IRF5 Antibody (SN201-05)

Images

 
Western Blot: IRF5 Antibody (SN201-05) [NBP2-67730] - Western blot analysis of IRF5 on THP-1 cell lysates. Proteins were transferred to a PVDF membrane and blocked with 5% BSA in PBS for 1 hour at room temperature. The ...read more
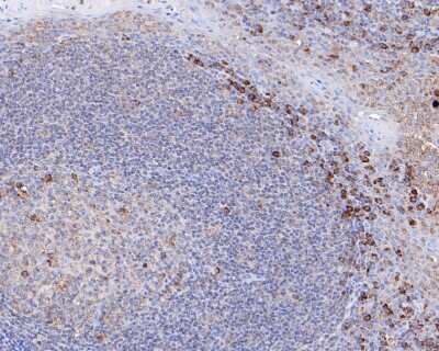
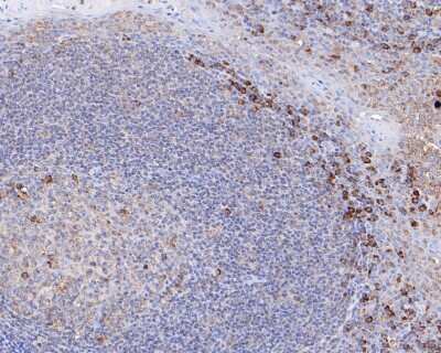
Immunohistochemistry-Paraffin: IRF5 Antibody (SN201-05) [NBP2-67730] - Immunohistochemical analysis of paraffin-embedded human tonsil tissue using anti-IRF5 antibody. The section was pre-treated using heat mediated ...read more
Flow Cytometry: IRF5 Antibody (SN201-05) [NBP2-67730] - Analysis of K562 cells with IRF5 antibody at 1/50 dilution (red) compared with an unlabelled control (cells without incubation with primary antibody; black). Alexa ...read more
Western Blot: IRF5 Antibody (SN201-05) [NBP2-67730] - Analysis of IRF5 on THP-1 cells lysates using anti-IRF5 antibody at 1/1,000 dilution.
Immunohistochemistry-Paraffin: IRF5 Antibody (SN201-05) [NBP2-67730] - Analysis of paraffin-embedded human breast carcinoma tissue using anti-IRF5 antibody. Counter stained with hematoxylin.
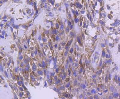
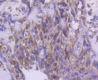
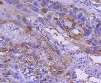
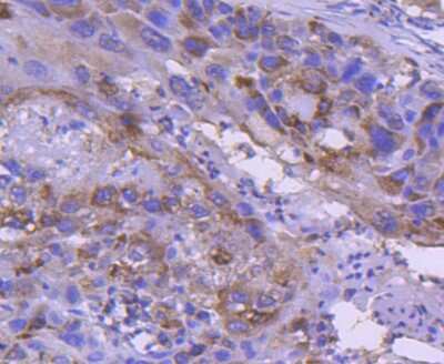
Immunohistochemistry-Paraffin: IRF5 Antibody (SN201-05) [NBP2-67730] - Analysis of paraffin-embedded human lung cancer tissue using anti-IRF5 antibody. Counter stained with hematoxylin.

Product Details

Summary
Product Discontinued
View other related IRF5 Primary Antibodies

Order Details


    • Catalog Number
      NBP2-67730
    • Availability
      Product Discontinued

    Can't find what you are looking for? Use our Antibody Concierge Service & we will help you locate your antibody!

    Or feel free to contact us for alternative products.

IRF5 Antibody (SN201-05) Summary

Additional Information
Recombinant Monoclonal Antibody.
Immunogen
Synthetic peptide within human IRF5 aa 110-170. (SwissProt: Q13568 Human)
Localization
Cytoplasm, Nucleus.
Isotype
IgG
Clonality
Monoclonal
Host
Rabbit
Gene
IRF5
Purity
Protein A purified
Innovator's Reward
Test in a species/application not listed above to receive a full credit towards a future purchase.

Applications/Dilutions

Dilutions
  • Flow Cytometry 1:50-1:100
  • Immunohistochemistry
  • Immunohistochemistry-Paraffin 1:50-1:200
  • Western Blot 1:1000-1:5000

Packaging, Storage & Formulations

Storage
Store at 4C short term. Aliquot and store at -20C long term. Avoid freeze-thaw cycles.
Buffer
TBS (pH7.4), 0.05% BSA, 40% Glycerol
Preservative
0.05% Sodium Azide
Concentration
1 mg/ml
Purity
Protein A purified

Alternate Names for IRF5 Antibody (SN201-05)

  • IBD14
  • interferon regulatory factor 5
  • IRF5
  • IRF-5
  • SLEB10

Background

IRF5 encodes a member of the interferon regulatory factor (IRF) family, a group of transcription factors with diverse roles, including virus-mediated activation of interferon, and modulation of cell growth, differentiation, apoptosis, and immune system activity. Members of the IRF family are characterized by a conserved N-terminal DNA-binding domain containing tryptophan (W) repeats. Alternative splice variants encoding different isoforms exist.

Limitations

This product is for research use only and is not approved for use in humans or in clinical diagnosis. Primary Antibodies are guaranteed for 1 year from date of receipt.

Customers Who Viewed This Item Also Viewed...

NBP2-67634
Species: Hu, Mu, Rt, Ze
Applications: Flow, ICC/IF, IHC,  IHC-P, IP, WB
AF5366
Species: Hu, Mu, Rt
Applications: Simple Western, WB
M6000B
Species: Mu
Applications: ELISA
NBP2-24729
Species: Ca, Eq, Hu, Pm, Mu, Pm, Rt
Applications: B/N, CyTOF-ready, DB, ELISA, Flow-IC, Flow, Func, ICC/IF, IHC,  IHC-P, IP, In vitro, KD, Simple Western, WB
NBP2-67741
Species: Hu, Mu, Rt
Applications: Flow, ICC/IF, IHC,  IHC-P, WB
AF3428
Species: Hu
Applications: ICC, Simple Western, WB
NBP2-24906
Species: Hu, Mu, Rt
Applications: BA, DB, Flow-IC, Flow, ICC/IF, IHC, IHC-Fr,  IHC-P, IP, PLA, Simple Western, WB
7268-CT
Species: Hu
Applications: BA
NBP2-29328
Species: Bv, Hu, Mu, Rt, Xp, Ye, Ze
Applications: BindInhib, B/N, ELISA, Flow, Func-Inh, IHC, In vitro, In vivo
NB100-524
Species: Hu, Mu
Applications: Flow-IC, Flow, ICC/IF, IHC, IHC-Fr,  IHC-P, IP, WB
NBP2-75930
Species: Hu, Mu, Rt
Applications: Flow, ICC/IF, IHC,  IHC-P, WB
H00000640-M02
Species: Hu, Mu, Rt
Applications: ELISA, Flow, WB
MAB3427
Species: Hu
Applications: WB
NB100-56566
Species: Bv, Hu, Ma, Mu, Po, Rt
Applications: B/N, ChIP, CyTOF-ready, DB, Dual ISH-IHC, ELISA(Cap), ELISA, Flow-CS, Flow-IC, Flow, ICC/IF, IHC, IHC-Fr,  IHC-P, In vitro, KD, KO, PAGE, Simple Western, WB
NBP2-26506
Species: Hu, Mu, Rt
Applications: B/N, In vitro
NBP1-88714
Species: Hu
Applications: IHC,  IHC-P
NB110-89474
Species: Bv, Ce, ChHa, Hu, Pm, Mu, Rt, RM
Applications: Dual ISH-IHC, Flow-CS, Flow, ICC/IF, IHC, IHC-Fr,  IHC-P, ISH, Simple Western, Single-Cell Western, WB
NBP2-67730
Species: Hu
Applications: WB, Flow, IHC

Publications for IRF5 Antibody (NBP2-67730) (0)

There are no publications for IRF5 Antibody (NBP2-67730).
By submitting your publication information earn gift cards and discounts for future purchases.

Reviews for IRF5 Antibody (NBP2-67730) (0)

There are no reviews for IRF5 Antibody (NBP2-67730). By submitting a review you will receive an Amazon e-Gift Card or Novus Product Discount.
  • Review with no image -- $10/€7/£6/$10 CAD/¥70 Yuan/¥1110 Yen
  • Review with an image -- $25/€18/£15/$25 CAD/¥150 Yuan/¥2500 Yen

Product General Protocols

Find general support by application which include: protocols, troubleshooting, illustrated assays, videos and webinars.

Video Protocols

WB Video Protocol

FAQs for IRF5 Antibody (NBP2-67730) (0)

There are no specific FAQs related to this product. Read our general customer & technical service FAQs.

Secondary Antibodies

 

Isotype Controls

Additional IRF5 Products

Research Areas for IRF5 Antibody (NBP2-67730)

Find related products by research area.

Blogs on IRF5

There are no specific blogs for IRF5, but you can read our latest blog posts.

Contact Information

Product PDFs

Calculators

Concentration Calculator

The concentration calculator allows you to quickly calculate the volume, mass or concentration of your vial. Simply enter your mass, volume, or concentration values for your reagent and the calculator will determine the rest.

=
÷

Review this Product

Be the first to review our IRF5 Antibody (SN201-05) and receive a gift card or discount.

Bioinformatics

Gene Symbol IRF5