Ki67/MKI67 Antibody

Images

 
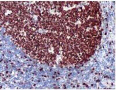
Immunohistochemistry-Paraffin: Ki-67/MKI67 Antibody [NB600-1209] - Human Tonsil stained with anti-Ki-67 antibody.

Product Details

Summary
Product Discontinued
View other related Ki67/MKI67 Primary Antibodies

Order Details


    • Catalog Number
      NB600-1209
    • Availability
      Product Discontinued

    Can't find what you are looking for? Use our Antibody Concierge Service & we will help you locate your antibody!

    Or feel free to contact us for alternative products.

Ki67/MKI67 Antibody Summary

Immunogen
The immunogen for this KI67/MKI67 Antibody was made using a synthetic peptide from the internal region of Human KI67/MKI67, 1200-1300 (C terminal). The exact sequence is proprietary.
Localization
Nuclear
Marker
Proliferation Marker
Isotype
IgG
Clonality
Polyclonal
Host
Rabbit
Gene
MKI67
Purity
Immunogen affinity purified
Innovator's Reward
Test in a species/application not listed above to receive a full credit towards a future purchase.

Applications/Dilutions

Dilutions
  • Immunocytochemistry/ Immunofluorescence 1:10-1:500
  • Immunohistochemistry 1:10-1:500
  • Immunohistochemistry-Frozen
  • Immunohistochemistry-Paraffin 1:300
Application Notes
For Immunohistochemistry, staining of formalin-fixed tissues requires boiling tissue sections in 10mM citrate buffer, pH 6.0 for 10 min followed by cooling at RT for 20 min. Ki67/MKI67 Antibody was used for ICC/IF (PMID: 23751911) and IHC-Fr (PMID: 18285570).
Simple Western reported by an internal validation. Separated by Size-All. Apparent MW in kDa on Simple Western was ~400; matrix was 12-180.
Theoretical MW
359 kDa.
Disclaimer note: The observed molecular weight of the protein may vary from the listed predicted molecular weight due to post translational modifications, post translation cleavages, relative charges, and other experimental factors.
Reviewed Applications
Read 1 Review rated 4
using
NB600-1209 in the following applications:

Publications
Read Publications using
NB600-1209 in the following applications:

Reactivity Notes

Ki67/MKI67 Antibody reacted with Mouse reported in scientific literature (PMID: 18285570).

Packaging, Storage & Formulations

Storage
Store at 4C. Do not freeze.
Buffer
Tris buffered saline, 1% BSA. pH: 7.6
Preservative
0.1% Sodium Azide
Concentration
0.4 mg/ml
Purity
Immunogen affinity purified

Alternate Names for Ki67/MKI67 Antibody

  • antigen identified by monoclonal Ki-67
  • Antigen Ki67
  • antigen KI-67
  • Ki67
  • Ki-67
  • KIA
  • Marker Of Proliferation Ki-67
  • MIB-
  • MIB-1
  • MKI67
  • PPP1R105
  • Proliferation Marker Protein Ki-67
  • proliferation-related Ki-67 antigen
  • Protein Phosphatase 1
  • Regulatory Subunit 105
  • TSG126

Background

Ki67 is a nuclear protein associated with proliferation, named after its discovery in a Hodgkin's lymphoma-derived cell line by Scholzer and Gerdes at Kiel University, Germany (1). This proliferation marker is expressed during active phases of the cell cycle (late G1, S, G2 and M), whereas the protein remains undetectable in the G0 phase. Ki67 has two main isoforms with theoretical molecular weights of 319 kDa and 359 kDa. Its abundance is tightly regulated by synthesis and degradation with an estimated half-life of 60-90 min, regardless of its position in the cell cycle. Ki67 has been shown to be involved in ribosomal biogenesis, heterochromatin maintenance, and mitotic chromosome separation (2).

Detection of Ki67 by immunostaining is commonly used as a proliferation marker in solid tumors, as well as certain hematological malignancies (3-5). The Ki67 index, which reports on positive Ki67 stained tumor cell nuclei, has been extensively studied as a prognostic biomarker in cancers such as breast cancer and cervical cancer.

References

1. Gerdes J, Schwab U, Lemke H, Stein H. (1983) Production of a mouse monoclonal antibody reactive with a human nuclear antigen associated with cell proliferation. Int J Cancer. 31:13-20. PMID: 6339421

2. Starborg M, Gell K, Brundell E and Hoog C. (1996) The murine Ki-67 cell proliferation antigen accumulates in the nucleolar and heterochromatic regions of interphase cells and at the periphery of the mitotic chromosomes in a process essential for cell cycle progression. J Cell Sci. 109:143-153. 1996

3. Karamitopoulou E, Perentes E, Tolnay M, Probst A. (1998) Prognostic significance of MIB-1, p53, and bcl-2 immunoreactivity in meningiomas. Hum Pathol. 29(2):140-5. PMID: 9490273

4. Geyer FC, Rodrigues DN, Weigelt B and Reis-Filho JS. (2012) Molecular classification of estrogen receptor-positive/luminal breast cancers. Adv Anat Pathol. 19(1):39-53. PMID: 22156833

5. Ikenberg H, Bergeron C, Schmidt D, Griesser H, Alameda F, Angeloni C, Bogers J, Dachez R, Denton K, Hariri J, Keller T, von Knebel Doeberitz M, Neumann HH, Puig-Tintore LM, Sideri M, Rehm S, Ridder R; PALMS Study Group. (2013) Screening for cervical cancer precursors with p16/Ki-67 dual-stained cytology: results of the PALMS study. J Natl Cancer Inst. 105(20):1550-7. PMID: 24096620

Limitations

This product is for research use only and is not approved for use in humans or in clinical diagnosis. Primary Antibodies are guaranteed for 1 year from date of receipt.

Customers Who Viewed This Item Also Viewed...

NB200-103
Species: Hu, Mu, Rt, Xp(-), Ye
Applications: CyTOF-ready, ELISA, Flow-IC, Flow, ICC/IF, IHC, IHC-Fr,  IHC-P, IP, WB
NBP2-29463
Species: Pm, Hu, Pm, Mu
Applications: Flow, ICC/IF, IHC,  IHC-P, WB
NB500-106
Species: Ch, Dr, Fi, Hu, Mar, Mu, Po, Pm, Rb, Rt, Ye, Ze
Applications: ChIP, ChIP, ELISA, Flow, ICC/IF, IHC-FrFl, IHC, IHC-Fr,  IHC-P, IP, Simple Western, WB
AF5415
Species: Hu
Applications: ICC, IHC, Simple Western, WB
NB100-56098
Species: Ca, Hu, Mu, Rt
Applications: IHC,  IHC-P, IP, WB
AF231
Species: Hu
Applications: CyTOF-ready, Dual ISH-IHC, ELISA(Cap), ELISA(Det), ELISA(Sta), Flow, ICC, IHC, IP, Simple Western, WB
NB300-560
Species: Av, Bv, Ma, Hu, Mu, Pm, Rt
Applications: IF, IHC, IHC-Fr,  IHC-P, WB
1129-ER
Species: Hu
Applications: BA
NBP2-32840
Species: Hu, Pm, Mu, Rt
Applications: Flow, ICC/IF, IHC,  IHC-P, WB
NBP2-47602
Species: Hu
Applications: ICC/IF, IHC,  IHC-P
H00005555-P01
Species: Hu
Applications: ELISA, AP, PA, PAGE, WB
AF6897
Species: Hu, Mu
Applications: IHC, Simple Western, WB
NBP2-46085
Species: Hu
Applications: IHC,  IHC-P, WB
H00027065-M01
Species: Hu, Rt
Applications: ELISA, ICC/IF, S-ELISA, WB
DMP900
Species: Hu
Applications: ELISA
NB300-223
Species: Bv, Ca, Ch, Eq, Hu, Mu, Po, Rt
Applications: ICC/IF, IHC, IHC-Fr,  IHC-P, WB
NBP1-72042
Species: Hu, Mu, Rt
Applications: ICC/IF, IHC,  IHC-P, PEP-ELISA, WB

Publications for Ki67/MKI67 Antibody (NB600-1209)(17)

We have publications tested in 2 confirmed species: Human, Mouse.

We have publications tested in 6 applications: ICC/IF, IF/IHC, IHC-Fr, IHC-P, Immunohistochemistry, Immunohistochemistry-Paraffin.


Filter By Application
ICC/IF
(2)
IF/IHC
(2)
IHC-Fr
(3)
IHC-P
(3)
Immunohistochemistry
(1)
Immunohistochemistry-Paraffin
(1)
All Applications
Filter By Species
Human
(1)
Mouse
(9)
All Species
Showing Publications 1 - 10 of 17. Show All 17 Publications.
Publications using NB600-1209 Applications Species
Chen H, Liu J, Shi GP, Zhang X Protocol for in vivo and ex vivo assessment of hyperglycemia and islet function in diabetic mice STAR protocols 2023-02-24 [PMID: 36861836] (ICC/IF, Mouse) ICC/IF Mouse
Obayashi N, Sakayori N, Kawaguchi H, Sugita M Effect of irinotecan administration on amiloride-sensitive sodium taste responses in mice European journal of oral sciences 2023-04-01 [PMID: 36852977] (Immunohistochemistry) Immunohistochemistry
Li C, Li J, Loreno E et al. Protective Effect of Low-Dose Alcohol Consumption against Post-Ischemic Neuronal Apoptosis: Role of L-PGDS International Journal of Molecular Sciences 2021-12-23 [PMID: 35008575]
Kozuki S, Sakurai S, Suzuki A et al. Delineation of biliary epithelial cell dynamics in maternal liver during pregnancy Genes to cells : devoted to molecular & cellular mechanisms 2021-12-30 [PMID: 34967957]
Zalles M, Smith N, Saunders D et al. A tale of two multi-focal therapies for glioblastoma: An antibody targeting ELTD1 and nitrone-based OKN-007 Journal of cellular and molecular medicine 2021-12-14 [PMID: 34910361] (IHC-P, Mouse) IHC-P Mouse
Hu Y, Zhu Y, Gerber SD et al. Deletion of Nrip1 delays skin aging by reducing adipose-derived mesenchymal stem cells (ADMSCs) senescence, and maintaining ADMSCs quiescence GeroScience 2021-03-11 [PMID: 33704619]
Ichijo R, Kabata M, Kidoya H et al. Vasculature-driven stem cell population coordinates tissue scaling in dynamic organs Science advances 2021-02-01 [PMID: 33568475] (IHC-Fr, Mouse) IHC-Fr Mouse
Zhang Y, Zhu H, Layritz F et Al. Recombinant adenosine deaminase ameliorates inflammation, vascular disease and fibrosis in preclinical models of systemic sclerosis Arthritis & rheumatology (Hoboken, N.J.) 2020-03-17 [PMID: 32182396]
Zhang X, Wang X, Yin H et al. Functional Inactivation of Mast Cells Enhances Subcutaneous Adipose Tissue Browning in Mice Cell Rep 2019-07-16 [PMID: 31315055] (IHC-P, Mouse) IHC-P Mouse
Ichijo R, Kobayashi H, Yoneda S et al. Tbx3-dependent amplifying stem cell progeny drives interfollicular epidermal expansion during pregnancy and regeneration Nat Commun 2017-09-11 [PMID: 28894084] (IHC-Fr, Mouse) IHC-Fr Mouse
Show All 17 Publications.

Review for Ki67/MKI67 Antibody (NB600-1209) (1) 41

Average Rating: 4
(Based on 1 review)
We have 1 review tested in 1 species: Mouse.

Reviews using NB600-1209:
Filter by Applications
IF
(1)
All Applications
Filter by Species
Mouse
(1)
All Species
Images Ratings Applications Species Date Details
Immunofluorescence Ki67/MKI67 NB600-1209
Enlarge
4
reviewed by:
Verified Customer
IF Mouse 07/20/2015
View

Summary

ApplicationImmunofluorescence
Sample Tested-
SpeciesMouse

Product General Protocols

Find general support by application which include: protocols, troubleshooting, illustrated assays, videos and webinars.

Video Protocols

ICC/IF Video Protocol

FAQs for Ki67/MKI67 Antibody (NB600-1209). (Showing 1 - 1 of 1 FAQs).

  1. Is there a clone number for this Ki67 antibody?
    • This antibody is polyclonal, and thus it does not have a clone number.

Secondary Antibodies

 

Isotype Controls

Additional Ki67/MKI67 Products

Research Areas for Ki67/MKI67 Antibody (NB600-1209)

Find related products by research area.

Blogs on Ki67/MKI67.

The relationship between Ki67 and HIF-1 in cancer
Ki67, also known as MKI67, is best known as the leading marker of cellular proliferation. Ki67 is regulated by a balance between synthesis and degradation, and often carries a very short half-life.  First discovered to be located to dividing cells,...  Read full blog post.

Ki67 - an established marker for labelling proliferating cells
Ki-67/MKI67 is an antigen which is expressed during G1, S, G2, and M phases of the cell cycle (mitotically active cells), but not during G0 phase (resting cells). It is a large protein with expected molecular weight of about 395 kDa, and it has a v...  Read full blog post.

Ki67 - A Crucial Cellular Proliferation Marker
The Ki67 antigen is a prototypic cell cycle-related protein expressed by proliferating cells in all phases of the active cell cycle (G1, S, G2 and M). It is a non-histone nuclear protein originally identified in a Hodgkin's lymphoma-derived cell line....  Read full blog post.

The Ki67 Antibody in Cell Marker Studies
The MK167, or Ki67 antibody recognizes a nuclear protein encoded by the MK167 gene. Ki167 is involved with RNA transcription and essential to cellular proliferation, being expressed by proliferating cells at all stages of the active cell cycle; it is ...  Read full blog post.

Contact Information

Product PDFs

Calculators

Concentration Calculator

The concentration calculator allows you to quickly calculate the volume, mass or concentration of your vial. Simply enter your mass, volume, or concentration values for your reagent and the calculator will determine the rest.

=
÷

Recent Reviews

4
5
0
4
1
3
0
2
0
1
0

Verified Customer
07/20/2015
Application: IF
Species: Mouse

Bioinformatics

Gene Symbol MKI67
Entrez
Uniprot