HMBS Antibody (OTI3F4) - Azide and BSA Free

Images

 
Western Blot: HMBS Antibody (OTI3F4) - Azide and BSA Free [NBP2-70894] - Analysis of HEK293T cells were transfected with the pCMV6-ENTRY control (Left lane) or pCMV6-ENTRY HMBS.
Immunohistochemistry: HMBS Antibody (OTI3F4) - Azide and BSA Free [NBP2-70894] - Analysis of Human Kidney tissue.
Immunohistochemistry: HMBS Antibody (OTI3F4) - Azide and BSA Free [NBP2-70894] - Analysis of Adenocarcinoma of Human ovary tissue.
Immunohistochemistry: HMBS Antibody (OTI3F4) - Azide and BSA Free [NBP2-70894] - Analysis of Carcinoma of Human kidney tissue.
Immunohistochemistry: HMBS Antibody (OTI3F4) - Azide and BSA Free [NBP2-70894] - Analysis of Carcinoma of Human pancreas tissue.
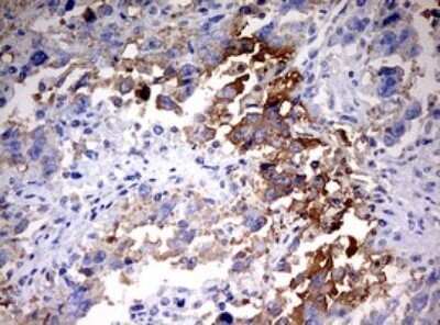
Immunohistochemistry: HMBS Antibody (OTI3F4) - Azide and BSA Free [NBP2-70894] - Analysis of Human lymphoma tissue.

Product Details

Summary
Reactivity Hu, Mu, RtSpecies Glossary
Applications WB, IHC
Clone
OTI3F4
Clonality
Monoclonal
Host
Mouse
Conjugate
Unconjugated
Format
Azide and BSA Free
Concentration
LYOPH

Order Details

HMBS Antibody (OTI3F4) - Azide and BSA Free Summary

Description
Novus Biologicals Mouse HMBS Antibody (OTI3F4) - Azide and BSA Free (NBP2-45976) is a monoclonal antibody validated for use in IHC and WB. All Novus Biologicals antibodies are covered by our 100% guarantee.
Immunogen
Full length human recombinant protein of human HMBS (NP_000181) produced in HEK293T cell.
Isotype
IgG1
Clonality
Monoclonal
Host
Mouse
Gene
HMBS
Purity
Immunogen affinity purified
Innovator's Reward
Test in a species/application not listed above to receive a full credit towards a future purchase.

Applications/Dilutions

Dilutions
  • Immunohistochemistry
  • Immunohistochemistry-Paraffin
  • Western Blot 1:2000
Theoretical MW
39.1 kDa.
Disclaimer note: The observed molecular weight of the protein may vary from the listed predicted molecular weight due to post translational modifications, post translation cleavages, relative charges, and other experimental factors.

Reactivity Notes

Please note that this antibody is reactive to Mouse and derived from the same host, Mouse. Mouse-On-Mouse blocking reagent may be needed for IHC and ICC experiments to reduce high background signal. You can find these reagents under catalog numbers PK-2200-NB and MP-2400-NB. Please contact Technical Support if you have any questions.

Packaging, Storage & Formulations

Storage
Store at -20C. Avoid freeze-thaw cycles.
Buffer
Lyophilized from PBS (pH 7.3) with 8% Trehalose
Preservative
No Preservative
Concentration
LYOPH
Purity
Immunogen affinity purified
Reconstitution Instructions
we recommend adding 100uL distilled water to a final antibody concentration of about 1 mg/mL. To use this carrier-free antibody for conjugation experiment, we strongly recommend performing another round of desalting process.

Alternate Names for HMBS Antibody (OTI3F4) - Azide and BSA Free

  • hydroxymethylbilane synthasePre-uroporphyrinogen synthase
  • PBGDPBG-D
  • PORC
  • porphobilinogen deaminase
  • porphyria, acute; Chester type
  • UPSEC 2.5.1.61
  • uroporphyrinogen I synthase
  • uroporphyrinogen I synthetase

Background

HMBS encodes a member of the hydroxymethylbilane synthase superfamily. The encoded protein is the third enzyme of the heme biosynthetic pathway and catalyzes the head to tail condensation of four porphobilinogen molecules into the linear hydroxymethylbilane. Mutations in this gene are associated with the autosomal dominant disease acute intermittent porphyria. Alternatively spliced transcript variants encoding different isoforms have been described.

Limitations

This product is for research use only and is not approved for use in humans or in clinical diagnosis. Primary Antibodies are guaranteed for 1 year from date of receipt.

Customers Who Viewed This Item Also Viewed...

NBP1-89158
Species: Hu, Rt
Applications: IHC,  IHC-P, Simple Western, WB
NBP2-33413
Species: Hu
Applications: IHC,  IHC-P, WB
NBP1-31347
Species: Hu, Mu, Rt
Applications: ICC/IF, IHC,  IHC-P, WB
NBP1-90202
Species: Hu
Applications: ICC/IF, IHC,  IHC-P
NBP1-85946
Species: Hu, Mu, Rt
Applications: IHC,  IHC-P, WB
H00005498-M01
Species: Hu, Mu
Applications: ELISA, IHC,  IHC-P, KD, WB
NBP1-82580
Species: Hu
Applications: IHC,  IHC-P, Simple Western, WB
NB300-221
Species: Av, Bv, Ca, Ch, ChHa, Dr, Eq, Fe, Ha, Hu, Mu, Ma-Op, Po, Pm, Rb, Rt, Sh, Ze
Applications: ChIP, ICC/IF, IHC, IHC-Fr, IP, KD, Simple Western, Single-Cell Western, WB
NBP2-59438
Species: Hu
Applications: ELISA, ICC/IF, WB
NBP1-47492
Species: Pm, Hu
Applications: ChIP, ELISA, ICC/IF, IHC,  IHC-P, WB
NBP1-92565
Species: Hu
Applications: ICC/IF, IHC,  IHC-P, WB
NBP1-81838
Species: Hu, Mu
Applications: IHC,  IHC-P, WB
NB500-317
Species: Bv(-), Ca(-), Ch(-), Hu, Mu(-), Rb(-)
Applications: ELISA, Flow, ICC/IF, IHC,  IHC-P, IP, RIA, WB
NBP1-33527
Species: Hu, Mu, Rt
Applications: ICC/IF, IHC,  IHC-P, KO, Simple Western, WB
NBP1-89150
Species: Hu
Applications: IHC,  IHC-P, WB
NBP1-31302
Species: Hu, Mu, Rt
Applications: ICC/IF, IHC,  IHC-P, KO, WB
H00011026-M01
Species: Hu
Applications: ELISA, WB
H00006908-Q01
Species: Hu
Applications: ELISA, AP, PA, PAGE, WB
NBP3-15642
Species: Hu, Mu, Rt
Applications: ICC/IF, IHC,  IHC-P, WB
NBP2-70894
Species: Hu, Mu, Rt
Applications: WB, IHC

Publications for HMBS Antibody (NBP2-70894) (0)

There are no publications for HMBS Antibody (NBP2-70894).
By submitting your publication information earn gift cards and discounts for future purchases.

Reviews for HMBS Antibody (NBP2-70894) (0)

There are no reviews for HMBS Antibody (NBP2-70894). By submitting a review you will receive an Amazon e-Gift Card or Novus Product Discount.
  • Review with no image -- $10/€7/£6/$10 CAD/¥70 Yuan/¥1110 Yen
  • Review with an image -- $25/€18/£15/$25 CAD/¥150 Yuan/¥2500 Yen

Product General Protocols

Find general support by application which include: protocols, troubleshooting, illustrated assays, videos and webinars.

Video Protocols

WB Video Protocol

FAQs for HMBS Antibody (NBP2-70894) (0)

There are no specific FAQs related to this product. Read our general customer & technical service FAQs.

Secondary Antibodies

 

Isotype Controls

Additional HMBS Products

Research Areas for HMBS Antibody (NBP2-70894)

Find related products by research area.

Blogs on HMBS

There are no specific blogs for HMBS, but you can read our latest blog posts.

Customers Who Bought This Also Bought

Contact Information

Product PDFs

Calculators

Concentration Calculator

The concentration calculator allows you to quickly calculate the volume, mass or concentration of your vial. Simply enter your mass, volume, or concentration values for your reagent and the calculator will determine the rest.

=
÷

Review this Product

Be the first to review our HMBS Antibody (OTI3F4) - Azide and BSA Free and receive a gift card or discount.

Bioinformatics

Gene Symbol HMBS