IL-1 alpha/IL-1F1 Antibody

Images

 
Western Blot: IL-1 alpha/IL-1F1 Antibody [NBP2-16939] - Sample (30 ug of whole cell lysate) A: HepG2 12% SDS PAGE gel, diluted at 1:1000.
Immunocytochemistry/ Immunofluorescence: IL-1 alpha/IL-1F1 Antibody [NBP2-16939] - H1299 cells were fixed in 4% paraformaldehyde at RT for 15 min. Green: IL1 alpha protein stained by IL1 alpha antibody diluted at 1:500. ...read more
Immunohistochemistry-Paraffin: IL-1 alpha/IL-1F1 Antibody [NBP2-16939] - Human cervical carcinoma. IL1 alpha stained by IL1 alpha antibody diluted at 1:500.Antigen Retrieval: Citrate buffer, pH 6.0, 15 min.
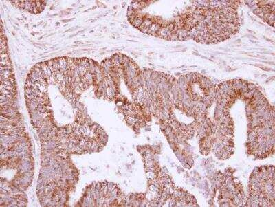
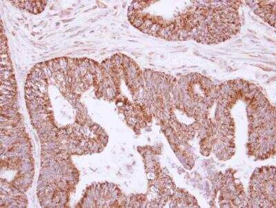
Immunohistochemistry-Paraffin: IL-1 alpha/IL-1F1 Antibody [NBP2-16939] - Human colon carcinoma, using IL1 alpha antibody at 1:250 dilution. Antigen Retrieval: Trilogy™ (EDTA based, pH 8.0) buffer, 15min.

Product Details

Summary
Product Discontinued
View other related IL-1 alpha/IL-1F1 Primary Antibodies

Order Details


    • Catalog Number
      NBP2-16939
    • Availability
      Product Discontinued

    Can't find what you are looking for? Use our Antibody Concierge Service & we will help you locate your antibody!

    Or feel free to contact us for alternative products.

IL-1 alpha/IL-1F1 Antibody Summary

Immunogen
Recombinant protein encompassing a sequence within the center region of human IL1 alpha. The exact sequence is proprietary.
Localization
Secreted
Isotype
IgG
Clonality
Polyclonal
Host
Rabbit
Gene
IL1A
Purity
Immunogen affinity purified
Innovator's Reward
Test in a species/application not listed above to receive a full credit towards a future purchase.

Applications/Dilutions

Dilutions
  • Immunocytochemistry/ Immunofluorescence 1:100-1:1000
  • Immunohistochemistry 1:100-1:1000
  • Immunohistochemistry-Paraffin 1:100-1:1000
  • Western Blot 1:500-1:3000
Theoretical MW
31 kDa.
Disclaimer note: The observed molecular weight of the protein may vary from the listed predicted molecular weight due to post translational modifications, post translation cleavages, relative charges, and other experimental factors.

Reactivity Notes

Immunogen displays the following percentage of sequence identity for non-tested species: Rhesus Macaque (89%)

Packaging, Storage & Formulations

Storage
Aliquot and store at -20C or -80C. Avoid freeze-thaw cycles.
Buffer
0.1M Tris-Glycine (pH7), 20% Glycerol
Preservative
0.01% Thimerosal
Purity
Immunogen affinity purified

Alternate Names for IL-1 alpha/IL-1F1 Antibody

  • BAF
  • Hematopoietin-1
  • IL1 alpha
  • IL-1 alpha
  • IL1
  • IL1A
  • IL-1A
  • IL1-ALPHA
  • IL1F1
  • IL-1F1
  • IL1F1hematopoietin-1
  • interleukin 1, alpha
  • interleukin-1 alpha
  • LAF
  • LEM
  • preinterleukin 1 alpha
  • pro-interleukin-1-alpha

Background

The protein encoded by this gene is a member of the interleukin 1 cytokine family. This cytokine is a pleiotropic cytokine involved in various immune responses, inflammatory processes, and hematopoiesis. This cytokine is produced by monocytes and macrophages as a proprotein, which is proteolytically processed and released in response to cell injury, and thus induces apoptosis. This gene and eight other interleukin 1 family genes form a cytokine gene cluster on chromosome 2. It has been suggested that the polymorphism of these genes is associated with rheumatoid arthritis and Alzheimer's disease. [provided by RefSeq]

Limitations

This product is for research use only and is not approved for use in humans or in clinical diagnosis. Primary Antibodies are guaranteed for 1 year from date of receipt.

Customers Who Viewed This Item Also Viewed...

M6000B
Species: Mu
Applications: ELISA
202-IL
Species: Hu
Applications: BA
DRA00B
Species: Hu
Applications: ELISA
6507-IL/CF
Species: Hu
Applications: BA
485-MI
Species: Mu
Applications: BA
DY417
Species: Mu
Applications: ELISA
7954-GM/CF
Species: Hu
Applications: BA
203-IL
Species: Hu
Applications: BA
7954-GM/CF
Species: Hu
Applications: BA
NBP1-89522
Species: Hu, Mu, Rt
Applications: ICC/IF, IHC,  IHC-P, WB
AF796
Species: Mu
Applications: AdBlk, IHC, WB
211-TBB/CF
Species: Hu
Applications: BA
NB100-1533
Species: Hu, Mu, Po, Rt, Sh
Applications: Flow, ICC/IF, IHC,  IHC-P, PEP-ELISA, WB
236-EG
Species: Hu
Applications: BA
⚠ WARNING: This product can expose you to chemicals including mercury, which is known to the State of California to cause reproductive toxicity with developmental effects.  For more information go to www.P65Warnings.ca.gov.

Publications for IL-1 alpha/IL-1F1 Antibody (NBP2-16939) (0)

There are no publications for IL-1 alpha/IL-1F1 Antibody (NBP2-16939).
By submitting your publication information earn gift cards and discounts for future purchases.

Reviews for IL-1 alpha/IL-1F1 Antibody (NBP2-16939) (0)

There are no reviews for IL-1 alpha/IL-1F1 Antibody (NBP2-16939). By submitting a review you will receive an Amazon e-Gift Card or Novus Product Discount.
  • Review with no image -- $10/€7/£6/$10 CAD/¥70 Yuan/¥1110 Yen
  • Review with an image -- $25/€18/£15/$25 CAD/¥150 Yuan/¥2500 Yen

Product General Protocols

Find general support by application which include: protocols, troubleshooting, illustrated assays, videos and webinars.

Video Protocols

WB Video Protocol
ICC/IF Video Protocol

FAQs for IL-1 alpha/IL-1F1 Antibody (NBP2-16939) (0)

There are no specific FAQs related to this product. Read our general customer & technical service FAQs.

Contact Information

Product PDFs

Calculators

Concentration Calculator

The concentration calculator allows you to quickly calculate the volume, mass or concentration of your vial. Simply enter your mass, volume, or concentration values for your reagent and the calculator will determine the rest.

=
÷

Review this Product

Be the first to review our IL-1 alpha/IL-1F1 Antibody and receive a gift card or discount.

Bioinformatics

Gene Symbol IL1A
Uniprot