Islet-1 Antibody (8A3)

Images

 
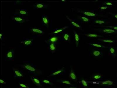
Immunocytochemistry/ Immunofluorescence: Islet-1 Antibody (8A3) [H00003670-M03] - Analysis of monoclonal antibody to ISL1 on HeLa cell. Antibody concentration 10 ug/ml
Sandwich ELISA: Islet-1 Antibody (8A3) [H00003670-M03] - Detection limit for recombinant GST tagged ISL1 is 0.1 ng/ml as a capture antibody.

Product Details

Summary
Product Discontinued
View other related Islet-1 Primary Antibodies

Order Details


    • Catalog Number
      H00003670-M03
    • Availability
      Product Discontinued

    Can't find what you are looking for? Use our Antibody Concierge Service & we will help you locate your antibody!

    Or feel free to contact us for alternative products.

Islet-1 Antibody (8A3) Summary

Description
Quality control test: Antibody Reactive Against Recombinant Protein.
Immunogen
ISL1 (NP_002193, 63 a.a. ~ 159 a.a) partial recombinant protein with GST tag. MW of the GST tag alone is 26 KDa. YCKRDYIRLYGIKCAKCSIGFSKNDFVMRARSKVYHIECFRCVACSRQLIPGDEFALREDGLFCRADHDVVERASLGAGDPLSPLHPARPLQMAAEP
Localization
Nuclear, occasionally cytoplasmic
Specificity
ISL1 - ISL1 transcription factor, LIM/homeodomain, (islet-1)
Isotype
IgG2a Kappa
Clonality
Monoclonal
Host
Mouse
Gene
ISL1
Purity
IgG purified
Innovator's Reward
Test in a species/application not listed above to receive a full credit towards a future purchase.

Applications/Dilutions

Dilutions
  • ELISA
  • Immunocytochemistry/ Immunofluorescence
  • Sandwich ELISA
  • Western Blot 1:500
Application Notes
Antibody reactivity against Recombinant Protein with GST tag on ELISA and WB. GST tag alone is used as a negative control.

Packaging, Storage & Formulations

Storage
Aliquot and store at -20C or -80C. Avoid freeze-thaw cycles.
Buffer
In 1x PBS, pH 7.4
Preservative
No Preservative
Purity
IgG purified

Notes

This product is produced by and distributed for Abnova, a company based in Taiwan.

Alternate Names for Islet-1 Antibody (8A3)

  • insulin gene enhancer protein ISL-1
  • ISL LIM homeobox 1
  • ISL1 transcription factor, LIM/homeodomain
  • ISL1 transcription factor, LIM/homeodomain, (islet-1)
  • ISL1
  • Isl-1
  • Islet1
  • Islet-1

Background

This gene encodes a member of the LIM/homeodomain family of transcription factors. The encoded protein binds to the enhancer region of the insulin gene, among others, and may play an important role in regulating insulin gene expression. The encoded protein is central to the development of pancreatic cell lineages and may also be required for motor neuron generation. Mutations in this gene have been associated with maturity-onset diabetes of the young.

Limitations

This product is for research use only and is not approved for use in humans or in clinical diagnosis. Primary Antibodies are guaranteed for 1 year from date of receipt.

Customers Who Viewed This Item Also Viewed...

NBP1-84843
Species: Hu
Applications: ICC/IF, IHC,  IHC-P, WB
MAB1417
Species: Bv, Hu, Mu
Applications: ICC, IHC
AF2419
Species: Hu
Applications: Dual ISH-IHC, ICC, IHC, Simple Western, WB
AF8150
Species: Hu
Applications: ICC, ICFlow, Simple Western, WB
AF3444
Species: Hu
Applications: IHC, WB
AF2444
Species: Hu
Applications: IHC, WB
NBP3-13352
Species: Mu, Rt
Applications: ICC/IF, IHC,  IHC-P, WB
NBP1-49672
Species: Hu, Mu, Rt
Applications: ICC/IF, IHC, IHC-Fr,  IHC-P, In vitro, Simple Western, WB
MAB1249
Species: Hu, Mu
Applications: CyTOF-ready, ICC, ICFlow
NBP2-37447
Species: Hu
Applications: CyTOF-ready, ELISA, Flow, ICC/IF, IHC,  IHC-P
AF2746
Species: Hu, Mu
Applications: ICC, WB
NBP1-82554
Species: Fe, Hu, Mu
Applications: ICC/IF, IHC, IHC-Fr,  IHC-P, KO, WB
NBP2-01926
Species: Hu, Mu, Rt
Applications: Flow, ICC/IF, IHC,  IHC-P, WB
NBP1-85573
Species: Hu
Applications: ChIP-EXO-SEQ, ICC/IF, IHC,  IHC-P, WB
AF2614
Species: Hu
Applications: ICC, WB
NBP2-24691
Species: Hu, Mu
Applications: ICC/IF, IHC,  IHC-P, WB
NBP1-84079
Species: Hu
Applications: IHC,  IHC-P, WB
345-FG
Species: Hu
Applications: BA
AF4244
Species: Hu
Applications: IHC, WB

Publications for Islet-1 Antibody (H00003670-M03) (0)

There are no publications for Islet-1 Antibody (H00003670-M03).
By submitting your publication information earn gift cards and discounts for future purchases.

Reviews for Islet-1 Antibody (H00003670-M03) (0)

There are no reviews for Islet-1 Antibody (H00003670-M03). By submitting a review you will receive an Amazon e-Gift Card or Novus Product Discount.
  • Review with no image -- $10/€7/£6/$10 CAD/¥70 Yuan/¥1110 Yen
  • Review with an image -- $25/€18/£15/$25 CAD/¥150 Yuan/¥2500 Yen

Product General Protocols

Find general support by application which include: protocols, troubleshooting, illustrated assays, videos and webinars.

Video Protocols

WB Video Protocol
ICC/IF Video Protocol

FAQs for Islet-1 Antibody (H00003670-M03) (0)

There are no specific FAQs related to this product. Read our general customer & technical service FAQs.

Secondary Antibodies

 

Isotype Controls

Additional Islet-1 Products

Research Areas for Islet-1 Antibody (H00003670-M03)

Find related products by research area.

Blogs on Islet-1

There are no specific blogs for Islet-1, but you can read our latest blog posts.

Contact Information

Product PDFs

Calculators

Concentration Calculator

The concentration calculator allows you to quickly calculate the volume, mass or concentration of your vial. Simply enter your mass, volume, or concentration values for your reagent and the calculator will determine the rest.

=
÷

Review this Product

Be the first to review our Islet-1 Antibody (8A3) and receive a gift card or discount.

Bioinformatics

Gene Symbol ISL1
Entrez
OMIM
Uniprot