
Species: Hu
Applications: ELISA, ICC/IF, KD, S-ELISA, WB
NBP2-01346
Species: Ca, Hu, Pm, Mu, Pm, Rt
Applications: Flow, ICC/IF, IHC,  IHC-P, WB
NBP1-90286
Species: Hu, Mu, Rt
Applications: ICC/IF, IHC,  IHC-P, WB
NBP3-38014
Species: Hu
Applications: ELISA, ICC/IF, IHC,  IHC-P, WB
NBP3-38209
Species: Hu, Rt
Applications: ELISA, ICC/IF, IHC,  IHC-P, IP, WB
NBP2-45603
Species: Hu, Mu, Rt
Applications: Flow, IHC,  IHC-P, WB
NBP1-82454
Species: Hu, Mu
Applications: ICC/IF, IHC,  IHC-P, WB
NBP2-45674
Species: Hu
Applications: IHC,  IHC-P, WB
NBP1-80964
Species: Hu
Applications: IHC,  IHC-P, WB
NBP2-50444
Species: Hu
Applications: ELISA, ICC/IF, IHC, WB
NBP2-16686
Species: Hu
Applications: ICC/IF, IHC,  IHC-P, KO, WB
NBP1-87781
Species: Hu, Mu
Applications: IHC,  IHC-P, WB
NBP2-49118
Species: Hu
Applications: IHC,  IHC-P
NBP1-83213
Species: Hu
Applications: IHC,  IHC-P, WB
NBP1-83220
Species: Hu, Mu, Rt
Applications: ICC/IF, IHC,  IHC-P, KD, Simple Western, WB

Publications for NXF3 Antibody (H00056000-M06) (0)

There are no publications for NXF3 Antibody (H00056000-M06).
By submitting your publication information earn gift cards and discounts for future purchases.

Reviews for NXF3 Antibody (H00056000-M06) (0)

There are no reviews for NXF3 Antibody (H00056000-M06). By submitting a review you will receive an Amazon e-Gift Card or Novus Product Discount.
  • Review with no image -- $10/€7/£6/$10 CAD/¥70 Yuan/¥1110 Yen
  • Review with an image -- $25/€18/£15/$25 CAD/¥150 Yuan/¥2500 Yen

Product General Protocols

Find general support by application which include: protocols, troubleshooting, illustrated assays, videos and webinars.

Video Protocols

WB Video Protocol
ICC/IF Video Protocol

FAQs for NXF3 Antibody (H00056000-M06) (0)

There are no specific FAQs related to this product. Read our general customer & technical service FAQs.

Customers Who Bought This Also Bought

Contact Information

Product PDFs

Calculators

Concentration Calculator

The concentration calculator allows you to quickly calculate the volume, mass or concentration of your vial. Simply enter your mass, volume, or concentration values for your reagent and the calculator will determine the rest.

=
÷

Review this Product

Be the first to review our NXF3 Antibody (3A9) - Azide and BSA Free and receive a gift card or discount.

Bioinformatics

Gene Symbol NXF3
Entrez
Uniprot