INSM1 Antibody (CL11630) - Azide and BSA Free

Images

 
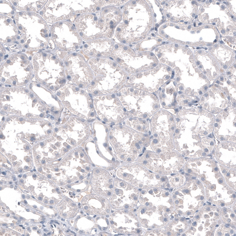
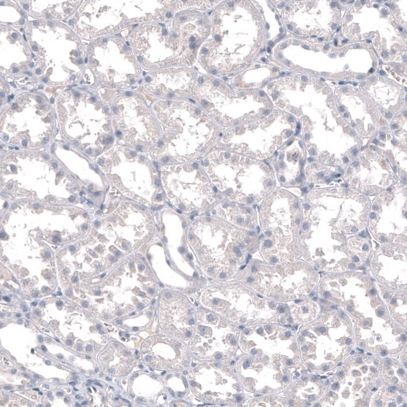
Staining of human kidney shows no positivity in cells in tubules as expected.
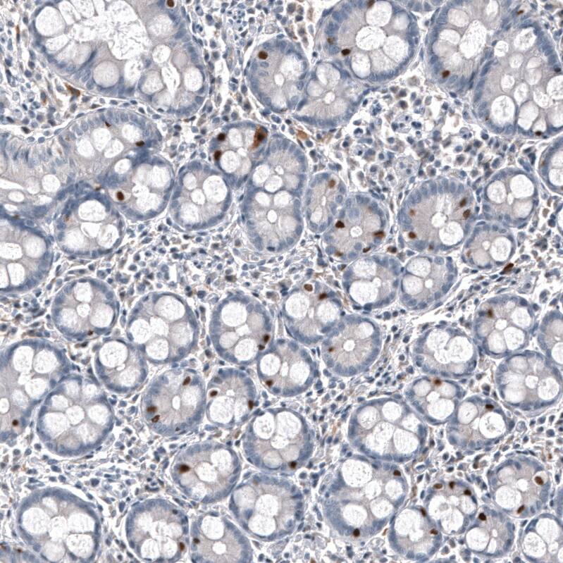
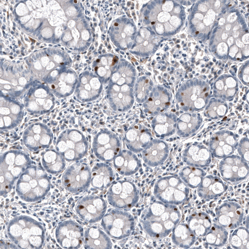
Staining of human duodenum shows strong nuclear positivity in subset of glandular cells.
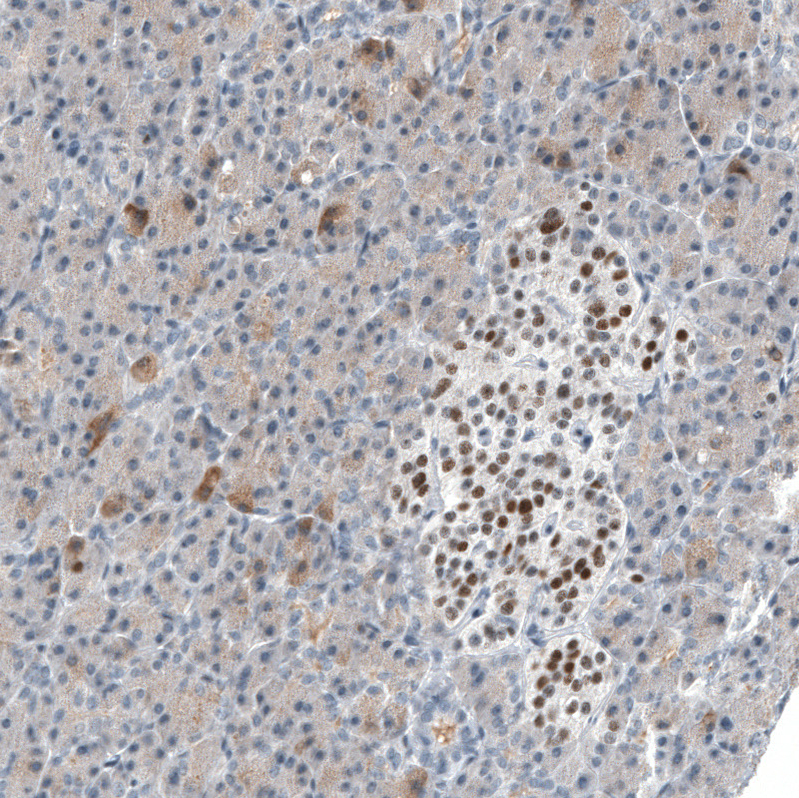
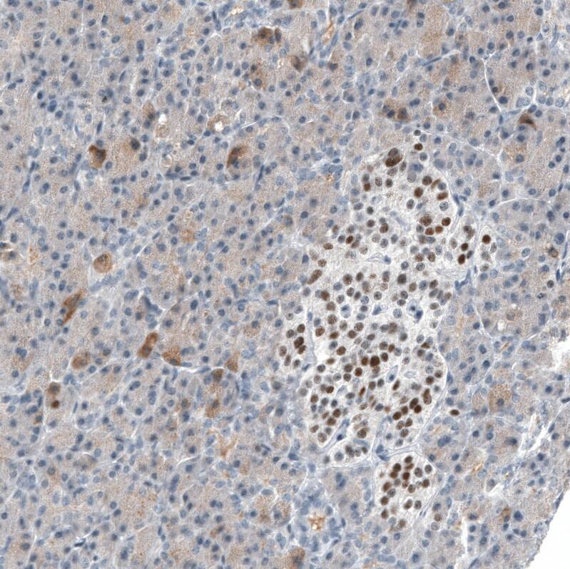
Staining of human pancreas shows strong nuclear positivity in islets of Langerhans.
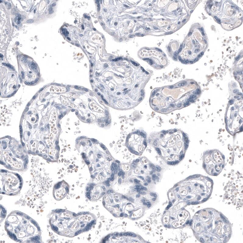
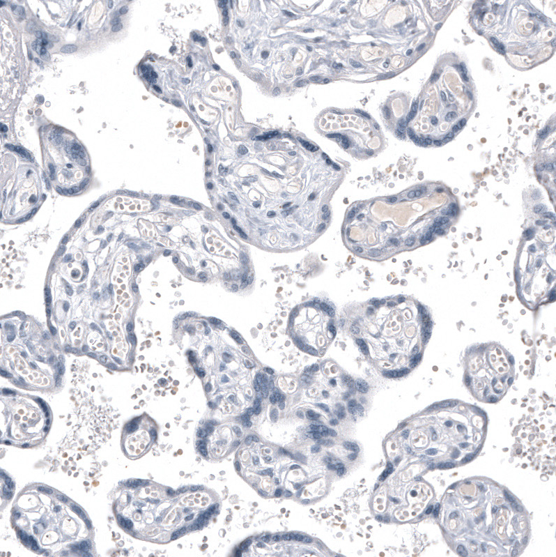
Staining of human placenta shows no positivity in trophoblastic cells as expected.

Product Details

Summary
Reactivity HuSpecies Glossary
Applications IHC
Clone
CL11630
Clonality
Monoclonal
Host
Mouse
Conjugate
Unconjugated
Format
Azide and BSA Free
Concentration
LYOPH

Order Details

INSM1 Antibody (CL11630) - Azide and BSA Free Summary

Description
Novus Biologicals Mouse INSM1 Antibody (CL11630) - Azide and BSA Free (NBP3-15120) is a monoclonal antibody validated for use in IHC. All Novus Biologicals antibodies are covered by our 100% guarantee.
Immunogen
This antibody was generated using a synthetic peptide of Q01101, with the exact immunogen sequence remaining proprietary.
Isotype
IgG1
Clonality
Monoclonal
Host
Mouse
Gene
INSM1
Purity
Protein A purified
Innovator's Reward
Test in a species/application not listed above to receive a full credit towards a future purchase.

Applications/Dilutions

Dilutions
  • Immunohistochemistry-Paraffin 1:50-1:200
Application Notes
For IHC-Paraffin, HIER pH 6 retrieval is recommended.

Packaging, Storage & Formulations

Storage
Store at 4C short term. Aliquot and store at -20C long term. Avoid freeze-thaw cycles.
Buffer
Lyophilized from a 0.2 um filtered solution in PBS with Trehalose
Preservative
No Preservative
Concentration
LYOPH
Purity
Protein A purified
Reconstitution Instructions
Centrifuge the vial of lyophilized antibody at 12,000 x g for 20 seconds. Reconstitute by adding sterile, distilled water to achieve a final antibody concentration of 1mg/ml.

Alternate Names for INSM1 Antibody (CL11630) - Azide and BSA Free

  • IA1IA-1
  • insulinoma-associated 1
  • insulinoma-associated protein 1
  • Zinc finger protein IA-1

Background

Insulinoma-associated 1 (INSM1) gene is intronless and encodes a protein containing both a zinc finger DNA-binding domain and a putative prohormone domain. This gene is a sensitive marker for neuroendocrine differentiation of human lung tumors. (provided by RefSeq)

Limitations

This product is for research use only and is not approved for use in humans or in clinical diagnosis. Primary Antibodies are guaranteed for 1 year from date of receipt.

Customers Who Viewed This Item Also Viewed...

MAB7906
Species: Hu
Applications: IHC, Simple Western, WB
AF2746
Species: Hu, Mu
Applications: ICC, WB
AF3444
Species: Hu
Applications: IHC, WB
NBP1-49672
Species: Hu, Mu, Rt
Applications: ICC/IF, IHC, IHC-Fr,  IHC-P, In vitro, Simple Western, WB
NBP2-01800
Species: Ca, Hu, Pm, Mu, Rt
Applications: Flow, ICC/IF, IHC,  IHC-P, WB
AF2567
Species: Mu
Applications: IHC, WB
NBP1-31411
Species: Hu, Mu
Applications: ICC/IF, IHC,  IHC-P, WB
AF8150
Species: Hu
Applications: ICC, ICFlow, Simple Western, WB
NB100-74398
Species: Hu, Mu, Pm, Rt
Applications: ICC/IF, IHC,  IHC-P, WB
AF2419
Species: Hu
Applications: Dual ISH-IHC, ICC, IHC, Simple Western, WB
MAB1417
Species: Bv, Hu, Mu
Applications: ICC, IHC
NBP2-32840
Species: Hu, Pm, Mu, Rt
Applications: Flow, ICC/IF, IHC,  IHC-P, WB
AF3540
Species: Hu
Applications: CyTOF-ready, ICFlow, WB
MAB3314
Species: Hu, Rt
Applications: IHC
AF2614
Species: Hu
Applications: ICC, WB
AF3876
Species: Hu, Mu
Applications: IHC, WB

Publications for INSM1 Antibody (NBP3-44009) (0)

There are no publications for INSM1 Antibody (NBP3-44009).
By submitting your publication information earn gift cards and discounts for future purchases.

Reviews for INSM1 Antibody (NBP3-44009) (0)

There are no reviews for INSM1 Antibody (NBP3-44009). By submitting a review you will receive an Amazon e-Gift Card or Novus Product Discount.
  • Review with no image -- $10/€7/£6/$10 CAD/¥70 Yuan/¥1110 Yen
  • Review with an image -- $25/€18/£15/$25 CAD/¥150 Yuan/¥2500 Yen

Product General Protocols

Find general support by application which include: protocols, troubleshooting, illustrated assays, videos and webinars.

FAQs for INSM1 Antibody (NBP3-44009) (0)

There are no specific FAQs related to this product. Read our general customer & technical service FAQs.

Secondary Antibodies

 

Isotype Controls

Additional INSM1 Products

Research Areas for INSM1 Antibody (NBP3-44009)

Find related products by research area.

Blogs on INSM1

There are no specific blogs for INSM1, but you can read our latest blog posts.

Customers Who Bought This Also Bought

Contact Information

Product PDFs

Calculators

Concentration Calculator

The concentration calculator allows you to quickly calculate the volume, mass or concentration of your vial. Simply enter your mass, volume, or concentration values for your reagent and the calculator will determine the rest.

=
÷

Review this Product

Be the first to review our INSM1 Antibody (CL11630) - Azide and BSA Free and receive a gift card or discount.

Bioinformatics

Gene Symbol INSM1