KIF2C Antibody (KIF2C/4706) - Azide and BSA Free

Images

 
Analysis of Protein Array containing more than 19,000 full-length human proteins using KIF2C / MCAK Mouse Monoclonal Antibody (KIF2C/4706).
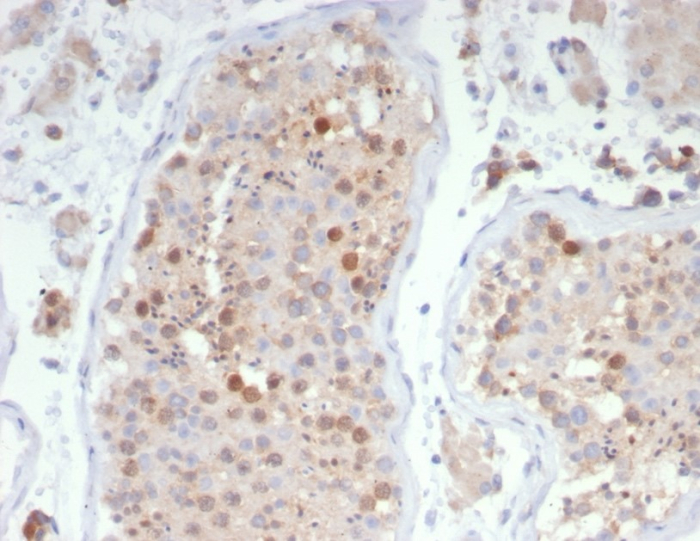
Formalin-fixed, paraffin-embedded human testis stained with KIF2C antibody (KIF2C/4706) at 2ug/ml. Inset: PBS instead of primary antibody; secondary only negative control.
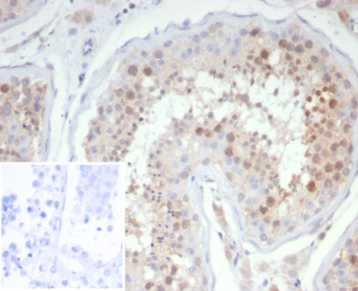
Formalin-fixed, paraffin-embedded human testis stained with KIF2C antibody (KIF2C/4706) at 2ug/ml. HIER: Tris/EDTA, pH9.0, 45min. Secondary: HRP-polymer, 30min. DAB, 5min.

Product Details

Summary
Reactivity HuSpecies Glossary
Applications IHC
Clone
KIF2C/4706
Clonality
Monoclonal
Host
Mouse
Conjugate
Unconjugated
Format
Azide and BSA Free
Concentration
1 mg/ml

Order Details

KIF2C Antibody (KIF2C/4706) - Azide and BSA Free Summary

Description
Positive Controls: Human thymus or testis. Isoform 2 is testis-specific.

Antibody with azide - store at 2 to 8C. Antibody without azide - store at -20 to -80C. Non-hazardous. No MSDS required.
Immunogen
Recombinant fragment (around aa500-700) of human KIF2C protein (exact sequence is proprietary)
Localization
Cytoplasm. Nucleus.
Isotype
IgG Kappa
Clonality
Monoclonal
Host
Mouse
Gene
KIF2C
Purity
Protein A or G purified
Innovator's Reward
Test in a species/application not listed above to receive a full credit towards a future purchase.

Applications/Dilutions

Dilutions
  • Immunohistochemistry-Paraffin 1-2 ug/ml
Application Notes
Immunohistochemistry (Formalin-fixed): 1-2ug/ml for 30 minutes. at RT. Staining of formalin-fixed tissues requires heating tissue sections in 10mM Tris with 1mM EDTA, pH 9.0, for 45 min at 95C followed by cooling at RT for 20 minutes.

Optimal dilution for a specific application should be determined.

Packaging, Storage & Formulations

Storage
Store at -20 to -70C. Avoid freeze-thaw cycles.
Buffer
10mM PBS
Preservative
No Preservative
Concentration
1 mg/ml
Purity
Protein A or G purified

Alternate Names for KIF2C Antibody (KIF2C/4706) - Azide and BSA Free

  • kinesin family member 2C
  • kinesin-like 6 (mitotic centromere-associated kinesin)
  • Kinesin-like protein 6
  • kinesin-like protein KIF2C
  • MCAKKNSL6kinesin-like 6
  • Mitotic centromere-associated kinesin

Background

KIF2C is encoded by this gene is a member of kinesin-like protein family. Proteins of this family are microtubule-dependent molecular motors that transport organelles within cells and move chromosomes during cell division. This protein is important for anaphase chromosome segregation and may be required to coordinate the onset of sister centromere separation.

Limitations

This product is for research use only and is not approved for use in humans or in clinical diagnosis. Primary Antibodies are guaranteed for 1 year from date of receipt.

Customers Who Viewed This Item Also Viewed...

NB100-294
Species: Hu, Mu, Rt
Applications: ICC/IF, IHC,  IHC-P, IP, MiAr, WB
NBP1-83936
Species: Hu
Applications: IHC,  IHC-P, WB
NB500-181
Species: Dr, Hu, Ma, Mu, Pl, Po, Rt
Applications: IB, ICC/IF, IP, WB
NB500-180
Species: Hu, Ma, Mu, Po, Rt
Applications: ICC/IF, IP, KO, Simple Western, WB
NBP1-82875
Species: Hu
Applications: ICC/IF, IHC,  IHC-P
NBP1-84928
Species: Hu, Mu, Rt
Applications: ICC/IF, IHC,  IHC-P, WB
NB500-182
Species: Hu, Ma, Mu, Rt
Applications: ICC/IF, IP, WB
NBP2-33374
Species: Hu
Applications: IHC,  IHC-P, WB
NB100-294
Species: Hu, Mu, Rt
Applications: ICC/IF, IHC,  IHC-P, IP, MiAr, WB
NBP2-00714
Species: Hu
Applications: Flow, ICC/IF, IHC,  IHC-P, WB
NB200-103
Species: Hu, Mu, Rt, Xp(-), Ye
Applications: CyTOF-ready, ELISA, Flow-IC, Flow, ICC/IF, IHC, IHC-Fr,  IHC-P, IP, WB
NBP2-37471
Species: Hu
Applications: CyTOF-ready, ELISA, Flow, ICC/IF, IHC,  IHC-P, WB
NBP1-85729
Species: Hu, Mu, Rt
Applications: ICC/IF, IHC,  IHC-P, WB
NB100-353
Species: Hu, Mu
Applications: CyTOF-ready, Flow, ICC/IF, IP, WB
NB100-74502
Species: Hu, Mu, Rt
Applications: ICC/IF, IHC,  IHC-P, IP, WB
NBP3-47536
Species: Hu, Mu, Rt
Applications: ELISA, IHC, WB
NBP3-48144
Species: Hu, Mu
Applications: ELISA, ICC/IF, IHC, WB
NBP1-89951
Species: Hu
Applications: ICC/IF, IHC,  IHC-P, WB
NBP1-88856
Species: Hu, Mu, Rt
Applications: IHC,  IHC-P, WB
NBP3-20782
Species: Hu
Applications: IHC

Publications for KIF2C Antibody (NBP3-20782) (0)

There are no publications for KIF2C Antibody (NBP3-20782).
By submitting your publication information earn gift cards and discounts for future purchases.

Reviews for KIF2C Antibody (NBP3-20782) (0)

There are no reviews for KIF2C Antibody (NBP3-20782). By submitting a review you will receive an Amazon e-Gift Card or Novus Product Discount.
  • Review with no image -- $10/€7/£6/$10 CAD/¥70 Yuan/¥1110 Yen
  • Review with an image -- $25/€18/£15/$25 CAD/¥150 Yuan/¥2500 Yen

Product General Protocols

Find general support by application which include: protocols, troubleshooting, illustrated assays, videos and webinars.

FAQs for KIF2C Antibody (NBP3-20782) (0)

There are no specific FAQs related to this product. Read our general customer & technical service FAQs.

Secondary Antibodies

 

Isotype Controls

Additional KIF2C Products

Research Areas for KIF2C Antibody (NBP3-20782)

Find related products by research area.

Blogs on KIF2C

There are no specific blogs for KIF2C, but you can read our latest blog posts.

Customers Who Bought This Also Bought

Contact Information

Product PDFs

Calculators

Concentration Calculator

The concentration calculator allows you to quickly calculate the volume, mass or concentration of your vial. Simply enter your mass, volume, or concentration values for your reagent and the calculator will determine the rest.

=
÷

Review this Product

Be the first to review our KIF2C Antibody (KIF2C/4706) - Azide and BSA Free and receive a gift card or discount.

Bioinformatics

Gene Symbol KIF2C