Klotho Antibody (JM93-76)

Images

 
Western Blot: Klotho Antibody (JM93-76) [NBP2-75551] - Analysis of Klotho on different lysates. Proteins were transferred to a PVDF membrane and blocked with 5% BSA in PBS for 1 hour at room temperature. The primary ...read more
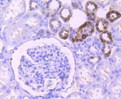
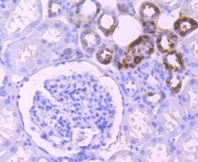
Immunohistochemistry-Paraffin: Klotho Antibody (JM93-76) [NBP2-75551] - Analysis of paraffin-embedded mouse kidney tissue using anti-Klotho antibody. Counter stained with hematoxylin.
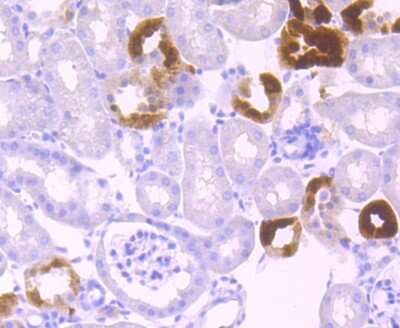
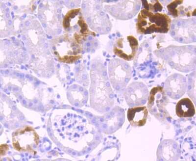
Immunohistochemistry-Paraffin: Klotho Antibody (JM93-76) [NBP2-75551] - Analysis of paraffin-embedded human kidney tissue using anti-Klotho antibody. Counter stained with hematoxylin.

Product Details

Summary
Product Discontinued
View other related Klotho Primary Antibodies

Order Details


    • Catalog Number
      NBP2-75551
    • Availability
      Product Discontinued

    Can't find what you are looking for? Use our Antibody Concierge Service & we will help you locate your antibody!

    Or feel free to contact us for alternative products.

Klotho Antibody (JM93-76) Summary

Additional Information
Recombinant Monoclonal Antibody.
Immunogen
Synthetic peptide within Human Klotho aa 404-453 / 1,012. (SwissProt: Q9UEF7 Human; SwissProt: O35082 Mouse)
Localization
Cell membrane. Apical cell membrane. Secreted.
Isotype
IgG
Clonality
Monoclonal
Host
Rabbit
Gene
KL
Purity
Protein A purified
Innovator's Reward
Test in a species/application not listed above to receive a full credit towards a future purchase.

Applications/Dilutions

Dilutions
  • Immunohistochemistry
  • Immunohistochemistry-Paraffin 1:50-1:200
  • Western Blot 1:500-1:2000

Packaging, Storage & Formulations

Storage
Store at 4C short term. Aliquot and store at -20C long term. Avoid freeze-thaw cycles.
Buffer
TBS (pH7.4), 0.05% BSA, 40% Glycerol
Preservative
0.05% Sodium Azide
Concentration
1 mg/ml
Purity
Protein A purified

Alternate Names for Klotho Antibody (JM93-76)

  • EC 3.2.1
  • EC 3.2.1.31
  • KL
  • Klotho

Background

The Klotho gene encodes a type-I membrane protein that is related to beta-glucosidases. Reduced production of this protein has been observed in patients with chronic renal failure (CRF), and this may be one of the factors underlying the degenerative processes (

Limitations

This product is for research use only and is not approved for use in humans or in clinical diagnosis. Primary Antibodies are guaranteed for 1 year from date of receipt.

Customers Who Viewed This Item Also Viewed...

255-SC
Species: Hu
Applications: BA
MAB26291
Species: Mu
Applications: IHC
203-IL
Species: Hu
Applications: BA
MAB7665
Species: Hu
Applications: IHC, WB
M6000B
Species: Mu
Applications: ELISA
308-FK
Species: Hu
Applications: BA
288-TPN/CF
Species: Hu
Applications: BA
AF4117
Species: Rt
Applications: IHC, WB
AF1356
Species: Hu, Mu
Applications: CyTOF-ready, Dual ISH-IHC, Flow, IHC, Simple Western, WB
MAB1417
Species: Bv, Hu, Mu
Applications: ICC, IHC
291-G1
Species: Hu
Applications: BA
NBP1-86713
Species: Hu
Applications: IHC,  IHC-P
MEP00B
Species: Mu
Applications: ELISA
7954-GM/CF
Species: Hu
Applications: BA
7954-GM/CF
Species: Hu
Applications: BA
MAB812
Species: Hu
Applications: CyTOF-ready, Flow
207-IL
Species: Hu
Applications: BA
NBP1-80670
Species: Hu
Applications: IHC,  IHC-P, WB
H00001594-Q01
Species: Hu
Applications: ELISA, AP, PA, WB

Publications for Klotho Antibody (NBP2-75551) (0)

There are no publications for Klotho Antibody (NBP2-75551).
By submitting your publication information earn gift cards and discounts for future purchases.

Reviews for Klotho Antibody (NBP2-75551) (0)

There are no reviews for Klotho Antibody (NBP2-75551). By submitting a review you will receive an Amazon e-Gift Card or Novus Product Discount.
  • Review with no image -- $10/€7/£6/$10 CAD/¥70 Yuan/¥1110 Yen
  • Review with an image -- $25/€18/£15/$25 CAD/¥150 Yuan/¥2500 Yen

Product General Protocols

Find general support by application which include: protocols, troubleshooting, illustrated assays, videos and webinars.

Video Protocols

WB Video Protocol

FAQs for Klotho Antibody (NBP2-75551). (Showing 1 - 1 of 1 FAQ).

  1. I study physiology (PhD) and I need a klotho kit.
    • A list of our klotho products can be found here. I am not entirely sure what you are looking for as I don't have your complete message for some reason. Can you please clarify what you are looking for?

Secondary Antibodies

 

Isotype Controls

Additional Klotho Products

Research Areas for Klotho Antibody (NBP2-75551)

Find related products by research area.

Blogs on Klotho

There are no specific blogs for Klotho, but you can read our latest blog posts.

Contact Information

Product PDFs

Calculators

Concentration Calculator

The concentration calculator allows you to quickly calculate the volume, mass or concentration of your vial. Simply enter your mass, volume, or concentration values for your reagent and the calculator will determine the rest.

=
÷

Review this Product

Be the first to review our Klotho Antibody (JM93-76) and receive a gift card or discount.

Bioinformatics

Gene Symbol KL