KRR1 Antibody - BSA Free

Images

 
Western Blot: KRR1 Antibody [NBP1-32859] - Sample (30 ug of whole cell lysate) A: H1299 B: Hela 10% SDS PAGE; antibody diluted at 1:1000.
Immunocytochemistry/ Immunofluorescence: KRR1 Antibody [NBP1-32859] - Paraformaldehyde-fixed HeLa, using antibody at 1:500 dilution.
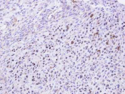
Immunohistochemistry-Paraffin: KRR1 Antibody [NBP1-32859] - Paraffin-embedded SAS xenograft, using antibody at 1:500 dilution.

Product Details

Summary
Reactivity HuSpecies Glossary
Applications WB, ICC/IF, IHC
Clonality
Polyclonal
Host
Rabbit
Conjugate
Unconjugated
Format
BSA Free

Order Details

KRR1 Antibody - BSA Free Summary

Description
Novus Biologicals Rabbit KRR1 Antibody - BSA Free (NBP1-32859) is a polyclonal antibody validated for use in IHC, WB and ICC/IF. All Novus Biologicals antibodies are covered by our 100% guarantee.
Immunogen
Recombinant protein encompassing a sequence within the center region of human KRR1. The exact sequence is proprietary.
Localization
Nucleus, nucleolus
Isotype
IgG
Clonality
Polyclonal
Host
Rabbit
Gene
KRR1
Purity
Antigen Affinity-purified
Innovator's Reward
Test in a species/application not listed above to receive a full credit towards a future purchase.

Applications/Dilutions

Dilutions
  • Immunocytochemistry/ Immunofluorescence 1:100-1:1000
  • Immunohistochemistry 10 - 1:500
  • Immunohistochemistry-Paraffin 1:100-1:1000
  • Western Blot 1:500-1:3000

Packaging, Storage & Formulations

Storage
Aliquot and store at -20C or -80C. Avoid freeze-thaw cycles.
Buffer
0.1M Tris, 0.1M Glycine, 10% Glycerol
Preservative
0.01% Thimerosal
Purity
Antigen Affinity-purified

Alternate Names for KRR1 Antibody - BSA Free

  • HIV-1 Rev binding protein 2
  • HIV-1 Rev-binding protein 2
  • HRB2
  • KRR1 small subunit processome component homolog
  • KRR1, small subunit (SSU) processome component, homolog (yeast)
  • Rev interacting protein
  • Rev-interacting protein 1
  • RIP-1

Background

KRR1 is required for 40S ribosome biogenesis. Involved in nucleolar processing of pre-18S ribosomal RNA and ribosome assembly

Limitations

This product is for research use only and is not approved for use in humans or in clinical diagnosis. Primary Antibodies are guaranteed for 1 year from date of receipt.

Customers Who Viewed This Item Also Viewed...

NBP1-77077
Species: Hu, Mu, Rt
Applications: ELISA, ICC/IF, IHC,  IHC-P, KD, WB
NBP1-91991
Species: Hu, Mu, Rt
Applications: ICC/IF, IHC,  IHC-P, WB
NB100-56116
Species: Ma, Hu, Mu, Rt
Applications: Flow, ICC/IF, IHC, IHC-Fr,  IHC-P, IP, Simple Western, WB
NBP3-15951
Species: Hu, Mu, Rt
Applications: IHC,  IHC-P, WB
NBP2-27203
Species: Ch, ChHa, Eq, Fe, Gp, Hu, Mu, Ma-Op, Po, Pm, Rb, Rt
Applications: Flow, WB
AF2658
Species: Hu
Applications: ICC, IHC, WB
NBP1-76749
Species: Hu, Mu, Rt
Applications: ELISA, IHC,  IHC-P, WB
DRT100
Species: Hu
Applications: ELISA
H00008767-M02
Species: Hu, Mu, Rt
Applications: ELISA, IHC,  IHC-P, WB
H00008878-M01
Species: Bv, Ha, Hu, Mu, Rb, Rt
Applications: ELISA, ICC/IF, IHC, IHC-Fr,  IHC-P, IP, WB
NB100-56173
Species: Hu
Applications: Flow, ICC/IF, IHC,  IHC-P, IP, WB
NBP2-47415
Species: Hu
Applications: ICC/IF, IHC,  IHC-P, WB
NB100-56461
Species: Hu
Applications: ICC/IF, Simple Western, WB
NB300-141
Species: Bv, Ch, Eq, Gp, Hu, Mu, Po, Rb, Rt
Applications: ICC/IF, IHC, IHC-Fr,  IHC-P, Simple Western, WB
⚠ WARNING: This product can expose you to chemicals including mercury, which is known to the State of California to cause reproductive toxicity with developmental effects.  For more information go to www.P65Warnings.ca.gov.

Publications for KRR1 Antibody (NBP1-32859) (0)

There are no publications for KRR1 Antibody (NBP1-32859).
By submitting your publication information earn gift cards and discounts for future purchases.

Reviews for KRR1 Antibody (NBP1-32859) (0)

There are no reviews for KRR1 Antibody (NBP1-32859). By submitting a review you will receive an Amazon e-Gift Card or Novus Product Discount.
  • Review with no image -- $10/€7/£6/$10 CAD/¥70 Yuan/¥1110 Yen
  • Review with an image -- $25/€18/£15/$25 CAD/¥150 Yuan/¥2500 Yen

Product General Protocols

Find general support by application which include: protocols, troubleshooting, illustrated assays, videos and webinars.

Video Protocols

WB Video Protocol
ICC/IF Video Protocol

FAQs for KRR1 Antibody (NBP1-32859) (0)

There are no specific FAQs related to this product. Read our general customer & technical service FAQs.

Customers Who Bought This Also Bought

Contact Information

Product PDFs

Calculators

Concentration Calculator

The concentration calculator allows you to quickly calculate the volume, mass or concentration of your vial. Simply enter your mass, volume, or concentration values for your reagent and the calculator will determine the rest.

=
÷

Review this Product

Be the first to review our KRR1 Antibody - BSA Free and receive a gift card or discount.

Bioinformatics

Gene Symbol KRR1