Lactase Antibody (CL14164) - Azide and BSA Free

Images

 
Orthogonal Strategies: Analysis in human small intestine and liver tissues using NBP3-44274 antibody. Corresponding Lactase RNA-seq data are presented for the same tissues.
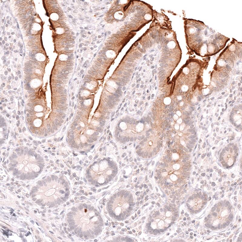
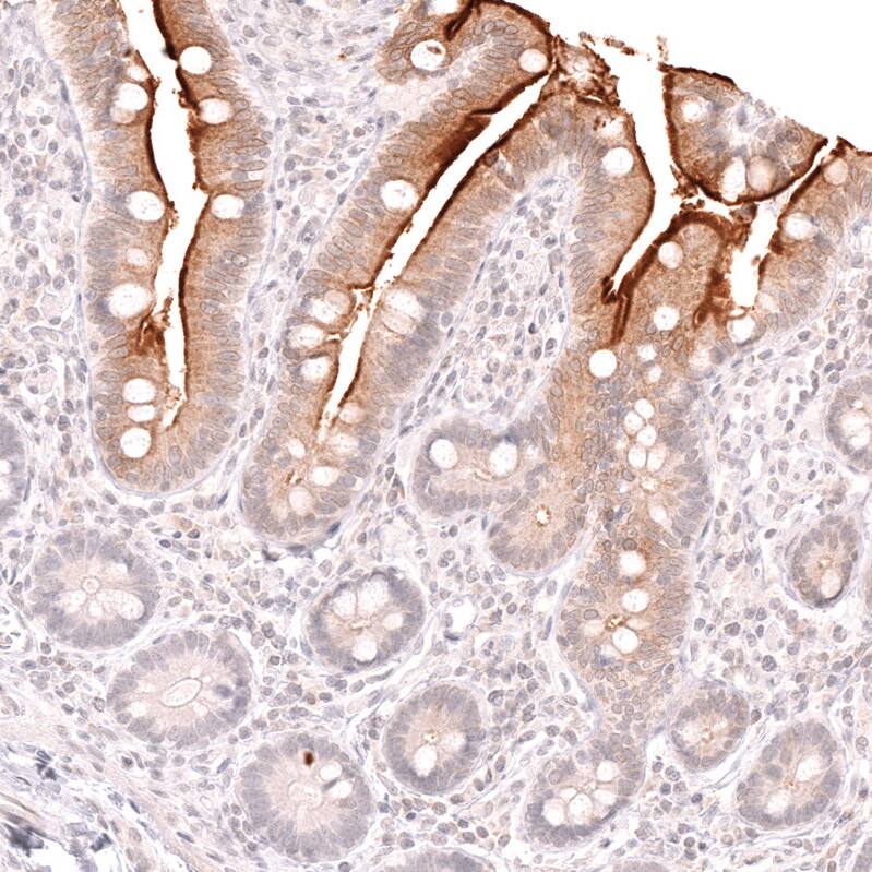
Staining of human duodenum shows strong membranous positivity in the intestinal brush border.
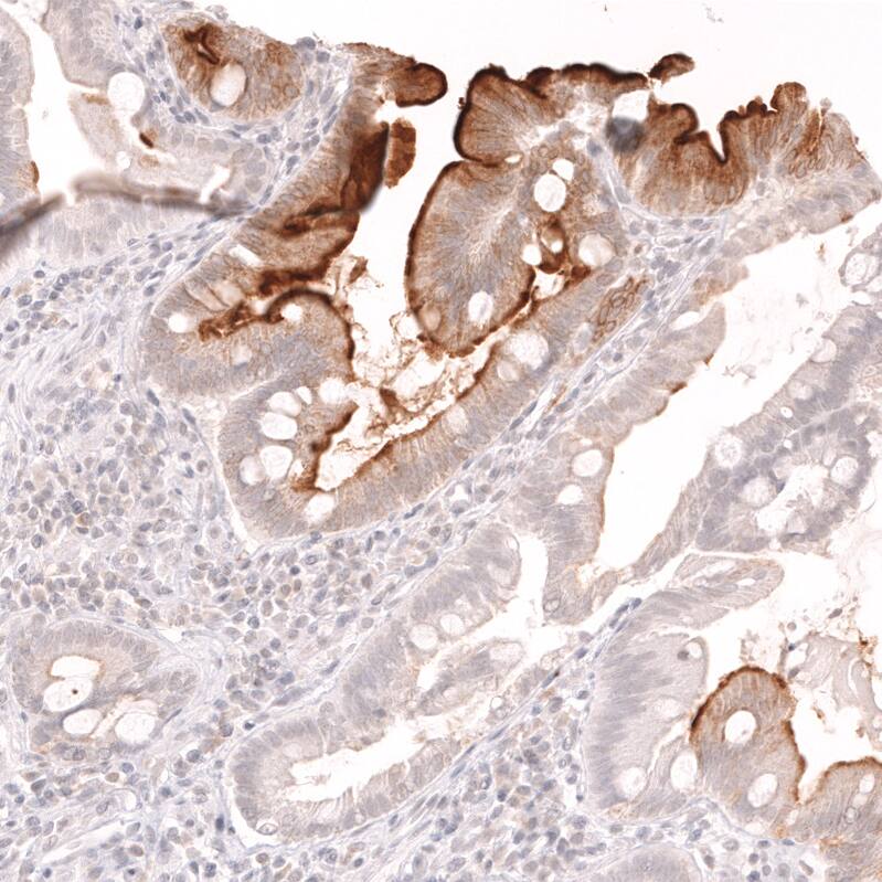
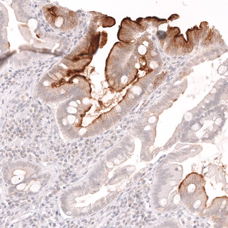
Staining of human colon shows no positivity in glandular cells as expected.
Staining of human liver shows no positivity in hepatocytes as expected.
Staining of human small intestine shows strong membranous positivity in the intestinal brush border.

Product Details

Summary
Reactivity HuSpecies Glossary
Applications IHC
Clone
CL14164
Clonality
Monoclonal
Host
Mouse
Conjugate
Unconjugated
Format
Azide and BSA Free
Concentration
LYOPH
Validated by:
       

Orthogonal Strategies

 

Order Details

Lactase Antibody (CL14164) - Azide and BSA Free Summary

Description
Novus Biologicals Mouse Lactase Antibody (CL14164) - Azide and BSA Free (NBP3-26848) is a monoclonal antibody validated for use in IHC. All Novus Biologicals antibodies are covered by our 100% guarantee.
Immunogen
This antibody was generated using a synthetic peptide of P09848, with the exact immunogen sequence remaining proprietary.
Isotype
IgG2b
Clonality
Monoclonal
Host
Mouse
Gene
LCT
Purity
Protein A purified
Innovator's Reward
Test in a species/application not listed above to receive a full credit towards a future purchase.

Applications/Dilutions

Dilutions
  • Immunohistochemistry-Paraffin 1:2500 - 1:5000
Application Notes
For IHC-Paraffin, HIER pH 6 retrieval is recommended.

Packaging, Storage & Formulations

Storage
Store at 4C short term. Aliquot and store at -20C long term. Avoid freeze-thaw cycles.
Buffer
Lyophilized from a 0.2 um filtered solution in PBS with Trehalose
Preservative
No Preservative
Concentration
LYOPH
Purity
Protein A purified
Reconstitution Instructions
Centrifuge the vial of lyophilized antibody at 12,000 x g for 20 seconds. Reconstitute by adding sterile, distilled water to achieve a final antibody concentration of 1mg/ml.

Alternate Names for Lactase Antibody (CL14164) - Azide and BSA Free

  • EC 3.2.1
  • LAC
  • lactase
  • Lactase-glycosylceramidase
  • lactase-phlorizin hydrolase
  • LPH1
  • LPHlactase-phlorizin hydrolase-1

Background

Lactase encodes a gene belonging to family 1 of gylcosyl hydrolases. This protien has phlorizin hydrolase activity aas well as lactase activity. The protien is also integral to the plasma membrane.

Limitations

This product is for research use only and is not approved for use in humans or in clinical diagnosis. Primary Antibodies are guaranteed for 1 year from date of receipt.

Customers Who Viewed This Item Also Viewed...

NBP2-45731
Species: Ca, Hu, Pm
Applications: IHC,  IHC-P, WB
NB100-1533
Species: Hu, Mu, Po, Rt, Sh
Applications: Flow, ICC/IF, IHC,  IHC-P, PEP-ELISA, WB
NBP1-83936
Species: Hu
Applications: IHC,  IHC-P, WB
NBP1-59656
Species: Hu, Mu
Applications: ICC/IF, IHC,  IHC-P, KD, Simple Western, WB
AF3998
Species: Hu
Applications: WB
NBP1-82756
Species: Hu
Applications: IHC,  IHC-P
AF2335
Species: Mu
Applications: CyTOF-ready, Flow, ICC, IHC, IP, WB
AF2009
Species: Hu
Applications: ICC, IHC
NBP2-44520
Species: Ca(-), Hu, Rt(-)
Applications: Flow-IC, Flow, ICC/IF, IF, IHC,  IHC-P, MI, WB
MAB1417
Species: Bv, Hu, Mu
Applications: ICC, IHC
NBP1-88220
Species: Hu, Mu, Rt
Applications: ICC/IF, IHC,  IHC-P, KD, WB
NBP2-67605
Species: Hu, Pm, Mu
Applications: ICC/IF, IHC,  IHC-P, IP, ISH, WB
NBP1-83790
Species: Hu
Applications: IHC,  IHC-P, WB
MAB2772
Species: Hu, Pm
Applications: Block, CyTOF-ready, ELISA(Cap), ELISA(Det), ELISA(Sta), Flow, ICC
NBP1-87581
Species: Hu
Applications: IHC,  IHC-P, WB
291-G1
Species: Hu
Applications: BA
MAB1455
Species: Hu
Applications: CyTOF-ready, Dual ISH-IHC, ICC, IHC, ICFlow, Simple Western, WB
AF1180
Species: Hu
Applications: ICC, IHC, Simple Western, WB
NBP1-48002
Species: Ca, Hu, Pm, Pm
Applications: ICC/IF, IHC,  IHC-P, IP, WB
NBP3-44274
Species: Hu
Applications: IHC

Publications for Lactase Antibody (NBP3-44274) (0)

There are no publications for Lactase Antibody (NBP3-44274).
By submitting your publication information earn gift cards and discounts for future purchases.

Reviews for Lactase Antibody (NBP3-44274) (0)

There are no reviews for Lactase Antibody (NBP3-44274). By submitting a review you will receive an Amazon e-Gift Card or Novus Product Discount.
  • Review with no image -- $10/€7/£6/$10 CAD/¥70 Yuan/¥1110 Yen
  • Review with an image -- $25/€18/£15/$25 CAD/¥150 Yuan/¥2500 Yen

Product General Protocols

Find general support by application which include: protocols, troubleshooting, illustrated assays, videos and webinars.

FAQs for Lactase Antibody (NBP3-44274) (0)

There are no specific FAQs related to this product. Read our general customer & technical service FAQs.

Secondary Antibodies

 

Isotype Controls

Additional Lactase Products

Array NBP3-44274

Research Areas for Lactase Antibody (NBP3-44274)

Find related products by research area.

Blogs on Lactase

There are no specific blogs for Lactase, but you can read our latest blog posts.

Customers Who Bought This Also Bought

Contact Information

Product PDFs

Calculators

Concentration Calculator

The concentration calculator allows you to quickly calculate the volume, mass or concentration of your vial. Simply enter your mass, volume, or concentration values for your reagent and the calculator will determine the rest.

=
÷

Review this Product

Be the first to review our Lactase Antibody (CL14164) - Azide and BSA Free and receive a gift card or discount.

Bioinformatics

Gene Symbol LCT