LMF1 Antibody - BSA Free

Images

 
Western Blot: LMF1 Antibody - BSA Free [NBP3-46016] - SKOV-3 cells were subjected to SDS PAGE followed by western blot with (LMF1 Antibody) at dilution of 1:600
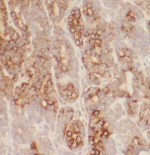
Immunohistochemistry: LMF1 Antibody - BSA Free [NBP3-46016] - Immunohistochemistry of paraffin-embedded human liver cancer tissue slide using (LMF1 Antibody) at dilution of 1:50

Product Details

Summary
Reactivity Hu, Mu, RtSpecies Glossary
Applications WB, ELISA, IHC
Clonality
Polyclonal
Host
Rabbit
Conjugate
Unconjugated
Format
BSA Free

Order Details

LMF1 Antibody - BSA Free Summary

Description
Novus Biologicals Rabbit LMF1 Antibody - BSA Free (NBP3-46016) is a polyclonal antibody validated for use in IHC, WB and ELISA. All Novus Biologicals antibodies are covered by our 100% guarantee.
Immunogen
lipase maturation factor 1. (Uniprot# Q96S06)
Isotype
IgG
Clonality
Polyclonal
Host
Rabbit
Gene
LMF1
Purity
Immunogen affinity purified
Innovator's Reward
Test in a species/application not listed above to receive a full credit towards a future purchase.

Applications/Dilutions

Dilutions
  • ELISA
  • Immunohistochemistry 1:20-1:200
  • Western Blot 1:500-1:2000
Application Notes
Theoretical Molecular Weight is 65-70 kDa

Packaging, Storage & Formulations

Storage
Store at -20C. Avoid freeze-thaw cycles.
Buffer
PBS, 50% Glycerol, pH (7.3)
Preservative
0.02% Sodium Azide
Purity
Immunogen affinity purified

Alternate Names for LMF1 Antibody - BSA Free

  • chromosome 16 open reading frame 26
  • FLJ12681
  • FLJ22302
  • HMFN1876
  • JFP11
  • lipase maturation factor 1
  • TMEM112C16orf26
  • Transmembrane protein 112TMEM112A

Background

LMF1 is involved in the maturation of specific proteins in the endoplasmic reticulum. Required for maturation andtransport of active lipoprotein lipase (LPL) through the secretory pathway

Limitations

This product is for research use only and is not approved for use in humans or in clinical diagnosis. Primary Antibodies are guaranteed for 1 year from date of receipt.

Customers Who Viewed This Item Also Viewed...

AF7197
Species: Hu, Mu
Applications: ICC, IHC, WB
NBP3-46020
Species: Hu, Mu, Rt
Applications: ELISA, IHC, WB
NBP2-19860
Species: Hu, Mu
Applications: ICC/IF, IHC, IHC-Fr,  IHC-P, WB
NB110-41539
Species: Hu, Mu
Applications: ICC/IF, WB
NB400-111
Species: Hu, Mu(-)
Applications: ICC/IF, IHC, IHC-Fr, WB
AF4497
Species: Hu
Applications: Simple Western, WB
NB400-139
Species: Ha, Hu
Applications: ELISA, Flow, ICC/IF, IHC,  IHC-P, WB
NBP1-47791
Species: Hu, Mu, Rt
Applications: ChIP, ICC/IF, IHC,  IHC-P, WB
NBP1-32767
Species: Hu, Mu, Rt
Applications: ICC/IF, IHC,  IHC-P, WB
NBP2-34294
Species: Hu, Mu, Rt
Applications: Flow, IHC,  IHC-P
NBP1-84450
Species: Hu, Mu
Applications: IHC-WhMt, IHC,  IHC-P, WB
NB300-558
Species: Bv, Hu, Rb
Applications: ELISA, ICC/IF, IP, WB
NBP1-31234
Species: Hu
Applications: ICC/IF, IHC,  IHC-P, IP, WB
NBP3-04382
Species: Hu, Mu, Rt
Applications: ICC/IF, IHC,  IHC-P, WB
NBP2-03396
Species: Hu, Mu, Rt
Applications: ICC/IF, IHC,  IHC-P, WB
NBP3-15868
Species: Hu, Mu, Rt
Applications: ELISA, ICC/IF, IHC,  IHC-P, WB
NBP2-38290
Species: Hu
Applications: ChIP-EXO-SEQ, ICC/IF, IHC,  IHC-P, KD, WB
AF3485
Species: Hu, Pm
Applications: ELISA(Cap), ELISA(Det), ELISA(Sta), Simple Western, WB
NB200-527
Species: Hu, Mu, Rt
Applications: IP, WB
NBP3-46016
Species: Hu, Mu, Rt
Applications: WB, ELISA, IHC

Publications for LMF1 Antibody (NBP3-46016) (0)

There are no publications for LMF1 Antibody (NBP3-46016).
By submitting your publication information earn gift cards and discounts for future purchases.

Reviews for LMF1 Antibody (NBP3-46016) (0)

There are no reviews for LMF1 Antibody (NBP3-46016). By submitting a review you will receive an Amazon e-Gift Card or Novus Product Discount.
  • Review with no image -- $10/€7/£6/$10 CAD/¥70 Yuan/¥1110 Yen
  • Review with an image -- $25/€18/£15/$25 CAD/¥150 Yuan/¥2500 Yen

Product General Protocols

Find general support by application which include: protocols, troubleshooting, illustrated assays, videos and webinars.

Video Protocols

WB Video Protocol

FAQs for LMF1 Antibody (NBP3-46016) (0)

There are no specific FAQs related to this product. Read our general customer & technical service FAQs.

Customers Who Bought This Also Bought

Contact Information

Product PDFs

Calculators

Concentration Calculator

The concentration calculator allows you to quickly calculate the volume, mass or concentration of your vial. Simply enter your mass, volume, or concentration values for your reagent and the calculator will determine the rest.

=
÷

Review this Product

Be the first to review our LMF1 Antibody - BSA Free and receive a gift card or discount.

Bioinformatics

Gene Symbol LMF1