Ku80/XRCC5 Antibody (XRCC5/7314) - Azide and BSA Free

Images

 
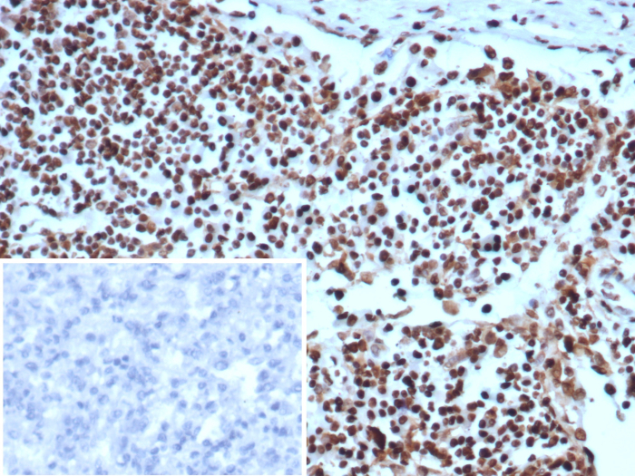
Formalin-fixed, paraffin-embedded human lymph node stained with Ku80/XRCC5 antibody (XRCC5/7314). Inset: PBS instead of primary antibody; secondary only negative control.
Formalin-fixed, paraffin-embedded human skin stained with Ku80/XRCC5 antibody (XRCC5/7314). Inset: PBS instead of primary antibody; secondary only negative control.

Product Details

Summary
Reactivity HuSpecies Glossary
Applications WB, IHC
Clone
XRCC5/7314
Clonality
Monoclonal
Host
Mouse
Conjugate
Unconjugated
Format
Azide and BSA Free
Concentration
1 mg/ml

Order Details

Ku80/XRCC5 Antibody (XRCC5/7314) - Azide and BSA Free Summary

Description
Positive Controls: HeLa, MOLT-4, MCF-7 or HT29 cells. Human thyroid or lymph node.

Antibody with azide - store at 2 to 8C. Antibody without azide - store at -20 to -80C. Non-hazardous. No MSDS required.
Immunogen
Recombinant fragment (around aa300-500) of human Ku80/XRCC5 (exact sequence is proprietary)
Localization
Nucleus. Nucleoplasm.
Isotype
IgG1 Kappa
Clonality
Monoclonal
Host
Mouse
Gene
XRCC5
Purity
Protein A or G purified
Innovator's Reward
Test in a species/application not listed above to receive a full credit towards a future purchase.

Applications/Dilutions

Dilutions
  • Immunohistochemistry-Paraffin 1-2 ug/ml
  • Western Blot 1-2 ug/ml
Application Notes
Immunohistochemistry (Formalin-fixed): 1-2ug/ml for 30 minutes. at RT. Staining of formalin-fixed tissues requires heating tissue sections in 10mM Tris with 1mM EDTA, pH 9.0, for 45 min at 95C followed by cooling at RT for 20 minutes.

Optimal dilution for a specific application should be determined.

Packaging, Storage & Formulations

Storage
Store at -20 to -70C. Avoid freeze-thaw cycles.
Buffer
10mM PBS
Preservative
No Preservative
Concentration
1 mg/ml
Purity
Protein A or G purified

Alternate Names for Ku80/XRCC5 Antibody (XRCC5/7314) - Azide and BSA Free

  • 80kDa
  • ATP-dependent DNA helicase 2 subunit 2
  • ATP-dependent DNA helicase II 80 kDa subunit
  • CTC85
  • CTCBF
  • EC 3.6.4.-
  • FLJ39089
  • G22P2
  • KARP1
  • KARP-1
  • Ku80
  • Ku86 autoantigen related protein 1,86 kDa subunit of Ku antigen
  • Ku86
  • Ku86DNA repair protein XRCC5
  • KUB2
  • NFIV
  • Thyroid-lupus autoantigen
  • TLAA
  • X-ray repair complementing defective repair in Chinese hamster cells 5(double-strand-break rejoining)CTC box-binding factor 85 kDa subunit
  • X-ray repair complementing defective repair in Chinese hamster cells 5(double-strand-break rejoining; Ku autoantigen, 80kD)
  • X-ray repair cross-complementing protein 5
  • X-ray repair, complementing defective, repair in Chinese hamster
  • XRCC5

Background

Ku80, also known as XRCC5, plays a role in many diverse processes including cell signaling, proliferation, DNA repair, replication, transcriptional activation and apoptosis.

As one half of the heterodimer complex Ku, Ku80 is required for proper maintenance of the telomeric C strand. Ku80 also plays a role in DNA repair as an essential subunit of DNA-dependent protein kinase (DNA-PK) that phosphorylates certain transcription factors (Sp1, Oct-1 and p53). The heterodimer Ku binds double stranded DNA breaks for non-homologous end joining repair. Ku mutants are defective in T-DNA integration and over-expression confers increased resistance to DNA damage agents and increased susceptibility to T-DNA transformation.

Limitations

This product is for research use only and is not approved for use in humans or in clinical diagnosis. Primary Antibodies are guaranteed for 1 year from date of receipt.

Customers Who Viewed This Item Also Viewed...

NBP2-22128
Species: Hu
Applications: ELISA, ICC/IF, IHC,  IHC-P, WB
H00002547-M01
Species: Hu
Applications: ELISA, ICC/IF, IHC,  IHC-P, S-ELISA, WB
NBP1-89463
Species: Hu
Applications: ICC/IF, IHC,  IHC-P, KD, WB
NB200-103
Species: Hu, Mu, Rt, Xp(-), Ye
Applications: CyTOF-ready, ELISA, Flow-IC, Flow, ICC/IF, IHC, IHC-Fr,  IHC-P, IP, WB
NBP2-16182
Species: Hu, Mu, Rt
Applications: ICC/IF, IHC,  IHC-P, WB
NB100-56599
Species: Hu, Mu, Rt(-)
Applications: Flow-IC, Flow, ICC/IF, WB
NB100-309
Species: Hu, Pm, Mu, Rt
Applications: ChIP, ELISA, Flow, ICC/IF, IHC,  IHC-P, IP, KD, PAGE, Single-Cell Western, WB
NBP1-90149
Species: Hu, Mu, Rt
Applications: IHC,  IHC-P, WB
AF6696
Species: Hu, Mu, Rt
Applications: ICC, WB
NBP2-29463
Species: Pm, Hu, Pm, Mu
Applications: Flow, ICC/IF, IHC,  IHC-P, WB
NBP2-15939
Species: Hu
Applications: ICC/IF, IHC,  IHC-P, IP, WB
AF771
Species: Mu
Applications: IHC, Neut, WB
NBP1-81404
Species: Hu
Applications: ICC/IF, IHC,  IHC-P, WB
NBP2-13878
Species: Hu, Mu
Applications: ICC/IF, IHC,  IHC-P, WB
NB100-148
Species: Ch, Hu, Mu, Rt
Applications: ChIP, ICC/IF, IHC, IHC-Fr,  IHC-P, IP, In vitro, KD, PLA, WB
NB100-147
Species: Hu, Pm, Mu, Rt
Applications: ICC/IF, IHC,  IHC-P, IP, In vitro, KD, WB
NBP1-77975
Species: Hu
Applications: ELISA, IHC,  IHC-P, WB
NBP3-21115
Species: Hu
Applications: WB, IHC

Publications for Ku80/XRCC5 Antibody (NBP3-21115) (0)

There are no publications for Ku80/XRCC5 Antibody (NBP3-21115).
By submitting your publication information earn gift cards and discounts for future purchases.

Reviews for Ku80/XRCC5 Antibody (NBP3-21115) (0)

There are no reviews for Ku80/XRCC5 Antibody (NBP3-21115). By submitting a review you will receive an Amazon e-Gift Card or Novus Product Discount.
  • Review with no image -- $10/€7/£6/$10 CAD/¥70 Yuan/¥1110 Yen
  • Review with an image -- $25/€18/£15/$25 CAD/¥150 Yuan/¥2500 Yen

Product General Protocols

Find general support by application which include: protocols, troubleshooting, illustrated assays, videos and webinars.

Video Protocols

WB Video Protocol

FAQs for Ku80/XRCC5 Antibody (NBP3-21115) (0)

There are no specific FAQs related to this product. Read our general customer & technical service FAQs.

Customers Who Bought This Also Bought

Contact Information

Product PDFs

Calculators

Concentration Calculator

The concentration calculator allows you to quickly calculate the volume, mass or concentration of your vial. Simply enter your mass, volume, or concentration values for your reagent and the calculator will determine the rest.

=
÷

Review this Product

Be the first to review our Ku80/XRCC5 Antibody (XRCC5/7314) - Azide and BSA Free and receive a gift card or discount.

Bioinformatics

Gene Symbol XRCC5