Intelectin-2 Antibody (874029)

Images

 
Western blot shows lysates of human small intestine tissue. PVDF membrane was probed with 2 µg/mL of Mouse Anti-Human Intelectin-2 Monoclonal Antibody (Catalog # MAB8004) followed by HRP-conjugated Anti-Mouse IgG ...read more
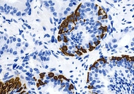
Intelectin-2 was detected in formalin fixed paraffin-embedded sections of human small intestine using Mouse Anti-Human Intelectin-2 Monoclonal Antibody (Catalog # MAB8004) at 5 µg/mL overnight at 4 °C. Tissue was ...read more

Product Details

Summary
Reactivity HuSpecies Glossary
Applications WB, IHC
Clone
874029
Clonality
Monoclonal
Host
Mouse
Conjugate
Unconjugated
Concentration
LYOPH

Order Details

Intelectin-2 Antibody (874029) Summary

Immunogen
Chinese hamster ovary cell line CHO-derived recombinant human Intelectin-2
Met1-Tyr324
Accession # Q8WWU7
Specificity
Detects human Intelectin-2 in ELISA. In Direct ELISA, no cross-reactivity with recombinant human (rh) Intelectin-1, recombinant mouse (rm) Intelectin-1, or rmIntelectin-2 is observed.
Source
N/A
Isotype
IgG1
Clonality
Monoclonal
Host
Mouse
Gene
ITLN2
Purity Statement
Protein A or G purified from hybridoma culture supernatant
Innovator's Reward
Test in a species/application not listed above to receive a full credit towards a future purchase.

Applications/Dilutions

Dilutions
  • Immunohistochemistry 8-25 ug/mL
  • Western Blot 2 ug/mL
Reviewed Applications
Read 1 Review rated 5
using
MAB8004 in the following applications:

Packaging, Storage & Formulations

Storage
Use a manual defrost freezer and avoid repeated freeze-thaw cycles.
  • 12 months from date of receipt, -20 to -70 °C as supplied.
  • 1 month, 2 to 8 °C under sterile conditions after reconstitution.
  • 6 months, -20 to -70 °C under sterile conditions after reconstitution.
Buffer
Lyophilized from a 0.2 μm filtered solution in PBS with Trehalose. *Small pack size (SP) is supplied either lyophilized or as a 0.2 µm filtered solution in PBS.
Preservative
No Preservative
Concentration
LYOPH
Reconstitution Instructions
Reconstitute at 0.5 mg/mL in sterile PBS.

Notes

This product is produced by and ships from R&D Systems, Inc., a Bio-Techne brand.

Alternate Names for Intelectin-2 Antibody (874029)

  • HL-2
  • intelectin 2
  • Intelectin2
  • Intelectin-2
  • Intelectin-b
  • Itln1b
  • ITLN2
  • Itlnb
  • UNQ2789/PRO7179

Background

Intelectin-2 (ITLN-2; also endothelial lectin 2 and HL-2) is a 37-41 kDa, likely Ca-dependent carbohydrate-binding lectin that is a member of the X-lectin family of molecules.  It is secreted by intestinal Paneth cells, and appears to participate in fungal microbe recognition.  The human ITLN-2 precursor is 325 amino acids (aa) in length (SwissProt #:Q8WWU7).  It contains a 26 aa signal sequence and a 299 aa mature region.  Although mouse ITLN-2 is reportedly GPI-linked, and mouse and human ITLN-2 show considerable C-terminal aa identity, it is not known if human ITNL-2 is also GPI-linked.  There is one fibrinogen-related domain in the mature molecule (aa 44-267).  One potential splice variant is reported that shows a premature truncation after Gly264.  Over aa 29-324, human ITLN-2 shares 79% aa sequence identity with mouse ITLN-2/ITLN-1b, and 85% aa sequence identity with human ITLN-1.      

Limitations

This product is for research use only and is not approved for use in humans or in clinical diagnosis. Primary Antibodies are guaranteed for 1 year from date of receipt.

Customers Who Viewed This Item Also Viewed...

AF4254
Species: Hu
Applications: ICC, IHC, WB
NBP1-84463
Species: Hu
Applications: IHC,  IHC-P, IP
NBP1-80104
Species: Hu
Applications: WB
NBP1-83192
Species: Hu
Applications: ICC/IF, IHC,  IHC-P, WB
NBP1-88582
Species: Hu
Applications: ICC/IF, IHC,  IHC-P, WB
NBP1-60150
Species: Hu, Mu, Rt
Applications: ELISA, Flow, ICC/IF, IHC, IHC-Fr, WB
H00029956-M01A
Species: Hu, Mu
Applications: ELISA, IHC, WB
NBP2-20214
Species: Hu, Mu
Applications: ICC/IF, IHC,  IHC-P, WB
NBP1-47791
Species: Hu, Mu, Rt
Applications: ChIP, ICC/IF, IHC,  IHC-P, WB
NBP1-32767
Species: Hu, Mu, Rt
Applications: ICC/IF, IHC,  IHC-P, WB
NBP3-46020
Species: Hu, Mu, Rt
Applications: ELISA, IHC, WB
NBP1-19371
Species: Ca, Hu, Mu, Po, Rb, Rt
Applications: Dual ISH-IHC, Flow, ICC/IF, IHC, IHC-Fr,  IHC-P, Simple Western, WB
H00006124-M01
Species: Hu, Mu, Rt
Applications: ELISA, ICC/IF, S-ELISA, WB
H00058516-B02P
Species: Hu
Applications: ICC/IF, IHC,  IHC-P, KD, WB
NBP3-21878
Species: Hu, Mu, Rt
Applications: Flow, ICC/IF, WB
NBP2-15196
Species: Bv(-), Ch, Fe, Hu, Ma, Pm, Mu, Po, Rb, Rt
Applications: DB, Flow-IC, Flow, ICC/IF, IHC, IHC-Fr,  IHC-P, WB
NB200-541
Species: Mu
Applications: IA, ICC/IF, IHC, IHC-Fr, IP, WB
6507-IL/CF
Species: Hu
Applications: BA
NBP3-46613
Species: Hu, Mu, Rt, Ze
Applications: ELISA, ICC/IF, IHC, WB
MAB8004
Species: Hu
Applications: WB, IHC

Publications for Intelectin-2 Antibody (MAB8004) (0)

There are no publications for Intelectin-2 Antibody (MAB8004).
By submitting your publication information earn gift cards and discounts for future purchases.

Review for Intelectin-2 Antibody (MAB8004) (1) 51

Average Rating: 5
(Based on 1 review)
We have 1 review tested in 1 species: Human.

Reviews using MAB8004:
Filter by Applications
 IHC-P
(1)
All Applications
Filter by Species
Human
(1)
All Species
Images Ratings Applications Species Date Details
Immunohistochemistry-Paraffin Intelectin-2 MAB8004
Enlarge
5
reviewed by:
Verified Customer
 IHC-P Human 04/09/2022
View

Summary

ApplicationImmunohistochemistry-Paraffin
Sample TestedIntestine
SpeciesHuman
Lot874029

Comments

CommentsIntestine tissue was stained at 5 ug/mL overnight at 4C

Product General Protocols

Find general support by application which include: protocols, troubleshooting, illustrated assays, videos and webinars.

Video Protocols

WB Video Protocol

FAQs for Intelectin-2 Antibody (MAB8004) (0)

There are no specific FAQs related to this product. Read our general customer & technical service FAQs.

Customers Who Bought This Also Bought

Contact Information

Product PDFs

Calculators

Concentration Calculator

The concentration calculator allows you to quickly calculate the volume, mass or concentration of your vial. Simply enter your mass, volume, or concentration values for your reagent and the calculator will determine the rest.

=
÷

Recent Reviews

5
5
1
4
0
3
0
2
0
1
0

Verified Customer
04/09/2022
Application:  IHC-P
Species: Human

Bioinformatics

Gene Symbol ITLN2
Uniprot