HNF-3 beta/FoxA2 Antibody (7H4B7)

Images

 
Western Blot: HNF-3 beta/FoxA2 Antibody (7H4B7) [NBP1-51574] - Western blot analysis using FOXA2 mouse mAb against A549 (1) cell lysate.
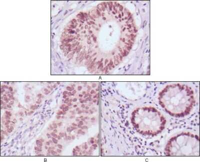
Immunohistochemistry-Paraffin: HNF-3 beta/FoxA2 Antibody (7H4B7) [NBP1-51574] - Immunohistochemical analysis of paraffin-embedded human colon cancer (A), gastric cancer (B) and rectal cancer (C) tissues using FOXA2 ...read more

Product Details

Summary
Product Discontinued
View other related HNF-3 beta/FoxA2 Primary Antibodies

Order Details


    • Catalog Number
      NBP1-51574
    • Availability
      Product Discontinued

    Can't find what you are looking for? Use our Antibody Concierge Service & we will help you locate your antibody!

    Or feel free to contact us for alternative products.

HNF-3 beta/FoxA2 Antibody (7H4B7) Summary

Immunogen
Purified recombinant fragment of FOXA2 expressed in E. Coli.
Isotype
IgG1
Clonality
Monoclonal
Host
Mouse
Gene
FOXA2
Purity
Unpurified
Innovator's Reward
Test in a species/application not listed above to receive a full credit towards a future purchase.

Applications/Dilutions

Dilutions
  • ELISA 1:10000
  • Immunohistochemistry 1:10-1:500
  • Immunohistochemistry-Paraffin 1:200-1:1000
  • Western Blot 1:500-1:2000
Theoretical MW
48 kDa.
Disclaimer note: The observed molecular weight of the protein may vary from the listed predicted molecular weight due to post translational modifications, post translation cleavages, relative charges, and other experimental factors.

Reactivity Notes

Human

Packaging, Storage & Formulations

Storage
Store at 4C short term. Aliquot and store at -20C long term. Avoid freeze-thaw cycles.
Buffer
Ascites
Preservative
0.03% Sodium Azide
Purity
Unpurified

Alternate Names for HNF-3 beta/FoxA2 Antibody (7H4B7)

  • forkhead box A2
  • Forkhead box protein A2
  • FoxA2
  • hepatic nuclear factor-3-beta
  • hepatocyte nuclear factor 3, beta
  • hepatocyte nuclear factor 3-beta
  • HNF3 beta
  • HNF-3 beta
  • HNF-3B
  • HNF-3-beta
  • HNF3BTCF-3B
  • MGC19807
  • TCF3B
  • Transcription factor 3B

Background

This gene encodes a member of the forkhead class of DNA-binding proteins. These hepatocyte nuclear factors are transcriptional activators for liver-specific transcripts such as albumin and transthyretin, and they also interact with chromatin. Similar family members in mice have roles in the regulation of metabolism and in the differentiation of the pancreas and liver. This gene has been linked to sporadic cases of maturity-onset diabetes of the young. Two transcript variants encoding the same protein have been identified for this gene.

Limitations

This product is for research use only and is not approved for use in humans or in clinical diagnosis. Primary Antibodies are guaranteed for 1 year from date of receipt.

Customers Who Viewed This Item Also Viewed...

NBP2-45269
Species: Hu
Applications: Flow, ICC/IF, IHC,  IHC-P, WB
NBP2-87461
Species: Hu, Mu
Applications: IHC,  IHC-P, WB
MAB1417
Species: Bv, Hu, Mu
Applications: ICC, IHC
NBP1-33596
Species: Hu, Mu, Rt
Applications: ICC/IF, IHC,  IHC-P, IP, PAGE, WB
AF6277
Species: Hu
Applications: ICC, WB
NBP1-84671
Species: Hu
Applications: ChIP-EXO-SEQ, IHC,  IHC-P, WB
NBP1-89680
Species: Hu, Mu
Applications: ChIP, ICC/IF, IHC,  IHC-P, Simple Western, WB
AF2419
Species: Hu
Applications: Dual ISH-IHC, ICC, IHC, Simple Western, WB
NBP1-89679
Species: Hu, Mu, Rt
Applications: ChIP-EXO-SEQ, ICC/IF, IHC, IHC-Fr,  IHC-P, WB
NBP2-44501
Species: Hu, Mu, Rt
Applications: Flow, ICC/IF, IF, IHC,  IHC-P
AF1924
Species: Hu
Applications: ChIP, ICC, Simple Western, WB
NBP2-52575
Species: Hu
Applications: CyTOF-ready, ELISA, Flow, ICC/IF, IHC,  IHC-P, WB
AF4186
Species: Hu
Applications: ICC, WB
NBP1-84079
Species: Hu
Applications: IHC,  IHC-P, WB
MAB1455
Species: Hu
Applications: CyTOF-ready, Dual ISH-IHC, ICC, IHC, ICFlow, Simple Western, WB
AF1759
Species: Hu, Mu
Applications: ChIP, ICC, IP, Simple Western, WB
NBP1-51574
Species: Hu
Applications: WB, ELISA, IHC

Publications for HNF-3 beta/FoxA2 Antibody (NBP1-51574) (0)

There are no publications for HNF-3 beta/FoxA2 Antibody (NBP1-51574).
By submitting your publication information earn gift cards and discounts for future purchases.

Reviews for HNF-3 beta/FoxA2 Antibody (NBP1-51574) (0)

There are no reviews for HNF-3 beta/FoxA2 Antibody (NBP1-51574). By submitting a review you will receive an Amazon e-Gift Card or Novus Product Discount.
  • Review with no image -- $10/€7/£6/$10 CAD/¥70 Yuan/¥1110 Yen
  • Review with an image -- $25/€18/£15/$25 CAD/¥150 Yuan/¥2500 Yen

Product General Protocols

Find general support by application which include: protocols, troubleshooting, illustrated assays, videos and webinars.

Video Protocols

WB Video Protocol

FAQs for HNF-3 beta/FoxA2 Antibody (NBP1-51574) (0)

There are no specific FAQs related to this product. Read our general customer & technical service FAQs.

Contact Information

Product PDFs

Calculators

Concentration Calculator

The concentration calculator allows you to quickly calculate the volume, mass or concentration of your vial. Simply enter your mass, volume, or concentration values for your reagent and the calculator will determine the rest.

=
÷

Review this Product

Be the first to review our HNF-3 beta/FoxA2 Antibody (7H4B7) and receive a gift card or discount.

Bioinformatics

Gene Symbol FOXA2