IDH2 Antibody (JA55-31)

Images

 
Western Blot: IDH2 Antibody (JA55-31) [NBP2-66899] - Analysis of IDH2 on different lysates using anti-IDH2 antibody at 1/1,000 dilution. Positive control:Line 1: Mouse heart Line 2: Rat heart Line 3: 293T
Immunohistochemistry-Paraffin: IDH2 Antibody (JA55-31) [NBP2-66899] - Analysis of paraffin-embedded rat heart tissue using anti-IDH2 antibody. Counter stained with hematoxylin.
Flow Cytometry: IDH2 Antibody (JA55-31) [NBP2-66899] - Analysis of MCF-7 cells with IDH2 antibody at 1/100 dilution (red) compared with an unlabelled control (cells without incubation with primary antibody; black).
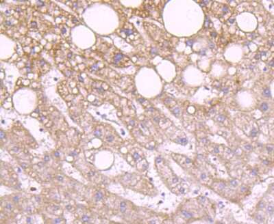
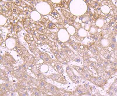
Immunohistochemistry-Paraffin: IDH2 Antibody (JA55-31) [NBP2-66899] - Analysis of paraffin-embedded human liver tissue using anti-IDH2 antibody. Counter stained with hematoxylin.
Immunohistochemistry-Paraffin: IDH2 Antibody (JA55-31) [NBP2-66899] - Analysis of paraffin-embedded human prostate tissue using anti-IDH2 antibody. Counter stained with hematoxylin.
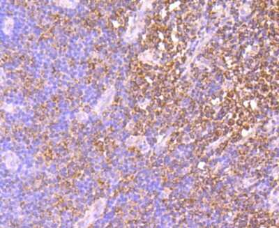
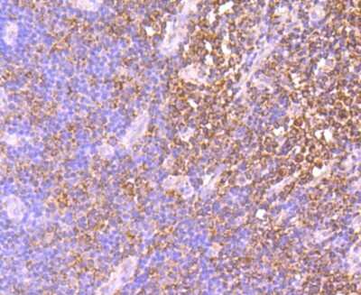
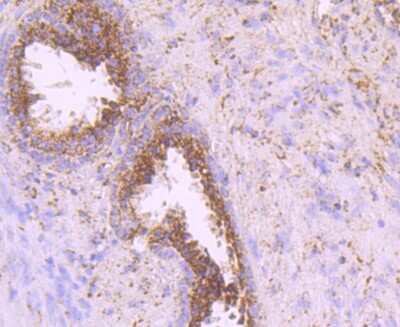
Immunohistochemistry-Paraffin: IDH2 Antibody (JA55-31) [NBP2-66899] - Analysis of paraffin-embedded human tonsil tissue using anti-IDH2 antibody. Counter stained with hematoxylin.
Immunohistochemistry-Paraffin: IDH2 Antibody (JA55-31) [NBP2-66899] - Analysis of paraffin-embedded mouse heart tissue using anti-IDH2 antibody. Counter stained with hematoxylin.

Product Details

Summary
Product Discontinued
View other related IDH2 Primary Antibodies

Order Details


    • Catalog Number
      NBP2-66899
    • Availability
      Product Discontinued

    Can't find what you are looking for? Use our Antibody Concierge Service & we will help you locate your antibody!

    Or feel free to contact us for alternative products.

IDH2 Antibody (JA55-31) Summary

Additional Information
Recombinant Monoclonal Antibody.
Immunogen
Synthetic peptide within Human IDH2 aa 403-452 / 452. (SwissProt: P48735 Human; SwissProt: P54071 Mouse; SwissProt: P56574 Rat)
Localization
Mitochondrion.
Isotype
IgG
Clonality
Monoclonal
Host
Rabbit
Gene
IDH2
Purity
Protein A purified
Innovator's Reward
Test in a species/application not listed above to receive a full credit towards a future purchase.

Applications/Dilutions

Dilutions
  • Flow Cytometry 1:50-1:100
  • Immunohistochemistry
  • Immunohistochemistry-Paraffin 1:50-1:200
  • Western Blot 1:500-1:2000

Packaging, Storage & Formulations

Storage
Store at 4C short term. Aliquot and store at -20C long term. Avoid freeze-thaw cycles.
Buffer
TBS (pH7.4), 0.05% BSA, 40% Glycerol
Preservative
0.05% Sodium Azide
Concentration
1 mg/ml
Purity
Protein A purified

Alternate Names for IDH2 Antibody (JA55-31)

  • D2HGA2
  • EC 1.1.1.42
  • ICD-M
  • IDH
  • IDHM
  • IDP
  • IDPM
  • isocitrate dehydrogenase [NADP], mitochondrial
  • isocitrate dehydrogenase 2 (NADP+), mitochondrial
  • mNADP-IDH
  • NADP(+)-specific ICDH
  • Oxalosuccinate decarboxylase

Background

Isocitrate dehydrogenases catalyze the oxidative decarboxylation of isocitrate to 2-oxoglutarate. These enzymes belong to two distinct subclasses, one of which utilizes NAD(+) as the electron acceptor and the other NADP(+). Five isocitrate dehydrogenases have been reported: three NAD(+)-dependent isocitrate dehydrogenases, which localize to the mitochondrial matrix, and two NADP(+)-dependent isocitrate dehydrogenases, one of which is mitochondrial and the other predominantly cytosolic. Each NADP(+)-dependent isozyme is a homodimer. The protein encoded by this gene is the NADP(+)-dependent isocitrate dehydrogenase found in the mitochondria. It plays a role in intermediary metabolism and energy production. This protein may tightly associate or interact with the pyruvate dehydrogenase complex.

Limitations

This product is for research use only and is not approved for use in humans or in clinical diagnosis. Primary Antibodies are guaranteed for 1 year from date of receipt.

Customers Who Viewed This Item Also Viewed...

MAB7049
Species: Hu
Applications: ICC, IHC, KO, Simple Western, WB
NB200-103
Species: Hu, Mu, Rt, Xp(-), Ye
Applications: CyTOF-ready, ELISA, Flow-IC, Flow, ICC/IF, IHC, IHC-Fr,  IHC-P, IP, WB
NBP2-02541
Species: Hu, Pm, Mu, Pm, Rt
Applications: ICC/IF, IHC,  IHC-P, WB
NBP1-86036
Species: Hu, Mu, Rt
Applications: ICC/IF, IHC,  IHC-P, KD, WB
NB110-61646
Species: Hu, Mu
Applications: ICC/IF, IHC,  IHC-P, IP, WB
MAB812
Species: Hu
Applications: CyTOF-ready, Flow
NBP2-67429
Species: Hu, Mu, Rt
Applications: ICC/IF, IHC,  IHC-P, IP, WB
NBP2-32104
Species: Hu
Applications: IHC,  IHC-P, IP, WB
NB100-168
Species: Hu, Mu(-)
Applications: CyTOF-ready, Flow-IC, Flow, ICC/IF, IHC,  IHC-P, Simple Western, WB
H00171023-M05
Species: Hu
Applications: ELISA, IP, WB
NBP1-32398
Species: Hu, Mu, Rt
Applications: ICC/IF, IHC,  IHC-P, IP, KD, WB
NBP1-89559
Species: Hu
Applications: IHC,  IHC-P, WB
NBP3-05078
Species: Hu, Mu, Rt
Applications: ICC/IF, IHC,  IHC-P, WB
NBP1-87069
Species: Hu, Mu
Applications: ICC/IF, IHC,  IHC-P, KD, Simple Western, WB
NBP2-45978
Species: Hu
Applications: Flow, IHC,  IHC-P, WB
NBP2-01506
Species: Hu
Applications: Flow, ICC/IF, IHC,  IHC-P, WB
NBP1-91942
Species: Hu, Mu, Rt
Applications: IHC,  IHC-P, WB
AF009
Species: Hu
Applications: IHC, WB
NBP1-31589
Species: Hu, Mu
Applications: ICC/IF, IHC,  IHC-P, WB
NBP2-66899
Species: Hu, Mu, Rt
Applications: WB, Flow, IHC

Publications for IDH2 Antibody (NBP2-66899) (0)

There are no publications for IDH2 Antibody (NBP2-66899).
By submitting your publication information earn gift cards and discounts for future purchases.

Reviews for IDH2 Antibody (NBP2-66899) (0)

There are no reviews for IDH2 Antibody (NBP2-66899). By submitting a review you will receive an Amazon e-Gift Card or Novus Product Discount.
  • Review with no image -- $10/€7/£6/$10 CAD/¥70 Yuan/¥1110 Yen
  • Review with an image -- $25/€18/£15/$25 CAD/¥150 Yuan/¥2500 Yen

Product General Protocols

Find general support by application which include: protocols, troubleshooting, illustrated assays, videos and webinars.

Video Protocols

WB Video Protocol

FAQs for IDH2 Antibody (NBP2-66899) (0)

There are no specific FAQs related to this product. Read our general customer & technical service FAQs.

Secondary Antibodies

 

Isotype Controls

Additional IDH2 Products

Research Areas for IDH2 Antibody (NBP2-66899)

Find related products by research area.

Blogs on IDH2

There are no specific blogs for IDH2, but you can read our latest blog posts.

Contact Information

Product PDFs

Calculators

Concentration Calculator

The concentration calculator allows you to quickly calculate the volume, mass or concentration of your vial. Simply enter your mass, volume, or concentration values for your reagent and the calculator will determine the rest.

=
÷

Review this Product

Be the first to review our IDH2 Antibody (JA55-31) and receive a gift card or discount.

Bioinformatics

Gene Symbol IDH2