LEF1 Antibody (1C3)

Images

 
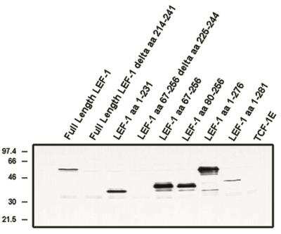
Western Blot: LEF1 Antibody (1C3) [NBP2-66625] - Analysis using LEF-1 (alternate exon) antibody (Cat. No.NBP2-66625) on Cos cells transfected with the indicated proteins.

Product Details

Summary
Product Discontinued
View other related LEF1 Primary Antibodies

Order Details


    • Catalog Number
      NBP2-66625
    • Availability
      Product Discontinued

    Can't find what you are looking for? Use our Antibody Concierge Service & we will help you locate your antibody!

    Or feel free to contact us for alternative products.

LEF1 Antibody (1C3) Summary

Immunogen
Recombinant full-length LEF1 protein
Isotype
IgG1
Clonality
Monoclonal
Host
Mouse
Gene
LEF1
Purity
Protein A or G purified
Innovator's Reward
Test in a species/application not listed above to receive a full credit towards a future purchase.

Applications/Dilutions

Dilutions
  • Western Blot
Application Notes
Detect LEF-1 protein containing the alternately spliced exon between amino acids 212-241 by Western blot at 1-5 ug/ml. Optimal concentration should be evaluated by serial dilutions..

Packaging, Storage & Formulations

Storage
Store at -20C. Avoid freeze-thaw cycles.
Buffer
PBS
Preservative
0.08% Sodium Azide
Purity
Protein A or G purified

Alternate Names for LEF1 Antibody (1C3)

  • DKFZp586H0919
  • FLJ46390
  • LEF1
  • LEF-1
  • lymphoid enhancer-binding factor 1
  • T cell-specific transcription factor 1-alpha
  • TCF10
  • TCF1ALPHA
  • TCF1-alpha
  • TCF7L3

Background

Lymphoid Enhancer Factor-1 (LEF-1) is an HMG 1/2-like DNA binding/bending protein and is a member of the LEF/TCF transcription factor family. There are four LEF/TCF family members in mammalian systems (LEF-1, TCF-1, TCF-3 and TCF-4), and orthologs to these factors have been identified in many different species. LEF/TCFs are downstream mediators of Wnt/Wingless signals. Wnt signaling drives cell polarity, cell fate and cell growth decisions in embryonic tissues and in post-natal tissues that continue to develop from mitotically active stem cell precursors. Misregulation of Wnt signaling is also implicated as a root cause of many different cancers, such as colon cancer, melanoma, breast cancer, prostate cancer and others. This antibody is specific for an epitope between a.a. 227-231. This sequence lies within the context dependent activation domain of LEF-1 and appears to be an alternate splice variant exon of the LEF-1 gene.

Limitations

This product is for research use only and is not approved for use in humans or in clinical diagnosis. Primary Antibodies are guaranteed for 1 year from date of receipt.

Customers Who Viewed This Item Also Viewed...

AF1329
Species: Hu, Mu, Rt
Applications: ChIP, CyTOF-ready, ICC, IHC, ICFlow, Simple Western, WB
NBP1-89679
Species: Hu, Mu, Rt
Applications: ChIP-EXO-SEQ, ICC/IF, IHC, IHC-Fr,  IHC-P, WB
AF1329
Species: Hu, Mu, Rt
Applications: ChIP, CyTOF-ready, ICC, IHC, ICFlow, Simple Western, WB
MAB8224
Species: Mu
Applications: CyTOF-ready, ICFlow, WB
H00006934-M06
Species: Hu, Mu
Applications: ELISA, ICC/IF, IHC,  IHC-P, WB
NBP1-33596
Species: Hu, Mu, Rt
Applications: ICC/IF, IHC,  IHC-P, IP, PAGE, WB
NB100-91662
Species: Hu, Mu, Rt
Applications: Flow, ICC/IF, IHC,  IHC-P, Simple Western, WB
AF6116
Species: Hu
Applications: ICC, WB
H00006925-M03
Species: Hu, Pm, Mu, Rb, Rt
Applications: ELISA, ICC/IF, IHC,  IHC-P, IP, WB
NBP2-32840
Species: Hu, Pm, Mu, Rt
Applications: Flow, ICC/IF, IHC,  IHC-P, WB
AF748
Species: Hu, Mu
Applications: CyTOF-ready, Dual ISH-IHC, Flow, ICC, IHC, Simple Western, WB
NB600-302
Species: Bv, Dr, Hu, Mu
Applications: ChIP, ELISA, Flow-IC, Flow, IB, ICC/IF, IHC, IHC-Fr,  IHC-P, IP, PLA, S-ELISA, Simple Western, WB
5036-WN
Species: Hu
Applications: BA, BA
NBP1-51575
Species: Hu, Mu
Applications: ELISA, Flow, ICC/IF, IHC,  IHC-P, WB
AF3287
Species: Hu, Mu, Rt
Applications: WB
AF4885
Species: Mu
Applications: IP, WB
MAB7650
Species: Mu
Applications: IHC, WB
NBP2-66625
Species: Hu
Applications: WB

Publications for LEF1 Antibody (NBP2-66625) (0)

There are no publications for LEF1 Antibody (NBP2-66625).
By submitting your publication information earn gift cards and discounts for future purchases.

Reviews for LEF1 Antibody (NBP2-66625) (0)

There are no reviews for LEF1 Antibody (NBP2-66625). By submitting a review you will receive an Amazon e-Gift Card or Novus Product Discount.
  • Review with no image -- $10/€7/£6/$10 CAD/¥70 Yuan/¥1110 Yen
  • Review with an image -- $25/€18/£15/$25 CAD/¥150 Yuan/¥2500 Yen

Product General Protocols

Find general support by application which include: protocols, troubleshooting, illustrated assays, videos and webinars.

Video Protocols

WB Video Protocol

FAQs for LEF1 Antibody (NBP2-66625) (0)

There are no specific FAQs related to this product. Read our general customer & technical service FAQs.

Secondary Antibodies

 

Isotype Controls

Additional LEF1 Products

Research Areas for LEF1 Antibody (NBP2-66625)

Find related products by research area.

Blogs on LEF1.

The role of Wnts in neuroinflammation
By Michalina Hanzel, PhDThe multifaceted roles of the Wnt family of glycoproteins have been extensively characterized throughout embryonic development and adult homeostasis. The highly conserved, cell- and tissue- s...  Read full blog post.

Beta Catenin in Cell Adhesion and T-cell Signaling
Beta Catenin is a cytosolic, 88 kDa intracellular protein that tightly associates with cell surface cadherin glycoproteins. It is one member of the catenin family that includes alpha Catenin, beta Catenin, and gamma Catenin. Colocalization studies usi...  Read full blog post.

Contact Information

Product PDFs

Calculators

Concentration Calculator

The concentration calculator allows you to quickly calculate the volume, mass or concentration of your vial. Simply enter your mass, volume, or concentration values for your reagent and the calculator will determine the rest.

=
÷

Review this Product

Be the first to review our LEF1 Antibody (1C3) and receive a gift card or discount.

Bioinformatics

Gene Symbol LEF1
Uniprot