LIS1 Antibody

Images

 
Western Blot: LIS1 Antibody [NBP1-03125] - LIS1 in HeLa cell lysate with LIS1 antibody at (A) 0.5 and (B) 1 ug/ml.
Immunocytochemistry/ Immunofluorescence: LIS1 Antibody [NBP1-03125] - LIS1 in Jurkat cells with LIS1 antibody at 20 ug/ml.
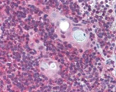
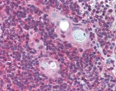
Immunohistochemistry-Paraffin: LIS1 Antibody [NBP1-03125] - Staining of human thymus. Immunohistochemistry of formalin-fixed, paraffin-embedded tissue after heat-induced antigen retrieval. Antibody concentration 5 ug/ml.
Immunocytochemistry/ Immunofluorescence: LIS1 Antibody [NBP1-03125] - LIS1 in Jurkat cells with LIS1 antibody at 2.5 ug/ml.

Product Details

Summary
Product Discontinued
View other related LIS1 Primary Antibodies

Order Details


    • Catalog Number
      NBP1-03125
    • Availability
      Product Discontinued

    Can't find what you are looking for? Use our Antibody Concierge Service & we will help you locate your antibody!

    Or feel free to contact us for alternative products.

LIS1 Antibody Summary

Immunogen
A 14 amino acid synthetic peptide near the C-terminus of human LIS1. The immunogen is located within amino acids 340 - 390 of LIS1.
Epitope
C-Terminus
Specificity
an 14 amino acid peptide from near the carboxy terminus of human LIS1
Isotype
IgG
Clonality
Polyclonal
Host
Rabbit
Gene
PAFAH1B1
Purity
Peptide affinity purified
Innovator's Reward
Test in a species/application not listed above to receive a full credit towards a future purchase.

Applications/Dilutions

Dilutions
  • ELISA
  • Immunocytochemistry/ Immunofluorescence
  • Immunohistochemistry 5 ug/ml
  • Immunohistochemistry-Paraffin 5 ug/ml
  • Western Blot 1 ug/ml
Publications
Read Publications using
NBP1-03125 in the following applications:

Packaging, Storage & Formulations

Storage
Store at 4C short term. Aliquot and store at -20C long term. Avoid freeze-thaw cycles.
Buffer
PBS
Preservative
0.02% Sodium Azide
Concentration
1.0 mg/ml
Purity
Peptide affinity purified

Alternate Names for LIS1 Antibody

  • LIS-1
  • LIS1PAF-AH alpha
  • LIS2
  • lissencephaly 1 protein
  • Lissencephaly-1 protein
  • MDCR
  • MDS
  • Miller-Dieker syndrome chromosome region
  • PAF acetylhydrolase 45 kDa subunit
  • PAF-AH 45 kDa subunit
  • PAFAH alpha
  • PAFAH
  • PAFAHA
  • platelet-activating factor acetylhydrolase 1b, regulatory subunit 1 (45kDa)
  • platelet-activating factor acetylhydrolase IB subunit alpha
  • platelet-activating factor acetylhydrolase, isoform Ib, alpha subunit (45kD)
  • platelet-activating factor acetylhydrolase, isoform Ib, alpha subunit 45kDa
  • platelet-activating factor acetylhydrolase, isoform Ib, subunit 1 (45kDa)

Background

PAFAH1B1 was identified as encoding a gene that when mutated or lost caused the lissencephaly associated with Miller-Dieker lissencephaly syndrome. PAFAH1B1 encodes the non-catalytic alpha subunit of the intracellular Ib isoform of platelet-activating factor acteylhydrolase, a heterotrimeric enzyme that specifically catalyzes the removal of the acetyl group at the SN-2 position of platelet-activating factor (identified as 1-O-alkyl-2-acetyl-sn-glyceryl-3-phosphorylcholine). Two other isoforms of intracellular platelet-activating factor acetylhydrolase exist: one composed of multiple subunits, the other, a single subunit. In addition, a single-subunit isoform of this enzyme is found in serum.

Limitations

This product is for research use only and is not approved for use in humans or in clinical diagnosis. Primary Antibodies are guaranteed for 1 year from date of receipt.

Customers Who Viewed This Item Also Viewed...

DPLG70
Species: Hu
Applications: ELISA
MEP00B
Species: Mu
Applications: ELISA
NBP2-52406
Species: Hu
Applications: ELISA, IHC,  IHC-P, WB
AF5129
Species: Hu
Applications: WB
NBP1-72042
Species: Hu, Mu, Rt
Applications: ICC/IF, IHC,  IHC-P, PEP-ELISA, WB
AF4117
Species: Rt
Applications: IHC, WB
MAB414
Species: Mu
Applications: ELISA(Cap), ELISA(Det), ELISA(Sta), Neut, WB
MAB414
Species: Mu
Applications: ELISA(Cap), ELISA(Det), ELISA(Sta), Neut, WB
NBP2-01086
Species: Hu, Mu, Rt
Applications: Flow, ICC/IF, IHC,  IHC-P, WB
NBP1-26612
Species: Hu
Applications: IP (-), WB
7954-GM/CF
Species: Hu
Applications: BA
NBP1-89105
Species: Hu
Applications: ICC/IF, IHC,  IHC-P, WB
NB200-103
Species: Hu, Mu, Rt, Xp(-), Ye
Applications: CyTOF-ready, ELISA, Flow-IC, Flow, ICC/IF, IHC, IHC-Fr,  IHC-P, IP, WB
7268-CT
Species: Hu
Applications: BA
NBP2-79843
Species: Hu
Applications: CyTOF-ready, ELISA, Flow, ICC/IF, IHC,  IHC-P, PA, WB
NB100-524
Species: Hu, Mu
Applications: Flow-IC, Flow, ICC/IF, IHC, IHC-Fr,  IHC-P, IP, WB
7954-GM/CF
Species: Hu
Applications: BA
203-IL
Species: Hu
Applications: BA
NBP1-03125
Species: Hu, Mu, Rt
Applications: WB, ELISA, ICC/IF, IHC

Publications for LIS1 Antibody (NBP1-03125)(2)

We have publications tested in 2 confirmed species: Human, Rat.

We have publications tested in 2 applications: IF/IHC, WB.


Filter By Application
IF/IHC
(1)
WB
(1)
All Applications
Filter By Species
Human
(1)
Rat
(1)
All Species

Reviews for LIS1 Antibody (NBP1-03125) (0)

There are no reviews for LIS1 Antibody (NBP1-03125). By submitting a review you will receive an Amazon e-Gift Card or Novus Product Discount.
  • Review with no image -- $10/€7/£6/$10 CAD/¥70 Yuan/¥1110 Yen
  • Review with an image -- $25/€18/£15/$25 CAD/¥150 Yuan/¥2500 Yen

Product General Protocols

Find general support by application which include: protocols, troubleshooting, illustrated assays, videos and webinars.

Video Protocols

WB Video Protocol
ICC/IF Video Protocol

FAQs for LIS1 Antibody (NBP1-03125) (0)

There are no specific FAQs related to this product. Read our general customer & technical service FAQs.

Secondary Antibodies

 

Isotype Controls

Additional LIS1 Products

Research Areas for LIS1 Antibody (NBP1-03125)

Find related products by research area.

Blogs on LIS1

There are no specific blogs for LIS1, but you can read our latest blog posts.

Contact Information

Product PDFs

Calculators

Concentration Calculator

The concentration calculator allows you to quickly calculate the volume, mass or concentration of your vial. Simply enter your mass, volume, or concentration values for your reagent and the calculator will determine the rest.

=
÷

Review this Product

Be the first to review our LIS1 Antibody and receive a gift card or discount.

Bioinformatics

Gene Symbol PAFAH1B1
Entrez
Uniprot