KLF4 Antibody (JF98-08)

Images

 
Western Blot: KLF4 Antibody (JF98-08) [NBP2-66918] - Western blot analysis of KLF4 on different lysates. Proteins were transferred to a PVDF membrane and blocked with 5% BSA in PBS for 1 hour at room temperature. The ...read more
Immunocytochemistry/ Immunofluorescence: KLF4 Antibody (JF98-08) [NBP2-66918] - Staining KLF4 in PC-3M cells (red). The nuclear counter stain is DAPI (blue). Cells were fixed in paraformaldehyde, permeabilised with ...read more
Immunohistochemistry-Paraffin: KLF4 Antibody (JF98-08) [NBP2-66918] - Analysis of paraffin-embedded mouse stomach tissue using anti-KLF4 antibody. Counter stained with hematoxylin.
Western Blot: KLF4 Antibody (JF98-08) [NBP2-66918] - Analysis of KLF4 on different lysates using anti-KLF4 antibody at 1/1,000 dilution. Positive control: Lane 1: 293 Lane 2: NCCIT
Immunocytochemistry/ Immunofluorescence: KLF4 Antibody (JF98-08) [NBP2-66918] - Staining KLF4 in 293T cells (red). The nuclear counter stain is DAPI (blue). Cells were fixed in paraformaldehyde, permeabilised with 0.25% ...read more
Immunocytochemistry/ Immunofluorescence: KLF4 Antibody (JF98-08) [NBP2-66918] - Staining KLF4 in Hela cells (red). The nuclear counter stain is DAPI (blue). Cells were fixed in paraformaldehyde, permeabilised with 0.25% ...read more
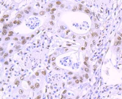
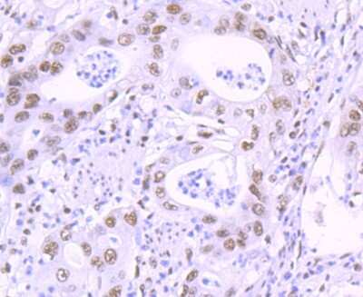
Immunohistochemistry-Paraffin: KLF4 Antibody (JF98-08) [NBP2-66918] - Analysis of paraffin-embedded human gastric carcinoma tissue using anti-KLF4 antibody. Counter stained with hematoxylin.
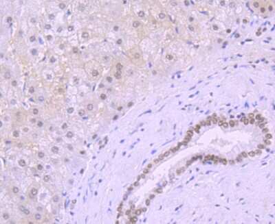
Immunohistochemistry-Paraffin: KLF4 Antibody (JF98-08) [NBP2-66918] - Analysis of paraffin-embedded human liver tissue using anti-KLF4 antibody. Counter stained with hematoxylin.
Immunohistochemistry-Paraffin: KLF4 Antibody (JF98-08) [NBP2-66918] - Analysis of paraffin-embedded mouse colon tissue using anti-KLF4 antibody. Counter stained with hematoxylin.
Immunohistochemistry-Paraffin: KLF4 Antibody (JF98-08) [NBP2-66918] - Analysis of paraffin-embedded mouse liver tissue using anti-KLF4 antibody. Counter stained with hematoxylin.

Product Details

Summary
Product Discontinued
View other related KLF4 Primary Antibodies

Order Details


    • Catalog Number
      NBP2-66918
    • Availability
      Product Discontinued

    Can't find what you are looking for? Use our Antibody Concierge Service & we will help you locate your antibody!

    Or feel free to contact us for alternative products.

KLF4 Antibody (JF98-08) Summary

Additional Information
Recombinant Monoclonal Antibody.
Immunogen
Synthetic peptide within human KLF4 aa 320-360. (SwissProt: O43474 Human; SwissProt: Q60793 Mouse; Unigene: 7719 Rat)
Localization
Nucleus.
Isotype
IgG
Clonality
Monoclonal
Host
Rabbit
Gene
KLF4
Purity
Protein A purified
Innovator's Reward
Test in a species/application not listed above to receive a full credit towards a future purchase.

Applications/Dilutions

Dilutions
  • Immunocytochemistry/ Immunofluorescence 1:50-1:200
  • Immunohistochemistry
  • Immunohistochemistry-Paraffin 1:50-1:200
  • Western Blot 1:500-1:2000

Packaging, Storage & Formulations

Storage
Store at 4C short term. Aliquot and store at -20C long term. Avoid freeze-thaw cycles.
Buffer
TBS (pH7.4), 0.05% BSA, 40% Glycerol
Preservative
0.05% Sodium Azide
Concentration
1 mg/ml
Purity
Protein A purified

Alternate Names for KLF4 Antibody (JF98-08)

  • Epithelial zinc finger protein EZF
  • EZF
  • EZFendothelial Kruppel-like zinc finger protein
  • GKLFKrueppel-like factor 4
  • Gut-enriched krueppel-like factor
  • KLF4
  • Kruppel-like factor 4 (gut)

Background

KLF4 is a transcription factor that works with Sp1 to activate the Laminin gamma1 chain gene. It binds the CACCC core sequence. KLF4 may be involved in the differentiation of epithelial cells and may also function in the development of the skeleton and kidney. KLF4 also has roles as both an oncogene and a tumor suppressor.

Limitations

This product is for research use only and is not approved for use in humans or in clinical diagnosis. Primary Antibodies are guaranteed for 1 year from date of receipt.

Customers Who Viewed This Item Also Viewed...

AF1759
Species: Hu, Mu
Applications: ChIP, ICC, IP, Simple Western, WB
AF2018
Species: Hu, Mu, Rt
Applications: ChIP, ICC, IHC, Simple Western, WB
NB600-302
Species: Bv, Dr, Hu, Mu
Applications: ChIP, ELISA, Flow-IC, Flow, IB, ICC/IF, IHC, IHC-Fr,  IHC-P, IP, PLA, S-ELISA, Simple Western, WB
AF1997
Species: Hu
Applications: ChIP, ICC, IHC, Simple Western, WB
H00388112-B01P
Species: Hu
Applications: WB
NBP1-83976
Species: Hu
Applications: ICC/IF, IHC,  IHC-P
NBP2-29463
Species: Pm, Hu, Pm, Mu
Applications: Flow, ICC/IF, IHC,  IHC-P, WB
AF3757
Species: Hu
Applications: ICC, Simple Western, WB
NB200-103
Species: Hu, Mu, Rt, Xp(-), Ye
Applications: CyTOF-ready, ELISA, Flow-IC, Flow, ICC/IF, IHC, IHC-Fr,  IHC-P, IP, WB
7734-LF
Species: Hu
Applications: BA
AF3758
Species: Hu, Mu
Applications: ICC, KO, Simple Western, WB
NB600-232
Species: Hu, Mu
Applications: ChIP, IHC,  IHC-P, IP, WB
NBP2-46085
Species: Hu
Applications: IHC,  IHC-P, WB
DPSG10
Species: Hu
Applications: ELISA
3047-CC
Species: Hu
Applications: BA
H00027065-M01
Species: Hu, Rt
Applications: ELISA, ICC/IF, S-ELISA, WB
MAB5466
Species: Hu
Applications: CyTOF-ready, ICC, ICFlow
NBP2-37380
Species: Hu
Applications: CyTOF-ready, ELISA, Flow, IHC,  IHC-P, WB

Publications for KLF4 Antibody (NBP2-66918) (0)

There are no publications for KLF4 Antibody (NBP2-66918).
By submitting your publication information earn gift cards and discounts for future purchases.

Reviews for KLF4 Antibody (NBP2-66918) (0)

There are no reviews for KLF4 Antibody (NBP2-66918). By submitting a review you will receive an Amazon e-Gift Card or Novus Product Discount.
  • Review with no image -- $10/€7/£6/$10 CAD/¥70 Yuan/¥1110 Yen
  • Review with an image -- $25/€18/£15/$25 CAD/¥150 Yuan/¥2500 Yen

Product General Protocols

Find general support by application which include: protocols, troubleshooting, illustrated assays, videos and webinars.

Video Protocols

WB Video Protocol
ICC/IF Video Protocol

FAQs for KLF4 Antibody (NBP2-66918) (0)

There are no specific FAQs related to this product. Read our general customer & technical service FAQs.

Secondary Antibodies

 

Isotype Controls

Additional KLF4 Products

Research Areas for KLF4 Antibody (NBP2-66918)

Find related products by research area.

Blogs on KLF4.

Breast cancer stem cells survive chemotherapy through S100A10-ANXA2-SPT6 interaction that epigenetically promotes OCT4-mediated stemness
By Jamshed Arslan, Pharm D, PhDBreast cancer is the most common cancer among women that causes the greatest number of cancer-related deaths worldwide. After radiotherapy or cytotoxic chemotherapy like paclitax...  Read full blog post.

Deriving neural precursor cells from human induced pluripotent stem cells
By Jennifer Sokolowski, MD, PhD.Human induced pluripotent stem cells (iPSCs) can be used to create models of human organ systems and are useful for a) ascertaining the mechanisms underlying pathological conditions...  Read full blog post.

Application Focus: New Methods for iPSC Differentiation, Inducing a Mammary Fate
Discovery of the Key to PluripotencyInduced pluripotent stem cells (iPSCs) may be generated from a wide range of fully differentiated cells, and under optimal conditions may be prompted to differentiate into virtu...  Read full blog post.

KLF4 as a transcription factor in stem cell differentiation
Kru¨ppel-like factors (KLFs) are evolutionarily conserved zinc finger transcription factors that play a role in cell differentiation, proliferation, and pluripotency. KLF4 has specifically been tied to many diverse cellular processes, including sel...  Read full blog post.

KLF4 opens the door for stem cell research
KLF4 (Kruppel-like factor 4, Epithelial zinc finger protein EZF) is a zinc finger transcription factor thought to be involved in developmental differentiation and proliferation. It is considered a pluripotency reprogramming factor (PRF) due to its abi...  Read full blog post.

Contact Information

Product PDFs

Calculators

Concentration Calculator

The concentration calculator allows you to quickly calculate the volume, mass or concentration of your vial. Simply enter your mass, volume, or concentration values for your reagent and the calculator will determine the rest.

=
÷

Review this Product

Be the first to review our KLF4 Antibody (JF98-08) and receive a gift card or discount.

Bioinformatics

Gene Symbol KLF4