KAP1 Antibody (SD081-05)

Images

 
Western Blot: KAP1 Antibody (SD081-05) [NBP2-67786] - Western blot analysis of KAP1 on different lysates. Proteins were transferred to a PVDF membrane and blocked with 5% BSA in PBS for 1 hour at room temperature. The ...read more
Immunocytochemistry/ Immunofluorescence: KAP1 Antibody (SD081-05) [NBP2-67786] - Staining KAP1 in A549 cells (green). The nuclear counter stain is DAPI (blue). Cells were fixed in paraformaldehyde, permeabilised with ...read more
Immunohistochemistry-Paraffin: KAP1 Antibody (SD081-05) [NBP2-67786] - Analysis of paraffin-embedded mouse brain tissue using anti-KAP1 antibody. Counter stained with hematoxylin.
Flow Cytometry: KAP1 Antibody (SD081-05) [NBP2-67786] - Analysis of Hela cells with KAP1 antibody at 1/50 dilution (red) compared with an unlabelled control (cells without incubation with primary antibody; black). Alexa ...read more
Western Blot: KAP1 Antibody (SD081-05) [NBP2-67786] - Analysis of KAP1 on different lysates using anti-KAP1 antibody at 1/1,000 dilution. Positive control: Lane 1: HepG2 Lane 2: Hela
Immunohistochemistry-Paraffin: KAP1 Antibody (SD081-05) [NBP2-67786] - Analysis of paraffin-embedded human breast carcinoma tissue using anti-KAP1 antibody. Counter stained with hematoxylin.
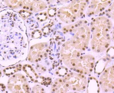
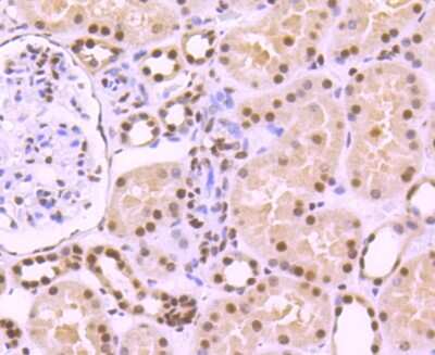
Immunohistochemistry-Paraffin: KAP1 Antibody (SD081-05) [NBP2-67786] - Analysis of paraffin-embedded human kidney tissue using anti-KAP1 antibody. Counter stained with hematoxylin.
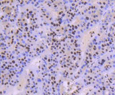
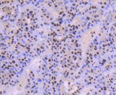
Immunohistochemistry-Paraffin: KAP1 Antibody (SD081-05) [NBP2-67786] - Analysis of paraffin-embedded human liver cancer tissue using anti-KAP1 antibody. Counter stained with hematoxylin.
Immunohistochemistry-Paraffin: KAP1 Antibody (SD081-05) [NBP2-67786] - Analysis of paraffin-embedded human lung cancer tissue using anti-KAP1 antibody. Counter stained with hematoxylin.
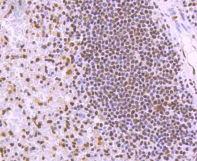
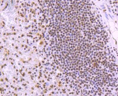
Immunohistochemistry-Paraffin: KAP1 Antibody (SD081-05) [NBP2-67786] - Analysis of paraffin-embedded human spleen tissue using anti-KAP1 antibody. Counter stained with hematoxylin.

Product Details

Summary
Product Discontinued
View other related KAP1 Primary Antibodies

Order Details


    • Catalog Number
      NBP2-67786
    • Availability
      Product Discontinued

    Can't find what you are looking for? Use our Antibody Concierge Service & we will help you locate your antibody!

    Or feel free to contact us for alternative products.

KAP1 Antibody (SD081-05) Summary

Additional Information
Recombinant Monoclonal Antibody.
Immunogen
Synthetic peptide within Human KAP1 aa 301-350 / 835. (SwissProt: Q13263 Human; SwissProt: Q62318 Mouse; SwissProt: O08629 Rat)
Localization
Nucleus.
Isotype
IgG
Clonality
Monoclonal
Host
Rabbit
Gene
TRIM28
Purity
Protein A purified
Innovator's Reward
Test in a species/application not listed above to receive a full credit towards a future purchase.

Applications/Dilutions

Dilutions
  • Flow Cytometry 1:50-1:100
  • Immunocytochemistry/ Immunofluorescence 1:50-1:200
  • Immunohistochemistry
  • Immunohistochemistry-Paraffin 1:50-1:200
  • Western Blot 1:2000-1:5000

Packaging, Storage & Formulations

Storage
Store at 4C short term. Aliquot and store at -20C long term. Avoid freeze-thaw cycles.
Buffer
TBS (pH7.4), 0.05% BSA, 40% Glycerol
Preservative
0.05% Sodium Azide
Concentration
1 mg/ml
Purity
Protein A purified

Alternate Names for KAP1 Antibody (SD081-05)

  • E3 SUMO-protein ligase TRIM28
  • EC 6.3.2.-
  • FLJ29029
  • KAP1
  • KAP-1
  • KAP1KRAB-associated protein 1
  • KRIP-1
  • Nuclear corepressor KAP-1
  • RNF96
  • RNF96KRAB-interacting protein 1
  • TF1B
  • TIF1B
  • TIF1-beta
  • TIF1BRING finger protein 96
  • transcription intermediary factor 1-beta
  • transcriptional intermediary factor 1-beta
  • TRIM28
  • tripartite motif containing 28
  • tripartite motif-containing 28
  • Tripartite motif-containing protein 28

Background

KAP1 is encoded by this gene mediates transcriptional control by interaction with the Kruppel-associated box repression domain found in many transcription factors. The protein localizes to the nucleus and is thought to associate with specific chromatin regions. The protein is a member of the tripartite motif family. This tripartite motif includes three zinc-binding domains, a RING, a B-box type 1 and a B-box type 2, and a coiled-coil region.

Limitations

This product is for research use only and is not approved for use in humans or in clinical diagnosis. Primary Antibodies are guaranteed for 1 year from date of receipt.

Customers Who Viewed This Item Also Viewed...

NB100-309
Species: Hu, Pm, Mu, Rt
Applications: ChIP, ELISA, Flow, ICC/IF, IHC,  IHC-P, IP, KD, PAGE, Single-Cell Western, WB
H00008805-M01
Species: Hu
Applications: ELISA, ICC/IF, IHC,  IHC-P, IP, PLA, WB
NBP2-52420
Species: Hu, Mu
Applications: CyTOF-ready, ELISA, ICC/IF, IHC,  IHC-P, WB
DY8198-05
Species: Hu
Applications: ELISA
NBP2-20322
Species: Hu, Mu
Applications: ChIP, ICC/IF, IHC,  IHC-P, IP, PLA, WB
NB100-56340
Species: Hu, Mu, Rt
Applications: IHC, IHC-Fr,  IHC-P, KO, Simple Western, WB
NBP1-80608
Species: Hu
Applications: ICC/IF, IHC,  IHC-P, WB
NBP2-29463
Species: Pm, Hu, Pm, Mu
Applications: Flow, ICC/IF, IHC,  IHC-P, WB
NB200-103
Species: Hu, Mu, Rt, Xp(-), Ye
Applications: CyTOF-ready, ELISA, Flow-IC, Flow, ICC/IF, IHC, IHC-Fr,  IHC-P, IP, WB
NB100-304
Species: Bt, Bv, Ca, Fi, Gt, Hu, Mu, Pm, Rt
Applications: ChIP, ChIP, Flow-IC, Flow, IB, ICC/IF, IHC, IHC-Fr,  IHC-P, IP, ISH, KD, KO, WB
NB500-171
Species: Hu, I, Mu, Rt, Xp, Ye
Applications: ChIP, IB, ICC/IF, IHC,  IHC-P, Single-Cell Western, WB
NB100-59787
Species: Hu, Mu
Applications: Flow, IB, ICC/IF, IHC,  IHC-P, IP, KD, PLA, WB
NBP2-94869
Species: Hu, Mu, Rt
Applications: ICC/IF, WB
NBP1-89150
Species: Hu
Applications: IHC,  IHC-P, WB
H00011026-M01
Species: Hu
Applications: ELISA, WB
NBP2-03993
Species: Bv, Ca, Hu, Mu, Pm
Applications: WB
NBP1-31302
Species: Hu, Mu, Rt
Applications: ICC/IF, IHC,  IHC-P, KO, WB
H00051127-M01
Species: Hu
Applications: ELISA, ICC/IF, PLA, S-ELISA, WB

Publications for KAP1 Antibody (NBP2-67786) (0)

There are no publications for KAP1 Antibody (NBP2-67786).
By submitting your publication information earn gift cards and discounts for future purchases.

Reviews for KAP1 Antibody (NBP2-67786) (0)

There are no reviews for KAP1 Antibody (NBP2-67786). By submitting a review you will receive an Amazon e-Gift Card or Novus Product Discount.
  • Review with no image -- $10/€7/£6/$10 CAD/¥70 Yuan/¥1110 Yen
  • Review with an image -- $25/€18/£15/$25 CAD/¥150 Yuan/¥2500 Yen

Product General Protocols

Find general support by application which include: protocols, troubleshooting, illustrated assays, videos and webinars.

Video Protocols

WB Video Protocol
ICC/IF Video Protocol

FAQs for KAP1 Antibody (NBP2-67786) (0)

There are no specific FAQs related to this product. Read our general customer & technical service FAQs.

Contact Information

Product PDFs

Calculators

Concentration Calculator

The concentration calculator allows you to quickly calculate the volume, mass or concentration of your vial. Simply enter your mass, volume, or concentration values for your reagent and the calculator will determine the rest.

=
÷

Review this Product

Be the first to review our KAP1 Antibody (SD081-05) and receive a gift card or discount.

Bioinformatics

Gene Symbol TRIM28