IGDCC3 Antibody

Images

 
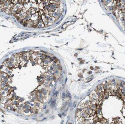
Immunohistochemistry-Paraffin: IGDCC3 Antibody [NBP1-81666] - Staining of human testis shows moderate cytoplasmic and membranous positivity in cells in seminiferous ducts, Leydig cells showed moderate cytoplasmic ...read more

Product Details

Summary
Product Discontinued
View other related IGDCC3 Primary Antibodies

Order Details


    • Catalog Number
      NBP1-81666
    • Availability
      Product Discontinued

    Can't find what you are looking for? Use our Antibody Concierge Service & we will help you locate your antibody!

    Or feel free to contact us for alternative products.

IGDCC3 Antibody Summary

Immunogen
This antibody was developed against Recombinant Protein corresponding to amino acids: SAELAFAVEPSDDVAVPGQPIVLDCRVEGTPPVRITWRKNGVELPESTHSTLLANGSLMIRHFRLEPGGSPSDEGDYECVAQNRFGLVVSRKARIQAATMSDFHVHPQATVGEEGGVARFQCQIHGLPKPLITWEKN
Isotype
IgG
Clonality
Polyclonal
Host
Rabbit
Gene
IGDCC3
Purity
Immunogen affinity purified
Innovator's Reward
Test in a species/application not listed above to receive a full credit towards a future purchase.

Applications/Dilutions

Dilutions
  • Immunohistochemistry 1:50 - 1:200
  • Immunohistochemistry-Paraffin 1:50 - 1:200
Application Notes
For IHC-Paraffin, HIER pH 6 retrieval is recommended.

Reactivity Notes

Immunogen displays the following percentage of sequence identity for non-tested species: Mouse (86%), Rat (82%)

Packaging, Storage & Formulations

Storage
Store at 4C short term. Aliquot and store at -20C long term. Avoid freeze-thaw cycles.
Buffer
PBS (pH 7.2) and 40% Glycerol
Preservative
0.02% Sodium Azide
Purity
Immunogen affinity purified

Alternate Names for IGDCC3 Antibody

  • HsT18880
  • IGDCC3
  • immunoglobulin superfamily DCC subclass member 3
  • immunoglobulin superfamily, DCC subclass, member 3
  • PUNC
  • Putative neuronal cell adhesion moleculePUNCHsT18880

Limitations

This product is for research use only and is not approved for use in humans or in clinical diagnosis. Primary Antibodies are guaranteed for 1 year from date of receipt.

Customers Who Viewed This Item Also Viewed...

AF1394
Species: Mu
Applications: ELISA(Cap), ELISA(Det), ELISA(Sta), WB
AF1079
Species: Hu, Mu
Applications: Block, IHC, Simple Western, WB
AF4919
Species: Mu
Applications: IHC, WB
AF844
Species: Mu
Applications: Block, IHC, WB
AF942
Species: Mu
Applications: CyTOF-ready, ICC, IHC, ICFlow, WB
NBP1-91258
Species: Bv, Ca, Eq, Fe, Hu, Mu, Po, Rt
Applications: ICC/IF, IHC, IHC-Fr,  IHC-P, Simple Western, WB
314-BP
Species: Hu
Applications: BA, BA
AF1837
Species: Hu
Applications: ICC, IHC, Simple Western, WB
AF5247
Species: Hu
Applications: IHC, WB
NB100-687
Species: Hu, Mu, Rt
Applications: Flow, ICC/IF, IHC,  IHC-P, Simple Western, WB
NBP1-90095
Species: Hu
Applications: IHC,  IHC-P
AF960
Species: Hu
Applications: CyTOF-ready, Flow, ICC, IHC, Simple Western, WB
NBP2-50465
Species: Hu
Applications: CyTOF-ready, Flow-CS, Flow, IHC,  IHC-P
AF3937
Species: Hu
Applications: IHC, Simple Western, WB
AF748
Species: Hu, Mu
Applications: CyTOF-ready, Dual ISH-IHC, Flow, ICC, IHC, Simple Western, WB
NBP2-45731
Species: Ca, Hu, Pm
Applications: IHC,  IHC-P, WB
MAB1368
Species: Hu, Mu
Applications: CyTOF-ready, ICC, ICFlow, KO, Simple Western, WB
NBP2-52452
Species: Hu
Applications: CyTOF-ready, ELISA, Flow, IHC,  IHC-P, WB

Publications for IGDCC3 Antibody (NBP1-81666) (0)

There are no publications for IGDCC3 Antibody (NBP1-81666).
By submitting your publication information earn gift cards and discounts for future purchases.

Reviews for IGDCC3 Antibody (NBP1-81666) (0)

There are no reviews for IGDCC3 Antibody (NBP1-81666). By submitting a review you will receive an Amazon e-Gift Card or Novus Product Discount.
  • Review with no image -- $10/€7/£6/$10 CAD/¥70 Yuan/¥1110 Yen
  • Review with an image -- $25/€18/£15/$25 CAD/¥150 Yuan/¥2500 Yen

Product General Protocols

Find general support by application which include: protocols, troubleshooting, illustrated assays, videos and webinars.

FAQs for IGDCC3 Antibody (NBP1-81666) (0)

There are no specific FAQs related to this product. Read our general customer & technical service FAQs.

Contact Information

Product PDFs

Calculators

Concentration Calculator

The concentration calculator allows you to quickly calculate the volume, mass or concentration of your vial. Simply enter your mass, volume, or concentration values for your reagent and the calculator will determine the rest.

=
÷

Review this Product

Be the first to review our IGDCC3 Antibody and receive a gift card or discount.

Bioinformatics

Gene Symbol IGDCC3