ILVBL Antibody (OTI8B12) - Azide and BSA Free

Images

 
Western Blot: ILVBL Antibody (OTI8B12) - Azide and BSA Free [NBP2-71661] - HEK293T cells were transfected with the pCMV6-ENTRY control (Left lane) or pCMV6-ENTRY ILVBL (Right lane) cDNA for 48 hrs and lysed. Equivalent ...read more
Immunocytochemistry/ Immunofluorescence: ILVBL Antibody (OTI8B12) - Azide and BSA Free [NBP2-71661] - Staining of COS7 cells transiently transfected by pCMV6-ENTRY ILVBL.
Immunohistochemistry: ILVBL Antibody (OTI8B12) - Azide and BSA Free [NBP2-71661] - Staining of paraffin-embedded Human breast tissue using anti-ILVBL mouse monoclonal antibody.
Western Blot: ILVBL Antibody (OTI8B12) - Azide and BSA Free [NBP2-71661] - Analysis of extracts (35ug) from 9 different cell lines by using anti-ILVBL monoclonal antibody.
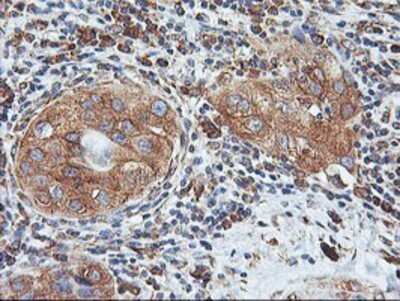
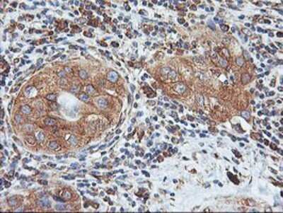
Immunohistochemistry: ILVBL Antibody (OTI8B12) - Azide and BSA Free [NBP2-71661] - Staining of paraffin-embedded Adenocarcinoma of Human colon tissue using anti-ILVBL mouse monoclonal antibody.
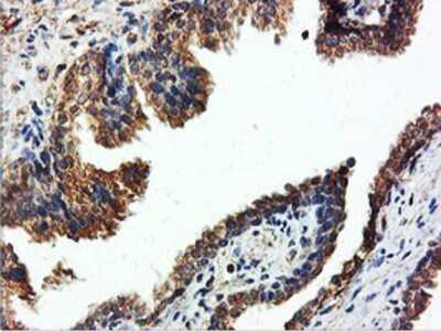
Immunohistochemistry: ILVBL Antibody (OTI8B12) - Azide and BSA Free [NBP2-71661] - Staining of paraffin-embedded Carcinoma of Human bladder tissue using anti-ILVBL mouse monoclonal antibody.
Immunohistochemistry: ILVBL Antibody (OTI8B12) - Azide and BSA Free [NBP2-71661] - Staining of paraffin-embedded Carcinoma of Human thyroid tissue using anti-ILVBL mouse monoclonal antibody.
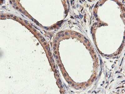
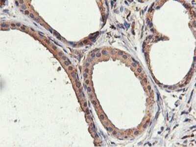
Immunohistochemistry: ILVBL Antibody (OTI8B12) - Azide and BSA Free [NBP2-71661] - Staining of paraffin-embedded Human prostate tissue using anti-ILVBL mouse monoclonal antibody.
CyTOF-ready: ILVBL Antibody (OTI8B12) - Azide and BSA Free [NBP2-71661] - Analysis of Hela cells, using anti-ILVBL antibody, (Red), compared to a nonspecific negative control antibody (Blue).
CyTOF-ready: ILVBL Antibody (OTI8B12) - Azide and BSA Free [NBP2-71661] - Analysis of Jurkat cells, using anti-ILVBL antibody, (Red), compared to a nonspecific negative control antibody (Blue).

Product Details

Summary
Reactivity Hu, Mu, Rt, Ca, Pm, PmSpecies Glossary
Applications WB, Flow, ICC/IF, IHC, CyTOF-ready
Clone
OTI8B12
Clonality
Monoclonal
Host
Mouse
Conjugate
Unconjugated
Format
Azide and BSA Free
Concentration
LYOPH

Order Details

ILVBL Antibody (OTI8B12) - Azide and BSA Free Summary

Description
Novus Biologicals Mouse ILVBL Antibody (OTI8B12) - Azide and BSA Free (NBP2-00883) is a monoclonal antibody validated for use in IHC, WB, Flow and ICC/IF. All Novus Biologicals antibodies are covered by our 100% guarantee.
Immunogen
Full length human recombinant protein of human ILVBL(NP_006835) produced in HEK293T cell.
Isotype
IgG2b
Clonality
Monoclonal
Host
Mouse
Gene
ILVBL
Purity
Immunogen affinity purified
Innovator's Reward
Test in a species/application not listed above to receive a full credit towards a future purchase.

Applications/Dilutions

Dilutions
  • CyTOF-ready
  • Flow Cytometry 1:100
  • Immunocytochemistry/ Immunofluorescence 1:100
  • Immunohistochemistry 1:150
  • Immunohistochemistry-Paraffin
  • Western Blot 1:500-2000
Theoretical MW
67.7 kDa.
Disclaimer note: The observed molecular weight of the protein may vary from the listed predicted molecular weight due to post translational modifications, post translation cleavages, relative charges, and other experimental factors.

Reactivity Notes

Please note that this antibody is reactive to Mouse and derived from the same host, Mouse. Mouse-On-Mouse blocking reagent may be needed for IHC and ICC experiments to reduce high background signal. You can find these reagents under catalog numbers PK-2200-NB and MP-2400-NB. Please contact Technical Support if you have any questions.

Packaging, Storage & Formulations

Storage
Store at -20C. Avoid freeze-thaw cycles.
Buffer
Lyophilized from PBS (pH 7.3) with 8% Trehalose
Preservative
No Preservative
Concentration
LYOPH
Purity
Immunogen affinity purified
Reconstitution Instructions
we recommend adding 100uL distilled water to a final antibody concentration of about 1 mg/mL. To use this carrier-free antibody for conjugation experiment, we strongly recommend performing another round of desalting process.

Alternate Names for ILVBL Antibody (OTI8B12) - Azide and BSA Free

  • acetolactate synthase homolog
  • acetolactate synthase-like protein
  • AHASFLJ39061,209L8
  • EC 2.2.1
  • EC 2.2.1.-
  • ILV2H
  • ilvB (bacterial acetolactate synthase)-like
  • IlvB-like protein
  • MGC1269
  • MGC19535

Background

The protein encoded by the ILVBL gene shares similarity with several thiamine pyrophosphate-binding proteins identified inbacteria, yeast, and plants. The highest degree of similarity is found with bacterial acetolactate synthases (AHAS),which are enzymes that catalyze the first step in branched-chain amino acid biosynthesis. (provided by RefSeq)

Limitations

This product is for research use only and is not approved for use in humans or in clinical diagnosis. Primary Antibodies are guaranteed for 1 year from date of receipt.

Customers Who Viewed This Item Also Viewed...

NBP1-81838
Species: Hu, Mu
Applications: IHC,  IHC-P, WB
NB100-182
Species: Av, Ca, Hu, Ma, Mu, Pm, Rt, Ze
Applications: ChIP, ChIP, Flow, IB, ICC/IF, IHC,  IHC-P, IP, KD, KO, RNAi, Simple Western, WB
NB100-74510
Species: Hu, Mu, Pm, Rt
Applications: ELISA, ICC/IF, IHC,  IHC-P, IP, WB
MAB2476
Species: Hu
Applications: IHC, WB
AF1436
Species: Mu
Applications: WB
NBP2-24915
Species: Bv, Hu, Mu, Rt
Applications: IHC,  IHC-P, WB
NB100-2737
Species: Hu
Applications: ICC/IF, IHC, IP, WB
NBP1-87822
Species: Hu, Mu, Rt
Applications: ICC/IF, IHC,  IHC-P, KD, WB
NBP1-28872
Species: Hu
Applications: ELISA, ICC/IF, IHC, IHC-Fr,  IHC-P, WB
NBP1-26618
Species: Hu
Applications: ChIP, IHC,  IHC-P, IP, WB
NBP2-36776
Species: Hu
Applications: ICC/IF, IHC,  IHC-P, KD, WB
NBP1-87311
Species: Hu, Mu, Rt
Applications: ICC/IF, IHC,  IHC-P, Simple Western, WB
NBP2-13286
Species: Hu, Mu, Rt
Applications: IHC,  IHC-P, WB
NBP3-46164
Species: Hu, Mu, Rt
Applications: ELISA, WB
NBP2-46518
Species: Hu
Applications: IHC,  IHC-P, WB
H00002729-M01
Species: Hu, Mu, Rt
Applications: ELISA, ICC/IF, WB
NBP2-14040
Species: Hu
Applications: IHC,  IHC-P, WB
NB100-64808
Species: Hu
Applications: ELISA, Flow, ICC/IF, IHC, IHC-Fr, IP, WB
NBP1-87441
Species: Hu, Mu, Rt
Applications: ICC/IF, IHC,  IHC-P, KD, WB
NBP2-71661
Species: Hu, Mu, Rt, Ca, Pm, Pm
Applications: WB, Flow, ICC/IF, IHC, CyTOF-ready

Publications for ILVBL Antibody (NBP2-71661) (0)

There are no publications for ILVBL Antibody (NBP2-71661).
By submitting your publication information earn gift cards and discounts for future purchases.

Reviews for ILVBL Antibody (NBP2-71661) (0)

There are no reviews for ILVBL Antibody (NBP2-71661). By submitting a review you will receive an Amazon e-Gift Card or Novus Product Discount.
  • Review with no image -- $10/€7/£6/$10 CAD/¥70 Yuan/¥1110 Yen
  • Review with an image -- $25/€18/£15/$25 CAD/¥150 Yuan/¥2500 Yen

Product General Protocols

Find general support by application which include: protocols, troubleshooting, illustrated assays, videos and webinars.

Video Protocols

WB Video Protocol
ICC/IF Video Protocol

FAQs for ILVBL Antibody (NBP2-71661) (0)

There are no specific FAQs related to this product. Read our general customer & technical service FAQs.

Secondary Antibodies

 

Isotype Controls

Additional ILVBL Products

Research Areas for ILVBL Antibody (NBP2-71661)

Find related products by research area.

Blogs on ILVBL

There are no specific blogs for ILVBL, but you can read our latest blog posts.

Customers Who Bought This Also Bought

Contact Information

Product PDFs

Calculators

Concentration Calculator

The concentration calculator allows you to quickly calculate the volume, mass or concentration of your vial. Simply enter your mass, volume, or concentration values for your reagent and the calculator will determine the rest.

=
÷

Review this Product

Be the first to review our ILVBL Antibody (OTI8B12) - Azide and BSA Free and receive a gift card or discount.

Bioinformatics

Gene Symbol ILVBL