HSP60 Antibody (ST48-04)

Images

 
Western Blot: HSP60 Antibody (ST48-04) [NBP2-67517] - Analysis of Hsp60 on different lysates using anti-Hsp60 antibody at 1/1,000 dilution. Positive control: Lane 1: Hela Lane 2: MCF-7 Lane 3: PANC-1 Lane 4: SW480
Immunohistochemistry-Paraffin: HSP60 Antibody (ST48-04) [NBP2-67517] - Immunohistochemical analysis of paraffin-embedded human kidney tissue using anti-HSP60 antibody. The section was pre-treated using heat mediated ...read more
Immunohistochemistry-Paraffin: HSP60 Antibody (ST48-04) [NBP2-67517] - Analysis of paraffin-embedded human kidney tissue using anti-Hsp60 antibody. Counter stained with hematoxylin.
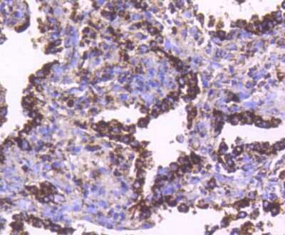
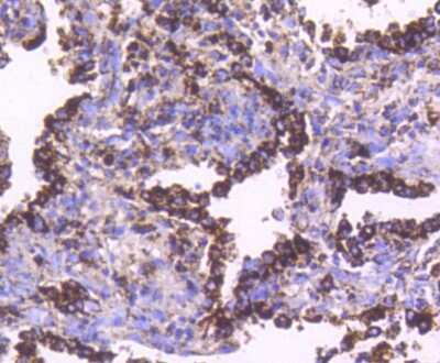
Immunohistochemistry-Paraffin: HSP60 Antibody (ST48-04) [NBP2-67517] - Analysis of paraffin-embedded human lung cancer tissue using anti-Hsp60 antibody. Counter stained with hematoxylin.
Immunohistochemistry-Paraffin: HSP60 Antibody (ST48-04) [NBP2-67517] - Analysis of paraffin-embedded mouse heart tissue using anti-Hsp60 antibody. Counter stained with hematoxylin.
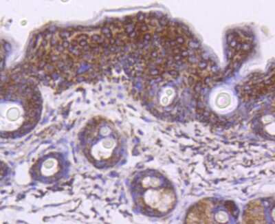
Immunohistochemistry-Paraffin: HSP60 Antibody (ST48-04) [NBP2-67517] - Analysis of paraffin-embedded mouse skin tissue using anti-Hsp60 antibody. Counter stained with hematoxylin.

Product Details

Summary
Product Discontinued
View other related HSP60 Primary Antibodies

Order Details


    • Catalog Number
      NBP2-67517
    • Availability
      Product Discontinued

    Can't find what you are looking for? Use our Antibody Concierge Service & we will help you locate your antibody!

    Or feel free to contact us for alternative products.

HSP60 Antibody (ST48-04) Summary

Additional Information
Recombinant Monoclonal Antibody.
Immunogen
Synthetic peptide within Human HSP60 aa 421-457 / 573. (SwissProt: P10809 Human; SwissProt: P63038 Mouse; SwissProt: P63039 Rat)
Localization
Mitochondrion matrix.
Isotype
IgG
Clonality
Monoclonal
Host
Rabbit
Gene
HSPD1
Purity
Protein A purified
Innovator's Reward
Test in a species/application not listed above to receive a full credit towards a future purchase.

Applications/Dilutions

Dilutions
  • Immunohistochemistry
  • Immunohistochemistry-Paraffin 1:50-1:200
  • Western Blot 1:500-1:2000

Packaging, Storage & Formulations

Storage
Store at 4C short term. Aliquot and store at -20C long term. Avoid freeze-thaw cycles.
Buffer
TBS (pH7.4), 0.05% BSA, 40% Glycerol
Preservative
0.05% Sodium Azide
Concentration
1 mg/ml
Purity
Protein A purified

Alternate Names for HSP60 Antibody (ST48-04)

  • 60 kDa chaperonin
  • Chaperonin 60
  • cpn60
  • GROEL
  • heat shock 60kD protein 1 (chaperonin)
  • heat shock 60kDa protein 1 (chaperonin)
  • Heat shock protein 60
  • heat shock protein 65
  • HLD4
  • HSP60
  • HSP-60
  • HSP60SPG13
  • HSP65
  • HSPD1
  • HuCHA60
  • Mitochondrial matrix protein P1,60 kDa heat shock protein, mitochondrial
  • P60 lymphocyte protein
  • short heat shock protein 60 Hsp60s1
  • spastic paraplegia 13 (autosomal dominant)
  • SPG13

Background

Hsp60 is a member of a highly conserved family which includes molecular chaperones from several species such as plant Hsp60 (known as Rubisco binding protein), GroEL, the E.coli Hsp60 and 65 kDa major antigen of mycobacteria. In eukaryotes, Hsp60 is localized in the mitochondrial matrix and in plants Hsp60 is localized in the chloroplast. Mitochondria, chloroplasts and bacteria have a common ancestry (>1 billion years) and this fact together with the high degree of homology between the divergent Hsp60s would indicate that these proteins carry out a primitive but important function which is similar to all of these different species. The common characteristics of the Hsp60s from the divergent species are i) high abundance, ii) induction with environmental stress such as heat shock, iii) homo oligomeric structures of either 7 or 14 subunits which reversibly dissociate in the presence of magnesium ions and ATP, iv) ATPase activity and v) a role in folding and assembly of oligomeric protein structures. These similarities are supported by recent studies where the single ring human mitochondrial homolog, Hsp60 with its co chaperonin, Hsp10 were expressed in a E. coli strain, engineered so that the groE operon is under strict regulatory control. This study has demonstrated that expression of Hsp60-Hsp10 was able to carry out all essential in vivo functions of GroEL and its co chaperonin, GroES. Consistent with their functions as chaperones, Hsp60 and Hsp10 have been suggested to act as docking molecules with a passive role in the maturation of caspase processing. Data demonstrates that recombinant Hsp60 and Hsp10 have been shown to accelerate the activation of procaspase 3 by cytochrome c and dATP in an ATP dependent manner. Hsps are intracellular proteins which are thought to serve protective functions against infection and cellular stress, however several recent studies indicate that members of the Hsp60 family are linked to a number of autoimmune diseases, arthrosclerosis and chlamydial disease.

Limitations

This product is for research use only and is not approved for use in humans or in clinical diagnosis. Primary Antibodies are guaranteed for 1 year from date of receipt.

Customers Who Viewed This Item Also Viewed...

NBP3-16604
Species: Hu, Mu, Rt
Applications: ELISA, ICC/IF, IHC,  IHC-P, WB
NBP1-81696
Species: Hu, Mu, Rt
Applications: ICC/IF, IHC,  IHC-P, WB
NB120-2928
Species: Hu, Mu, Pm, Rb, Rt, Sh
Applications: ICC/IF, IHC,  IHC-P, IP, WB
NBP2-32972
Species: Ch, Pm, Hu, Pm, Mu, Rt, Sh
Applications: Flow, ICC/IF, IHC,  IHC-P, WB
DY417
Species: Mu
Applications: ELISA
485-MI
Species: Mu
Applications: BA
NB100-56566
Species: Bv, Hu, Ma, Mu, Po, Rt
Applications: B/N, ChIP, CyTOF-ready, DB, Dual ISH-IHC, ELISA(Cap), ELISA, Flow-CS, Flow-IC, Flow, ICC/IF, IHC, IHC-Fr,  IHC-P, In vitro, KD, KO, PAGE, Simple Western, WB
M6000B
Species: Mu
Applications: ELISA
6507-IL/CF
Species: Hu
Applications: BA
NB120-2788
Species: Bv, Fe, Fi, Ha, Hu, Mu, Pm, Rt
Applications: B/N, Flow, IB, ICC/IF, IHC, IHC-Fr,  IHC-P, IP, Simple Western, WB
H00010049-M01
Species: Hu
Applications: ELISA, ICC/IF (-), IHC, WB
NBP2-02996
Species: Ca, Hu, Pm, Mu, Rt
Applications: Flow, ICC/IF, IHC,  IHC-P, WB
202-IL
Species: Hu
Applications: BA
NBP1-87148
Species: Hu
Applications: IHC,  IHC-P, WB
AF1640
Species: Hu
Applications: ELISA(Cap), ELISA(Det), ELISA(Sta), IHC, WB
AF4309
Species: Hu, Mu
Applications: ICC, IHC, WB
NBP2-67517
Species: Hu, Mu, Rt
Applications: WB, IHC

Publications for HSP60 Antibody (NBP2-67517) (0)

There are no publications for HSP60 Antibody (NBP2-67517).
By submitting your publication information earn gift cards and discounts for future purchases.

Reviews for HSP60 Antibody (NBP2-67517) (0)

There are no reviews for HSP60 Antibody (NBP2-67517). By submitting a review you will receive an Amazon e-Gift Card or Novus Product Discount.
  • Review with no image -- $10/€7/£6/$10 CAD/¥70 Yuan/¥1110 Yen
  • Review with an image -- $25/€18/£15/$25 CAD/¥150 Yuan/¥2500 Yen

Product General Protocols

Find general support by application which include: protocols, troubleshooting, illustrated assays, videos and webinars.

Video Protocols

WB Video Protocol

FAQs for HSP60 Antibody (NBP2-67517) (0)

There are no specific FAQs related to this product. Read our general customer & technical service FAQs.

Secondary Antibodies

 

Isotype Controls

Additional HSP60 Products

Research Areas for HSP60 Antibody (NBP2-67517)

Find related products by research area.

Blogs on HSP60.

TLR4 - A Guardian of Innate Immunity
Toll-like receptor 4 (TLR4) belongs to the family of Toll-like receptors (TLR), and plays a main role in pathogen recognition and innate immunity system activation. The TLR family members are highly conserved proteins that all contain a high degree of...  Read full blog post.

Customer Experience using HSP60 Antibody
I began using the HSP60 antibody (NB110-57063) in June of 2010 and it worked well. I do not like to buy antibodies that have not been tested in the species for which I will use them, so I picked this antibody because it had already been tested in rat ...  Read full blog post.

Heat Shock Proteins: An Overview
Heat Shock Proteins (HSPs) are a ubiquitous group of molecular chaperone proteins that have evolved unique mechanisms, within their host cells, to facilitate survival in hostile environments such as heat, oxidative (hypoxia), pH and cold. Under permis...  Read full blog post.

The Heat is On: Heat Shock Proteins and the Link to Cancer
Novus Biologicals offers an extensive antibody catalog targeting heat shock proteins (HSPs). A large protein group covering a number of families, the HSPs are functionally related by their dramatic upregulation in response to stress. Stress triggers m...  Read full blog post.

Contact Information

Product PDFs

Calculators

Concentration Calculator

The concentration calculator allows you to quickly calculate the volume, mass or concentration of your vial. Simply enter your mass, volume, or concentration values for your reagent and the calculator will determine the rest.

=
÷

Review this Product

Be the first to review our HSP60 Antibody (ST48-04) and receive a gift card or discount.

Bioinformatics

Gene Symbol HSPD1