Kir3.4 Antibody

Images

 
Western Blot: Kir3.4 Antibody [NBP2-76943] - Western blot analysis of Kir3.4 on different lysates using anti-Kir3.4 antibody at 1/500 dilution.Positive control:Lane1: Mouse heart Lane2: Rat heart
Immunocytochemistry/ Immunofluorescence: Kir3.4 Antibody [NBP2-76943] - ICC staining Kir3.4 in LOVO cells (green). The nuclear counter stain is DAPI (blue). Cells were fixed in paraformaldehyde, permeabilised with 0.25% ...read more
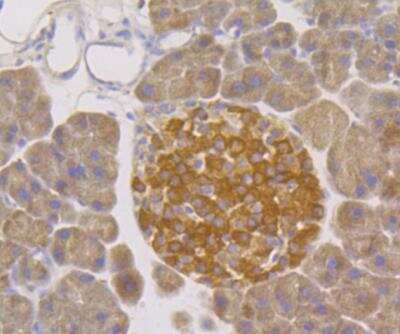
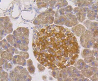
Immunohistochemistry: Kir3.4 Antibody [NBP2-76943] - Immunohistochemical analysis of paraffin-embedded mouse pancreas tissue using anti-Kir3.4 antibody. Counter stained with hematoxylin.
Flow Cytometry: Kir3.4 Antibody [NBP2-76943] - Flow cytometric analysis of HepG2 cells with Kir3.4 antibody at 1/100 dilution (purple) compared with an unlabelled control (cells without incubation with primary antibody; ...read more
Immunocytochemistry/ Immunofluorescence: Kir3.4 Antibody [NBP2-76943] - ICC staining Kir3.4 in 293T cells (green). The nuclear counter stain is DAPI (blue). Cells were fixed in paraformaldehyde, permeabilised with 0.25% ...read more
Immunocytochemistry/ Immunofluorescence: Kir3.4 Antibody [NBP2-76943] - ICC staining Kir3.4 in HepG2 cells (green). The nuclear counter stain is DAPI (blue). Cells were fixed in paraformaldehyde, permeabilised with ...read more
Immunohistochemistry: Kir3.4 Antibody [NBP2-76943] - Immunohistochemical analysis of paraffin-embedded rat heart tissue using anti-Kir3.4 antibody. Counter stained with hematoxylin.
Immunohistochemistry: Kir3.4 Antibody [NBP2-76943] - Immunohistochemical analysis of paraffin-embedded human lung cancer tissue using anti-Kir3.4 antibody. Counter stained with hematoxylin.
Immunohistochemistry: Kir3.4 Antibody [NBP2-76943] - Immunohistochemical analysis of paraffin-embedded human pancreas tissue using anti-Kir3.4 antibody. Counter stained with hematoxylin.

Product Details

Summary
Product Discontinued
View other related Kir3.4 Primary Antibodies

Order Details


    • Catalog Number
      NBP2-76943
    • Availability
      Product Discontinued

    Can't find what you are looking for? Use our Antibody Concierge Service & we will help you locate your antibody!

    Or feel free to contact us for alternative products.

Kir3.4 Antibody Summary

Immunogen
Synthetic peptide within N-terminal human Kir3.4. (SwissProt: P48544 Human; SwissProt: P48545 Mouse; SwissProt: P48548 Rat)
Localization
Membrane.
Isotype
IgG
Clonality
Polyclonal
Host
Rabbit
Gene
KCNJ5
Purity
Immunogen affinity purified
Innovator's Reward
Test in a species/application not listed above to receive a full credit towards a future purchase.

Applications/Dilutions

Dilutions
  • Flow Cytometry 1:50-1:100
  • Immunocytochemistry/ Immunofluorescence 1:50-1:200
  • Immunohistochemistry
  • Immunohistochemistry-Paraffin 1:50-1:200
  • Western Blot 1:500
Theoretical MW
48 kDa.
Disclaimer note: The observed molecular weight of the protein may vary from the listed predicted molecular weight due to post translational modifications, post translation cleavages, relative charges, and other experimental factors.

Packaging, Storage & Formulations

Storage
Store at 4C short term. Aliquot and store at -20C long term. Avoid freeze-thaw cycles.
Buffer
PBS (pH7.4), 0.2% BSA, 50% Glycerol
Preservative
0.05% Sodium Azide
Concentration
1 mg/ml
Purity
Immunogen affinity purified

Alternate Names for Kir3.4 Antibody

  • Cardiac inward rectifier
  • CIRKIR3.4
  • G protein-activated inward rectifier potassium channel 4
  • GIRK-4
  • GIRK4Kir3.4
  • Heart KATP channel
  • Inward rectifier K(+) channel Kir3.4
  • inward rectifier K+ channel KIR3.4
  • IRK-4
  • KATP-1
  • KATP1cardiac ATP-sensitive potassium channel
  • LQT13
  • Potassium channel, inwardly rectifying subfamily J member 5
  • potassium inwardly-rectifying channel, subfamily J, member 5

Background

G-protein regulated inward-rectifier potassium channels (GIRK) are part of a superfamily of inward-rectifier K+ channels. To date four GIRK subunits, designated GIRK1-4 (also designated Kir3.1-4), have been identified in mammals, and GIRK5 has been found in Xenopus oocytes. GIRK channels exist in vivo both as homotetramers and heterotetramers. GIRK channels are modulated by G-proteins; they are also modulated by phosphatidylinositol 4,5-bisphosphate, intracellular sodium, ethanol and mechanical stretch. GIRK1, 2 and 3 are highly abundant in brain. In general, neuronal GIRK channels are involved in the regulation of the excitability of neurons and may contribute to the resting potential.

Limitations

This product is for research use only and is not approved for use in humans or in clinical diagnosis. Primary Antibodies are guaranteed for 1 year from date of receipt.

Customers Who Viewed This Item Also Viewed...

NBP2-01702
Species: Hu, Mu, Rt
Applications: Flow, ICC/IF, IHC,  IHC-P, WB
NB100-74575
Species: Hu
Applications: ICC/IF, IHC, PEP-ELISA, WB
NBP2-12900
Species: Hu, Pm, Mu, Rt
Applications: ICC/IF, IHC,  IHC-P, MiAr, WB
NBP1-82874
Species: Hu
Applications: IHC,  IHC-P
NBP2-57515
Species: Hu
Applications: IHC,  IHC-P
MAB1417
Species: Bv, Hu, Mu
Applications: ICC, IHC
NBP1-58906
Species: Hu, Mu
Applications: ICC/IF, IHC, IHC-Fr,  IHC-P, WB
MAB1225
Species: Hu
Applications: Block, CyTOF-reported, Flow
NBP3-03005
Species: Hu, Mu, Rt
Applications: IHC,  IHC-P, WB
NBP2-76944
Species: Hu, Mu, Rt
Applications: ICC/IF, IHC,  IHC-P, WB
NBP1-85630
Species: Hu
Applications: IHC,  IHC-P, WB
NBP1-85632
Species: Hu
Applications: ICC/IF, IHC,  IHC-P
NLS1331
Species: Bt, Bv, Ca, Gp, Ha, Hu, Pm, Mu, Po, Pm, Rb, Rt, Sh
Applications: IHC,  IHC-P
NB100-1533
Species: Hu, Mu, Po, Rt, Sh
Applications: Flow, ICC/IF, IHC,  IHC-P, PEP-ELISA, WB
NBP1-26612
Species: Hu
Applications: IP (-), WB
202-IL
Species: Hu
Applications: BA
1129-ER
Species: Hu
Applications: BA
AF6989
Species: Mu
Applications: IHC
H00342184-M07
Species: Hu
Applications: ELISA, ICC/IF, WB
NBP2-76943
Species: Hu, Mu, Rt
Applications: WB, Flow, ICC/IF, IHC

Publications for Kir3.4 Antibody (NBP2-76943) (0)

There are no publications for Kir3.4 Antibody (NBP2-76943).
By submitting your publication information earn gift cards and discounts for future purchases.

Reviews for Kir3.4 Antibody (NBP2-76943) (0)

There are no reviews for Kir3.4 Antibody (NBP2-76943). By submitting a review you will receive an Amazon e-Gift Card or Novus Product Discount.
  • Review with no image -- $10/€7/£6/$10 CAD/¥70 Yuan/¥1110 Yen
  • Review with an image -- $25/€18/£15/$25 CAD/¥150 Yuan/¥2500 Yen

Product General Protocols

Find general support by application which include: protocols, troubleshooting, illustrated assays, videos and webinars.

Video Protocols

WB Video Protocol
ICC/IF Video Protocol

FAQs for Kir3.4 Antibody (NBP2-76943) (0)

There are no specific FAQs related to this product. Read our general customer & technical service FAQs.

Secondary Antibodies

 

Isotype Controls

Additional Kir3.4 Products

Research Areas for Kir3.4 Antibody (NBP2-76943)

Find related products by research area.

Blogs on Kir3.4

There are no specific blogs for Kir3.4, but you can read our latest blog posts.

Contact Information

Product PDFs

Calculators

Concentration Calculator

The concentration calculator allows you to quickly calculate the volume, mass or concentration of your vial. Simply enter your mass, volume, or concentration values for your reagent and the calculator will determine the rest.

=
÷

Review this Product

Be the first to review our Kir3.4 Antibody and receive a gift card or discount.

Bioinformatics

Gene Symbol KCNJ5