IMPG1 Antibody - BSA Free

Images

 
Immunohistochemistry-Paraffin: IMPG1 Antibody [NBP2-55575] - Staining of human eye, retina.
Immunohistochemistry-Paraffin: IMPG1 Antibody [NBP2-55575] - Staining of human cerebral cortex.
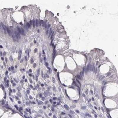
Immunohistochemistry-Paraffin: IMPG1 Antibody [NBP2-55575] - Staining of human colon.
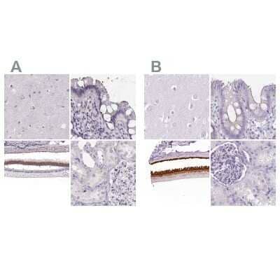
Independent Antibodies: Immunohistochemistry-Paraffin: IMPG1 Antibody [NBP2-55575] - Staining of human cerebral cortex, colon, eye, retina and kidney using Anti-IMPG1 antibody NBP2-55575 (A) shows similar protein ...read more

Product Details

Summary
Reactivity HuSpecies Glossary
Applications IHC
Clonality
Polyclonal
Host
Rabbit
Conjugate
Unconjugated
Format
BSA Free
Validated by:
 

Independent Antibodies

       

Order Details

View Available Formulations
Catalog# & Formulation Size Price

IMPG1 Antibody - BSA Free Summary

Description
Novus Biologicals Rabbit IMPG1 Antibody - BSA Free (NBP2-55575) is a polyclonal antibody validated for use in IHC. All Novus Biologicals antibodies are covered by our 100% guarantee.
Immunogen
This antibody was developed against a recombinant protein corresponding to the following amino acid sequence: NERTEEAECRCKPGYDSQGSLDGLEPGLCGPGTKECEVLQGKGAPCRLPDHSENQAYKTSVKKFQNQQNNKVISKRNSELLTVEYEEFNHQDWEGN
Isotype
IgG
Clonality
Polyclonal
Host
Rabbit
Gene
IMPG1
Purity
Affinity purified
Innovator's Reward
Test in a species/application not listed above to receive a full credit towards a future purchase.

Applications/Dilutions

Dilutions
  • Immunohistochemistry 1:5000 - 1:10000
  • Immunohistochemistry-Paraffin 1:5000 - 1:10000
Application Notes
For IHC-Paraffin, HIER pH 6 retrieval is recommended.
Control Peptide
IMPG1 Recombinant Protein Antigen (NBP2-55575PEP)

Packaging, Storage & Formulations

Storage
Store at 4C short term. Aliquot and store at -20C long term. Avoid freeze-thaw cycles.
Buffer
PBS (pH 7.2) and 40% Glycerol
Preservative
0.02% Sodium Azide
Purity
Affinity purified

Alternate Names for IMPG1 Antibody - BSA Free

  • GP147
  • interphotoreceptor matrix proteoglycan 1
  • IPM150
  • SPACR

Background

IMPG1 may interact with hyaluronan which may serve to form a basic macromolecular scaffold comprising the insoluble interphotoreceptor matrix

Limitations

This product is for research use only and is not approved for use in humans or in clinical diagnosis. Primary Antibodies are guaranteed for 1 year from date of receipt.

Customers Who Viewed This Item Also Viewed...

NBP2-54954
Species: Hu, Pm
Applications: IHC, IHC-Fr,  IHC-P
NBP1-85432
Species: Hu, Mu
Applications: IHC,  IHC-P, mIF
NBP2-16686
Species: Hu
Applications: ICC/IF, IHC,  IHC-P, KO, WB
NBP3-03895
Species: Hu, Mu, Rt
Applications: ELISA, ICC/IF, WB
NBP2-49118
Species: Hu
Applications: IHC,  IHC-P
AF1060
Species: Mu
Applications: ELISA(Cap), ELISA(Det), IHC, Simple Western, WB
NBP1-32899
Species: Hu, Mu, Rt
Applications: ICC/IF, IHC,  IHC-P, WB
NBP3-41339
Species: Hu, Mu, Rt
Applications: IHC,  IHC-P, WB
AF942
Species: Mu
Applications: CyTOF-ready, ICC, IHC, ICFlow, WB
QET00B
Species: Hu
Applications: ELISA
H00057804-M10
Species: Hu
Applications: ELISA, WB
NBP2-49672
Species: Hu
Applications: IHC,  IHC-P
H00005457-Q01
Species: Hu
Applications: ELISA, AP, PA, WB
NBP2-45528
Species: Hu, Mu, Rt
Applications: IHC,  IHC-P, WB
NBP1-30027
Species: Hu, Mu, Rt
Applications: ICC/IF, IHC,  IHC-P, WB
NB300-605
Species: Hu, Mu, Po, Rt
Applications: Flow, IB, ICC/IF, IHC, IHC-Fr,  IHC-P, In vitro, WB

Publications for IMPG1 Antibody (NBP2-55575) (0)

There are no publications for IMPG1 Antibody (NBP2-55575).
By submitting your publication information earn gift cards and discounts for future purchases.

Reviews for IMPG1 Antibody (NBP2-55575) (0)

There are no reviews for IMPG1 Antibody (NBP2-55575). By submitting a review you will receive an Amazon e-Gift Card or Novus Product Discount.
  • Review with no image -- $10/€7/£6/$10 CAD/¥70 Yuan/¥1110 Yen
  • Review with an image -- $25/€18/£15/$25 CAD/¥150 Yuan/¥2500 Yen

Product General Protocols

Find general support by application which include: protocols, troubleshooting, illustrated assays, videos and webinars.

FAQs for IMPG1 Antibody (NBP2-55575) (0)

There are no specific FAQs related to this product. Read our general customer & technical service FAQs.

Customers Who Bought This Also Bought

Contact Information

Product PDFs

Calculators

Concentration Calculator

The concentration calculator allows you to quickly calculate the volume, mass or concentration of your vial. Simply enter your mass, volume, or concentration values for your reagent and the calculator will determine the rest.

=
÷

Review this Product

Be the first to review our IMPG1 Antibody - BSA Free and receive a gift card or discount.

Bioinformatics

Gene Symbol IMPG1