IRF4 Antibody (CL14615) - Azide and BSA Free

Images

 
Orthogonal Strategies: Analysis in human tonsil and skeletal muscle tissues using NBP3-44146 antibody. Corresponding IRF4 RNA-seq data are presented for the same tissues.
Staining of human skeletal muscle shows no positivity in myocytes as expected.
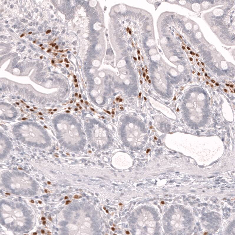
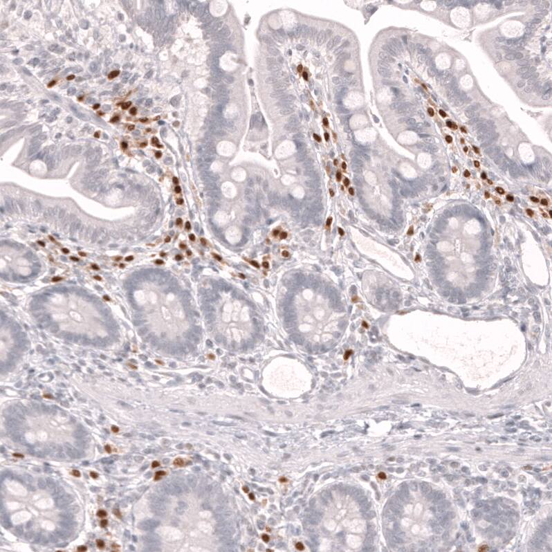
Staining of human small intestine shows strong nuclear positivity in lymphoid cells.
Analysis in human cell line SK-MEL-30.
Staining of human tonsil shows strong nuclear positivity in lymphoid cells.
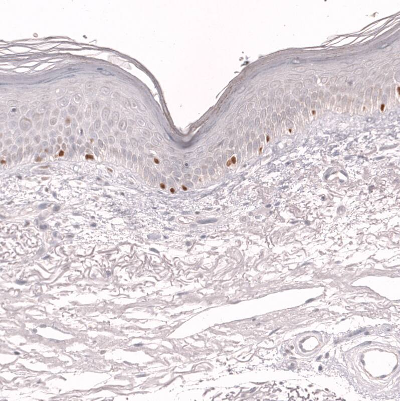
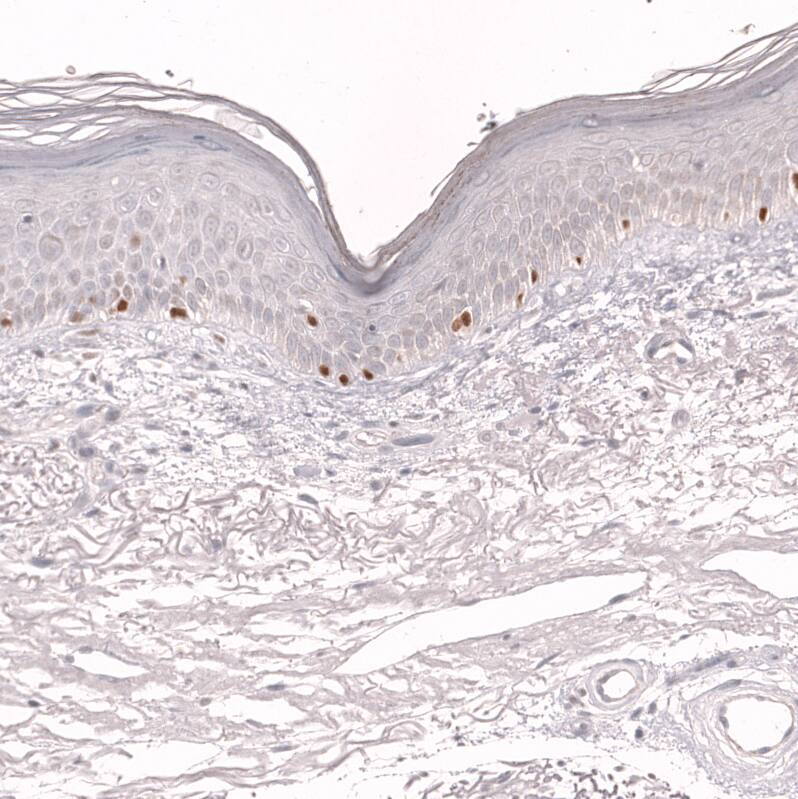
Staining of human skin shows strong nuclear positivity in a subset of lymphoid cells.

Product Details

Summary
Reactivity HuSpecies Glossary
Applications WB, IHC
Clone
CL14615
Clonality
Monoclonal
Host
Mouse
Conjugate
Unconjugated
Format
Azide and BSA Free
Concentration
LYOPH
Validated by:
       

Orthogonal Strategies

 

Order Details

IRF4 Antibody (CL14615) - Azide and BSA Free Summary

Description
Novus Biologicals Mouse IRF4 Antibody (CL14615) - Azide and BSA Free (NBP3-26863) is a monoclonal antibody validated for use in IHC and WB. All Novus Biologicals antibodies are covered by our 100% guarantee.
Immunogen
This antibody was generated using a recombinant protein sequence of Q15306, with the exact immunogen sequence remaining proprietary.
Isotype
IgG1
Clonality
Monoclonal
Host
Mouse
Gene
IRF4
Purity
Protein A purified
Innovator's Reward
Test in a species/application not listed above to receive a full credit towards a future purchase.

Applications/Dilutions

Dilutions
  • Immunohistochemistry-Paraffin 1:200 - 1:500
  • Western Blot 1 ug/ml
Application Notes
For IHC-Paraffin, HIER pH 6 retrieval is recommended.

Packaging, Storage & Formulations

Storage
Store at 4C short term. Aliquot and store at -20C long term. Avoid freeze-thaw cycles.
Buffer
Lyophilized from a 0.2 um filtered solution in PBS with Trehalose
Preservative
No Preservative
Concentration
LYOPH
Purity
Protein A purified
Reconstitution Instructions
Centrifuge the vial of lyophilized antibody at 12,000 x g for 20 seconds. Reconstitute by adding sterile, distilled water to achieve a final antibody concentration of 1mg/ml.

Alternate Names for IRF4 Antibody (CL14615) - Azide and BSA Free

  • interferon regulatory factor 4
  • IRF4
  • IRF-4
  • LSIRF
  • LSIRFMUM1
  • Lymphocyte-specific interferon regulatory factor
  • Multiple myeloma oncogene 1
  • MUM1
  • NF-EM5

Background

Transcriptional activator. Binds to the interferon-stimulated response element (ISRE) of the MHC class I promoter. Binds the immunoglobulin lambda light chain enhancer, together with PU.1. Probably plays a role in ISRE-targeted signal transduction mechanisms specific to lymphoid cells

Limitations

This product is for research use only and is not approved for use in humans or in clinical diagnosis. Primary Antibodies are guaranteed for 1 year from date of receipt.

Customers Who Viewed This Item Also Viewed...

NBP2-59786
Species: Hu
Applications: ICC/IF, IHC,  IHC-P, Simple Western
AF1126
Species: Mu
Applications: ELISA(Cap), ELISA(Det), ELISA(Sta), IHC, IP, WB
AF2780
Species: Hu
Applications: ELISA(Cap), ELISA(Det), ELISA(Sta), IHC, WB
NB100-56098
Species: Ca, Hu, Mu, Rt
Applications: IHC,  IHC-P, IP, WB
NBP2-54591
Species: Hu
Applications: CyTOF-ready, Flow, ICC/IF, IHC,  IHC-P, PA
NBP2-67309
Species: Hu, Rt
Applications: Flow, ICC/IF, IHC,  IHC-P, IP, WB
NB600-235
Species: Hu, Mu, Po
Applications: ChIP, ELISA, Flow, ICC/IF, IHC, IHC-Fr,  IHC-P, IP, WB
NB600-302
Species: Bv, Dr, Hu, Mu
Applications: ChIP, ELISA, Flow-IC, Flow, IB, ICC/IF, IHC, IHC-Fr,  IHC-P, IP, PLA, S-ELISA, Simple Western, WB
NBP2-27163
Species: Bv, Ca, Eq, Hu, Mu, Pm
Applications: Flow, WB
MAB3487
Species: Hu, Mu
Applications: Flow, ICC, IHC, mIF, Simple Western, WB
6507-IL/CF
Species: Hu
Applications: BA
NBP2-46157
Species: Hu
Applications: Flow, IHC,  IHC-P, WB
AF5366
Species: Hu, Mu, Rt
Applications: Simple Western, WB
NB100-64347
Species: Hu
Applications: Flow, IHC, IHC-Fr,  IHC-P
NBP1-81614
Species: Hu
Applications: ICC/IF, IHC,  IHC-P, WB
NBP1-19371
Species: Ca, Hu, Mu, Po, Rb, Rt
Applications: Dual ISH-IHC, Flow, ICC/IF, IHC, IHC-Fr,  IHC-P, Simple Western, WB
AF594
Species: Mu
Applications: ELISA(Cap), ELISA(Det), ELISA(Sta), ICC, Neut, WB
NB600-1441
Species: Ca, Hu, Mu, Po
Applications: Flow, ICC/IF, IHC, IHC-Fr,  IHC-P, KD

Publications for IRF4 Antibody (NBP3-44146) (0)

There are no publications for IRF4 Antibody (NBP3-44146).
By submitting your publication information earn gift cards and discounts for future purchases.

Reviews for IRF4 Antibody (NBP3-44146) (0)

There are no reviews for IRF4 Antibody (NBP3-44146). By submitting a review you will receive an Amazon e-Gift Card or Novus Product Discount.
  • Review with no image -- $10/€7/£6/$10 CAD/¥70 Yuan/¥1110 Yen
  • Review with an image -- $25/€18/£15/$25 CAD/¥150 Yuan/¥2500 Yen

Product General Protocols

Find general support by application which include: protocols, troubleshooting, illustrated assays, videos and webinars.

Video Protocols

WB Video Protocol

FAQs for IRF4 Antibody (NBP3-44146) (0)

There are no specific FAQs related to this product. Read our general customer & technical service FAQs.

Secondary Antibodies

 

Isotype Controls

Additional IRF4 Products

Research Areas for IRF4 Antibody (NBP3-44146)

Find related products by research area.

Blogs on IRF4

There are no specific blogs for IRF4, but you can read our latest blog posts.

Customers Who Bought This Also Bought

Contact Information

Product PDFs

Calculators

Concentration Calculator

The concentration calculator allows you to quickly calculate the volume, mass or concentration of your vial. Simply enter your mass, volume, or concentration values for your reagent and the calculator will determine the rest.

=
÷

Review this Product

Be the first to review our IRF4 Antibody (CL14615) - Azide and BSA Free and receive a gift card or discount.

Bioinformatics

Gene Symbol IRF4